簡介
腦膜刺激征是腦膜病變所引起的一系列症狀,包括頸強直、Kernig征、Brudzinski征。
①頸強直是腦膜刺激征中重要的客觀體徵。其主要表現為不同程度的肌強直,尤其是伸肌。頭前屈明顯受限,即被動屈頸遇到阻力,頭側彎也受到一定的限制,頭鏇轉運動受限較輕,頭後仰無強直表現。見於各種類型腦膜炎、蛛網膜下腔出血、顱內壓增高、頸椎疾病等。
②Kernig征又稱屈腿伸膝試驗。患者仰臥位使膝關節屈曲成直角,然後被動使屈曲的小腿伸直,當膝關節不能伸直、出現阻力及疼痛而膝關節形成的角度不到135°時為K征陽性。Kernig征陽性除提示有腦膜刺激征之外,尚提示後根有刺激現象。腰骶神經根病變其疼痛僅限於腰部及患肢,而腦膜刺激征時Kernig征為雙側性,且同等強度疼痛位於胸背部而不局限於腰部及患肢。
③Brudzinski征。患者仰位平臥前屈其頸時發生雙側髖膝部屈曲,壓迫其雙側面頰部引起雙上臂外展和肘部屈曲,叩擊其恥骨連合時出現雙下肢屈曲和內收均為Brudzinski征陽性。
病因
一感染性腦膜炎
常見於細菌病毒螺鏇體真菌和寄生蟲等所致軟腦(脊)膜炎症
腦膜刺激征1細菌性腦膜炎①化膿性腦膜炎:如腦膜炎雙球菌、肺炎雙球菌鏈球菌、葡萄球菌、大腸桿菌、綠膿桿菌、變形桿菌、淋球菌產氣桿菌、肺炎桿菌等;②非化膿性細菌性腦膜炎:如結核桿菌、布氏桿菌等
2病毒性腦膜炎 如腸道病毒、痢疾病毒、蟲媒病毒、流行性腮腺炎病毒
3其他生物感染性腦膜炎 如隱球菌、鉤端螺鏇體、立克次體、弓形蟲病、阿米巴囊蟲病、血吸蟲等
二非感染性腦蛛網膜炎
1外傷 腦外傷可引起硬軟腦膜炎及蛛網膜發生炎症反應
布魯金斯基2血性腦脊液 蛛網膜下腔出血或腰穿誤傷血管所致血性腦酮等
3癌性腦膜炎 如癌症的腦膜轉移白血病淋巴瘤的腦膜浸潤
4反應性腦膜炎 繼發於全身感染中毒以及耳鼻等感染等
5腦室或鞘內注射藥物或造影劑 無論是水溶性或非水溶性作為化學因素動物試驗證實均致腦膜炎反應
臨床表現
1.頭痛常劇烈,是最常見的症狀,病程早期即可出現。一般為瀰漫性,有時有枕部和額部特別顯著。嘔吐則多為噴射性。
2.頸肌強直:頸部肌肉強硬對被動運動有抵抗,如被動屈頸則有肌痙攣及疼痛。
3.克氏征:下肢髖、膝關節屈曲成直角,然後使小腿伸直,正常可伸直達135°以上,如遇抵抗,小於135°並覺疼時為陽性。
4.布氏征:患者仰臥,被動向前屈頸時,兩下肢自動屈曲為陽性,為小腦腦膜刺激征。
另外,還有皮膚感覺過敏,對聽覺和視覺刺激過敏等。
診斷
病史
引起腦膜刺激征的原因較多。對於腦膜刺激征患者,詳細而可靠的病史和細緻的體格檢查非常重要。多數患者能夠通過臨床醫師的病史和體格檢查而明確病因診斷。詢問病史時,應注意發病急緩、發病時間、伴隨症狀(如頭痛、嘔吐、發熱、盜汗、食慾缺乏、煩躁不安、體重下降等),既往有無高血壓、糖尿病、心臟病、腦血管畸形、感染、頭痛、癲癇、外傷、肺炎、咽痛、腹瀉、結核、皰疹、流行性腮腺炎、隱球菌感染、鉤端螺鏇體、立克次體、弓形蟲病、阿米巴、囊蟲病、血吸蟲、癌症的轉移、白血病、淋巴瘤、全身感染中毒,以及耳鼻等感染灶,及腦室或鞘內注射藥物或造影劑。
體格檢查
對於腦膜刺激征患者,應重點地進行檢查。其內容包括:①體溫脈搏血壓呼吸;②有無外傷;③皮膚有無發紺、出血及出汗情況;④眼底有無視乳頭水腫出血和滲出;⑤有無昏迷抽搐呼吸異常瞳孔改變等;⑥嬰幼兒期,注意呼吸系統或消化系統症狀(如嘔吐、腹瀉、咳嗽、發燒、皮疹、嗜睡、煩躁、感覺過敏、眼神發獃等),前囪尚未閉合骨縫可以裂開使顱壓高症狀及腦膜刺激征出現較晚或不明顯;⑦有無腦神經麻痹等。
