概述
骨折中文名稱:骨折英文名稱:fracture
定義:骨的完整性或連續性受到破壞所引起的,以疼痛、腫脹、青紫、功能障礙、畸形及骨擦音等為主要表現的疾病。
套用學科:中醫藥學(一級學科);骨傷科疾病(二級學科);骨折(三級學科)
骨折是指骨的完整性和連續性中斷,由於外傷或內傷等原因致使骨質部分地或完全地斷裂的一種疾病。骨折基本上都是意外傷害造成的,在高速發展的現代生活中意外傷害事故是經常發生的。造成骨折並不可怕,首先要端正態度,必須到正規醫院接受檢查,正骨復位,現在的醫院醫療設備和手術還是非常先進的,一般都會正骨復位。但在治療方面西醫是沒有特效藥的,大都是消炎藥。
骨折是指由於外傷或病理等原因致使骨質部分或完全斷裂的一種疾病。其主要臨床表現為:骨折部有局限性疼痛和壓痛,局部腫脹和出現瘀斑,肢體功能部位或完全喪失,完全性骨質尚可出現肢體畸形及異常活動。針灸主要用於閉合性骨折。
中醫學對骨折早有認識,如甲骨文已有“疾骨”、“疾脛”等病名。
骨折,病名。外傷或疾病所致之骨部分或完全折斷者。又名折骨、折傷、傷折、折瘍。多因外力、肌肉拉力或骨病所造成。骨折通常可分為截斷、碎斷或斜斷。患處可有瘀血、腫痛、錯位、畸形、骨聲、軸心叩擊痛、異常活動及功能障礙等種種表現。如因骨本身患結核、骨髓炎及骨瘤等病變,每遇輕度外力碰撞而發生骨折的稱病理性骨折。
在中國民間流傳著很多種治療骨折的藥方,由於南北差異很大各地的配方也各有不同,好的中藥配方對嚴重的骨折患者必須能夠在一個月時間讓患者下地行走,輕的患者能夠全愈。在選擇用藥上不要只看配方里有虎骨、鷹骨、碎蛇等等奇方,首先這些藥材的來源就是個問題。在中藥材里接骨續筋,活血化淤的藥材有很多種,主要是看配方的配伍是否和理,藥材是不是質量好的藥材。如果是好的接骨藥治療骨折不是難事。
患者本身也要端正心態,既不能盲目就醫也不能拖延,如果錯過最佳治療期造成陳舊性骨折。
骨折分類
依據骨折是否和外界相通
1、開放性骨折:骨折附近的皮膚和黏膜破裂,骨折處與外界相通恥骨骨折引起的膀胱或尿道破裂,尾骨骨折引起的直腸破裂,均為開放性骨折。因與外界相通,此類骨折傷口及骨折斷端受到污染。
2、閉合性骨折:骨折處皮膚或黏膜完整,不與外界相通。此類骨折沒有污染。
依據骨折的程度
1、完全性骨折:骨的完整性或連續性全部中斷,管狀骨骨折後形成遠、近兩個或兩個以上的骨折段。橫形骨折、斜形骨折、螺鏇形骨折、粉碎性骨折、崁插骨折、壓縮性骨折、凹陷性骨折及骨骺分離均屬完全性骨折。
2、不完全性骨折:骨的完整性或連續性僅有部分中斷,如顱骨、肩胛骨及長骨的裂縫骨折,兒童的青枝骨折等均屬不完全性骨折。
依據骨折的形態 
1、橫形、斜形及螺鏇形骨折:多發生在骨幹部。
2、粉碎性骨折:骨碎裂成兩塊以上,稱粉碎性骨折。骨折線呈“T”形或“Y”形時,又稱“T”形骨折或“Y”形骨折。
3、壓縮骨折:松質骨因壓縮而變形,如椎體和跟骨。
4、星狀骨折:多因暴力直接著力於骨面所致,如顱骨及髕骨可發生星狀骨折。
5、凹陷骨折:如顱骨因外力使之發生部分凹陷。
6、嵌入骨折:發生在長管骨幹骺端皮質骨和松質骨交界處。骨折後,皮質骨嵌插入松質骨內,可發生在股骨頸和肱骨外科頸等處。
7、裂紋骨折:如長骨幹或顱骨傷後可有骨折線,但未通過全部骨質。
8、青枝骨折:多發生在小兒,骨質部分斷裂,骨膜及部分骨質未斷。
9、骨骺分離:通過骨骺的骨折,骨骺的斷面可帶有數量不等的骨組織,是骨折的一種。
依據解剖部位
如脊柱的椎體骨折,附屬檔案骨折,長骨的骨幹骨折,骨骺分離,乾骺端骨折,關節內骨折等。
依據骨折前骨組織是否正常
1、外傷性骨折:骨結構正常,因暴力引起的骨折,稱之為外傷性骨折。
2、病理性骨折:病理性骨折不同於一般的外傷性骨折,其特點是在發生骨折以前,骨本身即已存在著影響其結構堅固性的內在因素,這些內在因素使骨結構變得薄弱,在不足以引起正常骨骼發生骨折的輕微外力作用下,即可造成骨折。
依據骨折穩定程度
1、穩定性骨折:骨折端不易移位或復位後經適當的外固定不易發生再移位者稱穩定性骨折。如裂縫骨折、青枝骨折、嵌插骨折、長骨橫形骨折、壓縮骨折、崁插骨折等。
2、不穩定性骨折:骨折端易移位或復位後易於發生再移位者稱不穩定骨性骨折,如斜形骨折,螺鏇骨折,粉碎性骨折。股骨幹既是橫骨折,因受肌肉強大的牽拉力,不能保持良好對應,也屬不穩定骨折。
依據骨折後的時間
1、新鮮骨折:新發生的骨折和尚未充分地纖維連線,還可能進行復位者,2~3周以內的骨折。
2、陳舊性骨折:傷後三周以上的骨折,三周的時限並非恆定,例如兒童肘部骨折,超過10天就很難整復。
臨床表現
骨折全身表現
1、發熱症狀:骨折後一般體溫正常,出血量較大的骨折,血腫吸收時,體溫略有升高,但一般不超過38℃,開放性骨折體溫升高時,應考慮感染的可能。
2、產生休克症狀:骨折所致的休克主要原因是出血,特別是骨盆骨折、股骨骨折和多發性骨折,其出血量大者可達2000ml以上。嚴重的開放性骨折或並發重要內臟器官損傷時亦可導致休克。
