疾病概述
狼瘡腎系統性紅斑狼瘡是以體記憶體在多種自身抗體、侵犯全身結締組織的一種典型自身免疫性疾病,病變常累及多系統多臟器,很多系統性紅斑狼瘡患者總是將自己的病情與系狼瘡腎像混淆。狼瘡腎是系統性紅斑狼瘡在經過長時間病情發展後所出現的腎小球病變。在比較清楚了解什麼是狼瘡腎的概念後,對系統性紅斑狼瘡患者對狼瘡腎的典型症狀比較關心,以參照自身現有病症大概判斷病情是否發展到狼瘡腎。什麼是狼瘡腎的症狀即全身症狀為發熱、皮疹、口腔黏膜潰瘍;系統器官遭到損害,例如造血系統、中樞神經系統、肝心及多發性漿膜炎;腎臟損害表現,血尿、水腫、蛋白尿、夜尿增多、高血壓、晚期出現尿毒症的相應臨床表現。
此外,在對什麼是狼瘡腎以及狼瘡腎的症狀有了大體的認識後,就要深入的了解狼瘡腎的發病原因到底是什麼。狼瘡腎的病因未明,多數認為是遺傳素質、病毒感染、陽光或紫外線的照射、某些藥物的誘發及雌激素的影響等多因素相互作用引起體內細胞和體液免疫功能的紊亂。免疫紊亂是狼瘡腎的發病基礎,免疫複合物沉積是其主要發病環節。因此,狼瘡腎為免疫複合物腎炎,引起狼瘡腎發生的免疫複合物主要為DNA-抗DNA免疫複合物。
狼瘡腎對什麼是狼瘡腎、什麼是狼瘡腎最典型的症狀、狼瘡腎的發病原因是什麼有了大概的了解之後,可以更好的使未患狼瘡腎的人群加大對狼瘡腎知識的了解,更好的有的放矢預防、治療狼瘡腎,從源頭上取得治療狼瘡腎的最好效果。系統性紅斑狼瘡(SLE)是一種侵犯全身結締組織的自身免疫性疾病,病變常累及多系統多臟器。其臨床特徵主要有:①不明原因的長期發熱;②多發性關節痛;③皮膚損害;④多系統、多器官損害;⑤有自發的緩解或加重傾向;⑥激素和細胞毒性藥物治療常有效;⑦血γ球蛋白增高;⑧血沉加快;⑨ANA可作為篩選試驗。
系統性紅斑狼瘡是一種常見病。美國統計資料顯示,本病的發病率為50/10萬,在我國約占人口的千分之0.7。本病女性發病率較男性為高,且以年輕女性為主。SLE凡有腎損害者,即為狼瘡性腎炎(LN)。狼瘡性腎炎的發病率各家報導結果不一,我們認為,在確診的SLE中,約70%有明顯的腎損害。如果SLE患者做腎活檢,用光鏡檢查,其腎損害達90%,如果加上免疫螢光及電鏡檢查,差不多全部患者都有腎小球損害。有些患者以腎外表現為主,而僅有輕度腎損害,這種病人發生腎衰者較少;另一些病人則以腎損害為主要外在表現,如可表現為腎病綜合徵,腎外表現不明顯,易誤診為原發性腎小球疾病。
臨床表現
腎損害表現:LN病變可累及腎小球、腎小管和腎間質。臨床表現可有以下幾種。
1.血尿和域蛋白尿患者不伴水腫和高血壓,僅有輕至中度蛋白尿和域血尿。
2.腎炎綜合徵常伴水腫或高血壓,蛋白尿和血尿。急性起病者的臨床表現類似急性腎炎,可伴腎功能損害。部分病例起病急驟,腎功能急劇惡化,短期內進展為腎功能衰竭,臨床上呈急進行腎炎經過,如無積極有效治療病死率極高。也有部分病例起病時可無腎功能損害,尿改變也不顯著,但經過幾年逐漸發展為慢性腎功能衰竭。
形成原因
狼瘡腎包括狼瘡腎患者本身的機體免疫耐受異常、B細胞功能亢進、T細胞功能異常以及細胞因子異常。
2、狼瘡腎的發病環節——免疫複合物沉積
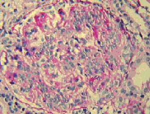
