概述
狼瘡腎炎狼瘡腎炎(LN)是SLE的重要臨床組成部分。腎臟受累的臨床表現有蛋白尿、紅細胞尿、白細胞尿、管型尿及腎小球濾過功能下降和腎小管功能減退。腎臟損害的嚴重程度與SLE的預後密切相關腎臟受累及進行性腎功能損害是SLE主要死亡原因之一,應引起臨床足夠重視。
流行病學
狼瘡腎炎病因
治療1.免疫遺傳缺陷 SLE的發生與遺傳因素有關家族發病率高達3%~12%,有明顯家族聚集傾向。在對SLE患者的HLA系進行了廣泛研究後發現了與SLE密切相關的基因主要在HLA的某些基因位點上,尤其是HLA DR區HLA表現型呈多型性。研究證實在人群中具有單倍體型HLA B8/DR2者較易產生細胞及體液的超敏免疫反應;這可能是由於T及B淋巴細胞及抗原呈細胞上HLA編碼的多態所致,表現為T抑制細胞功能低下,自身抗體及球蛋白增高。現在有人認為SLE易感基因為T細胞抗原受體不同結構的基因。近來研究發現T細胞B鏈的一些多肽結構與HLA DR在同一個體中同時出現,提高了SLE發病的可能性另外SLE還存在多種補體缺陷,如C2C1qC1r、C1sC4、C5、C8和Bf、TNF、C1酯酶抑制因子缺乏等。這些補體成分或遺傳基因缺陷,均可影響到補體傳統激活途徑,增加機體對感染等激發因子的敏感性而與SLE易感性相關。
2.外界環境因素 誘發或加重SLE的外界因素眾多其中慢性感染藥物、物理因素情緒刺激生活環境等都較為重要。
狼瘡腎炎(1)慢性感染:常見者為慢性病毒感染在電子顯微鏡下發現SLE病人組織中有管網狀包涵體與副黏病毒的核蛋白及核心的管狀結構相似,但進一步研究認為這是一種細胞損害的非特異性表現。也有人從SLE患者腎小球內皮細胞漿、血管內皮細胞、皮損中都發現類似包涵體的物質。但從含包涵體樣物質的組織還未能分離出病毒,故這些物質與病毒感染關係有待證實在SLE病人中,存在多種高滴度的抗病毒抗體,例如抗麻疹、抗風疹、抗副流感、抗EB病毒抗流行性腮腺炎、抗黏病毒等抗體。在患者血清中還有ds-DNA、dsRNA和RNA-DNA等反轉錄病毒的抗體也有人提出SLE的發病與C型RNA病毒有密切關係總的來講,不少跡象說明病毒感染可能是SLE的病因之一,但尚未證實病毒感染與SLE病人的免疫調節異常及發生自身免疫有關此外,也有人認為SLE的發病與結核或鏈球菌感染有關。
(2)藥物:多種藥物與SLE發病有關,但致病機制各不相同。
①誘發SLE症狀的藥物有青黴素、磺胺類、保泰松金製劑等。這類藥物進入體內,先引起變態反應然後激發狼瘡素質或使潛在的SLE患者發病,或使患有SLE者病情加重,停藥不能阻止病情發展。
②引發狼瘡樣綜合徵的藥物有肼屈嗪、普魯卡因胺、氯丙嗪苯妥英鈉、異煙肼丙基及甲硫氧嘧啶等。這類藥物長時間大劑量使用後,患者可出現SLE的臨床症狀和實驗室改變,但發病機制尚未清楚。有人認為氯丙嗪在紫外線照射後與可溶性核蛋白結合增強其免疫性,肼屈嗪與可溶性蛋白結合在體內能增強自身組織成分的免疫原性。此類患者在停藥後症狀能自行消退或殘留少數症狀不退隨著新藥品的不斷出現也有人認為藥物可作為外源性載體,與宿主組織決定簇結合,誘發自身抗體產生因此,臨床使用藥物時應注意藥物性狼瘡的發生
(3)物理因素:約1/3 SLE患者對日光過敏,紫外線能誘發皮損或使原有皮損加劇,少數病例且可誘發或加重系統性病變。正常人皮膚組織中雙鏈DNA經紫外線照射後可發生二聚化,形成胸腺嘧啶二聚體,而去除紫外線照射後可修復解聚SLE患者有修復二聚化DNA的缺陷,過多的胸腺嘧啶二聚體則可能成為致病性抗原。也有人認為紫外線照射可使皮膚細胞受損,抗核因子得以進入細胞內,與胞核發生作用,產生皮膚損害另外,X線照射、寒冷、強烈電光照射也可誘發或加重SLE病情。
(4)飲食:含有補骨脂素的食物,如芹菜、無花果、歐洲防風等,具有增強SLE患者光敏感的潛在作用;含有聯胺基因的蘑菇、煙燻食物、食物染料及菸草等可誘發藥物性狼瘡;含有L-刀豆素的苜蓿類的種子新芽及其他豆莢類等也可誘發狼瘡。限制熱量及脂肪酸的攝入量可降低鼠狼瘡的嚴重程度推測此舉可能對SLE患者有益。
(5)其他:石棉矽石、氯化乙烯及含有反應性芳香族胺的染髮劑可能與SLE發病有關。嚴重的生理、心理壓力皆可誘導SLE的突然發作。
3.內分泌因素 SLE主要累及女性,育齡期女性的患病率比同齡男性高9~13倍,但青春期前和絕經期後女性患病率僅略高於男性。故認為雌激素與SLE發生有關。無論男性或女性SLE患者其16α-羥化雌酮和雌三醇水平均顯著增高。女性避孕藥有時也可誘發狼瘡樣綜合徵。人體及動物試驗研究均證明,雌激素可增加B細胞產生針對DNA的抗體,而雄激素可抑制此種反應,近來發現SLE患者血清中泌乳素升高,導致性激素的繼發性變化,此有待進一步研究證實。
發病機制
預後1.公認LN是典型的自身免疫複合物腎炎 其證據為:
(2)體內有大量的自身抗體,包括核內的抗單、雙鏈DNA、抗SM、抗RNP、抗核蛋白等;胞質內的抗La、Ro等;細胞的抗淋巴細胞、抗血小板、抗內皮細胞等以及細胞外基質的某些成分蛋白如基底膜上的IV型膠原等其中DNA-抗DNA抗體是引起腎臟損害的主要免疫複合物之一。
