類型
橋本氏甲狀腺炎的五種類型
橋本甲狀腺炎(1)假性甲亢:少數患者可有甲亢的臨床表現,如心悸、多汗、神經過敏等,但甲狀腺功能檢查無甲亢證據,TGAb、TMAb陽性。這種病人無需抗甲狀腺藥物治療,症狀可自行消失。
(2)橋本甲亢:患者伴發甲亢,部分病例還可有浸潤性突眼、粘液性水腫等。可有典型的甲亢表現。循環抗體滴度較高。這類患者甲亢狀態可持續數年,常需要抗甲狀腺藥物治療,但劑量不宜過大,要注意藥物性甲減發生。手術切除或放射性核素治療均不適宜,易發生永久性甲減。
(3)突眼型:本病可發生浸潤性突眼,其甲狀腺功能可正常、亢進或減退。眶後肌有淋巴細胞浸潤、水腫。血清TGAb和TMAb均為陽性。
(4)亞急性甲狀腺炎型:少數患者發病較急,伴發熱,甲狀腺迅速增大,伴局部疼痛和壓痛,血沉加快,但攝碘率正常或增高,甲狀腺抗體高滴度限性。
(5)青少年型:青少年甲狀腺腫中,橋本甲狀腺炎約占40%,其甲狀腺較小,甲狀腺功能正常,甲狀腺抗體滴度又較低,臨床診斷較困難。有部分患者甲狀腺腫增大較迅速,稱青少年增生型。部分患者可合併甲狀腺功能減退。
病因病理
橋本甲狀腺炎 根據近年來許多臨床和實驗資料證明本病是一種自身免疫性疾病,在多數患者的血清和甲狀腺組織內含有針對甲狀腺抗原的抗體,已知的主要有甲狀腺球蛋白抗體(TGA)、甲狀腺微粒體抗體(MCA)、甲狀腺細胞表面抗體(FCA)、甲狀腺膠質第二成分(CA2)等。前兩者具有臨床實用價值。正常人血清中甲狀腺球蛋白抗體值為1∶32,很少超過1∶256,微粒體抗體值在1∶4以下;
而在慢性淋巴細胞性甲狀腺炎患者的血清中,這兩種抗體值可分別高達1∶2500和1∶640以上。究竟何種原因使甲狀腺產生自身抗體,多數人認為由於免疫耐受性遭受破壞所致,歸納起來有兩點,一是靶器官因某種原因引起抗原性改變,使自已變成"非己"而加以排斥;另一是免疫活性細胞發生突變,抑制T細胞減少,B細胞失卻抑制而更活躍,產生過量的抗體。
當抗體抗原結合時,形成的抗原抗體複合體覆蓋在甲狀腺細胞表面,K細胞與之結合而受到激活。K細胞是一種殺傷淋巴細胞,具有抗體依賴性細胞介導免疫的細胞毒作用,激活後釋出細胞毒,造成甲狀腺細胞的破壞。此外,對這些免疫異常的發生也必須考慮到遺傳因素,許多病例說明同一家族中半數的同胞兄弟姊妹抗體水平顯著升高,並發生多起橋本病。Moens認為本病可能與人類白細胞HLA系統的DRW3和B8有關,這是先天性抑制T細胞的功能缺陷。儘管對本病的發病機理有了一些了解,慢性淋巴細胞性甲狀腺炎的病因尚待進一步闡明。
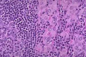
病理說明
橋本甲狀腺炎 甲狀腺的大體檢查多呈瀰漫性腫大,質地堅韌或橡皮樣,表面呈結節狀,邊緣清,包膜完整,無粘連。鏡檢可見病變甲狀腺組織中淋巴細胞和漿細胞呈彌散性浸潤。腺體破壞後,一方面代償地形成新的濾泡,另一方面破壞的腺體又起刺激免疫作用,促進淋巴細胞的增殖,因而在甲狀腺形成具有生髮中心的淋巴濾泡。甲狀腺上皮細胞出現不同階段的形態,早期有部分濾泡增生,濾泡腔內膠質多;隨著病變的進展,濾泡變小和萎縮,腔內膠質減少,其上皮細胞腫脹增大,胞漿呈明顯的嗜酸染色反應,稱為Askanazy細胞或Hürthle細胞,進而細胞失去正常形態,濾泡結構破壞,間質有纖維組織增生,並形成間隔,包膜常無病變累及。
特點
1.中年女性多見,早期無明顯症狀,晚期可有甲減症狀表現。