狼瘡腎發病過程中,將會產生多種自身組織包括細胞核、細胞膜、細胞漿以及各種組織成分的自身抗體。其中,抗核抗體(ANA)最為重要,它對系統性紅斑狼瘡的發病、診斷和病情都起到了關鍵的作用。系統性紅斑狼瘡並發腎臟病變時,患者體內將有抗原抗體免疫複合物及原為免疫複合物沉積於腎小球,從而引起腎臟的功能損害,即為狼瘡性腎炎。
治療措施
狼瘡腎一、狼瘡腎的治療基於臨床表現、實驗室和腎活檢資料。對於輕症系統性紅斑狼瘡(如僅有皮疹、低熱或關節症狀等)和免疫血清學檢查異常,若尿檢正常、腎活檢顯示腎小球正常或輕微病變者,酌情用非甾體類抗炎藥改善症狀,一般無需用糖皮質激素或細胞毒藥物,密切追蹤病情變化;若尿檢異常、腎活檢顯示腎小球局灶節段性系膜增生伴有節段性壞死、新月體形成及局灶性腎小球硬化者,用中、小劑量糖皮質激素(如強的松20~40mg/d),酌情加用細胞毒藥物或雷公藤製劑。
二、重型系統性紅斑狼瘡(如高熱、關節痛、無力或病變迅速累及漿膜、心、肺、肝、造血器官和其它臟器組織)伴急性腎炎綜合徵或急進性腎炎綜合徵,腎活檢顯示瀰漫增生性腎小球腎炎或新月體性腎炎,腎功能進行性減退時,應給予標準激素治療加CTX衝擊治療;或甲基強的松龍衝擊治療,每日1.0g,靜點3~5日為一療程,繼以中等劑量的強的松維持,必要時7~10天后可重複一次,一般不超過3個療程。當上述方法效果欠佳或病情較重時,可考慮血漿置換療法;不能用CTX者可試用環胞黴素A、霉酚酸酯等。伴有急性嚴重腎功能不全、嚴重高血容量、心力衰竭時應緊急透析,使其渡過危險期,為藥物治療創造條件和爭得時間。
三、表現為無症狀蛋白尿(尿蛋白2g/24h)者可用糖皮質激素,酌情加用細胞毒藥物,雷公藤製劑與強的松合用亦有一定療效;表現為無症狀血尿者,可用雷公藤製劑(常規劑量或雙倍劑量)或CTX治療。有條件者最好根據腎臟病理類型選擇用藥。
四、呈腎病綜合徵者,但尿中紅細胞不多,腎功能穩定,或腎活檢顯示膜型狼瘡腎,應首選強的松0.8~1.0mg/kg.d,若2~4周后效果不佳時,加用CTX,若伴有腎功能減退,嚴重高血壓,腎活檢顯示腎小球增生明顯或發生病理類型轉變時,則應給予標準激素治療加CTX衝擊治療。
五、對於固定不變的蛋白尿而無系統性紅斑狼瘡表現者、或氮質血症而腎臟病理以慢性病變為主者,一般不要長期用強的松和細胞毒類藥物治療。
六、終末期狼瘡腎按慢性腎衰處理。
七、一般治療:包括休息、飲食、利尿、降血壓、抗凝和防治各種併發症等,應根據患者的病情參考原發性腎小球疾病的治療。
八、中醫中藥辨證施治可提高療效、減少症狀和減少西藥的副作用。
中醫治療
狼瘡腎(1)熱毒熾盛型狼瘡腎患者的主症是:發熱持續不退,或狀熱口渴而喜冷飲躁擾不安,甚則神昏譫語,面部對稱性紅斑,色澤鮮紅或皮下紅斑,關節疼痛,伴雙下肢浮腫,或血尿,尿濁,腰痛,大便乾結,舌質紅或紫暗,苔薄黃,脈數而細。本型多見於狼瘡腎的急性發作期。
中醫治療熾盛型狼瘡腎的重點為:清熱解毒,涼血散痹。
(2)陰虛內熱型狼瘡腎患者的主症是:面顴潮紅、發斑,腰膝酸軟或疼痛,頭暈目眩,低熱,口乾咽燥,五心煩熱,潮熱,盜汗,溲赤便乾,舌紅少苔或光剝,脈細數。本型多見於狼瘡腎的亞急性期或輕度活動期。
中醫治療陰虛內熱型狼瘡腎的重點為:滋陰清熱。
(3)肝腎陰虛型狼瘡腎患者的主症是:面部紅斑色澤不鮮,頭暈目眩,視物昏花,筋脈拘急,爪甲乾枯,急躁易怒,腰膝酸軟,男子遺精或女子經少、閉經或月經過多,五心煩熱,潮熱盜汗,失眠多夢,口乾咽燥,持續低熱,腹部脹滿,尿短赤或混濁如脂膏,甚則見發脫齒搖。舌紅少苔或光剝,脈弦細數。本症多見於狼瘡腎的緩解期、慢性炎症期、穩定期或部分的隱匿性腎炎期。
