症狀
肩和骨盆的傾斜,長期不對稱姿勢,優勢手、下肢不等長,肌肉凹側組織緊張,凸側組織薄弱、被牽拉。
測量方法
令被測者直立,測量者將重錘的端線置於被測者枕骨粗隆中心點,或置於第7頸椎棘突中心點上。待垂線穩定於兩腿間夾縫時,測量脊柱每一側凸區偏離垂線的最遠點,到垂線的水平距離。
分類
按彎曲方向分
脊柱側彎(2)後凸:指胸段脊柱後凸超過生理曲線範圍者。
(3)鞍背:是指局部某椎體被破壞,椎體突然向後凸起。
(4)圓背:是指整個脊柱象弓一樣向後凸起。
(5)畸胸:分兩種,一種是胸骨向外突起,另一種是胸骨向內凹陷。
(6)鏇轉性(扭曲性):是因為腰椎橫突一面高一面低或胸骨扭曲形成的,這種彎曲是最複雜,最難治的。
按性質分
先天性的脊柱側彎是指脊柱結構發生異常,即出生後有三角形半椎體、蝶形椎、融合椎,還有肋骨發育的異常,導致脊柱發生傾斜,導致側彎或後凸畸形。臨床較少見,多需要手術矯正。
特發性的脊柱側彎是指脊柱結構基本沒有異常,由於神經肌肉力量的失平衡,導致脊柱原來應有生理彎曲變成了病理彎曲,即原有的胸椎後凸變成了側凸等。臨床常見,多由於長期不良姿勢,不良生活習慣引起,多數可以通過保守治療取得理想效果。
臨床診斷
脊柱側彎(一)病史
詳細詢問與脊柱畸形有關的一切情況,如患者的健康狀況、年齡及性成熟等。還需注意既往史、手術史和外傷史。脊柱畸形的幼兒應了解其母親妊娠期的健康狀況,妊娠頭三月內有無服藥史,懷孕分娩過程中有無併發症等。家族史應注意其它人員脊柱畸形的情況。神經肌肉型的脊柱例凸中,家族史尤為重要。
(二)體檢
注意三個重要方面:畸形、病因及併發症。
首先充分暴露,僅穿短褲及後面開口的寬鬆外衣,注意皮膚的色素病變,有無咖啡斑及皮下組織腫物,背部有無毛髮及囊性物。注意乳房發育情況,胸廓是否對稱,有無漏斗胸、雞胸及肋骨隆起及手術疤痕。檢查者應從前方、側方和背面去仔細觀察。
然後病人面向檢查者,向前彎曲觀察背部是否對稱:一側隆起說明肋管及椎體鏇轉畸形。然後檢查者從患者背面觀察腰部是否對稱,檢查腰椎是否鏇轉畸形。同時注意兩肩是否對稱,還需測定兩側季肋角與胯骨問的距離,還可從頸7棘突放鉛錘線,然後測量臀部裂縫至垂線的距離以表明畸形的程度。然後檢查脊柱屈曲、過伸及側方彎曲的活動範圍。檢查各個關節的可曲性,如腕及拇指的接近,手指過伸,膝肘關節的反曲等。
最後應仔細進行神經系統檢查,尤其是雙下肢。懷疑有粘多糖病者應注意上齶。馬凡氏綜合徵者應注意角膜。病人的身高、體重、雙臂間距、雙下肢長度,感覺均需記錄在案。
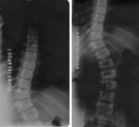
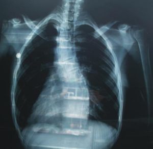
(三)X像檢查
1.直立位全脊柱正側位像。照X相時必須強調直立位,不能臥
脊柱側凸位。若患者不能直立,宜用坐位像,這樣才能反映脊柱側凸的真實清況。是診斷的最基本手段。X像需包括整個脊柱。
2.仰臥位左右彎曲及牽引像。反映其柔軟性。Cobb氏角大於90度或神經肌肉性脊柱側凸,由於無適當的肌肉矯正側凸,常用牽引像檢查其彈性,以估計側彎的矯正度及各柱融合所需的長度。脊柱後凸的柔軟性需攝過伸位側位像。