局部表現
1、骨折的一般表現為局部疼痛、腫脹和功能障礙。骨折時,骨髓、骨膜及周圍組織血管破裂出血,在骨折處形成血腫,以及軟組織損傷所致水腫,使患肢嚴重腫脹,甚至出現張力性水皰和皮下瘀斑,由於血紅蛋白的分解,可呈紫色、青色或黃色。骨折局部出現劇烈疼痛,特別是移動患肢時加劇。局部腫脹和疼痛使患肢活動受限,如為完全性骨折,可使受傷肢體活動功能完全喪失。
2、骨折的特有體徵
(1)畸形:骨折段移位可使患肢外形發生改變,主要表現為短縮、成角或鏇轉。
(2)異常活動:正常情況下肢體不能活動的部位,骨折後出現不正常的活動。
(3)骨擦音或骨擦感:骨折後,兩骨折端相互摩擦時,可產生骨擯音或骨擦感。
不同部位骨折的臨床表現
1、肱骨髁上骨折:多因間接暴力引起,骨折如無移位,多有肘部疼痛,腫脹,局部有壓痛,肘關節活動功能障礙。有移位骨折時,局部疼痛、腫脹較明顯,出現異常活動,可聽見骨擦音。伸直型骨折肘部常呈半伸位,肘後突起,呈靴形肘畸形,在肘前可摸到突出的骨折近端。有血管損傷(受壓或刺激)的患者,手部皮膚顏色會變蒼白或變暗,溫度變涼,皮膚感覺減退,手指或手腕部活動障礙。最早出現且最主要的症狀是被動伸指時引起劇痛,這時應及時拍X線片以確診。
2、肱骨外上髁骨折:骨折後關節外側迅速出現明顯腫脹、疼痛和活動受限,有時可摸到活動的骨塊。肘關節呈半屈位,活動時疼痛加劇。拍X線片可明確確診。
3、橈、尺骨幹雙骨折:亦稱手骨兩脛俱斷或前臂雙骨折。直接或間接暴力均可造成橈、尺骨幹雙骨折,骨折部位多發生於前臂中1/3和下1/3部。橈、尺骨幹雙骨折後局部疼痛、腫脹,前臂活動功能喪失,動則疼痛加劇。有移位的完全骨折,前臂可見短縮、成角或鏇轉畸形,有骨擦音,前臂鏇轉功能喪失。開放骨折可見骨折端戳出皮膚,傷口一般較小,外露的骨折端有時可自行回納到傷口內。
4、橈骨下端骨折:橈骨下端骨折是指橈骨遠側3厘米範圍內的各種骨折,直接暴力和間接暴力均可造成橈骨下端骨折,但以間接暴力最為多見。橈骨下端骨折後,腕關節上方有明顯腫脹、疼痛,橈骨下端壓痛明顯,有縱向叩擊痛,手指做握拳動作時疼痛加重,腕關節功能部分或完全喪失,有移位骨折時常有典型畸形。移位明顯者,手部側面可見“餐叉”樣畸形,正面觀可呈“槍刺刀”狀畸形。腕關節及手指伸屈功能常受不同程度的影響,部分病例表現為嚴重粉碎性骨折。
5、手舟骨骨折:手舟骨骨折多為間接暴力所致。骨折後,腕背側疼痛、腫脹,尤以隱窩處明顯,腕關節活動功能障礙。將腕關節橈側傾,屈曲拇指和示食(食指)而叩擊其掌指關節時可引起腕部疼痛加劇。手舟骨骨折容易漏診,為明確診斷,應及時進行X線攝片。手舟骨骨折可分為三種類型:
①手舟骨結節骨折。屬手舟骨遠端骨折,一般癒合良好。
②手舟骨腰部骨折。因局部血運不良,一般癒合緩慢。
③手舟骨近端骨折。近端骨折塊受血運影響,易發生不癒合及缺血性壞死。
6、掌骨骨折:骨折後局部腫脹、疼痛和掌指關節伸屈功能障礙。觸摸骨折局部有明顯壓痛,縱壓或叩擊掌骨頭時疼痛加劇。若有重疊移位,則該骨縮短,可見掌骨頭凹陷,握掌時尤為明顯。掌骨頸,掌骨幹骨折,常可有骨擦音。
7、指骨骨折:骨折有橫斷、斜形、螺鏇、粉碎或波及關節面等。骨折後局部疼痛、腫脹,手指伸屈功能受限。有明顯移位時,近節、中節指骨骨折可有成角畸形,末節指骨基底部背側撕脫骨折有錘狀指畸形,手指不能主動伸直。同時可捫及骨擦音,有異常活動。
併發症
骨折-早期併發症
1、休克:嚴重損傷,骨折引起大出血或重要器官損傷所致。
2、脂肪栓塞綜合徵:發生於成人,是由於骨折處骸腔內血腫張力過大破壞,脂肪滴進入破裂的靜脈竇內,可引起肺、腦脂肪栓塞。
3、重要內臟器官損傷:
①肝、脾破裂。
②肺損傷。
③膀骯和尿道損傷。
④直腸損傷。
4、重要周圍組織損傷:
①重要血管損傷;常見的如伸直型肋骨探上骨折,近側骨折端易造成肪動脈損傷,腔骨上段骨折的腔前或腔後動脈損傷,股骨鑰上骨折,遠側骨折端可致服動脈損傷。
②周圍神經損傷:特別是在神經與其骨緊密相鄰的部位,如肋骨中、下1/3交界處骨折極易損傷緊貼膚骨行走的撓神經,排骨頸骨折易致胖總神經損傷。
③脊髓損傷;為脊柱骨折和脫位的嚴重併發症,多見於脊柱頸段和胸腰段,可出現截癱。
5、骨筋膜室綜合徵:即由骨、骨間膜、肌間隔和深筋膜形成的骨筋膜室內肌肉和神經因急性缺血而產生的一系列早期症候群。最多見於前臂掌側和小腿,常由損傷骨折的血腫和組織水腫使其室內內容物體積增加或外包紮過緊、局部壓迫使骨筋膜室容積減小而導致骨筋膜室內壓力增高所致。
骨折-晚期併發症
1、墜積性肺炎:多發生於因骨折長期臥床不起的患者,特別是年老體弱和伴有慢性病的思者,有時可因此而危及患者生命,應鼓勵思者及早下床活動。
2、褥瘡:嚴重骨折後患者長期臥床不起,身體骨突起處受壓,局部血液循環障礙易形成褥瘡。常見部位有能骨部、破部、足跟部。
3、下肢深靜脈血栓形成:多見於骨盆骨折或下肢骨折,下肢長時間制動,靜脈血回流緩慢,加之損傷所致血液高凝狀態,易發生血栓形成。應加強活動鍛鍊,預防其發生。