(3)患者循環中免疫複合物陽性。免疫螢光檢查證實腎組織有DNA-抗DNA免疫複合物沉積。
(4)存在低補體血症。
(5)組織學改變呈免疫反應特徵,包括淋巴細胞及漿細胞浸潤。
(6)使用皮質激素及細胞毒藥物治療有效。
2.免疫複合物的形成與沉著是LN引起腎損害的主要機制。
(1)循環免疫複合物在腎臟沉積:一些外來抗原(如病毒)和內源性抗原(如DNA、免疫球蛋白、淋巴細胞表面抗原等)作用於免疫調節功能異常的患者,使B淋巴細胞高度活躍增殖,產生大量自身抗體並與相應抗原結合形成免疫複合物沉積於腎臟,並引起腎小球損傷這是主要發病機制。該過程受到循環免疫複合物大小、電荷性、親和性及腎小球系膜對其清除能力,局部健康搜尋的血流動力學等影響。該形式主要導致系膜增殖及毛細胞血管內皮增殖型病理改變。
(2)種植抗原:核抗原或其他抗原預先在腎小球上皮下結合形成所謂種植抗原,再與相應循環中抗體相結合,形成原位免疫複合物。
(3)原位免疫複合物形成:循環抗體和腎小球、腎小管或血管壁基底膜內源性抗原相結合形成原位免疫複合物
上述沉著於腎單位的免疫複合物,激活補體系統,引起一系列的免疫損傷反應,如血管內凝血因子激活,毛細血管通透性增加,中性粒細胞單核細胞等炎症細胞的浸潤,局部組織細胞的壞死,裂解酶的大量釋放或蛋白溶解,以及一系列調節腎小球細胞增殖、基質增生的細胞因子的釋放等,從而導致腎組織損傷。參與腎臟損害的尚有其他體液因子如激肽、緩激肽系統在此過程中,血小板及血管內皮細胞功能異常,血小板激活及凝血系統激活也參與腎損傷過程。與原發性腎小球腎炎發病機制不同的是,免疫損傷中補體激活即可通過傳統途徑,也可通過旁路途徑。除體液免疫外,也有T細胞免疫功能異常,如T抑制/T輔助細胞比值異常等也參與本病免疫發病機制細胞因子與LN關係密切,LN存在多種細胞因子的異常表達,如IL-2受體IL-6、IL-1、IL-4、TNF、TCAM-1、IFN等在LN中表達均增高,說明細胞因子參與了LN的發病。近年來研究認為在SLE患者可能存在各種類型細胞凋亡增多,導致核小體等核抗原過度釋放,刺激體內免疫系統,激活淋巴細胞,而被激活的T、B淋巴細胞由於可能存在激活誘導細胞死亡途徑異常凋亡減少,從而使體內處於過度活化狀態的T、B細胞數目明顯增多產生各種自身抗體引起SLE的發病。
此外,LN的發病機制也可能與其他多種因素有關,如免疫調節障礙,多克隆B細胞活化產生眾多自身抗體,形成自身免疫反應;黏附因子與細胞浸潤,內分泌激素失調遺傳因素環境因素等。總之,本病實為多元性疾病。
臨床表現
狼瘡腎炎1.SLE的腎外表現
(1)一般症狀:大多數患者可出現全身乏力、體重下降消瘦的表現90%的患者有發熱,其中65%作為首發症狀。熱型不定,可為間歇熱、弛張熱、稽留熱或慢性低熱40%可超過39℃,應注意是否因感染所致,特別是套用大劑量激素治療的患者
(2)皮膚黏膜損害:SLE的皮膚黏膜損害多種多樣發生率在80%以上。50%的病人可出現蝶形紅斑,為鼻樑和雙顴頰部呈蝶形分布的水腫性紅斑(鼻唇溝處無皮損),可有毛細血管擴張和鱗屑,滲出嚴重時可有水皰和痂皮紅斑消退後一般不留瘢痕。20%~30%的患者可出現盤狀紅斑,多位於暴露部位的皮膚,為環形、圓形或橢圓形的紅色隆起斑片,表面可覆有鱗屑及角質栓,皮損消退後常留有瘢痕。蝶形紅斑和盤狀紅斑均為SLE的特徵性皮損,日光或紫外線照射會加重。35%~58%的SLE患者可有光過敏。50%~71%的患者可出現脫髮是SLE活動的敏感指標之一。約50%的患者可出現血管性皮膚病變,為小血管及毛細血管炎症或痙攣所致。包括網狀青斑、血管炎性皮膚損害、雷諾現象、甲周紅斑、蕁麻疹樣皮損、凍瘡樣狼瘡樣皮損及毛細血管擴張等。7%~14%的患者可出現黏膜糜爛或無痛性潰瘍。
(3)關節和肌肉病變:約95%的患者可出現關節疼痛和關節炎,常見於四肢小關節。5%~10%的患者有無菌性股骨頭壞死,多因長期、大量、不規則使用激素所致。半數患者有肌痛和肌病,甚至出現明顯的肌無力症狀或肌肉萎縮。關節肌肉病變常與病情活動有關。
(4)肺和胸膜病變:28%~50%患者可出現胸膜炎、胸膜腔積液。積液多為黃色滲出液以單核細胞為主,需與結核性胸膜炎鑑別。有認為,胸腔積液ANA≥1∶160或胸腔積液/血清滴度≥1或SM抗體陽性有助於SLE胸腔積液的診斷。2.7%~10.1%有急性狼瘡性肺炎,死亡率較高,主要死因是呼吸衰竭和肺栓塞。急性狼瘡性肺炎缺氧症狀較重X線表現為雙肺瀰漫性斑點狀陰影,以下肺野偏多,陰影變化大,大劑量激素治療效果明顯。
(5)心血管系統表現:50%~55%的SLE患者可合併有心臟病變,包括心包炎、心肌炎、心瓣膜病變、心律失常和高血壓。
(6)血液系統病變:50%~75%的患者出現正色素正細胞性貧血。可為自身免疫性溶血性貧血,部分與SLE的炎症、腎功能不全失血飲食失調、藥物作用等有關。50%~60%的患者可出現白細胞減少,多在4.0×109/L以下淋巴細胞減少症(<1.5×109/L)更多見於疾病活動期。20%~50%的患者可並發輕度的血小板減少,多在(50~150)×109/L,5%~10%的患者可少於50.0×109/L以下,是SLE病情活動的常見臨床表現。此外,25%的SLE患者存在多種狼瘡抗凝物質如抗Ⅷ、Ⅸ、Ⅺ、Ⅻ、凝血因子等,導致凝血功能異常。
