疾病描述
產後甲狀腺炎產後甲狀腺炎曾有多種命名,這是與該病具有多種甲狀腺疾病的特徵有關。例如:產後無痛性甲狀腺炎(postpartumpainlessthyroiditis,PPT)、寂靜性甲狀腺炎(silentthyroiditis,ST),即無疼痛的甲狀腺炎、甲亢性甲狀腺炎、無痛性亞急性甲狀腺炎或不典型亞甲炎、淋巴細胞性甲狀腺炎伴自發緩解的甲亢等。目前傾向於使用亞急性淋巴細胞性甲狀腺炎(subacutelymphocyticthyroiditis)。亞急性淋巴細胞性甲狀腺炎有兩種發病形式:散髮型和產後發病型。
症狀體徵
產後甲狀腺炎甲狀腺毒症:約50%發生,產後1~3個月出現,可持續1~2個月。其中只表現這一臨床過程者為22.2%。食慾增加、體重下降、神經質等往往缺乏特異性,但心悸及乏力可能較為突出而成為就診之主訴。如甲狀腺毒症階段超過2個月以上,往往症狀較為明顯,可伴有精神神經症狀。51%甲狀腺增大。表現為甲狀腺腫出現或在原有基礎上增大。多為輕度瀰漫性腫大,質地均勻,偶爾僅有單個孤立結節,無觸壓疼痛。多無血管雜音。永久性甲狀腺功能減退時可無甲狀腺腫大。
短暫性甲狀腺功能減退:25%~42.3%只有這一階段表現。35.5%先後經歷以上2個不同階段。一般於產後3~6個月出現症狀:水腫、體重增加、畏寒、食慾減退等。有時表現精神障礙,可誤為抑鬱症。本病循環甲狀腺抗體陽性婦女抑鬱症發生率增加達8.8%~30%。
有人停經或子宮出血,或出現伴有PRL增高的停經-溢乳綜合徵而誤認為垂體病變。多數病人可於產後5~10個月內恢復正常。
永久性甲狀腺功能減退:發生於10%~23%的病人。TPOAb陽性的本病婦女50%日後發生甲狀腺功能減退,年發生率約為3%~5%。疾病早期發生一過性甲狀腺功能減退者25%~30%發生永久性甲狀腺功能減退症。而發生永久性甲狀腺功能減退症者有92%在疾病早期出現一過性甲狀腺功能減退。產後早期功能減退階段TSH>20mU/L者,是日後長期甲狀腺功能失調的預測指標。妊娠早期TPOAb滴度測定是預示本病發作後長期甲狀腺功能減退的較好指標。多次妊娠與產後甲狀腺炎後持久性甲狀腺功能減退有相關關係。自然流產發生率與永久性甲狀腺功能減退具有相關性;推測這些病人在妊娠期間具有輕度甲狀腺功能不足而影響胎兒的生存能力。對於甲狀腺功能減退症狀明顯,診斷後症狀持續1年者應考慮永久性甲狀腺功能減退症。產後第6個月,82%本病婦女發生激素異常,有些人無典型臨床經過,就診時已進入甲狀腺功能減退階段。也有病人產後功能亢進及功能減退期均不出現或出現不明顯,體檢時只有甲狀腺腫大。本病一般於1年之內自行緩解。
疾病病因
產後甲狀腺炎2.遺傳研究表明,本病具有HLA抗原多態性。
3.碘過量碘可誘發產後甲狀腺炎。
4.既往有Graves病病史的婦女,產後無症狀甲狀腺炎尤為多見。
病理生理
病毒分子2.遺傳研究表明,本病具有HLA抗原多態性。大量的臨床及實驗室研究也提示Hashimoto甲狀腺炎與本病可能存在共同病因。HLA抗原與產後甲狀腺炎發病相關性的解釋可能為:
(1)該病位點與HLA位點連鎖不平衡。也可能HLA在疾病過程中起直接作用。
(2)HLA的多態性可能是對抗原呈遞細胞呈遞特殊系列抗原肽能力的一種影響因素,因而可調節疾病的易感性。
3.碘過量碘可誘發產後甲狀腺炎。甲狀腺功能減退最容易發生在日攝碘量高於其日需要量的有本病病史的婦女。
本病產後發生的原因,一般認為,在妊娠期,母體出現免疫耐受(CD4陽性細胞比例下降,NK細胞活動受抑制等),允許接受胎兒移植。而產後母體免疫減弱的有關問題,包括胎盤因子及胎兒抑制性T細胞活性等問題尚未了解。產後這種抑制作用的減弱使免疫反應加劇,即產後出現的體液及細胞免疫的反彈介導了產後甲狀腺炎的發生。病人在妊娠期多有甲狀腺抗體的檢出,表明先前存在有亞臨床型自身免疫性甲狀腺炎,產後惡化了這種異常。
