概述
骨壞死而對於骨壞死,人體在任何部位都有可能發生,僅就缺血性壞死已經發現40餘處,而股骨頭壞死發生率最高,這主要由生物力學和解剖學方面的特點來決定的。因股骨頭為終末血管呈扇狀20--25支,在頭頸交界形成動、靜脈環,其來源於鏇股內外動脈。 (1)負重大。髖關節是人體最大的關節,支撐著整個軀幹的重量,頭與臼之間壓力必然增大,長期保持著這種較大的壓力,不但容易造成結構上的損傷,而且影響局部的血液環。 (2)剪力在。髖關節不同於其它負重關節那樣兩骨端關節力線垂直,股骨幹與股骨頭頸之間形成132度的角,軀幹的重力是由髖臼通過股骨頭,頸移行至股骨幹,力線不垂直,就形成了剪力。因此,頭頸所承受的生理壓力要比其它關節大得多。 (3)活動範圍大。髖關節的活動範圍僅次於肩關節,伸展、內收、外展、鏇轉等。能完成各軸向運動,損傷的機會也較多。 (4)血供少。股骨頭的血供主要依靠囊外動脈環發出的外側支持帶和內側支持帶動脈,血管的吻合支量少且薄弱,當一支血管被阻斷而另一支不能及時代償時,即會造成股骨頭的供血障礙。
症狀
骨壞死病因
骨壞死骨壞死原則上分為兩大類:一類是由於細菌感染所致的骨壞死,如:骨髓炎、骨結核、化膿性關節炎等。另一類是因缺血造成的骨壞死,如外傷、飲酒、激素藥、寒濕、肝腎虧虛、骨質疏鬆、扁平髖、脊髓異常空洞症等導致的骨壞死。人體任何部位都可能發生骨壞死,臨床以手舟骨、足舟骨、距骨、肱骨頭、肋骨、髕骨、鎖骨、股骨頭為多見,尤以股骨頭髮生率最高。骨壞死發生在股骨頭部位,就叫股骨頭壞死。
骨壞死的中醫病因:
①肝腎不足:先天之本在於腎,腎藏精、生髓、主骨,若先天稟賦不足,腎精虧虛,腎氣不足,則骨失所養;筋骨不堅,或為各種先天畸形。肝與腎同源,主脈,腎氣既虧,肝亦不足,故臨床上常筋骨病症並見,而表現為筋骨同病。
②氣血虧虛:脾胃為後天之本,主運化水谷而為氣血化生之源。脾胃失運化,則水谷精微不能化生氣血以充養機體,同時先天之精亦得不到後天之精的補充,腎陽虧虛,不能溫煦、推動脾胃運化,二者相互影響,益加虧虛,遇有各種誘因,則易發為骨壞死。
③外感六淫:寒為陰邪,易傷陽氣,陽氣既傷,則氣血失於鼓動而運行遲滯,終致瘀阻不通;同時,陽氣一虛,筋脈也失去溫煦而拘攣不舒,陽虛陰無以化生,骨失所養,而漸骨枯髓減,發為本病。
④情志因素:七情太過,臟腑功能失調,腑經絡的功能紊亂,氣血運行失常,人體的陰陽失去平衡協調,並導致疾病的發生。
病因及分類
細胞、骨質細胞、髓質細胞(血管和神經)發生了壞死,致骨組織營養中斷或嚴重不足,使骨的代謝障礙,局部骨組織失去了營養,即為骨壞死。骨壞死原則上分為兩大類:一類是由於細菌感染所致的骨壞死,如:骨髓炎、骨結核、化膿性關節炎等。另一類是因缺血造成的骨壞死,如外傷、飲酒、激素藥、寒濕、肝腎虧虛、骨質疏鬆、扁平髖、脊髓異常空洞症等導致的骨壞死。人體任何部位都可能發生骨壞死,臨床以手舟骨、足舟骨、距骨、肱骨頭、肋骨、髕骨、鎖骨、股骨頭為多見,尤以股骨頭髮生率最高。骨壞死發生在股骨頭部位,就叫股骨頭壞死。
常見症狀
骨壞死股骨頭壞死,又稱股骨頭缺血性壞死或股骨頭無菌性壞死。它以髖關節疼痛、跛行為主要臨床表現。但早期往往僅表現為膝關節、大腿內側疼痛而被誤診。