(7)胃腸道症狀:25%~50%的患者可出現食欲不振、噁心嘔吐、腹痛、腹瀉。30%的患者可有肝腫大和肝功能異常少數有脾大
(8)精神神經系統表現:50%~60%可出現神經精神病變臨床表現複雜多樣。症狀包括精神異常(如抑鬱、躁狂智慧型缺陷、精神錯亂等)、癲癇、偏癱、偏頭痛、舞蹈病、外周神經炎及視網膜病變等。多數與狼瘡病情活動有關,預後差,是SLE的重要死亡原因。
(9)其他:月經不規則、痛經,經量過多或過少。部分患者可有無痛性淋巴結腫大、腮腺腫大、結膜炎等。
2.SLE的腎臟表現 患者出現腎臟損害時稱為狼瘡腎炎(LN)。大約70%的SLE有腎臟損害的臨床表現。狼瘡腎炎(LN)起病可隱襲也可急驟,症狀可輕可重。狼瘡性腎炎累及的症狀幾乎包括腎小球、腎小管間質和腎血管損害的一系列症狀,水腫很常見,1/6的患者在確診時有腎功能不同程度的下降。按其臨床症狀可分以下幾型:
(1)輕型:即無症狀性血尿和(或)蛋白尿型,本型占30%~50%,臨床較常見。臨床表現為輕~中度蛋白尿和(或)血尿,而無水腫高血壓等尿蛋白小於1g/d,腎功能正常。病理多為系膜增生型或局灶節段型狼瘡性腎炎,預後良好。
(2)急性腎炎綜合徵型:較少見,臨床表現如鏈球菌感染後急性腎炎,起病急有一定程度血尿、蛋白尿管型尿。可有水腫、高血壓,偶可發生急性腎衰。
(3)急進性腎炎綜合徵型:較少見,臨床上酷似急進性腎小球腎炎起病急驟,發展迅速,出現少尿甚至無尿,常有血尿、蛋白尿管型尿,可有水腫,常無高血壓或僅有輕度高血壓,貧血和低蛋白血症。腎功能在短期內迅速惡化,數周或數月則發展至尿毒症。病理改變常為嚴重的瀰漫增生型、新月體腎炎或有伴嚴重的血管炎。
(4)腎病綜合徵型:最常見約占60%病人起病呈腎病綜合徵表現。即大量蛋白尿(>3.5g/d)、低蛋白血症,可有明顯水腫,但不一定有血膽固醇升高。狼瘡性腎炎的腎病綜合徵常有兩種情況,一種單純有腎病綜合徵的表現,血尿無或少,無高血壓或僅有輕度高血壓,此類型病變發展緩慢,腎功能在長時間保持穩定,病理多為膜型狼瘡性腎炎另一種除腎病綜合徵的症狀外,伴有血尿、高血壓和腎功能損害如不及時治療,多數可於2~3年內發展至尿毒症,病理常為瀰漫增生型狼瘡性腎炎。
(5)慢性腎炎綜合徵型:表現為持續性蛋白尿、血尿、管型尿和不同程度的水腫、高血壓、貧血及腎功能不全。病程長,遷延不愈發展至尿毒症。病理常為瀰漫增生型狼瘡性腎炎。
(6)腎小管綜合徵型:少見,表現為慢性間質、小管損害,可出現夜尿增多、尿比重降低、高血壓、尿酶增高、電解質酸鹼平衡紊亂等。以遠端腎小管損害多見,可出現完全性或不完全性腎小管酸中毒。此型常與其他類型合併存在。
臨床“寂靜”型:沒有腎臟損害的任何症狀體徵,尿液檢查陰性,但腎臟病理顯示有狼瘡性腎炎。狼瘡性腎炎的終末期,可發生尿毒症鶒此時患者的狼瘡活動表現可不明顯。
(7)抗磷脂抗體型:抗磷脂抗體陽性,臨床上主要表現為大、小動靜脈血栓及栓塞,血小板減低及流產傾向,可合併較大腎血管血栓栓塞,腎毛細血管血栓性微血管病變,引起腎功能損害,特別是腎功能衰竭。死亡率高於無此種抗體的病人。有報導此型中8.4%病人與溶血性尿毒症綜合徵、血栓性血小板減少性紫癜、惡性高血壓相併存。
併發症
主要並發急慢性腎炎綜合徵,腎病綜合徵,腎小管綜合徵,並可合併較大腎血管血栓栓塞,腎毛細血管血栓性微血管病變,引起腎功能損害,特別是腎功能衰竭。
診斷
食療SLE的診斷標準多採用1982年美國風濕病學會修訂的SLE診斷標準,11項標準中符合4項或以上即可診斷。其敏感性和特異性都較高,分別為93.1%和96.4%
該標準對一些早期、輕型或不典型的病例易漏診,為了提高SLE診斷的敏感性,國內1982年也提出了一個診斷標準,即在美國標準的基礎上增加了皮膚LBT檢查和血清補體實驗,血清補體如低於正常者有助於診斷SLE。其敏感性達97.5%,特異性為93.6%。
對狼瘡性腎炎的診斷要注意兩點。第一,凡診斷為SLE者要注意有無腎臟病變存在有條件者應行腎活檢病理檢查。第二,由於約6%的SLE患者,以腎臟損害為最先出現和唯一的臨床表現,故凡有腎小球疾病表現者,均應注意是否為SLE所致。根據詳細的病史詢問、體格檢查實驗室檢查、病理學檢查,對比SLE的診斷標準,常能作出正確診斷。
鑑別診斷
狼瘡腎炎1.原發性腎小球疾病 不發熱,除非合併感染。
2.腎炎伴腎外表現如關節痛、皮疹等,尤其是青年女性,應高度懷疑狼瘡性腎炎。
3.確診為原發性腎小球疾病之前有條件者應常規行血清免疫學檢查,抗ds-DNA抗體、抗Sm抗體等,以免誤診。
4.必要時行免疫病理檢查(皮膚狼瘡帶試驗和腎活檢),亦有助於鑑別。
實驗室檢查
就診2.血常規檢查 有血液系統受累的SLE患者,可出現:
(1)紅細胞減少血紅蛋白減少,同時可伴有網織紅細胞增多,Coombs試驗陽性。