4、感染:開放性骨折特別是污染較重或伴有較嚴重的軟組織損傷者,若清創不徹底,壞死組織殘留或軟組織覆蓋不佳,可能發生感染。處理不當可致化膿性骨髓炎。
5、損傷性骨化:又稱骨化性肌炎。由於關節扭傷、脫位或關節附近骨折,骨膜剝離形成骨膜下血腫,處理不當使血腫擴大,機化並在關節附近軟組織內廣泛骨化,造成嚴重關節活動功能障礙。特別多見於肘關節。
6、損傷性關節炎:關節內骨折,關節面遭到破壞,又未能準確復位,骨癒合後使關節面不平整,長期磨損易引起損傷件關節炎,致使關節活動時出現疼痛。
7、關節僵硬:患肢長時間因定,靜脈和淋巴回流不暢,關節周圍組織中漿液纖維性滲出和纖維蛋白沉積.發生纖維粘連.並伴有關節變和周圍肌攣縮,致使關節活動障礙。這是骨折和關節損傷最為常見的併發症。及時拆除固定和積極進行功能鍛鍊是預防和治療關節僵硬的有效方法。
8、急性骨萎縮:即損傷所致關節附近的病性骨質疏鬆,亦稱反射性交感神經性骨營養不良c好發於手、足骨折後,典型症狀是疼痛和血管舒縮紊亂。
9、缺血性骨壞死:骨折使某一骨折段的血液供應被破壞,而發生該骨折段缺血性壞死。常見的有腕舟狀骨骨折後近側骨折段缺血性壞死。
10、缺血性肌攣縮:多為骨筋膜室綜合徵處理不當的嚴重後果,是骨折最嚴重的併發症之一。它可由骨折和軟組織損傷所致,也常因骨折處理不當造成,特別是外固定過緊。一日發生則難以治療,常致嚴重殘疾。典型的畸形是爪形手和爪形足。
檢查
輔助檢查
凡疑為骨折者應常規進行X線拍片檢查,可顯臨床上難以發現的不完全性骨折、深部的骨折、關節內骨折和小的撕脫性骨折等,即使臨床上已表現為明顯骨折者,X線拍片檢查也是必要的,可以幫助了解骨折的類型和具體情況,對治療具有指導意義。
骨折的X線檢查一般應拍攝包括鄰近一個關節在內的正、側位片,必要時須加攝斜位、切線位或健側相應部位的x光片。仔細閱讀x光片後應辨明以下幾點:
1、骨折是損傷性或病理性。
2、骨折是否移位,如何移位。
3、骨折對位對線是否滿意,是否需要整復。
4、骨折是新鮮的還是陳舊的。
5、有否臨近關節或骨損傷。
自我檢測
骨折大多數發生於足部距骨、跟骨、跖骨及趾骨部位。
距骨骨折後局部腫脹、疼痛、活動功能障礙,被動活動踝關節時距骨疼痛劇烈,明顯移位或脫位時則出現畸形。跟骨骨折時除足跟疼痛、腫脹、功能障礙外,可出現瘀血斑,多見於跟骨內側及足底。嚴重者足跟部橫徑增寬,足弓變平,足部變長。從高處墜下時,若衝擊力量大,足跟部先著地,脊柱前屈,引起脊椎壓縮性骨折或脫位,甚至衝擊力沿脊柱上傳,引起顱底骨折和顱腦損傷,所以診斷跟骨骨折時,應常規詢問和檢查脊柱和顱腦的情況。跖骨、趾骨骨折時前半足或趾骨部位腫脹、疼痛明顯。第5跖骨基底部撕脫骨折的診斷應與跖骨基底骨骺未閉合、腓骨長肌腱的籽骨相鑑別,後兩者壓痛腫脹不明顯,骨片光滑規則,且為雙側性。跖骨頸疲勞骨折最初為前足痛,勞累後加劇,休息後減輕,2~3周后在局部可摸到有骨隆凸。由於沒有明顯的暴力外傷史,易被誤診。
踝部與跗骨正側位x線照片,跟骨x線側位、軸位照片,跖、趾前半足正、斜位x線片可以明確距骨、跟骨、跖骨及趾骨骨折的移位程度、類型以及有無合併其他骨折脫位。
足部發生外傷後,骨科醫生建議採用簡單的叩擊法也有助判斷。如上肢骨折,可用另一手掌輕輕拍擊受傷的手掌,若傷處疼痛明顯,則骨折可能就大;是下肢受傷,可用拳輕叩足跟,傷處疼痛,極可能是骨折。
治療方法
三步階梯療法
骨折病人的典型表現是傷後出現局部變形、肢體等出現異常運動、移動肢體時可聽到骨擦音,此外,傷口劇痛,局部腫脹、淤血,傷後出現運動障礙。出現外傷後儘可能少搬動病人,如須搬動必須動作謹慎、輕柔、穩妥,以不增加病人痛苦為原則。
治療骨折的最終目的是使受傷肢體最大可能的。最大限度的恢復其功能。因此。在骨折治療中,其復位、固定、功能鍛鍊這三基本原則十分重要。
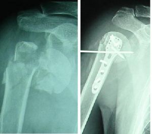
1、復位:是將骨折後發生移位的骨折斷端重新恢復正常或接近原有正常位置,以重新恢復骨骼的支架作用。復位的方法有閉合復位和手術復位、外固定架復位。
2、固定:骨折復位後,因為其不穩定,容易發生再移位,因此要採用不同的方法將其固定在滿意的位置上,使其逐漸癒合。常用的固定方法有:小夾板、石膏繃帶、外固定支架、牽引制動固定等,這些叫外固定。如果通過手術切開上鋼板、鋼針、髓內針、螺絲釘等,就叫內固定。
3、功能鍛鍊:後期的骨折患者主要是以重點關節為主的全身功能鍛鍊,通過受傷肢體肌肉收縮,增加骨折周圍組織的血液循環,促進骨折癒合,防止肌肉萎縮,通過主動或被動活動未被固定的關節,防止關節粘連、關節囊攣縮等,使受傷肢體的功能儘快恢復到骨折前的正常狀態。骨折患者循序漸進,由輕到重、由小到大,主動功能鍛鍊為主,被動活動為輔的原則。
骨折用藥