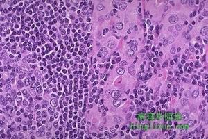
產後甲狀腺炎甲狀腺病理檢查顯示:局限性或廣泛淋巴細胞及漿細胞浸潤甲狀腺組織,有時可見中央透明的濾泡存在。無生髮中心及淋巴濾泡。有人認為本病是慢性淋巴細胞性甲狀腺炎的變異。
診斷檢查
檢查本病很易漏診。對於產後甲狀腺腫或加重,以往多歸因於單純性甲狀腺腫。分娩後1年內出現疲乏、心動過速、神經質、甲狀腺腫大或持續閉經者,應考慮本症。特別是妊娠期甲狀腺腫及伴有高滴度甲狀腺抗體的病人、有自身免疫甲狀腺病家族史者,產後發生本病的危險性增加,需提高對本病的警惕性。產後出現甲狀腺腫或甲狀腺進行性增大,即使無功能改變也可能是產後甲狀腺炎。前瞻性研究表明,甲狀腺功能正常的產後甲狀腺炎占4%。
實驗室檢查:
1.白細胞正常,紅細胞沉降率(ESR)正常或輕度升高。
2.甲亢期間血清T3、T4增高,TSH減低。TSH抑制到可檢出的最低限範圍。TSH刺激也不能使其增加。
3.血清TG升高。血清TPO-Ab水平升高,但是其滴度相對於橋本甲狀腺炎來說較低。約2/3病人甲狀腺抗體陽性,TPO-Ab陽性率明顯高於TGAb。極少數病人血清中存在TSAb,但出現的效價及時間與甲狀腺病毒症發作及嚴重性無關。
4.甲狀腺球蛋白(Tg)可增高,與甲狀腺淋巴細胞浸潤及腺體破壞相關;對診斷本病的敏感性為0.81,特異性0.98。
其他輔助檢查:
1.甲狀腺攝131Ⅰ率甲狀腺毒症階段明顯降低。在功能低下階段有所恢復。
2.過氯酸鹽釋放試驗對產後甲狀腺炎過後2~4年,甲狀腺功能保持正常的婦女進行過氯酸鹽釋放實驗證明,大部分病人過氯酸鹽釋放實驗陽性,提示這些婦女存在持久性甲狀腺碘有機化缺陷。這種缺陷與實驗前甲狀腺自身抗體陽性的滴度呈相關性。
3.甲狀腺超音波檢查可表現低回聲。持續低回聲可能預示甲狀腺自身免疫破壞過程持續存在。
4.甲狀腺穿刺活檢由於產後甲狀腺炎時甲狀腺僅輕度增大,穿刺操作有困難,一般不作甲狀腺穿刺活檢。必要時做出的結果有利於診斷和鑑別診斷。
鑑別診斷
Graves病產後可加重或復發。突眼、甲狀腺雜音或脛骨前黏液性水腫、甲狀腺攝碘率增高而不同於本病。但可與本病同存,如合併存在,則碘攝取率不能作為鑑別診斷的依據,需測定TSAb,必要時甲狀腺針吸細胞學檢查加以鑑別。治療方案
藥物治療2.甲狀腺激素可改善功能低下症狀及縮小腫大的甲狀腺。短暫性功能減退可套用數月至功能恢復正常並保持穩定後酌情停藥。永久性甲狀腺功能減退需終身替代治療。
3.腎上腺皮質激素對預防再次妊娠復發可能有一定益處。有人主張分娩後即套用腎上腺皮質激素,潑尼松龍20mg/d,2個月後漸減量至停藥。但目前尚無統一認識。
預後及預防
預防措施預防:應避免給有本病病史婦女使用含碘藥物,以避免誘發甲狀腺功能減退症。妊娠婦女產前定期測定TPO-Ab對於預測該病的發生具有重要意義,特別對陽性抗體者應進行產後甲狀腺功能的嚴密隨訪。由於在產後6個月82.2%的本病患者發生激素異常,故有研究者建議,對本病及高危人群應於6個月及以後進行隨訪。
產後甲狀腺炎婦女多能重新恢復正常甲狀腺功能。
流行病學
產後甲狀腺炎是一種破壞性甲狀腺炎,其臨床經過、病理生理及預後與無痛性甲狀腺炎極為相似。通常發生於產後3~12個月內。產後婦女1.7%~16.7%發生本症,取決於研究的人群。較為確切的統計是3.7%~5.9%。在非選擇人群的產後婦女發生率為4.9%。歐洲、亞洲及北美洲發病率為3.9%~8.2%,而泰國及英國不到2%。產後隨訪2~4年(威爾斯)及5~16年(日本)證實發生甲狀腺功能減退症者占23%,甚至達25%。也有報導,碘充足地區,在妊娠或產後期間甲狀腺抗體陽性者,本病發生率為35%,明顯高於總體妊娠婦女的4%~9%。