(2)白細胞減少,可在4.0×109/L以下,用較大劑量激素治療的患者,可有白細胞和中性粒細胞數升高。
(3)血小板減少,常在100×109/L以下。
3.血液化學檢查 活動性SLE的患者幾乎均有血沉增快,部分患者即使在病情緩解期血沉仍然較高。絕大多數狼瘡活動患者有高球蛋白血症,主要是γ-球蛋白增高,少數患者有冷球蛋白血症和補體水平(C3、C4、CH50,尤其是C3)下降;可有循環免疫複合物(CIC)增加,血中多種細胞因子如IL-1、IL-2、IL-6、IL-2受體腫瘤壞死因子增加。除非合併感染,C反應蛋白一般不高。
4.自身抗體檢查 SLE時血中可出現多種自身抗體,對診斷有重要意義。
(1)抗核抗體(ANA):陽性率高,達95%,特異性約70%,可作為良好的篩選試驗,周邊型或均質型對SLE診斷意義較大,而斑點型和核仁型可見於其他的結締組織病。當ANA≥1/80時對診斷頗有特異性。
(2)抗ds-DNA抗體:未經治療的SLE患者抗ds-DNA抗體陽性率約為72%特異性較高,可達96%,僅偶見於舍格倫綜合徵類風濕性關節炎及慢性活動性肝炎抗ds-DNA抗體的濃度變化對判別SLE活動有一定價值。
(3)抗Sm抗體:陽性率低僅見於25%的SLE患者但特異性極高,可達99%
(4)抗組蛋白抗體:陽性率為25%~60%,特異性較高,藥物性狼瘡90%陽性,偶可見於類風濕性關節炎及舍格倫綜合徵等。
(5)抗SSA(Ro)及抗SSB(La)抗體:兩種抗體對診斷SLE的敏感性和特異性均較差主要見於舍格倫綜合徵患者。
(6)其他抗體:SLE時還可有多種自身抗體存在,如抗rnp抗體抗磷脂抗體、抗中性粒細胞胞質抗體(ANCA)、抗紅細胞抗體、抗血小板抗體、抗淋巴細胞抗體、抗骨骼肌細胞抗平滑肌細胞抗體、抗甲狀腺上皮細胞抗體等。
其它輔助檢查
病理表現皮膚LBT對診斷SLE具有較高的價值。一般取材部位在暴露部位非皮損皮膚,多取腕上伸側外觀正常的皮膚,在皮損部位取材假陽性率高。用直接免疫螢光法在皮膚的表皮與真皮連結處或皮膚附屬器官基底膜處見到一條由IgG、IgM和(或)其他免疫球蛋白、補體組成的黃綠色螢光帶,呈均質或顆粒狀,則為LBT試驗陽性。對無腎外表現的LN,鑑別診斷有困難時,皮膚LBT有重要意義。
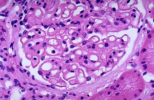
SLE的腎臟病變多種多樣。其病理改變的特徵為:
(1)“鐵線圈”樣病損:由於內皮下沉積物而使基膜增厚,電鏡和免疫螢光檢查有大量的內皮下沉積物,是SLE腎損害的重要特徵。
(2)蘇木精小體:一般認為是抗核抗體在原位造成細胞損害所致,由高度凝固的細胞核染色而成。
(3)壞死性血管炎:微動脈和毛細血管呈纖維素樣壞死。
(4)電鏡下可見電子緻密物沉積核碎裂、病毒樣顆粒和包涵體。
(5)免疫螢光檢查:免疫球蛋白沉積。
其病理表現按WHO分型(1982)可分為6型:
Ⅰ型正常腎小球型:極少見,光鏡及免疫螢光檢查腎小球大致正常。
Ⅱ型系膜增生型:病變局限於系膜區,光鏡下無異常或輕度節段性系膜增生(Ⅱa型)或有一定程度的系膜增生(Ⅱb)。免疫螢光可見系膜區IgG和(或)IgM、C3C4、C1q沉積,呈顆粒狀。電鏡下可見系膜區電子緻密物沉積腎小球上皮細胞足突呈節段性消失。常無腎小管、間質及血管的異常。
Ⅲ型局灶節段型:在系膜病變的基礎下,部分(<50%)的腎小球毛細血管亦同時受累,出現節段性細胞增生,可伴細胞壞死免疫螢光檢查表現在系膜區和毛細血管壁有IgG、IgM、IgA、C1qC3、C4備解素呈顆粒狀沉積電鏡可見內皮下系膜區電子緻密物沉積。
Ⅳ型瀰漫增生型:最常見,約占半數以上。病變嚴重而廣泛,光鏡下可見幾乎所有的腎小球均程度不等地受累,系膜細胞和內皮細胞增生,白細胞聚集,細胞核破碎現象明顯,可有新月體形成可出現鐵絲圈樣病損和蘇木精小體。免疫螢光檢查可見腎小球所有區域IgG、IgM、IgA、C1qC3、C4等呈顆粒狀沉積呈“滿堂亮”現象。電鏡下可見系膜區、內皮下有顯著的電子緻密物沉積。
Ⅴ型膜型:較少見。與原發性膜性腎病相似,但同時有系膜及內皮細胞增生。免疫螢光可見IgG、IgM、IgA、C1q、C3C4及備解素沿毛細血管壁呈顆粒狀沉積,亦可見於系膜區。電鏡下可見系膜區、內皮下、小管間質等處電子緻密物沉積。本型可進一步分為Ⅴa(與原發性膜性腎病相似)、Ⅴb(伴瀰漫性系膜病變)、Ⅴc(伴局灶性細胞增生或硬化)、Ⅴd(伴瀰漫性增生性腎炎病變,有時伴新月體形成)。
Ⅵ型腎小球硬化型:以腎小球硬化為主,而缺乏其他病變。
除腎小球病變外,LN常有腎小管、間質和血管的累及。腎小管、間質常有炎症細胞浸潤,伴有腎小管變性、壞死和萎縮Ⅳ型LN患者,腎間質病變較嚴重,可有間質纖維化、細動脈和進球小動脈等血管內皮細胞腫脹和壞死,管腔狹窄。少數患者有壞死性小血管炎。免疫螢光可見免疫球蛋白和補體在間質、小管基底膜、毛細血管壁等部位沉積。
狼瘡性腎炎的各型病理改變並不是固定不變的,不少患者隨著病情發展或有效治療而出現病理類型的相互轉變。如病情惡化可從Ⅱ、Ⅲ型轉變為Ⅳ型,或經有效治療後可從Ⅳ型變為Ⅲ型、Ⅱ型。一般膜型轉變較少出現