人體骨折後,骨骼的癒合速度十分緩慢,一般最快的要三個月,慢的也要六個月才能基本康復,有些長達一年二年骨折都難以癒合。所以在骨折後應適當使用骨傷藥物幫助骨骼的生長,可選用修正頸腰康膠囊這類純中藥進行輔助治療,其成分中的牛膝、乳香、伸筋草等有活血化瘀,續筋接骨的功效,能幫助骨骼生長癒合,同時配以骨碎補,從根本入手補腎強骨,療傷止痛,對骨折有事半功倍的療效。修正頸腰康膠囊除能有效促進骨骼生長外,還有消腫止痛的效果,能有效幫助骨折患者消除腿部腫脹、疼痛,減少骨折恢復時間。
聯合用藥治療
骨折後恢復期很長,成人需要2~4年,在如此長的時間段,如不加快骨折痊癒,還會有一定的併發症,因此,骨折後選擇有效的藥物聯合治療促進骨折癒合,是十分必要的。對骨折聯合用藥的治療研究里,取得良好的進展。通過中醫的“補”聯合西醫的“治”,有效規避了以往較大的副作用,明顯提高了治療效果。
治療骨折常用聯合用藥的組合龜芪骨肽組合,對骨折的治療有著突破性的治療意義。該組合中西醫合璧,中醫內調,西醫外治,強筋壯骨,肝腎同補,養血健脾,調節骨代謝,所合含超強骨形成因子BMP能有效增加成骨細胞數量和活性,促進新骨生成,這一獨有的極具建設性的機制,不僅能大幅增加骨密度,還能全面重建骨微結構,增強骨鈣沉積,促進骨痂形成,明顯縮短骨折癒合時間。促進骨代謝的活性肽類及鈣、磷、鐵等無機元素,調節鈣磷代謝,使鈣磷代謝平衡,促進鈣吸收。
龜芪骨肽組合促進補骨物質吸收——補骨壯骨,滋肝補腎
龜芪骨肽通過多味上品中藥,從肝腎筋骨,體氣調理,微循環改善方面同時入手,幫助不易吸收,淤滯不通的老年人做到血氣暢通,起到補血補氣的作用,幫助改善因為血氣不暢導致的全身疼痛。通過使骨、髓、筋、氣、血等各方面得到調節.補骨壯骨促進補骨物質吸收,治療骨質疏鬆,腰肌酸軟,老年人渾身疼,年老氣血不足原因導致的相關疾病都有非常好的療效。增加人體免疫力,抵抗藥毒性,防止骨折發生,可以長期服用進行二級預防。
龜芪骨肽組合促進骨細胞的生長——促進膜內骨化及軟骨固化
龜芪骨肽組合其骨肽所含的骨形態發生蛋白BMP----最初因其具有誘導骨形成的作用而得名,它是機體的多肽生長因子之一,起源於脫鈣骨基質。可誘導間葉細胞分化為軟骨細胞和成骨細胞,參與軟骨與骨發育,參與四肢形成及肺、肝、腎等軟組織發育,與交感神經元分化有關。BMP的主要套用是刺激骨的修復,可明確促進成骨表型的生長因子,在正常骨折癒合中的軟骨內成骨期中表達。
龜芪骨肽組合促進骨痂形成——促進新骨形成,縮短骨折病程
在骨折癒合早期階段,BMP作為主要的局部刺激因子可促進骨痂形成。同時誘導異位骨及軟骨形成。在軟骨細胞中,BMP刺激細胞外基質合成,並有助於骨折的癒合。BMP過度表達,可增加軟骨形成及促進分化。骨形態發生蛋白(BMP)誘導間充質細胞分化為成骨細胞和成軟骨細胞,其他骨形態發生蛋白促使成骨細胞和成軟骨細胞轉化為骨細胞,形成骨。
龜芪骨肽組合鎮痛、消炎——防止骨關節炎症損傷
龜芪骨肽組合其有效成分為多肽類物質,其中抗炎蛋白肽具有抗炎活性,可抑制各種骨關節炎症的炎性侵潤和關節損傷,在與骨形態發生蛋白協同作用下,加速骨關節退化部位和關節損傷部位的骨代謝,修復關節軟骨損傷,改善微循環,恢復受損關節的正常功能,消除骨折及骨科術後的腫脹和疼痛症狀。因此,具有明顯的抗炎、鎮痛的作用,在骨組織的修復和形成過程中起著重要的調控作用。
龜芪骨肽組合調節鈣磷代謝——增加骨鈣磷沉積、防止骨老化
骨病患者在骨的有機質流失的同時,骨的礦物質也隨著流失。包括鈣、磷、鎂、鋅等多種元素。不單純是鈣質一種。儘管補充了足夠的鈣,但由於沒有足夠的磷,鈣沉積並無明顯增加。鈣磷比例不合適,就會影響鈣的吸收和利用。所以單純補鈣是不夠的,主要需要調節鈣磷代謝。骨肽製劑可以糾正鈣、磷代謝,恢復正常磷與鈣在骨中的比例,增加骨鈣磷沉積、防止骨老化。對骨折療效顯著。
中藥方劑
方一
方劑名稱:接骨散。
藥物組成:栗黃1斤(曬乾),雄黑豆半斤(炒熟),桑根白皮1斤(銼),沒藥2兩,麝香半兩(細銼)。
處方來源:《聖惠》卷六十七。
方劑主治:傷折疼痛。
製備方法:上為細數。
用法用量:每服3錢,以醋1中盞,煎至半盞,用漿水2合解服。不過3服,疼痛即止。
方二
方劑名稱:接骨散。
藥物組成:沒藥半兩,乳香半兩,自然銅1兩(煅淬),滑石2兩,龍骨3錢,赤石脂3錢,麝香1字(另研)。
加減:若骨巳接尚痛,去龍骨、赤石脂,而服多盡好,極效。
處方來源:丹溪心法》卷四。
方劑主治:跌扑傷損。
製備方法:上為末,好醋浸沒,煮多為上,乾就炒燥為度。
用法用量:臨睡服時入麝香,抄以茶匙,留舌上,溫酒下,分上下食前後服。
附註:《準繩·瘍醫》有“白石脂”。
方三
方劑名稱:接骨散。
藥物組成:雄土鱉12克、膽南星15克、血竭15克、沒藥24克、馬錢子9個(微炒)淨龍骨9克、當歸9克、南紅花15克、川羌活9克、螃蟹骨9克、淨乳香30克、口防風15克、金絲毛24克、三七3克、白芷15克、七葉一枝花15克、九節菖蒲9克、川芎12克、冰片3克、升麻15克。
以上各藥共研極細末,裝入瓷瓶備用。
