損傷機制
Pilon骨折脛骨Pilon骨折最常發生於高處墜落、車禍驟停、滑雪或絆腳前摔。脛骨軸向暴力或下肢的扭轉暴力是脛骨遠端關節面骨折的主要原因。兩種不同的損傷機制導致Pilon骨折,其預後亦不同 。引起Pilon骨折的軸向作用力是高能量暴力,造成關節面內陷、破碎分離,乾骺端骨質粉碎,軟組織損傷,大部分同時有腓骨骨折,預後不佳,主要見於高處墜落、車禍。低能量的扭轉暴力使脛骨遠端骨折呈螺鏇形,關節面破壞較輕,乾骺端粉碎性骨折及軟組織損傷較小,腓骨骨折不一定發生,多見於滑雪或絆腳前摔,預後較好。受傷時踝關節的位置與骨折類型密切相關,跖屈時為脛骨後方骨折塊較大;中立位時,垂直軸向暴力使整個關節面破壞或前、後踝為大游離骨塊的“Y”型骨折;背伸位時距骨寬大的前部剛好進入踝穴內,使脛骨前部和脛骨骨折;外翻位時,扭轉暴力可使脛骨遠端外側骨折;內翻位時,可出現內側骨折;當軸向暴力和扭轉暴力聯合作用,踝關節可脫位,關節面嵌插,同時,伴有乾骺端粉碎性骨折,關節變得極不穩定。
骨折分類
關於Pilon骨折的分類,其主要目的還是在於如何指導治療及提示預後情況。1969年Ruedi和Augower 根據關節面和乾骺端的移位及粉碎程度,將Pilon骨折分為3型,這種分型的意義在於強調關節面的損傷程度。 Ⅰ型:經關節面的脛骨遠端骨折,較小的移位; Ⅱ型:明顯的關節面移位而粉碎程度較小; Ⅲ型:關節面粉碎移位及粉碎程度較嚴重。Ovadia和 Beals 在此基礎上則增加兩種類型:Ⅰ型:無移位骨折;Ⅱ型:骨折移位較小;Ⅲ型:關節面骨折伴有幾個大的骨折塊;Ⅳ型:關節面骨折伴有幾個骨折塊,同時還有一個較大的乾骺端骨缺損;Ⅴ型;關節面嚴重移位及骨質嚴重粉碎。Kellam和Wadda 根據預後將其分為兩型:A型:(鏇轉型)低能量損傷造成;B型:高能量損傷造成。Mulle 提出的分類較全面,能揭示預後情況,但較複雜,分為3型
診斷
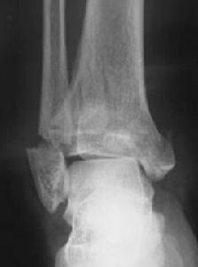
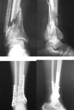
外傷後踝部腫脹、畸形、不能負重,追問受傷時的情況來判斷是否有軸向暴力發生作用。結合X線片或CT檢查,Pilon骨折的診斷並不困難。X線片包括:(1)踝關節正、側位像;(2)外鏇斜位像,可很好地顯示脛骨前內側和後外側關節面骨折情況;(3)對側踝關節X線片,既可以排除骨折的存在又可以作為復位的模特。CT片能夠很好的顯示骨折的形態、骨折塊的數量以及移位的程度,矢狀位和冠狀位重建圖像能夠顯示出事實上更為複雜的骨折情況。在評價骨折的移位程度、術前制定的治療方案以及指導手術治療方面,CT較普通X線片有明顯的優勢。
治療
Pilon骨折的特徵決定了臨床治療的困難性和特殊性,Pilon骨折治療的發展過程反映了內固定材料技術發展和人們對損傷原因(能量狀態)的認識過程
5.2 手術治療
作為治療上最具有挑戰性的骨折之一,Pilon骨折的治療歷來爭議較多,焦點在於對脛骨骨折的固定方式和手術時間的選擇 。
Ruedi和Allower倡導Pilon骨折的治療遵循AO/ASIF組織的切開復位內固定(ORIF)原則,包括:
(1)恢復腓骨長度並做內固定;(2)重建脛骨遠端關節面;(3)乾骺端骨缺損的松質植骨(支撐關節面、填補空缺、刺激成骨、促進骨折癒合);(4)脛骨內側支持鋼板固定,早期功能鍛鍊,晚負重。Ruedi 報導的病例優良率達85%~90%,認為達到遠期滿意療效的關鍵是關節面解剖復位和堅強內固定,但他們的病例中絕大部分是低能量損傷。另外一些報導套用ORIF治療高能量損傷所致Pilon骨折效果差,Babis等 報導優良率僅有40%~45%,並有很高的併發症發生率,他認為ORIF只適合於低能量的損傷,高能量損傷所致Pilon骨折,早期不應該行切開復位內固定術(ORIF),骨折嚴重程度和未能解剖復位是療效差的關鍵所在。Wyrsch等 認為,上述原則主要適用於低能量損傷的切開復位內固定(ORIF),對於高能量損傷引起的複雜性和(或)開放性骨折,仍提倡有限內固定和外固定結合的治療手段 ,並形成了若干現代的治療觀念,主要包括基於軟組織損傷的嚴重程度制定治療方案、軟組織損傷的處理和骨折復位固定分步進行及延期ORIF等 。強調細緻的軟組織暴露,骨折塊的有限剝離、間接復位,堅強固定後早期活動和晚負重等Pilon骨折手術治療的“生物學原則”。治療目標可以歸納為“3P”,即保護(preserve)骨與軟組織活力、進行(perform)關節面的解剖復位、提供(provide)滿足踝關節早期活動的固定 。
骨折診治進展 4
5.2.1 切開復位的固定(ORIF) 30年前Ruedi和Allower倡導Pilon骨折的治療遵循AO/ASIF 組織的切開復位內固定(ORIF)原則,至今仍有重要的指導意義。如今的觀點認為,只要關節面粉碎不嚴重均應行切開復位內固定術 。Egol等 經綜合分析後認為,ORIF可較好地整復脛骨遠端粉碎的關節面,對乾骺端的骨缺損輔以植骨,能較好地恢復關節面的平整,為功能恢復提供前提,堅強的內固定,術後踝關節可早期活動,減少或延緩創傷性關節炎的發生;對於高能量損傷,ORIF還存在較多的併發症。章瑩等 報導採用切開復位內固定術治療脛骨Pilon骨折綜合滿意度達82%。
5.3 手術治療的有關問題
併發症及防治
Pilon骨折,尤其是高能量損傷的Pilon骨折,併發症的發生率很高,處理好併發症的問題可以說是治療Pilon骨折成敗的關鍵。