認為LN腎組織活動性指數和慢性指數對指導治療和估計預後有重要的價值。狼瘡腎組織活動指數包括:腎小球細胞明顯增多、腎小球節段性壞死、鐵絲圈樣病變、細胞性新月體、核碎裂或蘇木精小體透明血栓形成、間質細胞浸潤小動脈纖維壞死。慢性指數包括:腎小球硬化纖維素性新月體和粘連、腎間質纖維硬化、腎小管萎縮、腎小血管硬化。以上各項按輕、中、重分別評為1,2,3分。活動指數升高是積極給予激素、免疫抑制藥治療的重要指征。慢性指數則與晚期腎臟病的程度呈正相關活動性指數輕~中度升高提示病情有可逆性,積極治療後腎功能可好轉或穩定活動性指數和慢性指數均中度升高者仍是積極治療的強烈指征。活動指數重度升高時仍應積極治療,但它反映腎臟結構有嚴重的活動性破壞,常可導致瘢痕形成。
治療
狼瘡腎炎1.糖皮質激素 自1948年腎上腺皮質激素首次被用於治療SLE後,糖皮質激素(簡稱激素),仍然是治療LN的傳統藥物。一般選擇標準療程的潑尼松治療,即首始治療階段,予潑尼松1~1.5mg/(kg·d),每天晨頓服,8周后開始減量每周減原用量的10%,至小劑量[0.5mg/(kg·d)]時,視情況維持一段時間後繼續減量至維持量(隔天晨0.4mg/kg)現認為如終生服藥可以減輕復發。有學者認為對腎病綜合徵型LN,如首始治療階段激素劑量不足則往往無效,腎小球損害會持續發展而導致尿毒症對表現為重症腎病綜合徵或伴有急進性腎功能衰竭者,可先予甲潑尼龍0.5~1.0g加入生理鹽水中靜脈滴注,衝擊治療3天再改為標準療程潑尼鬆口服治療。在激素治療首始階段,可配合滋陰降火中藥,以減少外源性大劑量激素的副作用,在激素撤減至小劑量以後,酌加補氣溫腎中藥,以防止病情反跳和激素撤減綜合徵。
2.細胞毒性藥物 臨床實踐表明細胞毒性藥物聯合激素治療較單純套用激素治療者療效要好得多。常用的細胞毒性藥物有:
(1)環磷醯胺(CTX):在眾多的細胞毒性藥物中,環磷醯胺(CTX)是最為廣泛用於治療LN的藥物。狼瘡性腎炎患者用激素加環磷醯胺(CTX)治療,對保存腎功能、減少腎臟死亡率較單純使用激素治療療效更明顯。重複腎活檢顯示使用激素加環磷醯胺(CTX)治療的患者,其腎臟狼瘡活動指數和慢性指數均低於單純套用激素的患者激素治療失敗的患者,如加用環磷醯胺(CTX)也能取得良效。近年來有資料顯示,大劑量靜脈環磷醯胺(CTX)衝擊治療對腎臟的保護效果比口服為好並且各種副作用反而更輕。靜脈環磷醯胺(CTX)衝擊療法國外多採用每次0.75~1.0g/m2鶒,每月1次,用6次後改為每3個月1次,共2年同時口服小劑量潑尼松(0.5mg/kg)。對於高度狼瘡活動者,也可採用2周衝擊的方法,即在標準激素治療的同時予以環磷醯胺(CTX)8~12mg/kg加入生理鹽水中靜脈點滴或靜注連續2天,每隔2周衝擊1次,至累積總量為150mg/kg後,改為每3個月衝擊1次,直至病情穩定1~2年後可考慮停止環磷醯胺(CTX)衝擊治療。美國NIH研究小組的研究結果顯示,長療程環磷醯胺(CTX)治療組(環磷醯胺0.5~1.0g/m2靜脈滴注,每月1次,6次後改為每3個月1次,共2年)對保護腎功能、減少狼瘡復發的效果明顯好於短療程環磷醯胺(CTX)治療組(環磷醯胺0.5~1.0g/m2靜脈滴注,每月1次,共6次)。
1998年Brodsky等報導靜脈注射大劑量環磷醯胺(CTX) [50mg/(kg·d)],連續4天,配合重組人體粒細胞集落刺激因子(G-CSF),而不移植造血幹細胞治療SLE獲得成功。不移植造血幹細胞能恢復造血功能的理論依據是骨髓幹細胞表達高水平的醛脫氫酶可保護幹細胞免受環磷醯胺(CTX)的細胞毒作用。此方法尚有待進一步的臨床觀察。
環磷醯胺(CTX)進入體內代謝後約20%從腎臟排泄,因此,當患者Ccr<30ml/min時要適當減少用藥劑量。另環磷醯胺(CTX)不能被透析完全清除,因此透析患者用量要減少,約為原量的75%。
(2)硫唑嘌呤:硫唑嘌呤(azathioprine,Aza)具有免疫抑制作用其能直接抑制B細胞功能,耗竭T淋巴細胞,並能減少狼瘡病人的免疫複合物在腎臟沉積,此外尚有非特異性抗炎作用。有資料顯示,激素加口服硫唑嘌呤(Aza)治療與激素加靜脈環磷醯胺(CTX)治療具有相同的療效,而且不良反應更少。但對本藥的研究報導相對較少,有待進一步觀察另其對急性或嚴重SLE患者的療效不及靜脈環磷醯胺(CTX)。近年來多主張環磷醯胺(CTX)衝擊治療6~8次後改為口服硫唑嘌呤(Aza)治療待病情穩定後再考慮撤藥。在常規免疫抑制藥量[2~2.5mg/(kg·d)]下長期套用硫唑嘌呤(Aza)的副作用少見。