功能:專治骨折,立止痛,半月可愈,如遇跌打損傷、皮膚淤血、青腫、破損者敷上此藥5分鐘止痛15分鐘消腫。
使用方法:用時以老酒調塗患處,用凡士林調成軟膏亦可,用唾液調塗效果最佳。如遇跌打損傷、皮膚淤血、青腫、破損者敷上此藥5分鐘止痛15分鐘消腫。
此藥不能內服,只可外用。屢次使用,均湊奇效。
方四
方劑名稱:活血接骨散
藥物組成:麻黃167g、土鱉蟲167g、乳香(醋炒)167g、沒藥(醋炒)167g、地龍(去土酒炒)167g、自然銅(醋煅)167g、製成1000g。 性狀:本品為褐色的粉末;氣微,味微苦。
功能主治:活血止痛,續筋接骨,用於傷筋動骨,瘀血腫痛。
用法用量:黃酒送服,一次3~9g,一日1~2次;外用白酒調敷患處。
禁忌:孕婦忌服。
注意事項:高血壓、心臟病患者慎服,或在醫生指導下使用。
規格:每袋裝9g
貯藏:密封。
有效期:1.5年。
後期的康復治療
1、要求:儘早進行系統合理的功能鍛鍊,不僅能維持機體正常的生理功能水平、加快骨折癒合、防止毗鄰末受傷關節的功能障礙,更重要的是可以防止因肌肉粘連、關節僵硬及肌肉萎縮所引起的受傷關節的永久的功能障礙,最大限度地恢復患者的肢體功能,預防肢體廢用性萎縮及關節攣縮。
2、日常方法:四肢骨折,尤其是關節及關節周圍骨折術後的康復,最重要的是關節活動度和肌力的訓練。早期關節活動度訓練要以被動活動為主,應掌握循序漸進的原則,有條件可使用持續被動活動機進行功能鍛鍊。術後3天可開始逐步加強主動的關節活動。康復訓練要逐步加大並維持關節的最大活動度,切忌小範圍快節奏活動,這樣不僅無助關節活動度的改善,而且對骨折局部也有影響。
3、肌力訓練:人體上下肢的功能各有側重,上肢側重於精細動作,這些功能的恢復是功能鍛鍊的重點。鍛鍊時要注意手指屈伸都要達到最大限度,以防止手部關節僵硬粘連。下肢的主要功能是負重,但在下肢骨折癒合前如果過度負重會造成固定物鬆動、折斷,所以下肢骨折的康復一定要遵循“早活動、晚負重”的原則。股四頭肌是大腿前側的一塊重要肌肉,傷後和術後如果長時間不活動很容易萎縮,而且一旦萎縮很難恢復,直接影響功能康復結果。
4、關鍵要點:
不適當的肌力訓練和關節活動訓練可以加重痙攣,適當的康復訓練可以使這種痙攣得到緩解,從而使肢體運動趨於協調。
據美國國立衛生中心統計,臨床上有將近20%的四肢骨折患者,因為錯誤的肢體康復訓練而不同程度的留下了肢體廢用性萎縮及關節攣縮,從而對日後的生活造成了很大的影響。因為一旦使用了錯誤的訓練方法,比如用患側的手反覆練習用力抓握,則會強化患側上肢的屈肌協同,使得負責關節屈曲的肌肉痙攣加重,造成屈肘、屈腕鏇前、屈指畸形,使得手功能恢復更加困難。其實,肌肉萎縮肢體運動障礙不僅僅是肌肉無力的問題,肌肉收縮的不協調也是導致運動功能障礙的重要原因。因此,不能誤以為康復訓練就是力量訓練。
在對骨折後肢體肌力,肢體功能恢復的康復治療中,傳統的理念和方法只是偏重於恢復患者的肌力,忽視了對患者的關節活動度、肌張力及拮抗之間協調性的康復治療,即使患者肌力恢復正常,變可能遺留下異常運動模式,從而妨礙其日常生活和活動能力的提高。實驗及臨床研究表明,目前國內國際上一般建議在肢體骨折後的日常的家庭護理康復治療中,使用家用型的多功能肢體運動康復儀來對受損的肌肉萎縮肢體運動恢復。它本身以神經促通技術為核心,使肢體肌肉群受到低頻脈衝電刺激後按一定順序模擬正常運動,除直接鍛鍊肢體肌力外,通過模擬運動的被動拮抗作用,協調和支配肢體的功能狀態,使其恢復動態平衡;同時多次重複的運動可以向大腦反饋促通信息,使其儘快地最大限度地實現功能重建,打破痙攣模式,恢復自主的運動控制,尤其是家用的時候操作簡便。這種方法可使得骨折患者的肢體肌力訓練和關節活動度儘快徹底的恢復,避免留下因肌肉粘連、關節僵硬及肌肉萎縮所引起的受傷關節的長久的肢體廢用性萎縮及關節攣縮。
其他方法
骨折的分類(一)取穴主穴:阿是穴。肱骨:肩髃、曲池;尺撓骨:曲池、合谷;股骨:血海、髀關;脛腓骨:足三里、解溪。配穴:內關、合谷、足三里、陽陵泉。阿是穴位置:骨折中心,即斷端之間(下同)。(二)治法主穴,每次均取阿是穴及交替選用骨折上下端穴位之一,配穴,交替用健側之二穴(每次各取一上肢穴和一下肢穴)。得氣後,接通直流電針儀。局部穴位;骨折中心即阿是穴接負極,余穴接正極;全身配穴:上肢接正極,下肢接負極。電流量20~40微安,或以病人有針感,肌肉明顯收縮為度,連續波,頻率2~3次/秒。每次30分鐘,每日1次,6次為一療程。療程間隔1日。(三)療效評價以上法共治80例,其中新鮮骨折者54例,骨折臨床癒合時間較國內公認的中西醫結合治療的時間縮短15~22天;陳舊性骨折及遲緩癒合組26例,其壓痛消失,縱向叩擊痛及假關節消失,骨痂出現、功能恢復、骨折癒合時間均明顯提前。雷射穴位照射