3.斜位像。檢查脊柱融合的情況,腰骶部斜位像用於脊柱滑脫、峽部裂患者。
4.Ferguson像。檢查腰骶關節連線處,為了消除腰前凸,男性病人球管向頭側傾斜30度,女性傾斜35度,這樣得出真正的正位腰骶關節像。
5.Stagnara像。嚴重脊柱側凸患者(大於100度),尤其伴有後凸、椎體鏇轉者,普通X像很難看清肋骨、橫突及椎體的畸形情況。需要攝去鏇轉像以得到真正的前後位像。透視下鏇轉病人,出現最大彎度時拍片,片匣平行於肋骨隆起內側面,球管與片匣垂直。
6.斷層像。檢查病變不清的先天性畸形、植骨塊融合情況以及某些特殊病變如骨樣骨瘤等。
7.切位像。患者向前彎曲,球管與背部成切線。主要用於檢查肋骨。
8.脊髓造影。並不常規套用。指征是脊髓受壓、脊髓腫物、硬膜囊內疑有病變。X像見椎弓根距離增寬、椎管閉合不全、脊髓縱裂、脊髓空洞症。以及計畫切除半椎體或擬作半椎體楔形切除時,均需脊髓造影,以了解脊髓受壓情況。
9.CT和MRI。對合併有脊髓病變的患者很有幫助。如脊髓縱裂、脊髓空洞症等。了解骨嵴的平面和範圍,對手術矯形、切除骨嵴及預防截癱非常重要。但價格昂貴,不宜作常規檢查。
(四)X像閱片的要點
端椎:脊柱側彎的彎曲中最頭端和尾端的椎體。
頂椎:彎曲中畸形最嚴重,偏離垂線最遠的椎體。
主側彎即原發側彎:是最早出現的彎曲,也是最大的結構性彎曲,柔軟性和可矯正性差。
次側彎:即代償性側彎或繼發性側彎,是最小的彎曲,彈性較主側彎好,可以是結構性也可以是非結構性。位於主側彎上方或下方,作用是維持身體的正常力線,椎體通常無鏇轉。當有三個彎曲時,中間的彎曲常是主側彎,芳有四個彎曲時,中間兩個為雙主側彎。
(五)彎度及鏇轉度的測定
彎度測定:(1)Cobb氏法:最常用,頭側端椎上緣的垂線與尾側端椎下緣垂線的交角即為Cobb氏角。若端椎上、下緣不清,可取其椎弓根上、下緣的連線,然後取其垂線的交角即為Cobb氏角。(2)Ferguson法:很少用,有時用於測量輕度側彎。找出端椎及頂椎椎體的中點,然後從頂椎中點到上、下端椎中點分別畫二條線,其交角即為側彎角。
椎體鏇轉度的測定:Nash和Mod根據正位X像上椎弓根的位置,將其分為5度。0度:椎弓根對稱;I度:凸側椎弓根移向中線,但未超出第一格,凹側椎弓根變小;II度:凸側椎弓根已移至第二格,凹側椎弓根消失;III度:凸側椎弓根移至中央,凹側椎弓根消失;IV度:凸側椎弓根越過中央,靠近凹側。
治療
專業醫生檢查脊柱側彎的患者,往往從病史和體格檢查入手。有些病史對診斷很有幫助,如神經纖維瘤病病人的側彎為遺傳性疾病,先天性脊柱側彎往往伴有先天性心臟病、泌尿系統畸形、神經系統病變等。
除了常規的外觀檢查之外,神經系統的檢查是必不可少的,觀察是否有感覺、運動障礙等。感覺分離通常提示脊髓空洞的可能,腹壁反射、病理反射檢查是每位側彎患者都應該檢查的項目,忽略這些檢查有時會帶來災難性後
有些家長發現自己的孩子有脊柱側彎後非常緊張,甚至不知所措,常常到處亂投醫,有補鈣的,有推拿按摩正骨的,有戴支架背心的,總之,聽說什麼方法有用,就帶孩子去治療,結果收效甚微。那么,得了脊柱側彎後到底該怎么治療呢?