造成股骨頭壞死的原因大致有兩類:一類是創傷性,多因髖部受傷後引起股骨頭骨折、股骨頸骨折、髖關節脫位,以及沒有骨折脫位的髖部軟組織損傷。其中,由股骨頸骨折而發展成股骨頭壞死者最為多見,約占股骨頭頸骨折的30%左右,而且患者年齡越小,發生股骨頭壞死的機會越多,這主要是因為創傷引起股骨頭滋養血管中斷或瘀阻,股骨頭缺血而造成;另一類是非創傷性的,包括長期大量使用糖皮質激素(是因為某些疾病的治療需要,也有的時候是誤用激素)、酒精中毒、減壓病等等,這些因素有的可以造成血液粘稠度增加,也可以導致血管壁增厚、管腔狹窄。不論是創傷性和非創傷性的因素,最終的結果一是造成動脈供血不足,二是造成靜脈瘀阻,而後者又可以引起骨內壓升高,進一步加重動脈供血不足,最終導致股骨頭缺血、缺氧、骨細胞變性、壞死。
股骨頭壞死屬中醫"骨蝕"、"骨痹"範圍。中醫學認為:人體五臟六腑、四肢、百骸都有經絡相連,通過經絡傳導信息、輸送氣血、骨組織的生長、發育、修復及其正常的生理功能,一方面和"腎氣"盛有關,另一方面,也和骨中絡脈的狀態有關,在正常情況下,骨中絡脈通暢無阻,能將氣血運行於骨骼中,對骨的生長、發育、修復起重要作用。如果由於外傷或其它原因使得骨中絡脈不通,骨的生長、發育、修復就會受到影響,且股骨頭中的"絡脈"不豐、"氣血"罕少,更易產生供血障礙,引起缺血、壞死,這與現代醫學研究證實的動脈供血不足、靜脈淤血相一致,從這一理論出發,以疏通骨中絡脈為治法,選用一些透達骨絡的中藥內服、外敷,就可以從根本上改變股骨頭的血運狀態,再適當配合益腎中藥就能在股骨頭血運改善的基礎上,刺激成骨細胞和破骨細胞的活躍,促使死骨吸收和新骨生長,從而較快消除股骨頭壞死患者的疼痛、跛行等症狀,改善其功能,促進其早日康復。
股骨頭壞死的護理
股骨頭壞死的護理1.功能鍛鍊 患者在被診斷為股骨頭壞死後,醫生都會讓其患肢限制負重,臥床休息,進行手術或非手術療法。在非手術療法中,股骨頭壞死靠修復就需1年到3年的時間,修復快者只需半年。
股骨頭壞死的護理2.病人術後要儘早實施常規褥瘡護理並根據手術的方式及程度不同,注意以下重點:有效的、間歇性的解除壓迫,恢復受壓部位的血液供應;皮膚保健:除了保持皮膚清潔乾燥外,要特別注意防止皮膚受物品或床單表面逆行阻力的摩擦損傷皮膚。注意觀察肢體末端血運,感覺足趾運動及手術處滲血情況。
股骨頭壞死的護理3.病人採用平臥位,防止置換後的股骨頭鬆動脫位,2周內不可坐起。鼓勵病人深呼吸,咳痰及多飲水,防止造成肺部感染。術後3周開始逐漸活動關節,並配合理療按摩。用皮牽引或石膏托保持關節穩定3周。
早期診斷
股骨頭壞死的治療效果與病情輕重、發現早晚、病程分期有很大關係,病變發現越早,病情越輕,治療效果就越好,因此股骨頭壞死應做到早期診斷和早期治療。股骨頭壞死早期診斷要遵循如下原則:
(1)凡20-50歲的成年人,腹股溝或髖部疼痛,並向大腿放散(或一側膝痛活動後髖痛),緩慢地進行性加重,夜間疼痛明顯,經一般藥物治療無效,且有過外傷史或酗酒史或套用激素史或有其它引起股骨頭壞死的誘因和疾病者,應首先考慮本病。
(2)對所有腰腿痛患者在進行體檢時,應常規檢查髖關節功能,如發現患側髖關節外展,內鏇受限,應懷疑股骨頭壞死的存在。
(3)對股骨頸骨折患者應隨訪至傷後3-5年如發現股骨頸高度遞減,釘痕現象及囊性變,並有臨床症狀,應考慮股骨頭壞死。
