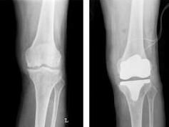
目前,膝關節置換和髖關節置換是人工關節置換術中最常見的兩類手術,其十年的成功率已經超過90%,更有80%以上的患者可以正常使用植入的假體長達20年以上,甚至伴隨其終生。除此以外,肩關節、肘關節、踝關節等關節置換也在不斷發展,取得了良好的中、長期結果。隨著生物材料與外科技術的進步,陸續出現了腕關節、指間關節、跖趾關節等小關節置換術,為患有嚴重小關節疾病的患者帶來了希望。
適應證
人工關節置換術用於治療終末期的關節疾患。
1.嚴重的骨性關節炎。
2.類風濕性關節炎,創傷性關節炎,強直性脊柱炎,先天性發育畸形導致的關節炎或關節疼痛、活動功能障礙,Paget病,以及骨關節的腫瘤等。
3.出現以上疾病的患者尚需符合以下標準才適宜進行人工關節置換術:
(1)關節面骨和軟骨破壞的影像學改變;
(2)有中度到重度持續性疼痛;
(3)經過至少半年的保守治療,功能和疼痛無法改善。保守治療至少應包括:非甾體類抗炎藥物及其他類型的止疼藥物、理療、助行裝置(手杖、拐杖等)以及有意識的減少關節負荷的生活、工作習慣的改變;
(4)患者能夠積極配合醫生治療,有良好的依從性。
4.年齡已非人工關節置換的決定性因素。最初,受限於早期的人工關節假體設計及材料磨損性能的限制,以及手術技術尚不成熟,一度認為人工關節置換隻適用於65歲以上人群。但隨著更多的新型耐磨材料在人工關節中廣泛套用,手術技術特別是翻修技術的大幅度提高,各種翻修假體設計日趨完善,而人們對生活質量的要求也不斷提高,越來越多的高齡人群和年輕人因為嚴重的關節疾病接受人工關節置換術。
成功要素
1.必須選擇合適適應證的患者
人工關節置換術儘管已經獲得很大的成功,但仍然難以滿足年輕患者大活動量,長期使用的要求;對於某些高齡患者,其伴隨有其他器官的嚴重疾患,或者難以配合醫生進行早期的關節功能康復,也不適於關節置換。保證患者安全永遠是人工關節置換術要考慮的第一位的問題。
患者必須具備滿足手術要求的全身狀況及良好的精神狀態,同時要對人工關節置換術有合理的預期。
2.手術操作技術
人工關節置換術對醫生的手術操作技術要求很高。
首先人工關節置換術中除了要對關節的病灶進行切除以外,需要深刻理解關節的運動學原理,將人工關節的假體安裝在準確的位置,既能使假體獲得良好的穩定性,又能恢復關節的正常運動。其次,人工關節置換術中要使用到大量的工具器械。醫生必須掌握工具器械的設計原理,熟悉使用方法,這就需要大量的理論學習和臨床實踐。在我國,還有一個特點,即多數患者在尋求關節置換時,關節疾病已至晚期,存在嚴重的關節畸形和骨缺損等情況。這更需要醫生有紮實的理論基礎及豐富的臨床經驗,才能靈活的處理手術中出現的複雜情況。
3.假體選擇
許多患者簡單的理解為人工關節假體“越貴越好,越新越好”。
其實不然,首先,人工關節假體需要在人體內長期發揮效能,而新的假體往往僅在實驗室內經過模擬測試。儘管實驗數據表明可以使用較長時間,但由於人體環境極其複雜,關節假體能否在人體內發揮長期效能則存在疑問,需要時間檢驗。
其次,人工關節假體種類繁多,其設計的解剖學數據來自於不同種族的人群,初衷是針對不同類型疾病的患者,因此貴的假體、新的假體未必是最適合您的假體。
再則,醫生對於假體的熟悉程度也在很大程度上決定了臨床的結果,一種新的假體,可能剛剛進入到臨床使用,醫生還缺乏實踐經驗,對於假體的特性可能還不熟悉,反而會延長手術時間,增加術後併發症。
4.圍手術期管理
一例人工關節置換術的成功,是一個團隊共同努力的結果。手術醫生在其中扮演主要角色,而麻醉師、內科醫生、護士、康復師等同樣重要而不可或缺。西方已開發國家的人工關節置換術已經非常成熟,因此在人工關節置換的醫療中心形成了一個穩定的團隊,對於需要進行人工關節置換的患者採用標準化的處理流程。這大大提高了手術的安全性和成功率,也縮短了患者的住院時間及降低了患者的醫療支出。
圍手術期管理涉及患者術前全身狀況的評估,麻醉評估及操作,術中手術醫生及器械護士的熟練配合,術後止疼,抗感染,康復等諸多方面。
成功的人工關節置換術以上四個要素缺一不可。
效果
人工關節置換術主要目的是緩解關節疼痛,糾正關節畸形,恢復關節功能,提高患者生活質量。
人工關節作為一種器官替代物,必然存在磨損與失敗的問題,但現代人工關節假體已經能夠達到良好的長期生存率。英國國立衛生院(NHS)提出了人工關節置換術的標準,即十年的成功率至少達到90%以上,稱為NICE標準。而在臨床實踐中,已有大量數據表明通過良好的手術技術,選擇合適的人工關節假體,在患者的充分配合下,人工關節置換,特別是膝、髖關節置換的20年的優良率可以達到90%以上。
人工關節置換術後,患者可以重新恢復到正常的工作生活和社交活動中,除了醫生認為不能或者不建議從事的劇烈對抗性活動以外,患者可以進行諸如跑步、游泳、羽毛球、高爾夫球、腳踏車、騎馬、舞蹈、太極等各項運動。
併發症
人工關節置換術的常見併發症可分為幾個方面,其中有的併發症和患者的疾病和自身身體狀況有關,有的和醫生的手術技術操作有關,有的則和人工關節假體本身有關。而往往在臨床工作中出現的併發症和失敗是多種因素共同作用的結果。
常見的併發症有:
1.人工關節假體鬆動。
2.人工關節機械性失敗,如脫位,磨損,鎖定機制失敗,假體斷裂等。
3.深靜脈血栓形成和肺動脈栓賽。
4.人工關節置換術後假體周圍感染。
5.術後神經損傷,血管損傷,假體周圍骨折。
6.人工關節置換術後關節不穩定,關節僵硬。
7.工關節置換術後疼痛。