3.環孢素 環孢素(cyclosporine A,CsA)越來越多用於SLE,特別是LN的治療。1989年Favre等報導了26例LN患者每天使用環孢素(CsA)5mg/kg治療2年後,疾病活動指數、淋巴細胞活化指數明顯降低組織學顯示狼瘡活動指數和慢性指數也明顯降低,尿蛋白明顯減少,腎功能有輕度改善,並且減少了激素用量Balletta等(1992)對兩組LN患者進行環孢素(CsA)3mg/(kg·d)聯合潑尼松與單獨使用潑尼松治療的對照研究,發現12個月後,儘管兩組的Cer均無明顯改善但環孢素(CsA)治療組尿蛋白從而2.7g/24h減少到0.3g/24h,而單用激素組尿蛋白從2.1g/24h增加至2.6g/24h。曾報導環孢素(CsA)與環磷醯胺(CTX)衝擊療法總體療效相似,環孢素(CsA)能早期誘導LN臨床緩解,減少激素和環磷醯胺(CTX)用量及其相應的副作用。也曾報告,在臨床中對某些激素加環磷醯胺(CTX)治療無效或因種種原因不能使用環磷醯胺(CTX)治療的患者,採用環孢素(CsA)聯合激素治療成功Hussein等(1993)用環孢素(CsA)治療5例女性LN,其中2例孕婦也獲得良好療效並正常順產嬰兒良好,因此有認為環孢素(CsA)可代替環磷醯胺(CTX)用於孕婦狼瘡的治療。一般環孢素(CsA)用量為5mg/(kg·d),分2次口服,服用3個月以後每月減1mg/kg至23mg/(kg·d)做維持治療。在有條件測定血藥濃度的單位,血藥谷濃度應維持在250~350ng/ml。套用期間必須密切監測肝腎功能,另本藥還存在著停藥後極易復發的問題,且藥費昂貴,仍暫不推薦作為第一線治療藥物。FK506是另一種與環孢素(CsA)具有相似作用機制的藥物,但毒副作用低於後者也有用於治療SLE的報導。
4.霉酚酸酯 霉酚酸酯(mycophenolate mofetilMMF)是一種新一代的免疫抑制藥,其作用機制為:選擇性抑制淋巴細胞鳥嘌呤經典合成途徑抑制T和B細胞增殖抑制抗體生成;還可阻斷細胞表面黏附分子合成,抑制血管平滑肌細胞增殖。1997年Corna等首先報導霉酚酸酯對實驗性狼瘡性腎炎治療有明顯效果,隨後,有學者將之用於對CTX無效或不能耐受的狼瘡性腎炎患者,蛋白尿明顯減少腎功能穩定1998年國內也有報導用霉酚酸酯(MMF)治療17例難治性Ⅳ型LN患者3~9個月蛋白尿明顯減少,重複腎活檢示腎小球活動性病變顯著減輕。套用霉酚酸酯(MMF)治療LN,初步結果令人滿意。霉酚酸酯(MMF)對LN的治療尚缺乏多中心、大樣本、長時期的觀察,有待進一步深入研究。由於霉酚酸酯(MMF)副作用輕,肝腎毒性小,無骨髓抑制作用,套用前景令人鼓舞。用量為0.5~1.5g/d,分2~3次口服。用藥期間需注意血象改變及防止感染髮生。本藥昂貴,仍暫不宜作為治療LN的第一線藥物。
5.大劑量免疫球蛋白 自1981年Imbach等首次套用靜脈注射大劑量免疫球蛋白(IVIG)成功治療特發性血小板減少性紫癜以來,已陸續有套用於治療SLE。Francioni對12例頑固性SLE患者用IVIG治療0.4g/kg,1次/d,連續5天,每4周重複1次,觀察26~24個月,11例獲得明顯臨床改善,並且未見不良反應。對某些重症LN患者;體質極度衰弱,肝功能差,白細胞、血小板低下,環磷醯胺(CTX)及激素套用有禁忌者;並發全身性嚴重感染者;SLE合併妊娠且出現抗磷脂抗體綜合徵者,是一種強有力的輔助治療措施。用IVIG已成功地搶救了不少危重的難治性LN患者。劑量尚未統鶒一多為0.4g/(kg·d),每天靜脈點滴,連用3~5天為一療程1個月後可重複。
6.血漿置換與免疫吸附法 對危害生命的SLE暴髮型狼瘡、急進性LN、迅速發展的腎綜、高度免疫活動者、常規治療無效或對激素免疫抑制藥治療無效或有套用禁忌者可考慮套用。免疫吸附法對致病性免疫物質清除更好,多用蛋白A作吸附劑。一般每次按公斤體重除去40ml血漿,每周3次共2~6周。此療法須同時使用免疫抑制藥,可預防或改善血漿置換後體內抗體產生反跳。但一個多中心對86例嚴重活動期狼瘡性腎炎進行對照研究,未顯示出該療法對腎臟存活率和患者生存率有任何優越性,故尚需進一步觀察。
1994年德國Christian-Albrecht大學免疫學疾病研究中心主任Euler。用血漿置換聯合大劑量環磷醯胺(CTX)治療重症SLE患者6個月後獲得停藥和長期緩解的效果,並提出了SLE治癒的概念方法是在治療前3周停用免疫抑制藥在開始治療前3天停用激素,然後進行血漿置換,1次/d,每次置換量為60ml/kg,連用3天停用免疫抑制藥和激素並進行血漿置換的目的是激活狼瘡克隆的免疫細胞,使之對環磷醯胺(CTX)更為敏感。在第34,5天,靜脈注射大劑量CTX[500~750mg/(m2·d)],治療期間,需密切注意血象變化,當白細胞計數<1.0×109/L時(通常在第12天左右)皮下注射非格司亭(G-CSF),直至白細胞計數>2.0×109/L,當白細胞計數>3.0×109/L開始每天口服環磷醯胺(CTX) (50~350mg/d),將劑量調整為使白細胞計數保持在(2.0~4.0)×109/L連續6個月。在第67,8天予以靜脈注射潑尼松龍3mg/(kg·d)。後改為口服潑尼松龍治療,起始劑量為50mg/d,連服1周再以每周減5mg的速度減量,在第3~4個月停用