(4)對可疑病例必須首先拍攝髖關節正位和蛙式位X線片,如無異常,應嚴密觀察,或進一步行CT、MRI、ECT、骨內壓測定,動靜脈造影等檢查。
疾病鑑別
1、是否有股骨頭壞死發病的好發因素;2、股骨頭壞死的症狀和體格檢查特徵;
3、結合股骨頭壞死的影像學檢查。詳細詢問病史非常重要,病人應該配合醫師仔細回顧是否有髖部創傷史、服用激素史、大量飲酒史以及其它的股骨頭壞死好發因素,這些都有助於幫助醫生判斷。
發病原因
臨床上骨科專家將其劃分為肯定性病因與可能性病因。肯定性病因是部分病因關係是清楚的並被臨床骨科醫師所接收的,包括以下幾種:
①外傷 股骨頸骨折、扭傷、摔傷、髖關節脫位、髖臼發育不全易發生股骨頭壞死,其發生的時間,一般認為絕大多數在骨折後1~5年,最早可以在傷後2~3個月出現,發生率一般在75%~95%,骨折手術後大部分均可發生骨壞死。髖部損傷(包括髖關節脫位、股骨頸骨折、轉子骨折等)直接影響局部的血運供給,尤其是股骨頭的供血不足,而致股骨頭壞死。髖關節脫位合併骨折,壞死率高達90%。如超過24小時未整復的骨折脫位,股骨頭會100%發生壞死。
②激素類藥物 長期大量使用腎上腺皮質類固醇(如:強的松、地塞米松之類),均可造成骨質疏鬆、動脈血管阻塞,使骨細胞、骨髓細胞逐漸發生壞死。
③風濕 一般多發生於氣候寒冷潮濕地區,在我國普遍存在,華南較少,往北逐漸增多,常與強直性脊柱炎和類風濕性關節炎合併。
④慢性酒精中毒 長期大量飲酒可導致許多併發症如:A、脂質代謝紊亂;B、脂肪肝和高脂血症;C、局部血管炎;D、骨質疏鬆,以上幾種病理變化皆是導致骨壞死的罪魁禍首。
⑤骨質疏鬆 因骨組織的內部結構發生改變,骨小梁部分變性,骨的血液循環受阻,易致股骨頭壞死。
⑥高血脂症 血液中脂質的成分過高、血中脂質包括膽固醇,甘油三脂和磷脂。由於血中脂類成分增高,血液本身的粘稠度必然增加,流速減慢,從而形成小栓子而堵塞小動脈和小靜脈,導致骨壞死。
⑦髖臼先天性發育不良及扁平髖 由於髖臼發育不良,頭臼不對稱,使股骨應力分布異常,長期作用導致髖臼壞死與股骨頭死。
⑧減壓病(如潛水員、沉箱工人、飛行人員等)由於環境壓力改變,減壓不當,即減壓速度過快,幅度過大,以致減壓前已溶解於體內的氣體(主要是惰性氣體氮)脫離溶解狀態,形成氣泡而栓塞脈管或壓迫組織所引起。
⑨骨營養不良 因長期飲食不佳,體內鈣、磷的攝入量不足,不能滿足骨組織的新陳代謝,生長發育等,易致循環受阻,股骨頭因供血不足,可發生壞死。
可能性病因是這些病因可能與以後骨壞死的某一過程有聯繫或者在某種特殊的疾病中增加發病率,但尚未得到證實。包括:①痛風;②高尿酸血症;③靜脈疾患;④妊娠;⑤發育不良;⑥脂代謝失調;⑦結締組織疾病;⑧骨軟化等。
中醫原因
中醫對股骨頭壞死的發病原因和病機主要有以下幾種看法:
先天稟賦不足 先天胎稟不足,肝腎虧損,股骨頭骨骺發育不良,易於壞死,或髖臼發育不良,股骨頭包容不足,均可導致股骨頭壞死。
六淫所傷 風寒濕邪所傷,主要是感受寒濕邪,寒濕之邪內斂,腎陽不足,氣血虛弱,氣滯血瘀,外邪侵襲所致。陽氣受阻,氣血鼓動無力,氣血運行不暢,脈絡痹阻不通,骨失所養,而氣滯血瘀,筋脈失養,陽氣不足,陰寒內勝,氣血凝滯,不溫煦四肢,發為股骨頭壞死。腎陽不足。
