概述
細菌性肺炎病因
細菌性肺炎肺炎的病原體因宿主年齡伴隨疾病與免疫功能狀態獲得方(社區獲得性肺炎或醫院內肺炎)而有較大差異社區獲得性肺炎的常見病原體為肺炎鏈球菌流感嗜血桿菌金黃色葡萄球菌化膿性鏈球菌軍團菌厭氧菌以及病毒支原體和衣原體等而醫院內肺炎中則以綠膿桿菌與其他假單胞菌肺炎桿菌大腸桿菌陰溝與產生腸桿菌變形桿菌耐甲氧西林金葡菌(MRSA)和真菌等常見吸入性肺炎大多數為厭氧菌感染
體徵
細菌性肺炎2.體檢注意濁音、呼吸音、濕噦音、語音傳導、口唇皰疹、出血性皮疹、皮膚膿癤、傷口感染等。要注意血壓變化,有休克者可有體溫不升、嘔吐、腹瀉、煩躁、血壓下降、四肢厥冷。部分血壓下降患者早期可無明顯休克表現,應予注意
3.健全的免疫防禦機制使氣管、支氣管和肺泡組織保持無菌狀態。免疫功能受損或進入下呼吸到的病原菌毒力較強或數量較多時,則易發生肺炎。
診斷
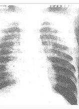
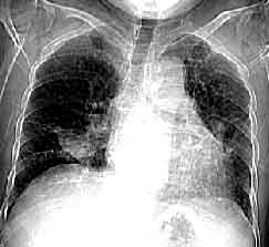
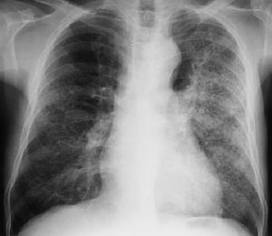
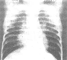
1.檢驗作血白細胞計數及分類。漱口後咳深部痰直接塗片作細菌檢查。應儘量在抗生素套用前作痰、血細菌培養及藥物敏感試驗,培養應反覆多次。作痰培養細菌菌落計數,對於判斷是否是致病菌有一定幫助。疑為軍團菌肺炎者,需作痰或下呼吸道分泌物軍團菌分離,或以直接螢光抗體法,檢測病理標本中的軍團菌,或行血清抗體檢查。2.胸部X線檢查注意陰影特點、部位和範圍。肺炎(鏈)球菌肺炎多呈段或葉大片狀模糊炎性浸潤;金葡菌肺炎系壞死性肺炎,可呈大片絮狀、濃淡不均影,常有一個或多個透亮區,也可為支氣管肺炎表現,血源性者為散在多發膿腫陰影;肺炎克雷伯桿菌肺炎亦呈壞死性表現,上葉多見,呈斑片狀或大葉性,易形成空洞,需與肺結核鑑別,或呈兩側支氣管肺炎改變;軍團菌肺炎早期為單側少量斑片狀實質浸潤,可迅速發展為多肺葉段,下葉多見。
3.注意有無休克、胸膜炎、膿胸、心包炎、骨髓炎、腦膜炎,局部膿腫、心肌炎及急性腎衰等併發症。
鑑別
少數非感染性病症可有肺炎類似表現如急性呼吸窘迫綜合徵(ARDS)充血性心力衰竭肺栓塞化學氣體吸入過敏性肺泡炎藥物性肺炎放射性肺炎結締組織疾病累及肺部肺結核白血病或其他惡性腫瘤肺內浸潤或轉移等應注意鑑別必要時可採用診斷性治療方法以明確診斷。併發症近年來已很少見嚴重感染中毒症患者易發生感染性休克尤其是老年人表現為血壓降低四肢厥冷多汗發紺心動過速心律失常而高熱胸痛咳嗽等症狀並不突出其他併發症有胸膜炎膿胸心包炎腦膜炎和關節炎等。
治療
細菌性肺炎2.病因治療
