病因
骨折為直接暴力和間接暴力所致。臨床表現
髕骨骨折的發生年齡一般在20~50歲之間,男性多於女性,約為2:1。髕骨骨折後關節內大量積血,髕前皮下淤血、腫脹,嚴重者皮膚可發生水皰。活動時膝關節劇痛,有時可感覺到骨擦感。有移位的骨折,可觸及骨折線間隙。檢查
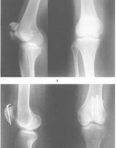
影像學表現:髕骨內可見橫斷或星形的X線透亮的骨折線,由於股四頭肌腱和髕腱的牽扯,骨折塊分離多較明顯,骨折上段向上移位,而下段無移位。如股四頭肌腱沒有完全斷裂,骨折移位較少見。診斷
髕骨正側位X線可確診。對可疑髕骨縱行或邊緣骨折,須拍軸位片證實。併發症
1.早期併發症(1)創傷性休克嚴重股骨幹骨折內出血可達500~1000ml甚至更多,創傷後的疼痛刺激,早期即可能發生休克。處理原則為早期固定減少內出血,擴充血容量和止痛,積極抗休克治療;
(2)擠壓綜合徵嚴重擠壓傷導致股骨幹骨折,需要注意擠壓綜合徵的發生。處理原則為預防急性腎功能衰竭和高血鉀,予以早期儘快補液,鹼化尿液,利尿,解除腎血管痙攣等甚至行筋膜切開減壓等;
(3)血管神經損傷股骨幹下段骨折,骨折塊向後移位可傷及蟈靜脈和坐骨神經。處理原則做好骨折的固定,忌反覆活動患肢;
(4)脂肪栓塞綜合徵股骨幹髓腔有大量黃骨髓,脂肪含量高,損傷後可引起脂肪栓塞綜合徵,處理原則為患者嚴格制動,忌隨意搬動。
2.後期併發症
(1)骨折畸形癒合分為成角畸形、短縮畸形、鏇轉畸形。處理原則兒童輕度短縮可自行糾正,成人輕度短縮可墊高鞋跟補償,短縮2.5cm以上或鏇轉畸形均需手術矯形治療;
(2)骨折不連線處理原則預防感染髮生,有效固定和防止過早活動;
(3)膝關節僵直長時間的牽引固定膝關節或手術及骨折創傷波及膝關節可造成膝關節攣縮僵硬。處理原則進行早期膝關節屈伸活動,手法按摩或手術松解等。
治療
髕骨骨折的治療應最大限度地恢復關節面的平滑,給予較牢固內固定,早期活動膝關節,防止創傷性關節炎的發生。1.非手術治療
石膏托或管型固定適用於無移位髕骨骨折,不需手法復位,抽出關節內積血,包紮,用長腿石膏托或管型固定患肢於伸直位3~4周。在石膏固定期間練習股四頭肌收縮,去除石膏托後練習膝關節伸屈活動。
2.手術治療
髕骨骨折超過2~3毫米移位,關節面不平整超過2毫米,合併伸肌支持帶撕裂骨折,最好採用手術治療。