暴力所傷 由於外界暴力、創傷造成輕者皮肉受損,重者組織結構破壞骨折,使氣血驟然瘀滯,氣機不利,阻遏脈絡,脈絡不通,氣滯血瘀,股骨頭局部血液供給受阻,從而發生股骨頭壞死。暴力所傷日久不愈,累及肝腎,肝腎虧虛,精血不足,骨失所養,久之發生股骨頭壞死。
勞傷過度 勞傷過度,傷及氣血,氣血不足,筋脈骨骼失養,四肢百骸及關節功能活動都賴於氣血的溫煦濡養,股骨頭得不到充分血液供應,亦可造成骨質疏鬆,易發股骨頭壞死。
後天失養 後天之本在於脾,先天之本在於腎,脾胃運化功能失調,水谷精微不生,無以濡養機體,先天腎精得不到後天水谷精微充養,則腎精不足,腎主骨生髓,腎精不足骨失所養,易發生股骨頭壞死。
骨壞死的中醫療法
股骨頭壞死,中醫稱“骨蝕”。中醫認為機體體質虛弱,抗病能力低下,肝腎精血不足,致使骨質疏鬆,是股骨頭缺血壞死的潛在原因。病變涉及肝、脾、腎。腎為先天之本,主骨生髓,腎健則髓生,髓滿則骨堅。反之,則髓枯骨萎,失去應有的再生能力。肝主筋藏血與腎同源,二者榮衰與共,若肝臟受累、藏血失司,不能正常調節血量,血液營運不周,營養難濟,是造成股骨頭壞死的重要因素。脾主運血,脾失健運、無化氣源,則筋骨肌肉皆無氣以生。病變發生後,骨與軟骨挫裂傷,氣血不通暢,經脈瘀阻,血行障礙,肢體失去營養,再生和修復能力減退,因而產生本病。
骨壞死預防
1.避免吸菸、酗酒,養成良好的生活習慣;
2.飲食應豐富多樣,避免高脂、高糖食品,適當補充鈣,奶製品、魚類和蔬菜中含鈣量高;
3.有規律進行體育鍛鍊;
4.避免骨折的發生(尤其是中老年,特別是女性),重要的是骨折後要及時正確處理;
5.對非創傷性骨壞死高危人群可以再治療疾病的同時,採用改善血液循環的藥物,還可套用調節血脂代謝的藥物。
檢查
大部分骨壞死病人實驗室檢查結果正常。必要時可作下列檢查:
(1)血液動力學檢查
①髓腔內壓測定 在局麻或全麻下,將套管針直接插入股骨轉子間區髓腔,以測定病變區髓內壓。這種方法較常規X線和核素骨掃描檢查,能更早發現骨組織異常變化,對早期診斷骨壞死有一定價值。
②髓腔內靜脈X線攝影術 經測髓內壓的套管針向髓腔內注人造影劑,連續攝X線片,觀察造影劑在髓腔內的行程及排空情況,從而檢查血管走行結構,可以為骨壞死的早期診斷提供依據。
(2)組織病理檢查
可作為骨壞死的確診依據。目前很少單獨套用,常與骨髓減壓術和植骨術同時套用。
(3)影像學檢查
①X線檢查
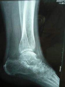
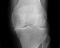
是診斷該病最簡單、最實用的方法,但敏感性差,早期單憑X線片不易診斷。骨壞死早期表現為骨質正常或輕度疏鬆,也可出現病變區骨密度相對均勻增高現象,隨後可見負重區有楔狀硬化帶或骨組織囊性病灶形成,進一步出現與關節面平行的“新月狀透亮帶”,關節間隙增寬。最後出現軟骨下骨板及關節面塌陷,骨輪廓改變,階梯狀不連續,骨壓縮加重,同時髖臼關節面也受損,關節間隙狹窄、骨贅形成,整個關節呈現退行性關節炎改變。
②核素掃描
採用99mTc磷酸鹽骨掃描方法診斷骨病,臨床套用已20餘年。診斷骨壞死敏感性高達80%,比常規X線檢查能更早地反映病變情況。
③計算機斷層掃描(Cr)較常規X線檢查及斷層攝影能更早地反映骨組織壞死改變。