(一)取穴主穴:頸椎骨折:大椎,胸椎骨折:神道、至陽;腰椎骨折:腎俞;骶椎骨折:長強。配穴:阿是穴。(二)治法以主穴為主,按症情而選,酌加阿是穴。以低功率氦一氖雷射儀,每穴照射10分鐘,每次共照射20~30分鐘,每日1次,10次為一療程,療程間歇1天。(三)療效評價本法主要治療椎體骨折,共治29例,經3~20次治療(平均12次),治癒12例,顯效15例,有效2例,總有效率100%。刺血(一)取穴主穴:阿是穴。阿是穴位置:局部腫脹處。(二)治法以消毒三棱針直刺血腫處達骨膜下為度;骨折日久者,刺血後加拔火罐,待瘀血流出後再行手法整復,局部用夾板固定。(三)療效評價本法用於關節附近骨折,共治24例,結果消腫迅速、癒合良好者20例,血腫未消2例,關節伸屈活動受限2例,總有效率為83.3%。體針(之一) (一)取穴主穴:肘內翻:少海、小海、天井;肘外翻:肘Liao、曲池、尺澤。(二)治法據症取主穴,以28號針直刺或斜刺深達骨骺或骺板,得氣後留針20~30分鐘。效欠佳者,可連線電針儀,用連續波,疏波,3~5次/秒,強度以患者可忍受為度。可配合推拿,內翻者於針刺前在內髁前以指點、按、揉、擠、掐2~3分鐘,並一手托住患肘,另一手握住前臂,在肘關節伸直鏇後位,按內翻相反方向椎按外展2~3次;外翻則按揉外髁,使時關節內收2~3次。每日治療1次,60次為一療程。(三)療效評價骨基底部骨折 共治37例肱骨髁上等骨折後肘內外翻畸形患者,結果,痊癒3例,顯效18例,有效15例,無效1例,總有效率為97.3%。針灸(之一) (一)取穴: 主穴:阿是穴;股骨骨折:環跳、髀關、陰市、血海;小腿骨折:足三里、陽陵泉、懸鐘、太沖。配穴:飲食不佳加中脘,體虛加湧泉。(二)治法均取患側,阿是穴僅以艾灸,採用中藥接骨艾條(在純艾中加入麝香、乳香、沒藥、川芎、羌活等混合粉末製成),每次灸20分鐘,早期用瀉法,中後期用補法。余穴均針刺,採用指切押刺進針法,於夾板縫隙進針,得氣後,早期用瀉法,中後期用補法。刺激數分鐘,通以電針,取二個超越骨折斷端的主穴為正負極,早期刺激宜輕,中後期刺激宜重。每日1次,10次為一療程,間隔1天,繼續治療。(三)療效評價對98例患者進行治療(其中49例單純艾灸),結果表明在骨折癒合上,無論骨痂強度、骨痂生長情況及下床情況,治療組明顯優於對照組。 體針(之二)
(一)取穴主穴:曲池、合谷、手三里。配穴:足三里。(二)治法骨折10天內,僅取主穴,均單側,骨折10天后加取配穴,雙側。針刺時均不解開固定夾板,在上述穴位皮膚處常規消毒後進針,主穴用提插捻轉瀉法,配穴用提插捻轉補法。留針30分鐘。骨折10天內每日1次,骨折10天后,隔日針1次。另外,骨折10天內可配合敷貼活血藥膏(由地鱉蟲、虎杖、黃柏等7味中藥組成),10天為一療程,4療程為一階段。(三)療效評價上法主要用於治療骨折24小時內就治的橈骨遠端與第五跖骨基底部骨折患者,共40例。經比較,在消腫止痛及骨折癒合上,針刺均較服中藥或自愈組顯著手摺 為優(<0.05)。針灸(之二) (一)取穴:主穴:大杼、膈俞(二)治法:二穴均取,斜剌至得氣,中等強度刺激,每次留針30分鐘。取針後艾灸3壯。每日1次,10次為一療程,療程間隔1周。(三)療效評價:本法主要用於促進骨折癒合。共治50例,痊癒22例,顯效3例,有效率為100%;對照組(中藥治療)有效率為76.0%。
保守復位法
1、手摸心會:所謂手摸心會就相當於古代的望、聞、問、切,憑藉多年的行醫經驗,在手摸的過程中,通過x光片示意圖,找準骨骼的移位方向。這一手法主要是對骨折情況做大概分析。 2、拔伸牽引:骨折程度有成角度骨折或者骨頭斷開的兩種情況,拔伸牽引是通過肌肉的拉力,將骨骼拉開,進行骨骼間的複合。它的主要作用是對抗肌肉的力量矯正骨端的重疊移位恢復肢體的長度。3、鏇轉迴繞:由於外作用力導致骨頭斷開,斷開後的骨頭由於肌肉的拉力重新拉回,造成的骨頭迴繞錯位,這種骨折很難恢復原位,斷開的骨端無法直接牽引拉回,這時需要利用肌肉的拉力同時向相反方向鏇轉拉伸,使其恢復到原來的位置。這一手法主要解決的是骨折斷端間的鏇轉和背向移位。4、屈伸收展:針對的是骨頭彎曲的骨折狀況,根據角度的大小進行調節。主要解決骨折斷端間的成角移位。
5、成角折頂:骨頭斷開後受肌肉的拉力在骨折面成角度的重疊在一起,這種骨折通過普通的拉伸,難以對正,這時需要通過折頂來解決殘餘骨斷面的重疊移位。成角折頂主要解決骨折斷端橫斷或帶有鋸齒的骨折。
6、端擠提按:主要解決的是骨折的側方移位。
7、夾擠分骨:依據不同成角度的骨折採用或夾或擠的方式,使其骨斷面重合。主要適用於小腿骨折及前臂骨折。 8、搖擺觸碰:骨折復位後,骨骼之間有間隙,通過上下搖擺使骨骼間的間隙達到最小,這樣有利於骨折的癒合。主要解決骨折復位後的間隙,使骨折斷端的間隙達到最緊密程度,使斷端面接觸的最緊。
9、對扣捏合:如跟骨的骨折有多塊,依據以上的方法將骨塊對正到一起,其它的骨碎塊就需要用這種捏合的方式進行修補。主要用於矯正粉碎性骨折及分叉性骨折。
10、按摩推拿:完成整個的骨頭復位後,進行捋骨順筋,將扭曲的肌肉、肌腱等進行最後的調整!