治療方法
脊柱側彎治療手術牽引:可加大椎體間隙,使已發生粘連的組織剝離,達到復位的目的。
支具固定:經牽引後使用必要的支具迫使已復位的脊椎穩定不變,不發生回縮變化,也有擴大椎體間隙的作用。
電療:利用電磁療法,增加對病變部位的吸收功能,改善氣血循環,可剝離組織粘連和防止發生再粘連。
藥物:根據不同病情及病人體質,採用不同藥物、藥量予以輔助配合治療。
手術:如果側彎鏇轉過大,出現明顯壓迫脊髓的症狀,應採取手術治療,目前常用打釘固定的方法。
美式脊椎矯正治療:美式脊椎矯正學由DanielDavidPalmer創建於1895年。經過一百多年來的發展,目前己成為在美國廣泛流行的一種自然療法。全美約有六、七萬名脊椎矯正醫師,平均每四千多人口有一位,遍布全美國的各大、中、小城鎮。矯正醫師-般以私人診所的形式存在。在美國軍方的醫療機構中,在體育界,均有相當數量的矯正醫師。在1996年的奧林匹克運動會上,美國隊就配有專職的脊椎矯正醫師。遍及美國各地的專科學院,每年為美國培養數以千計的矯正醫師。矯正醫師的大學教育一般為七年半。畢業時授予博士學位,為美國教育部正式認可的脊椎矯正專科醫生。目前因為這是一國外的技術,早在2000年,我國董安立博士將這一門技術引進國內,並與世界衛生組織,翻譯為脊骨神經醫學,也就是今天的脊骨神經醫學。
脊骨神經醫學是一門關於神經-肌肉-骨骼系統疾病的診斷、治療、預防以及這些病症對整體健康狀況影響的醫療衛生行業。脊骨神經醫學強調徒手操作技巧,包括關節矯正和/或手法治療,尤其側重對關節錯位的矯正。恢復脊椎的正常的生理曲度,脊椎正了,才能夠不壓迫神經,疼痛也就消除了,對於脊椎側彎的治療也是比較有效的,一般脊椎側彎不超過40度的患者是可以通過美式脊椎矯正治療的辦法治療的,而超過40度的患者一般還是建議手術的治療。
治療方法補充
目前比較成熟的手術是兩種:一是內固定架矯正,二是外固定架矯正,骨外固定技術又叫伊利扎諾夫技術,發源於俄羅斯,被我國引進並改良,成功矯正各種複雜的骨畸形。在上海萊茵醫院骨科兼備這兩種技術,分別以侯鐵勝、韓義連為代表,具體的典型病例圖文介紹,可見萊茵醫院骨科網頁。
脊柱側彎矯形器(也有叫支具和外固定架的)的適應症為:1、脊柱側彎科布(Cobb)角為20度~45度,且骨骼未發育成熟以前的特發性脊柱側彎患者(14歲以下餓少女為數較多);2、先天性脊柱裂、先天性半椎體、腦癱、小兒麻痹後遺症等引起的脊柱側彎;3、需手術治療的脊柱側彎嚴重者(Cobb角大於45度),術前穿戴矯形器用於防止畸形的發展。(另:一般手術以後也需要佩帶用於術後保護)。
特發性脊柱側彎的治療原則
脊柱側彎非手術治療是治療脊柱側彎的早期手段,目的是防止脊柱側彎加重,避免胸廓畸形發育,避免出現心肺胃腸泌尿生殖系統等嚴重的內臟刺激症狀。其方法有很多種,如正骨、按摩、理療、懸吊牽引、支具等。
手術治療是針對非手術治療效果不好、脊柱側彎度數過大出現明顯內臟刺激症狀的患者,以cobb角40度作為選擇手術治療的標準。但實際上,醫生是否決定選擇手術及採用何種手術方案,還要考慮患者的骨齡、生長發育狀態、彎曲的類型、結構特徵、脊柱的鏇轉、累及的脊柱數、頂椎與中線的距離,特別是外觀畸形和軀幹平衡等因素。
綜上所述:脊柱側彎(Cobb角小於45度)是可以採用脊柱側彎矯形器來保守治療的,大於45度考慮手術治療。
保健
