概述
股骨頸骨折是指由於骨質疏鬆、老年人髖周肌肉群退變、反應遲鈍或遭受嚴重外傷所致的股骨頸斷裂。股骨頸骨折多發生於老年人,女性發生率高於男性。 由以50—70歲者為最多。因老年人骨質疏鬆,股骨頸脆弱,輕微跌倒即可發生骨折。該部位血運較差,若骨折處理不及時、不適當,都會導致骨折不癒合或並發股骨頭缺血性壞死,創傷性關節炎,嚴重地影響老年人的生活。
股骨頸骨折臨床表現
股骨頸骨折,多見老年人,由以50—70歲者為最多。因老年人骨質疏鬆,股骨頸脆弱,輕微跌倒即可發生骨折。
1.跌傷後患髖疼痛,不能站立、行走。
診斷依據
股骨頸骨折,多見老年人,由以50—70歲者為最多。因老年人骨質疏鬆,股骨頸脆弱,輕微跌倒即可發生骨折。該部位血運較差,若骨折處理不及時、不適當,都會導致骨折不癒合或並發股骨頭缺血性壞死,創傷性關節炎,嚴重地影響老年人的生活。
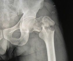
1.有跌傷史。 2.上述症狀和體徵:疼痛、壓痛、患肢外鏇畸形。 3.X線攝片可確診。
明顯外傷史,患肢疼痛,活動受限。Х線片可確定骨折部位及移位情況。
治療措施
股骨頸骨折股骨頸骨折,多見老年人,由以50—70歲者為最多。因老年人骨質疏鬆,股骨頸脆弱,輕微跌倒即可發生骨折。
(1)治療時機早期治療有利於儘快恢復骨折後血管受壓或痙攣。股骨頸骨折手術原則上不超過2周。
(2)骨折復位準確良好的復位是骨癒合重要的條件。牽引患肢,同時在大腿根部加反牽引,待肢體原長度恢復後,行內鏇外展復位。
(3)內固定目前內固定器材主要四類:
①單釘類:三翼釘為代表,三刃釘內固定為眾所熟悉的傳統療法。這種單根釘在骨的力學效能上不能持久,另外,此釘也不適於青少年及頸部粉碎性骨折者。
②多釘固定類:包括史氏針、三角針和多根螺紋釘。此類固定對骨的損傷較小,利用多釘的布局在生物力學上的優勢,療效較好,缺點是釘退出後骨不癒合。
③滑移式釘板固定裝置類:此種內固定器材優點是能使骨折片穩固地嵌緊,有助於早期負重。但操作難度和手術創傷大。
④加壓內固定類:所用的內固定釘帶有螺紋,如交叉螺絲釘,帶螺紋骨圓針及彈簧加壓螺絲釘等。
(4)治療方法選擇新鮮股骨頸骨折的治療主要依據骨折部位考慮其治療方法。
①股骨頸基底骨折:不完全骨折及外展嵌插骨折,可採用皮膚牽引或骨牽引。
②股骨頸中段骨折:可行單釘、多針或加壓內固定。
③股骨頸頭下型骨折:此類癒合困難,常發生壞死,對65歲以上老年人多施行人工關節置換。對此年齡以下者,宜選擇多枚針或加壓釘內固定。
④兒童股骨頸骨折:兒童股骨頸的主要血供來自髓內動脈。用4枚2mm克氏針,經皮穿針內固定,損傷較少,術後髖人字石膏固定12周。並密切觀察有無股骨頭壞死發生。
⑤股方肌蒂骨瓣移植術:術前先行脛骨結節骨牽引1周,以松解攣縮的髖周肌肉和矯正骨折移位。手術暴露股骨頸和股骨頭,將骨折復位,沿股骨頸長軸鑿一骨槽,將帶股方肌蒂的骨瓣嵌插在股骨頸的骨槽內,在股骨大粗隆以下的股骨外側,直視下插入加壓釘或多枚針固定。