2.甲狀腺中度瀰漫性腫大,常波及錐葉,堅實,分葉狀,一般無疼痛及壓痛。
3.血沉增快,血清丙種球蛋白升高,濁度、絮狀試驗陽性。
4.甲狀腺吸131碘率正常或可升高,過氯酸鹽排泌試驗陽性,甲狀腺吸131碘率升高的病人甲狀腺片或T3抑制試驗陽性(可抑制),血清TT3,TT4早期正常或可升高,晚期可下降而血清TSH水平升高,部分病人tr-ab可陽性。
5.血清免疫複合物升高,igg、iga水平升高,淋巴細胞轉移率增加,輔助性t淋巴細胞百分數增加,甲狀腺自身抗體(tga、tma)強陽性,滴度升高明顯。
6.甲狀腺細針吸取細胞學檢查示豐富的淋巴細胞,還可見漿細胞、許特爾(hurthle)細胞。
7.本病易與其他自身免疫性疾病並存,如惡性貧血、系統性紅斑狼瘡、類風濕性關節炎、萎縮性胃炎等,還可與甲狀腺功能亢進(橋本-甲狀腺功能亢進症)、結節性甲狀腺腫、甲狀腺癌並存,必要時作甲狀腺活檢或手術探查,確定診斷。
臨床表現
橋本甲狀腺炎 本病多發生於40歲左右的婦女,男性少見,男女之比為1∶20左右。尚無確切的發病率統計,但近20、30年國內外資料提示其發病有增多趨勢,在人群中的發病率可高達22.5~40.7/10萬,可見此病已非罕見。
上海醫科大學1975~1986年收治的慢性淋巴細胞性甲狀腺炎例數占同期甲狀腺疾病例數的3.88%。起病隱匿,常無特殊症狀。
80~90%病人的主要表現為甲狀腺腫大,多呈瀰漫性,不對稱,病變累及一側或雙側,峽部或錐體葉仍可清楚捫及。甲狀腺質地堅韌如橡皮樣,表面比較平整,與周圍組織也無粘連。但至病程後期由於甲狀腺的逐漸纖維化,甲狀腺表面可呈多葉狀,硬度也變得不一致,使呈多結節狀,摹擬甲狀腺新生物,附近淋巴結不腫大。有些病人先有甲亢表現,後來感到全身無力,由於甲狀腺發生萎縮並出現粘液性水腫之故。同時感頸部輕微壓迫感,吞咽不適,因病變演變緩慢,可能在幾年內得不到明確診斷。
診斷
一、基本檢查
1.甲狀腺功能檢查因病程不同而異。
(1)血清T4、T3早期正常,但TSH升高;後期血清T4下降,T3正常或下降,TSH升高。
(2)甲狀腺吸碘率早期正常或增高,但可被T3抑制;後期吸碘率降低,注射TSH也不升高。
2.免疫學檢查血中抗甲狀腺球蛋白抗體(TGA)、抗甲狀腺微粒體(過氧化物酶)抗體(TMA)滴度明顯升高,二者均大於50%(放免雙抗法)時有診斷意義,可持續數年或十餘年。
3.其他檢查血沉增快,可達100mm/h,血清白蛋白降低,r球蛋白增高。
二、進一步檢查
1.SPECT甲狀腺掃描分布均勻或不均勻,可表現為“冷結節”。
2.病理學檢查對於臨床表現不典型,抗體滴度不高或陰性者,可作細針穿刺細胞學檢查或組織活檢以確診。
三、診斷要點
1.中年女性,甲狀腺瀰漫性腫大,質地堅韌,不論甲狀腺功能如何均應考慮本病。
2.血清TGA、TMA滴度明顯升高(>50%),可基本確診。
3.臨床表現不典型者,需抗體滴度連續二次>=60%,同時有甲亢表現者需抗體滴度>=60持續半年以上。
4.本病需與甲狀腺癌鑑別,後者抗體陰性。文獻報導本病中甲狀腺癌的發生率為5%-17%。
沒有病理學證實,很難以某些症狀或體徵做出診斷。多年來對本病的診斷採用Tisher(1957)提出的下列五項標準:①甲狀腺腫大,質堅韌,結節感,所有的甲狀腺包括錐體葉在內都能摸到;②甲狀腺抗體陽性;③血清TSH升高(正常者<10/ml);④甲狀腺掃描呈點狀濃聚及不規則稀疏;⑤過氯酸鉀鹽排泄試驗陽性。凡在上述五項標準中,有兩項符合者可擬診本病,具備四、五項者可予確診。這個標準在多數情況下是適用的,診斷正確率約70~90%,因此在使用這一標準時尚需結合病人的具體情況進行分析,不能排除甲狀腺癌腫時,可行穿刺活檢或手術探查。