飲食
術後營養
骨折術後患者因對熱能及蛋白質的需要量大增,但患者進食量卻有所減少,容易造成營養缺乏。對於這類患者應給予積極有效的營養治療,以使創傷早日恢復。1、較輕骨折患者的固定術後,早期即可經口攝取食物。但選擇食物時要求高蛋白、高脂肪、高碳水化合物,並富含維生素和礦物質,以有利於骨折的修復和癒合。
2、較重骨折患者表現為多處骨折,或出血較多的開放性骨折,或伴有較為嚴重的軟組織挫傷。患者消耗明顯增加,也可影響胃腸功能。可考慮給予靜脈營養治療,有利於創傷癒合和控制併發症,待病情好轉穩定後可逐步過渡到經口進食,並減少腸外營養製劑的用量,直至最終停用。
3、術後患者由於活動減少,食慾減退,消化功能減弱,經口攝入食物應根據患者的口味和飲食習慣進行調整,並儘量做到供給易於消化而富含營養素的飲食。
4、骨折等創傷固定術後,組織的修復和生長將消耗較多的鈣、鎂、鋅等礦物和微量元素,應注意從靜脈或食物中給予補充。
飲食原則
1、骨折初期宜食三七、山楂、薤白、薺菜、韭菜、螃蟹等活血化瘀、消腫止痛的食物。
2、骨折中期宜食補肝腎、續筋接骨的食物,如枸杞子、杜仲等。
3、如骨折久不癒合者,可食紫河車、桂圓肉、黑豆、鵪鶉等補益氣血、滋補肝腎類食物。
4、限制食用柑橘類水果和番茄,以防其限制鈣的吸收。
5、應在飲食中包含乳酸鈣和磷酸鈣,注意攝取有充足的維生素D的食物。
6、要多食用含鈣的食物。應睡前服用,這是鈣吸收最佳時間,還有助於睡眠。
7、骨傷患者忌食醋。醋中含有3~4%的醋酸,而醋酸又有軟化骨骼及脫鈣的作用。不少骨傷患者食醋後,第二天傷處感覺酸軟,疼痛加劇,甚至更加腫脹。可見食醋確能影響骨折癒合。因此,骨折病人,在治療期間,避免食醋。
飲食忌禁
1、忌盲目補充鈣質鈣是構成骨骼的重要原料,有人以為骨折以後多補充鈣質能加速斷骨的癒合。但科學研究發現,增加鈣的攝入量並不加速斷骨的癒合,而對於長期臥床的骨折病人,還有引起血鈣增高的潛在危險,而同時伴有血磷降低。此是由於長期臥床,一方面抑制對鈣的吸收利用,一方面腎小管對鈣的重吸收增加的結果。所以,對於骨折病人來說,身體中並不缺乏鈣質,只要根據病情和按醫生囑咐,加強功能鍛鍊和儘早活動,就能促進骨對鈣的吸收利用,加速斷骨的癒合。尤其對於骨折後臥床期間的病人,盲目地補充鈣質,並無裨益,還可能有害。
2、忌多吃肉骨頭有些人認為,骨折後多吃肉骨頭,可使骨折早期癒合。其實不然,現代醫學經過多次實踐證明,骨折病人多吃肉骨頭,非但不能早期癒合,反而會使骨折癒合時間推遲。究其原因,是因為受損傷後骨的再生,主要是依靠骨膜、骨髓的作用,而骨膜、骨髓只有在增加骨膠原的條件下,才能更好地發揮作用,而肉骨頭的成份主要是磷和鈣。若骨折後大量攝入,就會促使骨質內無機質成分增高,導致骨質內有機質的比例失調,所以,就會對骨折的早期癒合產生阻礙作用。但新鮮的肉骨頭湯味道鮮美,有刺激食慾作用,少吃無妨。
3、忌偏食骨折病人,常伴有局部水腫、充血、出血、肌肉組織損傷等情況,機體本身對這些有抵抗修復能力,而機體修復組織,長骨生肌,骨痂形成,化瘀消腫的原料就是靠各種營養素,由此可知保證骨折順利癒合的關鍵就是營養。
4、忌不消化之物骨折病人因固定石膏或夾板而活動限制,加上傷處腫痛,精神憂慮,因此食慾往往不振,時有便秘。所以,食物既要營養豐富,又要容易消化及通便,忌食山芋、芋艿、糯米等易脹氣或不消化食物,宜多吃水果、蔬菜。
5、忌少喝水臥床骨折病人,尤其是脊柱、骨盆及下肢骨折病人,行動十分不便,因此就儘量少喝水,以減少小便次數,如此雖小便次數減少,但更大的麻煩也產生了。如臥床病人活動少,腸蠕動減弱,再加上飲水減少,就很容易引起大便秘結。長期臥床,小便瀦留,也容易誘發尿路結石和泌尿系感染。所以,臥床骨折病人想喝水就喝,不必顧慮重重。
6、忌過食白糖大量攝取白糖後,將引起葡萄糖的急劇代謝,從而產生代謝的中間物質,如丙酮酸、乳酸等,使機體呈酸性中毒狀態。這時,鹼性的鈣、鎂、鈉等離子,便會立即被調動參加中和作用,以防止血液出現酸性。如此鈣的大量消耗,將不利於骨折病人的康復。同時,過多的白糖亦會使體內維生素B1的含量減少,這是因維生素B1是糖在體內轉化為能量時必需的物質。維生素B1不足,大大降低神經和肌肉的活動能力,亦影響功能的恢復。所以,骨折病人忌攝食過多的白糖。
7、忌長期服三七片:骨折初期,局部發生內出血,積血瘀滯,出現腫脹、疼痛,此時服用三七片能收縮局部血管,縮短凝血時間,增加凝血酶,非常恰當。但骨折整復一周以後,出血已停,被損組織開始修復,而修復必須有大量的血液供應,若繼續服用三七片,局部的血管處於收縮狀態,血液運行就不暢,對骨折癒合不利。
