概述
表1疾病分類:呼吸內科
組織細胞增生症為一組少見的原因不明疾病,該病名由Lichtenstein於1953年提出。該病多發生於兒童,其發病、臨床症狀及病變範圍差異很大,但病理上有著共同的病理特徵,即組織細胞異常增生。現已證實此組織細胞具有朗格漢斯組織細胞(langerhans’histocyte)特徵,故本病現又稱為朗格漢斯組織細胞增生症。肺朗格漢斯組織細胞增生症可以原發於肺臟,也可是全身系統性病變的一部分。以前有關該病的命名較為混亂,把局灶性病變稱為嗜酸性細胞肉芽腫,而把系統性病變則稱為letter-Siwe病(萊-雪病)和Hand-Schüler-Christian病(漢-許-克病)。為了避免混淆,美國組織細胞學會於1997年將此類疾病按照累及器官情況,提出了新的分類方法,見表1。
症狀體徵
肺組織細胞增生症
肺組織細胞增生症
肺組織細胞增生症2.其他機制最近的研究表明朗格漢斯組織細胞增生症(LCH)中的朗格漢斯細胞是克隆來源的,提示這些細胞的異常在LCH的發病過程中起重要作用。正常的肺朗格漢斯細胞通常僅出現在支氣管的黏膜上皮中。而肺LCH的肉芽腫病變則通常位於細支氣管中央,提示支氣管上皮的微環境可能在決定朗格漢斯細胞的聚集過程中起重要作用。由於吸菸與肺LCH密切相關,而吸菸對支氣管上皮的損害最為明顯,故有人認為吸菸導致的支氣管上皮損害可能與朗格漢斯細胞在肺內聚集有關。上皮細胞在受到刺激時可以產生許多能夠影響朗格漢斯細胞增殖、分化和壽命的細胞因子(如粒細胞單核細胞集落刺激因子等,GM-CSF),從這個角度來說,上皮細胞產生過量的細胞因子可能在肺LCH的起始過程中起重要作用。此外,其他氣道上皮細胞如神經內分泌細胞產生的介質如蛙皮素樣多肽,可能在肺LCH的發病過程中也起一定作用。由於支氣管上皮在肺LCH中被迅速破壞,說明上皮細胞不是朗格漢斯細胞增生的持續因素,肺LCH中的朗格漢斯細胞本身可通過自分泌或旁分泌功能,產生多種細胞因子包括GM-CSF、TNF-α、IL-1、IL-6等可能在維持肺LCH持續發展過程中起重要作用
。無論吸菸在LCH發病機制中起何作用,但僅有一小部分吸菸者罹患此病,提示還有其他因素參與其發病過程。最近,有學者通過對女性患者的X染色體降解過程發現,不論是局灶性病變部位的朗格漢斯細胞還是瀰漫性病變部位的朗格漢斯細胞均來源於同一個克隆,提示LCH可能與腫瘤類似是由於朗格漢斯細胞克隆增生而來。此外,朗格漢斯細胞的前體細胞發生染色體突變可能在LCH發病過程中也起一定作用。目前認為,朗格漢斯細胞表面的克隆標記對LCH的發生是必要的,但其功能行為學異常較惡性腫瘤輕。舉例來說,突變可以導致朗格漢斯細胞的前體細胞對正常細胞因子的信號反應增強,從而導致朗格漢斯細胞的前體細胞的克隆繁殖,隨著不斷的分化,這些朗格漢斯細胞逐漸丟失其再生能力,但它們仍繼續保留一些臨床表現的異常,如對化學趨化因子信號反應的增強和凋亡程度的降低。總之,LCH的發病機制目前尚不清楚,進一步了解朗格漢斯細胞克隆增生的分子生物學機制,對闡明LCH的發病機制有重要意義。
診斷檢查
診斷:
肺組織細胞增生症其他輔助檢查:
1.X線表現胸部X線表現依據疾病的不同階段表現各有不同。病變通常是雙側對稱性的,雖然病變是瀰漫性的,但主要仍集中在中上肺野。在疾病早期,邊界模糊的小結節陰影(直徑小於5mm)是其特徵性改變。最常見的改變是網狀結節影,有時囊性病變同時存在。在晚期,結節狀陰影通常消失,取而代之的是肺囊性變甚至假肺氣腫形成。其他一些表現可以與其他瀰漫性肺部疾病相鑑別,這些改變包括肺容積的增加、病變位於肺上部、無縱隔淋巴結腫大和胸膜受累。有些病人可以出現反覆的氣胸和肋骨溶骨性改變。但需要注意的是有不到19%的病人胸部X線檢查可以完全正常。