輔助檢查甲狀腺球蛋白和微粒體抗體陽性;血清蛋白結合碘和丁醇提取碘多屬正常。有些患者可以產生一種異常的而不溶於丁醇的碘化蛋白質,可以使血清蛋白結合碘升高和丁醇提取碘降低,這有助於本病的診斷。131I攝取率一般呈正常,增高時能被T3抑制。甲狀腺同位素掃描可見其形態對稱,但放射性分布往往不均勻,有片狀稀疏區。過氯酸鉀鹽排泄試驗陽性。BMR正常或降低。T3、T4值正常;TSH值降低,但在甲狀腺功能減退時升高。
疾病辨別
橋本甲狀腺炎 1.甲狀腺癌慢性淋巴細胞性甲狀腺炎與甲狀腺癌兩者之間的關係尚存有爭論。Clark(1980)報告前者的癌發生率為12%,有時兩者相混一起,在癌組織附近有灶性甲狀腺炎病變。Woo1swan等認為慢性淋巴細胞性甲狀腺炎確實存在微小癌。中山醫院27例慢性淋巴細胞性甲狀腺炎中發現微小癌、惡性淋巴瘤和乳頭狀癌各1例,其惡性腫瘤發生率為11.1%,故需慎重作出鑑別。
2.Graves病或突眼性甲狀腺腫是涉及多系統的自身免疫性疾病,其特點為瀰漫性甲狀腺腫伴甲亢、浸潤性突眼及浸潤性皮膚病(脛前粘液性水腫),多見於女性,也有甲狀腺抗體,它與慢性淋巴細胞性甲狀腺炎甲亢型類似,但Graves病主要由甲狀腺刺激免疫球蛋白(thy-roid-stimulatingimmunog1obulin-TSI)所引起,TSI封閉抗體阻止甲狀腺對增加的垂體TSH起反應,而慢性淋巴細胞性甲狀腺炎除了足量的免疫細胞浸潤甲狀腺外,其甲狀腺增生的主要刺激物是TSH本身,而沒有TSI封閉抗體。本病與Graves病兩者是密切相關的。
3.變型性慢性淋巴細胞性甲狀腺炎這可能是本病的另一種不同類型,如原發性萎縮性甲狀腺炎、不對稱性自身免疫性甲狀腺炎、青少年型淋巴細胞性甲狀腺炎、纖維化型甲狀腺炎和產後Hashimoto甲狀腺炎,這些甲狀腺炎多見於女性,組織學上見到腺體被淋巴細胞浸潤,有不同程度的纖維化和萎縮,使甲狀腺功能低下。產後甲狀腺炎多發生在產後3~5個月,多數在幾個月內好轉。
4.其他自身免疫性疾病在同一病人身上可以發生甲狀腺炎、重症肌無力、原發性膽管硬化、紅斑狼瘡、“自身免疫性”肝病或者乾燥綜合徵。極少數慢性淋巴細胞性甲狀腺炎可類同Quervain甲狀腺炎,表現有發熱、頸部疼痛和甲狀腺腫大,甲狀腺抗體陽性,這可能是本病的亞急性發作。
遺傳橋本氏甲狀腺炎是自身免疫性疾病的一種.橋本氏甲狀腺炎有遺傳傾向,不是一定會遺傳.只要懷孕時能把橋本氏甲狀腺炎的病情控制好,一般可能避免把橋本氏甲狀腺炎遺傳給下一代。現在生孩子後會有甲狀腺疾病篩查檢查,即使遺傳了橋本氏甲狀腺炎,如能及時發現,孩子得到及時治療就行。治療
本病發展緩慢,可以維持多年不變,如不予治療,除少數病例自行緩解外,最終均發展成甲狀腺功能減退。其自然發生粘液性水腫的過程約為10年左右,應予及時治療。其治療原則是無限期的甲狀腺激素替代療法。
乾制甲狀腺片從30mg開始,間隔7~10天增加20mg,總量為120~180mg/d,3~6個月後腺體縮小,症狀減輕,以後給維持量60~90mg/d。