④磁共振(MRI)
在其他檢查陰性而高度懷疑缺血性壞死時,應作詼檢查。它是早期診斷較理想的方法。
⑤斷層攝影
作為常規X線檢查的補充,套用已有多年,它能更詳細地反映骨組織的結構變化,尤其在缺乏CT、磁共振設備時,對臨床疑難問題的解決有一定參考價值。
食療方法
1、銀花蓮米粥:銀花1 5 g,蓮米 30g,白糖少許。將銀花洗淨,水煎煮沸5分鐘後,去渣取汁,加蓮米、煮至蓮米熟透,加白糖調勻服食,每日2劑,可清熱解毒,適用於病變初期.熱毒內擾,局部灼熱疼痛,功能受障者。
2、胎盤韭子粉:胎盤、韭子各250g,陳皮30g。將上藥烘乾研末備用,每次3g,每日2次,黃酒或蜂蜜沖服,可益腎補骨,溫經散寒,適用於病變後期,畏寒、肢軟乏力等。
3、善用肉鱔羹:要選擇黃鱔250g,豬肉100g,杜仲15g,蔥、姜、料酒、醋、胡椒粉各適量。杜仲水煎去渣,取汁備用;將黃鱔宰殺,去腸肚洗劑NG,用開水略燙,颳去外皮上的粘物,切段。將豬肉剁成未,放油鍋內煸炒,加水及杜仲汁,放入鱔魚段、蔥、姜、料酒,燒沸後改文火煮至魚酥,加醋、胡椒粉,起鍋,撒上香菜。配餐食用。有補肝腎,益氣血,祛風通絡之功。適用股骨頭缺血性壞死症見肝腎不足者。
4、苗方骨仙靈豬骨湯:苗方骨仙靈,豬骨500g,蔥、生薑、料酒、八角各適量,燒熱鍋,加油炒出料香,加水,放入苗方骨仙靈粉和豬骨小火燉1小時,藥效及豬白骨的營養更易於人體吸收,從而有效補充股骨頭再生所需的活性骨膠原及各種營養成分,誘導活骨細胞分裂再生,令新生骨骺沿骨小梁生長排列,從而重新恢復股骨負重能力。治療股骨頭壞死,效果好。
5、芪蛇湯:選擇用黃芪60g,蛇肉1000g,續斷10g,生薑15g,熟豬肉30g,料酒、胡椒粉、鹽、蔥白各適量這對於兒童股骨頭壞死有好的改善作用。先將蛇斬去頭尾,剝去內臟洗劑NG,切成片;黃芪、續斷用冷水洗去浮灰雜質,再用劑NG冷水浸泡1小時。鐵鍋燒熱,倒入豬油30g,油沸後倒入蛇肉翻炒,烹入料酒,然後將蛇肉倒入沙鍋,加入薑片、蔥白及鹽,用小火燉1小時,加入胡椒粉,揀去蔥姜即可。佐餐食用。有補肝腎,益氣血,袪風濕之功,適用於骨壞死之骨節疼痛。
6、穿山龍炒雞蛋:當然,穿山龍炒雞蛋也是一種不錯的方法,穿山龍6g,雞蛋3個,精鹽、素油各適量,香油少許。將雞蛋磕入碗內,加洗劑NG切碎的穿山龍,調入精鹽、香油,攪拌均勻,鍋內放油燒熱,將調好的雞蛋放入燒熟即可。一次食用。有健脾化濕,清利關節之功,適用於股骨頭缺血性壞死之濕熱不重,正氣已虛者。
術後要求
股骨頭缺血性壞死經過手術所致的創傷,引起髖關節周圍的炎症充血、水腫,二天達到了高峰、以後進入炎症、水腫、血腫的吸收階段,這個階段可因創傷的大小,血腫殘留的有無,脂肪液化的情況,感染是否存在和年齡大小,創口的情況各有不向,一般約一個月左右。術後早期是抗感染,通暢引流,消除血腫,促使創口癒合,注意機體的扶正。
14天拆線以後著重進一步促使局部的炎症水腫的吸收和防止和減少關節周圍的粘連,此時著重進行活血化瘀的內外結合治療。外治著重膏藥外用、理療、按摩、骨牽下練習坐臥運動(骨盆截骨,加蓋例外)或被動抬腿曲髖,防止關節粘連。
經過一個月的治療,局部組織鬆軟,屈髖功能逐步恢復,疼痛減輕。以此三個標準來評定此期療效的好差,這期亦叫疤痕形成期。如活血化瘀、消炎止痛、血腫、水腫吸收則股骨頭的修復快,疤痕的形成少,有利於功能的進一步恢復。