2.胸部CT檢查高分辨CT(HRCT)不僅對該病的鑑別診斷有意義,而且對判斷該病的嚴重程度具有一定意義。病變通常分布在正常的肺組織中間,雖然在雙下肺基底部位可以見到散在病變,但病變多位於上部,呈對稱性均勻分布。早期病變主要以邊界模糊的小結節陰影為主,有些病例可以見到有空洞形成。結節呈小葉中央性分布,並且伴有壁厚薄不等的囊性改變。隨著病變的進展,囊性改變逐漸成為突出表現,這些囊腔大小差異很大,但通常直徑小於1cm。囊腔可以為孤立樣,也可互相融合,甚至形成肺氣腫的表現。自發的出現小結節、空洞和囊性化是肺朗格漢斯組織細胞增生症較為特徵性的改變。
3.肺功能檢查肺朗格漢斯組織細胞增生症的肺功能改變與肺病變受累範圍有關,可以是阻塞性、限制性和混合性通氣功能障礙。有10%~15%的患者肺功能是正常的,儘管胸部X線表現已發現異常。較為常見的改變是肺活量(VC)降低而殘氣量(RV)增加,因此肺總量是正常的,而RV/TLC比值是增加的,這種肺功能改變與患者肺囊性化有關。約有50%的患者呈阻塞性通氣功能障礙,表現在FEV1減低。如果一個瀰漫性肺間質病變患者存在阻塞性通氣功能障礙,則是非常有用的診斷肺朗格漢斯組織細胞增生症的指標。最常見的肺功能改變是彌散功能的降低,靜息狀態下動脈氧分壓可以正常也可輕度降低,但運動性低氧血症最為常見。
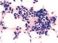
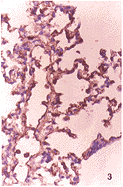
4.纖維支氣管鏡檢查和支氣管肺泡灌洗檢查支氣管鏡下可以見到支氣管黏膜正常或非特異性炎症改變,支氣管黏膜活檢對診斷無幫助。經支氣管肺活檢通常由於活檢組織太小,對診斷意義不大,但如果活檢組織足夠大,能夠用免疫組織化學技術檢查到朗格漢斯組織細胞,則對診斷有重要意義。大多數患者的支氣管肺泡灌洗液(BALF)中細胞總數是增高的,細胞分類以中性粒細胞和嗜酸性粒細胞增高為主。CD4/CD8比例是降低的。如朗格漢斯組織細胞大於5%,則強烈提示有肺朗格漢斯組織細胞增生症的可能。
治療方案
肺組織細胞增生症可並發自發性氣胸及呼吸功能衰竭,晚期可出現肺心病。
預後及預防
預後:肺組織細胞增生症的臨床病程差異很大,約50%的病人可以自然或經糖皮質激素治療後消退,10%~20%的病人呈進行性進展,反覆出現自發性氣胸,最後發生呼吸衰竭和肺源性心臟病而死亡。有幾種因素與病人的預後有關,它們包括發病年齡過小或過大、系統性症狀持續存在、反覆發作的氣胸、合併有肺外表現、瀰漫性囊性改變和發病早期即有顯著的肺功能異常等。懷孕不影響肺組織細胞增生症的預後,因此如果無呼吸功能不全,肺組織細胞增生症不是妊娠的禁忌證。另外肺組織細胞增生症患者合併淋巴瘤和肺癌的幾率明顯增加,究其原因,有些學者認為可能與吸菸或在原來肺組織瘢痕的基礎上發生所致。
預防:目前尚無資料。
流行病學 目前尚無確切的肺組織細胞增生症的發病率資料。肺活檢資料表明該病占肺間質病例約5%。該病無明確的基因易感因素,也無職業和地理位置的差異,但吸菸與本病有密切相關,統計表明約90%以上的病人有吸菸史。 相關藥品 潑尼松、硫酸長春鹼。 相關疾病 相關詞條 參考資料1、http://www.yongyao.net/jbhtml/fzzxbzsz.htm
2、http://www.huoguan.com/disease/d1_d1/39214/index.html
呼吸內科疾病
| 研究範圍及進展呼吸內科是研究呼吸系統疾病的學科。它是既古老又年輕的學科,說它古老是因為,自從人類認識疾病以來,呼吸系統疾病就一直是危害人類健康的常見病和多發病,八十年代中期的統計資料表明,呼吸系統疾病仍然是導致死亡的主要疾病。在死亡的順序上排列第二。現在我們來認識一下這些可怕的疾病吧? |
