概況
中文拼音:shuǐdòufèiyán英文參考:varicellapneumonia
疾病名稱:水痘肺炎
疾病別名:水痘性肺炎,水痘病毒肺炎
疾病代碼:ICD:B01.2
疾病分類:呼吸內科
疾病描述
水痘肺炎
水痘肺炎症狀體徵
水痘的潛伏期為10~24天,水痘肺炎多見於成人水痘患者和免疫受損者中,肺炎症狀多發生於出疹後2~6天,亦可出現於出疹前或出疹後10天。少數患者症狀輕微,可於數天后恢復,大部分除典型皮膚表現外,常有高熱,可達40℃,咳嗽、痰血或咯血和胸痛,嚴重時出現氣急、進行性呼吸困難。嚴重者可致命。繼發細菌感染時咳膿性痰,約40%患者由於低氧血症出現發紺。嚴重時病情迅速惡化,肺內病變擴散產生嚴重靜動脈分流而引起呼吸衰竭。體檢胸部體徵少,可聞及哮鳴音或濕性囉音,極少發現肺實變體徵,常與胸部X線徵象所示肺部病變不相稱。下氣道病毒感染包括支氣管炎,細支氣管炎和肺炎。大多數病人有頭痛,發熱,肌痛和常帶粘液膿性痰液的咳嗽。胸部X線檢查的最常見發現是間質性肺炎或周圍支氣管壁增厚。大葉性實變和胸腔積液少見,但可在有細菌性雙重感染時發生。周圍白細胞計數常低下,但也可能正常或中等度升高;當有雙重感染時常可升高。病因
水痘肺炎病毒經呼吸道侵入人體後在鼻咽部黏膜生長繁殖,侵入血流,可能在單核巨噬細胞中複製,進而產生病毒血症和全身病變。病毒主要侵犯皮膚,在軀幹、四肢先後分批出現典型皮疹,在同部位出現斑疹、丘疹、水痘和結痂,皮疹發展甚快,短者僅數小時即可轉變為水泡。重症感染累及肺或其他器官如腦、肝、腎、消化道,偶可產生心肌炎或關節炎。水痘肺炎的病理表現和其他病毒肺炎相仿,主要引起廣泛性間質性肺炎,病變可累及咽喉部、氣管、支氣管黏膜和肺實質。細支氣管周圍和肺間質有以單核細胞為主的炎症浸潤。肺充血、腫脹,在脫落的肺間質細胞內常能見到核內包涵體,肺泡內充滿纖維蛋白,有時有透明膜形成,肺泡內常有灶性壞死實變區和血管損傷性出血,胸膜受累產生結節狀物,類似水痘皮疹,並產生胸腔積液,以雙側為多見。肺和胸膜結節壞死灶隨病變的吸收癒合而逐漸鈣化。
很多病毒都能引起支氣管炎,少數可引起肺炎。嬰兒和兒童最常見的是呼吸道合胞病毒,腺病毒,副流感病毒,甲型和乙型流感病毒。在健康成人中,唯一常見的病毒性病原體是甲型,乙型流感病毒。有時,成人病毒性肺炎可由腺病毒,水痘-帶狀皰疹病毒,Epstein-Barr病毒,柯薩奇病毒和Hanta病毒引起。老年人當中重要的病原體是流感病毒,副流感病毒和呼吸道合胞病毒。細胞免疫受損的病人經常由潛伏病毒,特別是巨細胞病毒(CMV)或單純皰疹病毒引起肺部感染。除此,大多數病毒感染是由於無免疫力的人接觸帶有該病原體的人所引起的。病毒侵入細支氣管上皮引起細支氣管炎,感染可播及肺間質和肺泡而引起肺炎。病變部位充血,有時出血;出現由單核細胞參與的強烈的炎症反應。肺泡內可含纖維蛋白,單核細胞,偶爾還有多形核白細胞。嚴重病例可出現透明膜。腺病毒,巨細胞病毒,呼吸道合胞病毒或水痘-帶狀皰疹病毒可以看到具特徵性的細胞內病毒包涵體。
診斷檢查
水痘肺炎實驗室檢查:補體結合試驗檢測特異性抗體以助診斷。螢光法密螺鏇體抗體吸附試驗檢測特異性抗體以助診斷。
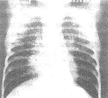
其他輔助檢查:胸部X線徵象呈兩肺瀰漫性結節浸潤或網織狀陰影,病灶可融合呈廣泛浸潤灶影,常分布於肺門或肺底部。可出現兩側胸腔積液徵象。病變較輕者多於1~2周內吸收,亦有延長至數月始吸收者,最後可能遺留散在的鈣化灶。電鏡檢查取新鮮皰疹內液體作電鏡檢查,見皰疹病毒顆粒,或取皰疹內液體接種人胚羊膜組織作病毒分離可確診。
鑑別診斷:診斷病毒性肺炎應與由細菌引起的繼發性肺炎相鑑別。
治療方案
水痘肺炎水痘肺炎的治療除對症處理和支持療法外,阿昔洛韋(無環鳥苷)治療有一定效果,其為一種抗DNA病毒藥物,用量為10mg/kg,每8小時一次,靜脈注射,5天為一療程,多數病人於用藥24~48h後退熱,症狀改善。肺部嚴重感染特別是低氧血症並發呼吸衰竭時,除氧療外,可作氣管插管或氣管切開,並加用機械呼吸治療。糖皮質激素一般忌用,因其他原因套用激素者,如病情許可,儘量減至生理量,必要時考慮停用。對有單純皰疹,帶狀皰疹或水痘的肺部感染者,一般主張用阿昔洛韋,成人5-10mg/kg,每8小時1次,或兒童250mg/m2體表面積,每8小時1次。在器官移植的受者中,巨細胞肺炎可用更昔洛韋5mg/kg靜脈注射,每日2次,以及使用免疫球蛋白(靜脈注射免疫球蛋白或巨細胞病毒免疫球蛋白)。這種治療對AIDS病人無明顯療效。
有些病人,尤其是流感病人,如合併細菌感染則需抗生素治療。常見主要病原體是肺炎球菌和金黃色葡萄球菌,其次是流感嗜血桿菌,甲型β-溶血性鏈球菌和腦膜炎奈瑟球菌。致病微生物,病人年齡和合併症各異,預後也有很大差別。治療依據病原體而定。
併發症:致死病例常有肺水腫,亦可發生休克。
預後:一般預後良好。
預防:採取嚴格的隔離措施,隔離患者至皰疹結痂。與水痘患者有接觸兒童可肌內注射丙種球蛋白或帶狀皰疹免疫球蛋白,可減輕症狀,有一定預防作用。國外主張對易感的免疫低下接觸者、孕婦給予阿昔洛韋靜脈注射或套用水痘病毒減毒疫苗,有預防作用。
水痘肺炎相關藥品:阿昔洛韋
水痘肺炎相關疾病:細菌性肺炎
預防方法
採取嚴格的隔離措施,隔離患者至皰疹結痂。與水痘患者有接觸兒童可肌內注射丙種球蛋白或帶狀皰疹免疫球蛋白,可減輕症狀,有一定預防作用。國外主張對易感的免疫低下接觸者、孕婦給予阿昔洛韋靜脈注射或套用水痘病毒減毒疫苗,有預防作用。流行病學
水痘肺炎相關詞條
相關連線
1、http://www.120ask.com/question/2007-6-23/1956262.htm
2、http://www.huoguan.com/disease/d1_d1/39095/prevent.html
3、http://www.yyxx.com.cn/jb_xiangxi.asp?id=4472
