病因
骨性關節炎1.繼發性骨關節炎
(1)機械性或解剖學異常髖關節發育異常,股骨頭骨骺滑脫、股骨頸異常、多發性骨骺發育不良、陳舊性骨折、半月板切除術後、關節置換術後、急慢性損傷。
(2)炎症性關節疾患化膿性關節炎、骨髓炎、結核性關節炎、類風濕關節炎、血清陰性脊柱關節病、貝赫切特綜合徵、Paget病。
(3)代謝異常痛風、Gaucher病、糖尿病、進行性肝豆狀核變性、軟骨鈣質沉著症、羥磷灰石結晶。
(4)內分泌異常肢端肥大症、性激素異常、甲狀旁腺功能亢進、甲狀腺功能減退伴黏液性水腫、腎上腺皮質功能亢進。
(5)神經性缺陷周圍神經炎、脊髓空洞症、Charcot關節病。
2.原發性骨關節炎
其病因尚不清楚,可能與高齡、女性、肥胖、職業性過度使用等因素有關。
臨床表現
主要症狀為關節疼痛,常發生於晨間,活動後疼痛反而減輕,但如活動過多,疼痛又可加重。另一症狀是關節僵硬,常出現在早晨起床時或白天關節長時間保持一定體位後。檢查受累關節可見關節腫脹、壓痛,活動時有摩擦感或“咔嗒”聲,病情嚴重者可有肌肉萎縮及關節畸形。
檢查
1.實驗室檢查
關節液常為清晰、微黃黏稠度高,白細胞計數常在1.0×109/L以內,主要為單核細胞。黏蛋白凝塊堅實。
2.其他輔助檢查
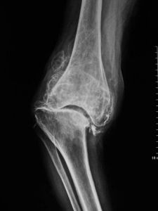
X線平片於早期並無明顯異常,約數年後方逐漸出現關節間隙狹窄,此表明關節軟骨已開始變薄。開始時,關節間隙在不負重時正常,承重後出現狹窄。病變後期,關節間隙有顯著狹窄,軟骨下可有顯微骨折征,而後出現骨質硬化,最後關節邊緣變尖,有骨贅形成負重處軟骨下可有骨性囊腔形成典型的骨關節病徵象。CT及MRI檢查可在早期發現關節軟骨及軟骨下骨質的異常改變。
診斷
根據慢性病史、臨床表現和X線所見,診斷比較容易。必要時可做關節滑液檢查,以證實診斷。應從病史中明確病損是原發性或繼發性。
鑑別診斷
1.類風濕關節炎
多發在20~50歲。嚴急性發作,全身症狀較輕,持續時間長。受累關節多對稱或多發,不侵犯遠端指間關節。關節早期腫脹呈梭形,晚期功能障礙及強直畸形。X線檢查局部或全身骨質疏鬆關節面吸收骨性癒合強直畸形。實驗室檢查血沉增快,類風濕因子陽性。
2.強直性脊柱炎
多發於15~30歲男性青壯年。發病緩慢,間歇疼痛,多關節受累。脊柱活動受限,關節畸形,有晨僵。X線檢查骶髂關節間隙狹窄模糊,脊柱韌帶鈣化,呈竹節狀改變。實驗室檢查血沉增快或正常,HLA-B27為陽性。類風濕因子多屬陰性。
治療
本病主要的治療方法是減少關節的負重和過度的大幅度活動,以延緩病變的進程。肥胖患者應減輕體重,減少關節的負荷。下肢關節有病變時可用拐杖或手杖,以求減輕關節的負擔。理療及適當的鍛鍊可保持關節的活動範圍,必要時可使用夾板支具及手杖等,對控制急性期症狀有所幫助。消炎鎮痛藥物可減輕或控制症狀,但應在評估患者風險因素後慎重使用且不宜長期服用。軟骨保護劑如硫酸氨基葡萄糖具有緩解症狀和改善功能的作用,同時長期服用可以延遲疾病的結構性進展。對晚期病例,在全身情況能耐受手術的條件下,行人工關節置換術,目前是公認的消除疼痛、矯正畸形、改善功能的有效方法,可以大大提高患者的生活質量。
預防
骨關節炎避免背、扛重物。避免長時間站立及行走,中間應該有間隙時間坐著休息。大便時儘量坐馬桶、少下蹲。
2、減輕體重:
肥胖人群患骨關節炎比其他人明顯增多。減輕體重以減輕關節的壓力和磨損,可以有效地預防骨關節炎的發生。
3、避免關節受傷:
注意運動場地及運動器械的安全,避免受傷。運動之前先熱身,運動量由小逐漸加大,切忌開始就參加重負荷的運動。大量運動後及時放鬆。老年人行走時要避免跌倒。
4、改變不合理的運動方式:
太極拳等半蹲或下蹲運動對下肢關節壓力很大,應儘量避免。爬山爬樓等對下肢關節壓力加大,應儘量避免。隨著年齡在增長,應該逐步調整運動方式,以游泳、騎車和散步為主,減少大運動量的運動方式。
5、正確處理關節損傷:
很多關節炎是由於關節內其他結構損傷後造成的,如膝關節半月板損傷等。早期正確處理半月板的損傷可以有效預防膝關節骨關節炎的發生。
6、關節疼痛應及時診治:
關節疼痛是關節給人體發出的警報,表示應該引起重視。關節痛患者應及時就醫,防止小問題變成大問題。
盤點骨科疾病
| 骨科是各大醫院最常見的科室之一,主要研究骨骼肌肉系統的解剖、生理與病理,運用藥物、手術及物理方法保持和發展這一系統的正常形態與功能。隨著時代和社會的變更,骨科傷病譜有了明顯的變化,例如,骨關節結核、骨髓炎、小兒麻痹症等疾病明顯減少,交通事故引起的創傷明顯增多。 |