⑥帶鏇髂深血管蒂的髂骨瓣轉位移植治療股骨頸骨折:可用於青壯年新鮮股骨頸骨折。手術顯露股動脈,直接在腹股溝韌帶下找尋鏇髂深血管。以此血管束為中心,設計取6.0cm×1.5cm×1.5cm全層骨塊,用鹽水紗布包繞骨塊待用。人工股骨頭置換術:對年齡超過65~70歲以上新鮮股骨頸頭下或粉碎性骨折有移位者,陳舊性骨折不癒合或股骨頭已壞死而髖臼無骨關節炎者,可行人工股骨頭置換手術。
病因學
股骨頸骨折按股骨頸骨折部的形態分為嵌入型和錯位型骨折。這兩型股骨頸骨折的骨折線可表現為緻密線和/或透亮線。緻密骨折線表示兩骨折端的骨小梁有重疊嵌插,而透亮骨折線則意味著兩骨折端有分離。嵌入型股骨頸骨折無明顯錯位,通常股骨頸可見模糊的緻密骨折線,局部骨小梁中斷,局部骨皮質出現小的成角或凹陷,股骨幹的外鏇畸形小明顯。此型骨折屬較穩定性骨折。由於骨折發生時外力作用的不同,股骨頭可發生不同程度的內收、外鏇。前傾或後傾的成角畸形。如出現嵌入端成角畸形較明顯,或骨折線的斜度較大、骨折端部分有分離,或股骨幹外鏇明顯時,提示骨折不穩定。
錯位型股骨頸骨折較常見,亦稱為內收型股骨頸骨折。兩折端出現鏇轉和錯位。股骨頭向後傾骨折端向前成角,股骨幹外鏇向上錯位,骨折線分離明顯。另外,接骨折部位又可分型為:頭下型:骨折線位於頭頸交界處;經頸型:骨折線位於股骨頸的中段;基底型:骨折線位於股骨頸底部,大部分位於關節囊外;頭頸型:骨折線上端在頭下,下端在股骨頸的中部,此型骨折近端的血供不好,不易癒合。
臨床表現
(1)畸形患肢多有輕度屈髖屈膝及外鏇畸形。
(2)疼痛移動患肢時髖部疼痛明顯。在患肢足跟部或大粗隆部叩擊時,髖部感疼痛。
(3)功能障礙移位骨折病人在傷後不能坐起或站立。
(4)腫脹
(5)患肢短縮
治療原則
1.外展型無明顯移位或有嵌插的股骨頸骨折,用持續皮膚索引,及對症治療。 2.內收型和有移位的外展型,閉合復位後行手術內固定。 3.年齡較大者,為防不癒合或並發缺血性壞死,可行股骨頭或人工關節置換術。
用藥原則
1.一般病人,用止痛藥、鈣片、桃紅四物湯。
2.手術病人:術後用抗菌素防感染,術後3天傷口無感染可停藥。部分病人要輸血或人體白蛋白等。
3.後期可服八珍湯、及舒筋湯外洗、助功能恢復。
輔助檢查
1.門診病人僅做檢查框限“A”第一項則可; 2.住院病人,檢查專案包括檢查框限“A”項及“B”項; 3.若懷疑有股骨頭缺血性壞死者,行CT或MRI檢查。
療效評價
1.治癒:骨折對位,對線良好、骨折已癒合或人工股骨頭位置符合要求,功能完全或基本恢復。
2.好轉:骨折對位固定良好、手術後傷口癒合,人工股骨頭置換術後位置滿意。
3.未愈:骨折對位對線差,內固定不滿意,或骨的不癒合影響關節功能。
疾病恢復
股骨頸骨折1、骨折部位:股骨頸骨折越靠近股骨頭,發生不癒合和股骨頭壞死的機率越高;
2、年齡:中老年患者的股骨頸骨折易發生不癒合,而青壯年股骨頸骨折易發生股骨頭壞死;
3、負重:過早棄拐活動是導致股骨頭壞死的普遍原因;
4、錯位程度和復位質量:股骨頸骨折輕度錯位,股骨頭壞死率為15.7%,中度錯位者為35.7%,重度者則為51%,復位質量越好,股骨頭壞死發生率越低。
為了防止股骨頭壞死應該做到:
1、勤複查X線片,即使骨折癒合,也要追蹤3~5年。研究表明約85%的股骨頭壞死發生在骨折後3年內,98%發生在5年以內。對於股骨頸骨折的治療和療效的評價,不能僅僅觀察到骨折癒合,而應隨診至傷後5年。如發現X線片有釘痕出現,股骨頭高度遞減和硬化透明帶等現象,表明股骨頭已有壞死先兆,應積極採取措施,防止其進一步發展;
2、不宜過早負重。股骨頸骨折單純從骨折癒合的角度講12周以後基本上就可以負重,但因為股骨頭壞死發生較晚,減少負重應一直堅持到1~1.5年;
3、如發現股骨頭有早期壞死現象,應採取服用藥物、適當手術等措施使病變逆轉。
食療法
股骨頸骨折1.赤小豆適量煎服,加赤砂糖少許溫服之,本方適用於活血化瘀期。
2.豬骨頭1000克,黃豆250克,加水小火燒爛,加鹽姜調味分飲食之。
3.豬脊骨一具,洗淨,紅棗120克,蓮子90克,降香、生甘草各9克,加水小火燒爛,加姜鹽調味分多次飲之。
4.鮮湖蟹2隻,取肉(帶黃),待粳米粥熟時,入蟹肉,再加以適量生薑、醋和醬油服食,常服。
5.烏雄雞1隻(約500克),去皮毛內臟,洗淨,“三七”5克切片,納入雞肚中,加少量黃酒,隔水清燉,熟後用醬油蘸服,常服。
6.生黃芪30~60克,濃煎取汁,加粳米100克,煮粥,早晚服食。
7.當歸20克,黃芪100克,嫩母雞1隻,加水同煮湯食用。
8.紫丹參50克,洗淨,加水煮,取汁,其汁與豬長骨1000克、黃豆250克同煮,待爛熟,加入少量桂皮、鹽即成。
9.生螃蟹500克,搗爛,熱黃酒沖服250克,余渣敷患處,約半日“各各”有聲即好。用於骨折接骨。
疾病分類
股骨頸骨折分類方法有多種,概括起來可分為3類:①根據骨折的解剖部位。②骨折線的方向。③骨折移位程度。具體由臨床醫師根據各個分類來指導治療方案。
分類
股骨頸骨折大部分人都知道是一種骨折,而且嚴重的話很多回演變成股骨頭壞死。知道股骨頸骨折,也知道其嚴重性,但是股骨頸骨折到底有多少種類型,每一種類型的特點又是什麼很少有人去了解,下面我們就來詳細介紹一下股骨頸骨折的幾種類型。
首先,按照骨折線部位分類,可以分為以下幾種類型:1.頭下型,指骨折線位於股骨頭與頸交界處,這類骨折對股骨頭血運破壞嚴重,骨折不易癒合,臨床多見;2.頭頸型,指骨折線自股骨頸上緣開始向下至股骨頸中部,最常見的是骨折面的外上部通過股骨頭下,而內下方帶有部分股骨頸,如鳥嘴狀,此型最常見,穩定性亦最差,骨頭壞死較易發生;3.經頸型,骨折線通過股骨頸中段,此型少見;4.基底型,骨折線位於股骨頸與大轉子之間,此處血運較好,骨折也容易癒合。
其次,按照骨折程度分類,可以分為以下幾種類型:不全骨折;完全骨折無移位;骨折部分錯位,股骨頭外展,股骨頸輕度上移並外鏇以及骨折完全錯位,股骨頸明顯上移並外鏇。
然後,按骨折線走行分類,分為角度小於30度,30度到50度之間,以及角度大於50度的。
最後,按外力作用方向可分為以下幾種類型:內收型,即最多見的,患者臀部著地,患肢於內收姿勢受力損傷,骨折後由於外展肌的收縮而使遠折端和大粗隆上移,由於下肢的重力關係而發生肢體外鏇;外展型,是比較少見的,患肢於外展姿勢跌倒受力,多為無移位的線狀或移位小的股骨頸外、後側的嵌插骨折。
按照不同的角度,股骨頸骨折也可以分為不同的類型,而每一種類型也有不同的表現,只有了解才能更好地去治療,去護理。