7.造血幹細胞移植 對嚴重的頑固性SLE用預處理劑量環磷醯胺(CTX)對患者的造血細胞和免疫系統進行深層次清除,隨後進行自體或異體造血幹細胞移植,使患者體內免疫系統得到重建,有可能成為治癒SLE的方法。國內外均有報導用自體幹細胞移植治療SLEBurt等用自體骨髓幹細胞移植治療SLE病情顯著改善可完全緩解,南京大學醫學院鼓樓醫院也報導了套用自體骨髓幹細胞治療1例頑固性SLE的經驗。國外也有用同種異體幹細胞移植治療人類SLE的報導,但造血幹細胞移植仍處於初步嘗試階段,尚待進一步的臨床試驗和總結。
8.其他 其他可能用於LN治療的方法尚有:
(1)全身淋巴結放射治療:20世紀80年代有學者試用全身淋巴結放射治療17例LN患者(每4~6周2000rad),取得較好療效。
(2)UVA-1放射:McGrath(1994)報導用波長為340~400nm的UVA-1放射治療SLE獲得較好療效,而且無不良反應。此方法尚待進一步研究。
(3)抗CD4單克隆抗體治療:有報導用此抗體0.3mg/kg聯合潑尼松50mg/d治療1例難治性LN,3周后尿蛋白排泄明顯減少CD4數目下降。
(4)抗CD5單克隆抗體治療:有報導用於治療LN取得一定療效。
(5)LPJ394:為B細胞DNA耐受原經大宗的臨床研究顯示,可明顯地降低血清dS-DNA抗體水平,並且相當安全。
(6)氟達拉濱(Fludarabine):是一種新的免疫抑制藥,可用於狼瘡性腎炎的治療,但有可能產生嚴重的骨髓抑制。
(7)T-B細胞共刺激信號抑制藥:在活動期狼瘡性腎炎患者,淋巴細胞共刺激信號異常增高對產生自身抗體有密切關係,抗CDl54(B7)抗體可阻斷抗原特異性免疫反應。第二信號的合成抑制藥(細胞毒T淋巴細胞相關抗原4CTLA4-Ig)也能達到相類似(甚至更佳)的效果。已證實這些抑制藥的聯合套用可有效地抑制T、B細胞而不會引起全身免疫抑制作用。最近有報導對T細胞表達高水平CDl54的腎移植和狼瘡性腎炎患者,抗CDl54治療有效。
(8)補體抑制藥:動物實驗已經證實對C5b的單克隆抗體可阻斷C5b-9的膜攻擊作用,減輕狼瘡性腎炎的嚴重程度。該藥物正用於人類的臨床研究。
(9)抗凝治療:包括肝素和其他抗凝藥物蛇毒安克洛酶(Ancrod)等。
(10)雄激素治療:普拉睪酮(去氫表雄烯酮)用於NZB/NZW狼瘡鼠後,蛋白尿出現的時間推遲,壽命延長。可能對輕症SLE有效。
(11)中藥治療:狼瘡方的主要藥物為白花蛇舌草、半枝蓮、紫草土茯苓、蜈蚣等。在用狼瘡方的基礎上,辨證論治地對主證分型加入其他中藥治療可有更好的療效。
9.雖然免疫抑制治療為狼瘡性腎炎的主要治療方法,但並非適用於每個病人也不是所有狼瘡性腎炎病人出現腎功能損害時均需上述的強化免疫抑制藥治療LN的治療應按個體化分級進行,其中腎活檢病理檢查對LN的治療起著重要的指導作用。臨床常根據不同情況選擇治療方案:
(1)系膜增生型LN:為最輕型,通常預後良好,不需要特別的治療,除非其進一步發展成更嚴重的腎小球病變。
(2)局灶節段增生型LN:關於此型LN的預後及治療方案的選擇並不十分清楚輕度的局灶性病變(<25%腎小球病變,主要為節段性的增生)時,不需特別的免疫抑制藥治療僅有5%的病人5年內會發展成腎功能衰竭,但可用激素來控制其腎外症狀而對那些病變範圍較廣泛的[40%~50%腎小球受累伴壞死或新月體形成,顯著的內皮下免疫複合物沉著,腎綜範圍的蛋白尿和(或)高血壓患者],其治療可參照以下瀰漫增生型LN的治療。此時,腎臟的長期預後較差,5年內發展成腎衰的比率可高達15%~25%。此型的治療還需考慮到腎穿刺所得標本的局限性。
(3)膜型LN:關於此型LN的治療方案仍不十分肯定。無症狀的病人通常無需治療。那些有中等程度腎臟病變的患者可用潑尼松治療,而對那些血肌酐水平增加或明顯的腎病綜合徵患者,其治療方法參照瀰漫增殖型的治療。有主張用環磷醯胺(CTX)脈衝治療膜性LN,亦有研究指出激素、苯丁酸氮芥交替使用較單用激素具有更高的緩解率及較低的復發率。LN膜性腎病的預後可有不同,大多數此型病人可在5年內維持正常或接近正常的血肌酐水平。而那些伴嚴重腎病綜合徵或腎功能損害的患者,通常亦對免疫抑制藥反應良好,腎臟10年生存率可高達93%,但亦可發生腎功能惡化。
(4)瀰漫增生型LN:一般認為對於輕度的本型患者,可予以口服激素1mg/(kg·d)誘導若8周內完全緩解,可逐漸減量至隔天0.25mg/(kg·d)維持,並監測有無LN的復發若不完全緩解或對治療無反應及腎功能進一步惡化時則可予以靜脈環磷醯胺(CTX)脈衝1次,隨之遵行以下重症者的治療方案。對較重的患者,則開始即予口服潑尼松1mg/(kg·d)同環磷醯胺(CTX)脈衝每月1次(0.75~1g/m2)聯合治療通常此型LN在6個月內不會完全緩解,所以環磷醯胺(CTX)的脈衝可按每月1次,半年後3個月1次,直至病情緩解後1年。但此藥套用過程中所引起的副作用(嚴重骨髓抑制、出血性膀胱炎、膀胱移行上皮細胞癌)需十分小心。潑尼松則應逐漸減至維持量[0.25mg/(kg·d)]至少維持至LN緩解後3年。亦有採用激素脈衝[甲潑尼龍1g/(m2·d)共3天,每月重複1次直至6~12個月]加口服維持來治療此型LN,但以激素加環磷醯胺(CTX)脈衝的治療方案最常用療效亦較為肯定。總之,凡有此型的存在,就有強化治療的指征。儘管如此,仍有一些病人最終會發展成腎功能不全。