8、骨折禁飲果子露。骨折與一般皮肉損傷不同,堅硬的骨質癒合時間比較長,短則1個月,長則半年以上。在醫院對好位置,作了固定以後,常需在家繼續休養、康復。做好家庭護理,促進癒合,尤其重要。
飲食調理
搬運傷者方法此時骨折部位瘀血腫脹,經絡不通,氣血阻滯,此期需注意活血化瘀,行氣消散。患者骨折部位疼痛,食慾及胃腸功能均有所降低,因此飲食應以清淡開胃、易消化、易吸收的食物為主,如蔬菜、蛋類、豆製品、水果、魚湯、瘦肉等,製作以清蒸燉熬為主,避免煎炸炒燴的酸辣、燥熱、油膩之食品。至於黃豆骨頭湯,屬於肥膩滋補的範疇,所含脂肪較多,不易消化吸收,有誘發大便乾燥之嫌,此階段最好不要食用。 食療方:三七10克,當歸10克,肉鴿1隻,共燉熟爛,湯肉並進,每日1次,連續7~10天。
2、骨折後2~4周
此時患者從生理上及精神上對骨折後的境況有所適應,骨折所引起的疼痛也已緩解,瘀血腫脹大部分消失,食慾及胃腸功能均有所恢復。飲食上應由清淡轉為適當的高營養,以滿足骨痂生長的需要,可在初期的食譜上加以骨頭湯、田七煲雞、魚類、蛋類以及動物肝臟之類,以補給更多的維生素A、D,鈣及蛋白質。適當多吃一些青椒、西紅柿、莧菜、青菜、包菜、蘿蔔等維生素C含量豐富的蔬菜,以促進骨痂生長和傷口癒合。食療方:當歸10克,骨碎補15克,續斷10克,新鮮豬排或牛排骨250克,燉煮1小時以上,湯肉共進,連用兩周。3、骨折後5周以上骨折部位瘀腫基本吸收,已經開始有骨痂生長,並從骨痂向骨組織轉化。患者胃口大開,飲食上並無禁忌,可食用任何高營養食物及富含鈣、磷、鐵等礦物質的食物。祖國傳統醫學對此頗有研究,認為此期食譜可配以老母雞湯、豬骨湯、羊骨湯、鹿筋湯、燉水魚等,能飲酒者可適當飲用杜仲骨碎補酒、雞血藤酒、虎骨木瓜酒等。食療方:枸杞子10克,骨碎補15克,續斷10克,苡米50克。將骨碎補與續斷先煎去渣,再入餘2味煮粥進食。每日1次,7天為1療程。每1療程間隔3~5天,可用3~4個療程。 實踐證明,對於骨折的患者,按照上述的食療順序滋補,病人的康復期明顯縮短。
癒合
常見癒合時間
骨折成人常見骨折臨床癒合時間參考值:
1、鎖骨骨折4-6周。
2、內、外及後踝部骨折4-6周。
3、肱骨外科頸骨折4-6周。
4、髕骨骨折4-6周。
5、肱骨髁上骨折4-6周。
6、骨遠端骨折4-6周。
7、肱骨幹骨折4-8周。
8、脛腓骨骨折8-10周。
9、股骨轉子間(粗隆間)骨折8-12周。
10、股骨幹骨折8-12周。
11、股骨頸骨折12-24周。
臨床癒合標準
1、局部無壓痛,無縱向扣擊痛;
2、局部無異常活動;3、X線照片顯示骨折線模糊,有連續性骨痂通過骨折線;
4、功能測定:在解除外固定情況下,上肢能平舉1㎏重物達1分鐘,下肢能連續徒手步行3分鐘,並不少於30步。
連續觀察2周,骨折處不變形,則觀察的第1天即為臨床癒合日期。2、4兩項功能的測定必須慎重(儘量不要自測),以不發生變形或再骨折為原則。
預防
1、堅持做些功能性體育活動,如每日堅持慢走等。這樣可防止骨質疏鬆,減少骨折幾率。
2、多吃一些含鈣豐富的物品。如牛奶、魚類、豆製品、蛋類等,必要時可以補充藥物鈣劑。 3、居室要合理,地面不要太滑,桌凳不要亂擺,常用的東西放置高度要適度。最後提醒老年人在起床時,在由坐位到站立等改變體位時需慢慢適應。4、注意安全:在日常生活中注意安全,防止外傷和意外事故發生,以免造成骨折。例如:①鍛鍊時選擇安靜人少的地方;②外出時選擇適宜的交通工具,避開交通高峰,並較好有人陪同扶持,上街時較好不要騎腳踏車,不要到擁擠的公共場所;③在浴室中放置防滑墊;④在便池旁安裝扶手,地板選用防滑材料;⑤保留夜間照明燈;⑥保持室內空氣流通及適當採光;⑦使用拐杖等。
5、定期體檢:可適量服用抗衰老類藥物,如維生素D、鈣劑,必要時可使用性激素,但要在醫生指導下套用,嚴格控制用藥劑量與用藥時間。還可常服補益肝腎、強筋
6、消除引起骨折的非骨骼因素:①日常活動注意安全,避免摔倒;②選擇適當的鍛鍊方法,以免受傷;③營造良好的居室環境和照明設施;④衣著大方寬鬆,行動方便;⑤調整藥物,保持較好的精神狀態;⑥高齡老人外出要有人照顧;⑦對骨質疏鬆症患者採取綜合措施,改善肌力和視力,提高平衡和反應能力,防碰,防摔,防骨折。
急救五原則
骨折外科病症種類
在路上——驢友秘籍
| 驢友——時尚代名詞,戶外運動——休閒新方式。他們拋棄了現代文明帶來的舒適與慵懶,擁有了與自然共存的能力,充分體會到一種回歸人的本性與初衷、檢驗人的智慧與力量的樂趣……然而每年旅遊中發生的意外屢見不鮮,悲劇突如其來……讓我們共享知識,捍衛生命、享受生活!分享我們的驢友求生經驗!我是驢友,我用知識的雙手,捍衛我們熱愛的生命! |