中醫治療肝腎陰虛型狼瘡腎的重點是滋補肝腎。
(4)脾腎陽虛型狼瘡腎患者主症是:兩顴紅斑色暗,面色不華,頭暈目眩,畏寒肢冷,氣短懶言,食少便溏,四肢乏力沉重疼痛,腰膝酸軟或腰膝冷痛,小便不利,白濁日久不愈,肢體浮腫,男子陽痿,女子月經不調,舌體胖邊有齒痕,舌質紫暗或紅,或舌質淡,苔薄白,脈沉細無力。本型多見於腎病綜合徵型。
中醫治療脾腎陽虛型狼瘡腎的重點是:溫補脾腎,淡滲利水。
(5)氣陰兩虛型狼瘡腎患者主症是:神疲體倦,心悸氣短,少氣懶言,自汗盜汗,頭暈耳鳴,口乾咽燥,五心煩熱,脈細數。本型多見於經標準療程的激素治療後,疾病基本不活動,身體較虛弱者。
中醫治療氣陰兩虛型狼瘡腎的重點是:益氣滋陰。
預後問題
狼瘡腎狼瘡腎的預後問題,腎病醫學界曾經一度悲觀無奈,很多研究狼瘡腎的權威學者認為狼瘡腎易反覆發作。由於狼瘡腎預後難,使大約20%的狼瘡腎患者將於10年內發展為尿毒症,成為系統性紅斑狼瘡患者死亡的主要原因之一。另有一些學者統計,狼瘡腎患者50%死於狼瘡活動本身,而另有50%則死於激素等治療的不良反應。近年來,隨著對狼瘡腎進行早期診斷、制定聯合糖皮質激素及細胞毒藥物等嚴格的治療方案,使得狼瘡腎的預後有了很大程度的改進。正因為此,使很多狼瘡腎患者對狼瘡腎預後難的觀念徹底打破,積極配合醫生治療,使得狼瘡腎的預後更好。另外,通過臨床抽樣調查結果顯示,與狼瘡腎預後緊密相連的另一個因素則是感染。感染已與尿毒症並列成為狼瘡腎的第一死亡原因(各占33%)。狼瘡腎患者發生感染,主要累及肺部(占80%),其次為腦部(占14%)。因此,防治感染已經成為進一步提高狼瘡腎生存率的重要目標和突破口,也是提高狼瘡腎預後的重要途徑。總之,針對狼瘡腎的治療以及狼瘡腎的預後情況,必須把握三方面的問題:控制狼瘡腎的活動、預防復發和防治狼瘡腎併發症。只有將這三方面的問題解決好,才能控制狼瘡腎的病情惡化進展,才能從根本上改善狼瘡腎患者的生存質量,使狼瘡腎的預後質量更進一步。
食療方法
1.冬瓜青蛙梗米粥
原料:冬瓜(帶皮)200克、青蛙肉100克、梗米100克。
製法:將冬瓜,青蛙肉切成塊與梗米一起下鍋用文火煲爛。
食療功效:冬瓜性味甘涼,能清熱止渴,利水消腫解毒:青蛙肉性味甘涼,能清熱解毒,補虛滋陰,利水消腫:梗米性味平甘,有鍵脾和胃作用,此食療方有清熱解毒、消腫除濕利尿作用。適用於系統性紅斑狼瘡熱毒熾盛型病人,對急性發作者或伴有繼發感染者效。
2.薏米綠豆百合粥
原料:薏米(米仁、薏苡仁)50克,綠豆25克,鮮百合100克白糖適量。
製法:將百合掰成瓣,去內膜洗淨,綠豆、薏仁加水煮八成熟之後放入白合,用文火煮爛,加糖適量。
功效:薏米仁味甘,性微寒,入脾、肺、腎經,有清熱利濕鍵脾消水腫之功效;綠豆性味甘涼,入心胃二經,具有清熱解毒清暑利水作用;百合味甘微苦,性微寒,有潤肺止咳,清心安神之功效。本食療方適用於系統性紅斑狼瘡急性復發欺,早期或合併感冒時用。
3.海帶荷葉扁豆粥
原料:水發海帶50克,鮮荷葉3張,扁豆50克。
製法:將扁豆洗淨加水煮八成熟,放入切碎的海帶和切 碎的鮮荷葉,共同煮爛成粥。
功效:海帶性鹹寒,可清熱利水;荷葉有清熱解暑鍵脾作用;扁豆味甘性平有鍵脾和中、消暑化濕功效。本食療方適用於熱毒熾盛型系統性紅斑狼瘡早期、有低熱尿少,便乾胃口不佳的病人。
