基本簡介
脊柱畸形脊柱畸形是一種常見的脊柱疾患,在青少年和兒童中有較高的發病率,脊柱畸形影響患者的正常生長發育,嚴重者可導致心肺功能下降,肢體活動不便甚至癱瘓,並給患者心理健康造成嚴重危害,導致生理和心理的雙重殘疾。
初診的脊柱畸形一般以背部畸形為主要症狀,表現為駝背、姿態不對稱,雙肩不等高、身材矮小等,嚴重的脊柱畸形由於胸腔容積下降導致活動耐力下降、氣促、心悸等,部分病人可出現腰痛。
症狀體徵
1.脊柱側凸:刀背樣畸形、半椎體畸形。
2.脊柱後凸:晨起後腰背部僵硬感、呼吸困難感及髖部疼痛,雙側髖關節壓痛及活動受限。
疾病概述
脊柱畸形:人類脊柱在胚胎期發育較快,全部結構在數周內完成。脊柱形成後即有其形態和穩定性。全部發育過程分為四期。第一期稱脊索期,於胚胎的第十五天形成,其殘留部分終生存在,稱為髓核;第二期稱膜性期,第21天開始到三個月結束;第三期為軟骨期,從5~6周到出生前;第四期為骨性期,從二個月到出生後完成一部分。胚胎髮育到第14~21天時有板狀細胞層將羊膜腔和卵黃囊分開。從此分為外胚層、中胚層和內胚層。外胚層形成神經板,其中部下陷成為神經溝,繼之發育成神經管。脊索源於間葉細胞,位於神經管的深層,上自枕後下達尾椎。沿正中線圍繞脊索形成42對體節。中胚層沿神經管形成原始的體節漸演變成"生骨節",沿神經管和脊索發育,最後形成椎體。
椎體發育缺陷可分為:1.分節不良:單側的分節不良稱為骨橋,可導致脊柱側彎,因骨橋限制了凹側的生長發育。椎體前方分節不良可產生進行性駝背。後方分節不良可致脊柱前突。兩節以上的分節不良稱為"大塊椎體",該部脊柱活動受限,如頸部的K1ippel-Feil綜合徵。2.椎體形成不良:側方形成半椎體的引起脊柱側彎;後方半椎體可致脊柱後突。上述先天性椎體畸形多並發肋骨畸形。 神經管發育期間,如有迷走的中胚層細胞從前方長入神經組織而不是環繞神經管則可形成一骨嵴。在該水平面的脊髓呈矢狀分裂稱為脊髓縱裂。北京兒童醫院自1980~1991共收治脊柱側彎500例,其中先天性脊柱側彎計350例。350例先天性脊柱側彎中並發脊髓縱裂的18例(5.14%);另有2例脊髓縱裂並無脊柱側彎,總計20例。脊髓縱裂常有神經症狀,如一側足發育落後,高弓足、內翻足、小腿三頭肌萎縮和大小便失禁。因而足部異常要向上檢查到脊柱。
診斷檢查
一、脊柱側凸
脊柱畸形1.詢問有無家族史,脊柱側凸的發現時間、程度與發展情況,有無外傷、感染、腫瘤及代謝性疾病等病史。
2.測量身高,檢查側凸畸形的程度,注意全身發育情況,尤其是胸廓外形和心肺功能,有無刀背樣畸形。
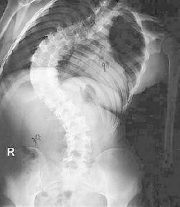
3.X線檢查以確定有無半椎體畸形,除外後天性病變,並按Cobb法測量側凸畸形角度。同時還應對脊柱發育程度進行估計。必要時應行去鏇轉位攝片。
4.必要時行脊髓造影或MRI檢查。
5.畸形嚴重者應行心肺功能檢查。
二、脊柱後凸
(二)診斷
1.詢問有無家族史,有無外傷、感染、腫瘤及代謝病史,有無晨起後腰背部僵硬感、呼吸困難感及髖部疼痛,發現後凸畸形的時間、程度和發展情況。2.檢查脊柱後凸畸形的程度、脊柱活動受限情況及心肺功能。雙側髖關節有無壓痛及活動受限。
3.化驗室檢查主要包括:紅細胞沉降率、抗鏈球菌溶血素O、類風濕因子、血清HLA-B27檢查。
4.X線檢查應包括脊柱及骨盆片,以觀測畸形角度及是否累及髖關節。
治療方案
(一)脊柱側凸的治療
脊柱畸形1.輕型病例(Cobb角<20°)以糾正學習及工作姿勢為主,輔以體療。
2.Cobb角在20°~40°以非手術療法為主,包括支架矯形、石膏背心固定及體療等。
3.Cobb角超過50°者以手術矯正為主,可酌情選用病變節段脊柱融合術及器械手術。半椎體畸形者應考慮切除半椎體後行脊柱融合術。矯正嚴重畸形時術中應注意脊髓監護。
4.Cobb角在40°~50°者可先採取非手術療法,並密切觀察,如非手術療法無效或畸形發展較快,則行手術治療。
(二)脊柱後凸的治療
1.早期以非手術療法為主,包括病因治療、矯正不良體位,支架保護、體療、腰背肌鍛鍊及套用消炎止痛藥物等。
2.對後凸畸形嚴重且原發病史已靜止者,可行脊柱截骨及內固定術。
盤點骨科疾病
| 骨科是各大醫院最常見的科室之一,主要研究骨骼肌肉系統的解剖、生理與病理,運用藥物、手術及物理方法保持和發展這一系統的正常形態與功能。隨著時代和社會的變更,骨科傷病譜有了明顯的變化,例如,骨關節結核、骨髓炎、小兒麻痹症等疾病明顯減少,交通事故引起的創傷明顯增多。 |