(1)輕症肺炎(鏈)球菌肺炎或病原未確診者,可予大環內酯類藥物,如紅黴素、克拉黴素、羅紅黴素、阿齊黴素口服或羥氨苄青黴素、頭孢拉定等口服。
(2)肺炎(鏈)球菌肺炎:一般病例,青黴素G80萬U,2/d,肌注;重症或年老者加大劑量至320萬~960萬U,加入5%~10%葡萄糖液250ml中分次靜滴;對青黴素過敏者,可選用紅黴素或第一、第二代頭孢菌素類藥物分次靜滴(需作皮膚過敏試驗),療程約7d。
(3)金葡菌肺炎:可選用苯唑西林或氯唑西林,6~12g/d,分次靜注或靜滴。如對青黴素過敏,可用紅黴素或第一、二代頭孢菌素(需作皮膚過敏試驗)或環丙沙星等。一般均可加用氨基糖甙類藥物。療程約3~4周。如系耐甲氧西林金葡菌感染,則首選萬古黴素,1.5~2g/d,(不超過4g),療程約7~10d,不超過14d,然後改用其他藥物,療程可適當延長。
(4)肺炎克雷伯桿菌肺炎:可選用頭孢菌素類藥物如頭孢唑林,2~4g/d,分
細菌性肺炎(5)綠膿桿菌肺炎:哌拉西林6~16g,分次靜滴,加慶大黴素8萬U,肌注,2/d,或用阿米卡星肌注或靜滴。嚴重病例可用第三代頭孢菌素如頭孢他定或頭孢哌酮,均2~4g/d,分次靜注或靜滴。
(6)軍團菌肺炎:輕症者可用紅黴素1.0~1.5g/d,分次口服,也可用其他大環內酯類藥物如克拉黴素、羅紅黴素、阿齊黴素等。嚴重者紅黴素1.5~2.0g/d,分次靜滴。
用藥
細菌性肺炎(二)院內感染:輕中度可用哌拉西林頭胞唑林加慶大黴素頭胞呋辛頭胞羥唑或頭胞噻肟頭胞唑肟環丙沙星氧氟沙星等也可用優立新等(β內醯胺類加酶抑制劑的抗生素)有誤吸史或胸腹大手術者應加用甲消唑或克林黴素金葡菌感染可用苯唑西林耐夫西林或萬古黴素.長期用激素抗菌素者套用三代頭孢菌素泰能環丙沙星等加用氨基糖甙類抗生素.合併黴菌感染加用氟康唑病原菌確定後應根據痰培養的藥敏試驗的結果調整抗菌藥物。
預防
老年伴嚴重基礎疾病免疫功能抑制宿主肺炎預後較差抗菌藥物廣泛套用後肺炎鏈球菌肺炎病死率已從過去的30%下降至6%左右但革蘭陰性桿菌金葡菌特別是MRSA引起的肺炎病死率仍較高增強體質避免上呼吸道感染在高危患者選擇性套用疫苗對預防肺炎有一定意義。1、忌用食物:肥肉、豬肉、油炸食品、酒、辣椒、芥末、洋蔥、魚、蝦;
2、宜多食生薑、杏仁、蘿蔔、蜂蜜、梨、藕、青果、絲瓜、桔子、冬瓜、青菜、枇杷、芝麻、柿餅、胡桃仁、薏米仁
細菌性肺炎相關藥品哌拉西林頭孢哌酮/舒巴坦亞胺培南頭孢曲松
相關詞條
呼吸內科疾病
| 研究範圍及進展呼吸內科是研究呼吸系統疾病的學科。它是既古老又年輕的學科,說它古老是因為,自從人類認識疾病以來,呼吸系統疾病就一直是危害人類健康的常見病和多發病,八十年代中期的統計資料表明,呼吸系統疾病仍然是導致死亡的主要疾病。在死亡的順序上排列第二。現在我們來認識一下這些可怕的疾病吧? |