矯正練習中脊柱左側彎便向左側同練習,右側彎便向右側屈練習。
(1)手拉肋木體側屈二側對肋木站立,一手拉住肋木,另一手上舉,做體側屈,練習3組,每組30~50次。要求抬頭、挺胸、收腹,上體不能前傾。
(2)俯臥,兩臂彎曲體前撐地,將脊柱側彎一側的腿用力向上抬起,同時異側手臂伸直前舉,保持3~4秒,再還原。練習3組,每繼10一15次。
(3)兩腿開立,側彎一側的手臂自然下垂,另一側手臂肩側屈抱頭,上體向側彎一側彎曲,手往下伸至最低,保持3秒,還原。練習3組,每組10~15次。或側彎一側手臂提一重物(如啞鈴、書包等)進行練習。
(4)向脊柱側彎方向側臥,兩臂屈臂撐地,外側腿用力向肩側方踢腿至最大限度,再還原,練習25~30次。要求踢腿時身體要正,踢腿幅度要大。
容易與哪些症狀混淆
(1)側凸:即部分脊柱棘突偏離身體中線稱脊柱側彎,有左側凸、、右側凸及S形彎,C形彎。
(2)後凸:指胸段脊柱後凸超過生理曲線範圍者。脊柱側凸
(3)鞍背:是指局部某椎體被破壞,椎體突然向後凸起。
(4)圓背:是指整個脊柱象弓一樣向後凸起
(5)畸胸:分兩種,一種是胸骨向外突起,另一種是胸骨向內凹陷。
(6)鏇轉性(扭曲性):是因為腰椎橫突一面高一面低或胸骨扭曲形成的,這種彎曲是最複雜,最難治的。
雙肩不等高時當心脊柱側彎
脊柱側彎x片脊柱側彎目前在我國青少年中的發病率約為1%-3%,這個發病率是相當高的,有0.25%-0.27%需要治療,而真正得到治療的又微乎其微。而我國目前並未將脊柱的檢查納入到學生常規體檢之中,所以學生及家長應格外重視脊柱畸形發生的可能。
有很多人甚至不知道脊柱側彎這個疾病,或即使知道有這種疾病但不知道可以治療。若發現孩子存在雙肩不等高,骨盆傾斜,或胸腰背部有異常隆起(駝背)時,應及時到正規醫院的專科進行檢查,儘早明確診斷,及早得到正確規範治療,切勿聽信江湖游醫吊單槓、按摩正脊、配戴飾物等無效甚至是錯誤的宣傳,以免延誤病情。
術後注意事項
做瑜伽改善脊椎問題術後一周的時候,醫生會給你拍片了解彎曲矯正和體內內固定的情況,如果拍片結果正常的話,患者就可以試著坐起來,試著站立,站立的時候可以扶著床邊,或者使用助行器得幫助。剛起床坐或站立的時候,患者會感到一些頭暈,這是較長時間臥床和手術後身體還有些虛弱的緣故,不必擔心,起來幾次之後就會適應了,頭暈也會消失了。
等到可以站立比較自然了,並且可以站立10分鐘以上了,就可以量身取模作支具了。一般2-3天支具就可以做好,戴上支具以後就可以起來走動了。配戴支具的目的是保護體內的金屬內固定裝置,以免在植骨融合完成之前發生內固定鬆動或者斷裂。支具的配戴原則是只要起來,就要配戴,至少要半年,因為只有植骨融合好了,才可以不帶。所以手術後1、3、6月的拍片複查十分重要。如果術後1月沒有異常的感覺,也可以不拍片,但是3,6月拍片時必須的。
一般來說,術後第一個月內是以臥床休息為主的,可以適當起來走動,就餐、如廁等,但是只要起來就需要配戴支具保護。術後1月之內的日常生活是需要有人照顧的。術後一月的時候最好拍片複查一下,了解內固定是否有鬆動或者變化,如果沒有問題,就可以逐漸增加活動的時間了。很多患者術後2月就可以完全恢復如常生活或者上學了。手術後起來活動的時候,腰背部的酸痛是正常的,畢竟手術部位的肌肉等軟組織完全癒合也需要3-4周的時間,一般都沒有問題的。只要身體沒有突然的變化,如背部劇痛、身高降低、後背再次隆起等,就沒有大的問題。