套用類固醇藥物可使甲狀腺縮小,硬度減輕,甲狀腺抗體效價下降,一般用強的松30~40mg/d,1個月後減量到5~10mg/d,常與甲狀腺製劑合用,隨訪觀察,並調整用量。一般不採用手術治療,因可使之發生甲狀腺功能減退的可能。
但有下列情況可考慮手術治療:①口服甲狀腺製劑後甲狀腺不縮小,仍有壓迫症狀,可作甲狀腺部分或峽部切除;②疑有甲狀腺癌或其他惡性腫瘤時,可手術活檢。若無惡性病變,即終止手術。術後一律用甲狀腺製劑以防甲減或復發。免疫抑制劑對本病的效果尚無確切的結論。
對橋本甲狀腺炎一般採用抗甲狀腺藥物進行治療,嚴禁使用131碘和手術進行治療。但藥物治療起來,效果會比較慢,療程也會比較長,副作用也很多,對於橋本氏甲狀腺炎長時間以來都沒有效果比較好的藥物,很多的醫院採用皮質激素治療,或者是雷公藤進行治療,可是這些藥物卻存在了副作用,還會產生一些不良反應,而且效果也不是很明顯。只能夠進行替代治療,就是補充甲狀腺激素,所以,沒有辦法從根據本上治癒橋本甲狀腺炎。
中醫治療
治療方案橋本甲狀腺炎需甲狀腺激素終身替代治療以減少甲狀腺肥大和治療甲狀腺功能減退,偶爾甲狀腺功能減退是一過性.替代治療平均T4劑量是75~150μg/d.1.風熱犯表型
橋本甲狀腺炎治法:疏風解表、清熱解毒、利咽止痛
2.肝鬱化火型
主證:癭腫灼熱而痛,心煩易急,咽部梗阻感,口渴喜飲,食慾亢進,雙手細顫,失眠多夢,乏力自汗,女子則見經前乳脹,大便不調,舌質紅,苔薄黃,脈弦而數。
治法:舒肝解郁、清肝瀉火
3.陰虛陽亢型
主證:癭腫而痛,口乾咽燥,五心煩熱,頭暈目眩,失眠多夢,心悸不安,自汗盜汗,聲音嘶啞,舌質紅少苔或黃苔,脈弦細數。
治法:滋陰潛陽
4.痰瘀互結型
主證:癭腫而堅硬,壓之疼痛,咽部不適,胸悶納呆,或咳吐痰液,舌質偏暗,或有瘀斑,苔白,脈沉澀。
治法:活血祛瘀、化痰散結
5.脾腎陽虛型
主證:癭腫,面色光百,畏寒肢冷,神疲懶動,納呆便溏,肢體虛浮,性慾減退,男子可見陽痿,女子可見經量減少或閉經,舌淡胖,苔白滑,脈沉細
治法:溫補脾腎,利水消腫。
6.氣血虧虛型
主證:癭腫,面色光百,神倦乏力,體虛易感冒,納呆便溏,氣短懶言,口乾咽燥,頭暈目眩,腰其酸軟,失眠多夢,舌淡苔薄,脈沉細。
治法:益氣養血
飲食
橋本甲狀腺炎專家們建議:橋本甲狀腺炎患者可吃些含維生素高的新鮮蔬菜、水果及營養豐富的銀耳、百合、瘦肉、淡水魚、香菇、雞肉、鴨肉、甲魚、桑椹等,最好以清淡為主。保持心情愉悅,學會控制自己的情緒,忌食碘、羊肉、辣椒、海鮮、濃茶、咖啡等濕熱或有刺激性的食物。
但患者們需要注意的是:限制海帶、紫菜等海產品的攝入,減少食物中碘的含量。而對於橋本氏病合併甲狀腺功能低下的病人,如慢性淋巴細胞性甲狀腺炎的患者,飲食中卻應該增加食物中碘的含量,提高血液中碘的濃度,為甲狀腺激素的合成準備充足的原料,這也是橋本甲狀腺炎飲食需要注意的地方。
橋本病的臨床表現複雜,合併症多,術前診斷率低,所以要引起重視,避免誤診。橋本病的外科治療是可取的,但要嚴格掌握其適應證,手術方案應個體化,術中應儘量保留足夠多的甲狀腺組織,術後長期服用甲狀腺素替代治療以達到良好的治療和預防效果。
患者們只有這樣做,才能讓病情更快的康復。通過這樣的講解,從中便可以清楚的看出,一個良好生活習慣與健康的飲食是保證身體健康最為關鍵的。
內分泌系統及其疾病
| 內分泌系統(endocrine system)是機體的重要調節系統,它與神經系統相輔相成,共同調節機體的生長發育和各種代謝,維持內環境的穩定,並影響行為和控制生殖等。 |