(5)LN伴溶血性尿毒症、血栓性血小板減少或伴血清抗磷脂抗體陽性的血栓性微血管病變時,可考慮在潑尼松與細胞毒藥物治療的基礎上加用抗凝藥物或小劑量阿司匹林以減少血栓栓塞性併發症。如靜脈注射肝素,劑量為75~100mg/d,一般2周為一療程,也可予口服華法林等。雙嘧達莫(潘生丁)為抗血小板聚集藥,可長期配合套用,劑量為50~75mg/d。
(6)對於腎功能急劇惡化、嚴重高血容量、頑固性心衰病例則應採用緊急血液透析或腹膜透析等治療,使病人渡過危險期,為其他治療創造條件。對於病情呈慢性過程病理改變亦以慢性為主者一般不宜盲目地長期使用潑尼松及細胞毒藥物,以防產生嚴重的致死性副作用。
對於一些臨床難治性的LN(通常為Ⅳ型),除了通常所採用的激素環磷醯胺(CTX)及硫唑嘌呤外,尚可採用其他的治療方案如血漿置換,靜注(Ⅳ)IgG、環孢素、霉酚酸酯(MMF)、及全身淋巴結照射等,但這些治療各有局限,且遠期療效不明,有的尚處於探索階段,採用時需根據實際情況慎重考慮。
中草藥配合激素治療,具有減少激素副作用、改善自覺症狀、調節機體免疫功能的特點,並可減輕病人懼怕長期套用激素的心理因素,可作為其他治療取得療效後長期維持鞏固的方法。
(7)LN出現腎功能衰竭的治療:LN患者出現腎功能衰竭,並不一定是由於腎小球硬化、腎單位廢用等解剖學病變所致而可能是由於LN發作時的活動性炎症,以及炎症引起的腎內血管收縮等因素,引起腎功能惡化故經妥善治療後,腎功能有可能好轉而停止透析對在下列情況下的LN應考慮予以積極治療:
①短期內進展至腎功能衰竭的患者。
②影像學顯示腎臟未縮小者;多數腎小球硬化,間質纖維化。
③LN病史未超過2年者。
④有明顯活動性病變的LN透析患者。
有條件的應對上述患者行腎穿刺活檢,如有明顯狼瘡活動的組織學改變,則是予以積極治療的強烈指征對這樣的患者,在透析治療的支持下,予以標準激素按療程治療,配合環磷醯胺(CTX)和中藥治療,腎功能可得到明顯改善,約84%的病人能脫離透析,其中半數病人能恢復正常工作。因此,臨床上應提醒每位醫生對這部分患者的治療,以免喪失良機。當病情活動完全靜止後(一般建議透析1年以上),可做腎移植持續緩解的SLE病人中,移植後移植腎LN復發十分少見。
預後
狼瘡腎炎1.年輕男性發生腎衰的危險性高。
2.氮質血症緩慢進展預示慢性,不可逆腎衰的來臨腎功能急劇下降表示存在活動性、可治性或潛在可逆性。
3.持續性低補體血症預示LN易發展至腎功衰竭。
4.及時控制LN活動可明顯改善其預後
5.腎活檢慢性指數與慢性腎衰的發生呈正相關。
注意事項
1、避免接觸陽光。臨床證明,很多患者的皮膚長時間暴露在陽光下後,會造成紅斑加重,病情惡化。
2、注意戒菸、戒酒。香菸中的尼古丁等有害成分能刺激患者的血管壁而加重血管炎症,而酒是溫烈性的東西,飲酒後,患者原本就存在的內熱情況也會進一步加重。
3、注意飲食忌口。患者不可食用海鮮、韭菜等發物;辛辣、胡椒、芥末等強烈調味品;羊肉、狗肉、馬肉、鹿肉、驢肉、桂圓等性溫熱食物;過鹹、過油等食物;香菇、芹菜、南苜蓿等光敏感食物。
4、保持積極樂觀心態。中醫認為狼瘡腎炎的發病與外邪、飲食、七情所傷有關。狼瘡腎炎患者得病後,過度恐懼、擔心,心情抑鬱、悲傷等,都可傷及五臟六腑,誘發或加重本病。
5、注意氣候變化,避免感冒。狼瘡腎炎病程長,病情極不穩定,若反覆感冒,會導致免疫力下降,加重病情。
6、避免接觸化學物品。臨床發現,工業用的黏合劑、防治蟲草的農藥、裝修房屋的塗料、某些減肥藥品、染髮、化妝品等是誘發狼瘡腎炎的重要原因。
7、慎用各種藥品。有關報導指出,青黴素,灰黃黴素,解熱鎮痛藥,口服避孕藥,鎮靜藥物等,進入人體後,會引起變態反應,誘發或加重紅斑狼瘡腎炎患者的病情。
預防
SLE腎損害的預防,主要依賴於狼瘡的預防以及原發病的早期診斷和合理有效治療。狼瘡的預防可減少腎損害等併發症的發生,合理有效治療可延長患者的存活期。本病死因主要是感染、腎功能衰竭和中樞神經系統病變,近年來SLE 5年及10年存活率分別在95%及85%以上。這與對原發病的早期診斷和合理有效治療密切相關觀。
飲食注意
氣血(陰)兩虛型,宜行氣養血(陰),可吃溫補(陰血)的食物,似鴨肉、鴨蛋、甲魚、西洋參、黃芪、山藥、薏苡仁、白扁豆、核桃肉、烏芝麻、宜清熱養陰,可多吃清冷食物,似西瓜、白菊花、金銀花、薏苡仁、梨、藕、枸杞子、枸杞、馬蘭頭、芹菜、土豆、西紅柿、冬瓜、香蕉等。
魚肝油、肉蛋、奶及奶油、萵苣葉、柑橘等。含維生素d較多的食物有乳造品、鴨蛋等。含維生素b6較多的食物有酵母、谷麥胚芽、玉米、谷麥、燕麥、米糠等。含維生素a豐饒的食物有魚肝油、奶類、蛋等。含胡蘿蔔素豐饒的食物有胡蘿蔔、玉米、紅薯、西紅柿、紅果、櫻桃、枇杷、李子、柑橘等。
苜蓿及黃豆、蠶豆、赤豆等豆類中,因含l-刀豆氨酸,可使狼瘡性腎病惡化,故應限造或儘量倖免食用。