人工關節置換
(1)人工關節的種類及材料:
股骨頭壞死如能早期診斷和治療可使70%以上的患者避免或延緩人工關節置換術。但由於在中國,延誤診斷,不規範治療較普遍,使許多股骨頭患者就診時已屬晚期(III、IV期)其他方法已很難奏效,不得不行人工關節置換。隨人工關節材料的改進,假體設計改進及醫師技術的熟練,人工關節置換術的療效在迅速提高,過多的顧慮也是不必要的。
人工髖關節的種類包括:①股骨頭表面置換;②人工股骨頭置換;③全髖人工關節置換。常用的人工關節植入材料有:①金屬合金;②高分子材料;③陶瓷材料。根據人工全髖關節假體不同的固定方法,分為:①非骨水泥生物固定;②骨水泥固定。
(2)人工關節的使用壽命是多長?
對於即將施行人工全髖關節置換術的患者,最為關心的是人工關節的使用壽命。雖然近十年來人工全髖關節置換在國內得到廣泛開展,且骨科醫師技術日趨成熟,但缺乏更常時間的隨訪結果。據國外多中心、大樣本、長時間的研究結果,20年人工關節存活率達80%,30年存活率為64%,即人工關節置換後20年約80%患者的人工關節仍可以用下去,30年後為64%的患者,而他們所使用的假體為上世紀70或80年代設計的。進入二十一世紀,現在人工全髖關節假體的材料選擇及設計更為合理,手術技術廣泛提高,預計假體的使用壽命將更長,療效更樂觀。
(3)微創手術在人工關節置換中的套用:
隨著人工全髖關節置換手術技術的不斷發展,使小切口微創全髖關節置換術成為可能。中日友好醫院骨壞死與關節保留重建中心開展此手術多年,使其切口長度在10cm以內,手術時間沒有延長甚至可以縮短。此項技術不僅僅意味著單純的切口小,其技術焦點是減少對韌帶、肌肉及骨組織損傷,安全、有效、可重複、經得起時間的考驗。其優點為:①小切口美觀(可採用皮內縫合);②術中關節周圍軟組織創傷小,出血量減少,術後傷口疼痛減輕,併發症少;③早期既恢復日常生活與功能。患者術後第2—3天即可扶拐下地行走,大大地減少了圍手術期的併發症。
(4)導航技術在人工關節置換中的套用:
影像引導手術導航系統是近10年來發展的新技術,已在臨床得到廣泛套用。中日友好醫院骨壞死與關節保留重建中心已積累人工關節手術經驗超過700例,自2003年3月再國內最先開展導航引導下微創人工髖、膝關節置換術,取得優良療效,積累了豐富的經驗。
家庭護理
股骨頭壞死的輔助治療包括:股骨頭牽引、髖關節功能鍛鍊、按摩等。牽引一般為體重的10%左右。每日3-4次,牽引時間在1小時左右。在生活起居方面,首先要做到不讓患者負重,只要站立就要使用雙拐,不能搬重物。要鼓勵患者樹立信心,保證患者的良好心態和足夠的睡眠。其次,在飲食方面,應以含鈣質、蛋白質、維生素豐富的食物為主。切忌刺激性食物及飲酒。另外,還應注意防潮濕、防風,要注意保暖。
在治療期間,少走路,減少負重。避免寒涼,潮濕刺激,禁喝白酒,禁服激素類藥物。
外科病症種類
盤點骨科疾病
| 骨科是各大醫院最常見的科室之一,主要研究骨骼肌肉系統的解剖、生理與病理,運用藥物、手術及物理方法保持和發展這一系統的正常形態與功能。隨著時代和社會的變更,骨科傷病譜有了明顯的變化,例如,骨關節結核、骨髓炎、小兒麻痹症等疾病明顯減少,交通事故引起的創傷明顯增多。 |