手術後的康復是需要循序漸進的,不要操之過急。一般來說。手術後半年之內是不允許做劇烈的活動的,尤其不要彎腰、扭腰、搬提重物等,術後一年之內也不可以做對抗性的活動或運動。如果患者感覺自己可以坐2-3小時而沒有不適感覺的話,就可以回學校上學,但是不可以參加體育活動。可以先上半天課,以後逐漸增加。
總之,脊柱側凸手術後的一年之內的複查十分重要(3、6、12月),堅持按時到醫院複查或者拍片寄給你的醫生可以幫助醫生了解術後康復情況,使你更好的更快的康復。如果在此期間又感覺有任何異常的感覺(手術部位突發性劇烈疼痛、呼吸困難、後背隆起、身高突然變化等),就應該立刻和你的醫生聯繫,到醫院檢查確定原因並及時處理。
預防和糾正
(一)糾正不良習慣和錯誤姿勢1.臥硬板床。
人的脊柱從側面看是彎曲的,醫學上稱之為“生理弧度”或“生理彎曲”。人在仰臥於水平面時,背部和腰部的脊柱正好有力地支撐起身體,而長期平臥在過於柔軟的床鋪上時,身體的自重會使脊柱的“生理弧度”改變或者消失。也就是脊柱變直了(從側面來看),從而出現不適或疼痛。由於孩子的脊柱十分柔韌,且很容易定型。因此,兒童,尤其是發育期、青春期、體重過重的孩子,為了較好保持脊柱的生理弧度應選擇臥硬板床。
2.若是嬰幼兒,枕頭應在專業醫師的指導下選擇,較為理想和合適。孩子的枕頭應以低而柔軟為好。睡覺時,宜讓孩子的整個肩背部一起置於枕頭上,以減輕頸部的屈力。不宜讓小孩子們長時間、長期趴著睡覺。雖然他們是如此喜愛這樣的姿勢。可以告訴他們:“青蛙是變不成王子的。”
(二)走路時:
1.不要為孩子選擇過大的鞋子,這不是節約的好方法,因為孩子的腳比想像的要長得快得多。過大的鞋子會讓孩子的下肢行走起來很不協調,長期如此,會加重脊柱的工作壓力,出現疼痛。
2.也不要為孩子選擇過分硬底、厚底的鞋子。這樣會讓他們在走路時,使腳底不能更好地感觸地面而增加脊柱的承重力。不要讓女孩穿著限制足踝活動的長靴,甚至是高跟、尖跟皮鞋。這樣會加重脊柱,尤其是腰部的負擔。美麗應以健康為基礎。
3.儘量避免赤足行走。尤其是夏季和溫暖時節,足部受涼會促使和加劇下肢和腰部脊柱的疼痛。
(三)上學時:
1.避免用單肩背書包,雖然那樣看上去很帥。要注意,或許你長大後,就成了高低肩,甚至是脊柱側彎的患者。
2.乘公共汽車時,最好不要長時間趴在前椅靠背上打瞌睡。這樣不僅危險,而且對脊柱的健康也很不利。
3.教室里的坐椅,絕不可能適合每一個孩子。因此,我們建議孩子坐椅子時最好坐椅子面的前三分之一或二分之一,且儘量上半身坐直,不要保持屈背彎腰姿勢,以減少心肺和腰部承受的壓力。聽課和做功課時,不要側歪著身體,以增加背部脊柱的側壓力。不然你的脊柱會和你的字一樣不太漂亮。
4.最好不要趴在課桌上睡覺,否則,老師和醫生都會請你去他的辦公室做客。
5.教室外的運動。應注意避免從高處往下跳。
6.避免別人撞擊你的身體。這種橫向的水平外力對脊柱的撞擊是非常危險的。
盤點骨科疾病
| 骨科是各大醫院最常見的科室之一,主要研究骨骼肌肉系統的解剖、生理與病理,運用藥物、手術及物理方法保持和發展這一系統的正常形態與功能。隨著時代和社會的變更,骨科傷病譜有了明顯的變化,例如,骨關節結核、骨髓炎、小兒麻痹症等疾病明顯減少,交通事故引起的創傷明顯增多。 |