實驗室檢查
1、血象 化膿性腦膜炎時,白細胞總數及中性粒細胞明顯增加;
2、腦脊液 應測定壓力,做常規生化、細胞學、免疫球蛋白及酶學檢查,必要時做結核特異性抗體和(或)血和腦脊液細菌培養、囊蟲試驗等對腦膜炎、蛛網膜下腔出血有診斷意義的檢查。
輔助檢查
腦膜刺激征1、腦電圖 對於腦炎有診斷意義;
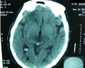
2、顱腦CT檢查 對於有神經系統體徵或併發症可能時,能見到蛛網膜下腔出血,腦室擴大,腦腫脹,硬膜下腔積液,腦膿腫,硬膜外膿腫等表現室管膜炎時腦室周圍低密度異常;
3、顱腦MRI 能顯示早期腦膜炎腦脊液信號改變、蛛網膜下腔擴張、瀰漫性腦水腫皮層下梗死及出血或硬膜下積液等。
鑑別診斷
細菌感染
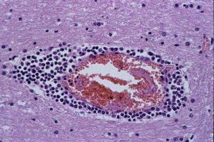
(一)腦膜炎雙球菌性腦膜炎(meningococcal meningitis)冬春季節流行,起病急,病情險惡,腦膜刺激征表現顯著:劇烈頭痛、嘔吐(呈噴射狀)頸強並伴頸枕部、脊柱疼痛,克氏征、布氏征均強陽性,視聽感覺過敏。但在流行期間可有“鈍挫型”,腦膜刺激征不明顯,略有低熱,乏力、腰痛等。腦脊液大多呈膿樣混濁,細胞數可極高(在1.0×109/L以上),分類以中性分葉核占優,蛋白增加,糖及氯化物明顯減少。皮膚出血點和腦脊液可查到腦膜炎雙球菌。
(二)結核性腦膜炎(tuberoublormeningitis)多見於兒童,發病多漸起,亦可相當急聚,臨床症狀除發熱、畏寒、頭痛等一般中毒症狀,各項體徵以頸肌強硬出現最早,有早期診斷意義。此時腦脊液已有改變:壓力大多升高,澄清,無色,或微混濁,呈毛玻璃樣,靜置後往往有薄膜形成。細胞增多一般在0.05~0.5×109/L個,分類以淋巴細胞占優,糖及氯化物減少。(分別低於1.96mmol/L和119mmd/L)腦脊液中查到結核菌可確診。也可用PCR-DNA-Tb檢查確診。
(三)綠膿桿菌性腦膜炎(pryocyanic meningitis)臨床少見。除表現急性化膿性腦膜炎病象與病程進展較緩外,最特徵性的改變是腦脊液呈黃綠色,其顏色的深淺往往與症狀的輕重、細胞數的多少呈正比。腦脊液培養可獲致病菌。
(四)肺炎球菌性腦膜炎(pneumococcal meningitis)常繼發於肺炎、中耳炎等疾病,冬春季多發,多見於2歲以內及老年人,臨床有意識障礙、顱神經損害、顱內高壓及腦膜刺激征。可並發腦積水、腦膿腫、偏癱失語等。周圍血白細胞總數明顯增高,中性粒細胞大多在95%以上。腦脊液呈膿性,細胞數及蛋白質含量增加,糖及氯化物減少。晚期病人可因椎管阻塞而有蛋白細胞分離現象。
(五)流感桿菌腦膜炎(influenal meningitis) 絕大多數由b組流感桿菌引起,6個月~3歲多見,秋季好發,有上呼吸道感染或支氣管肺炎前驅病史。起病較其它化膿性腦膜炎略緩,初期仍可有呼吸道症狀,嬰兒可見囪門突出,皮膚黏膜瘀點少見,診斷的主要依據為塗片和培養陽性。
(六)布魯氏菌腦膜炎(brucellar meningitis)可出現發熱和頭痛、嘔吐、陽性克氏征等腦膜刺激征,以及多數顱神經(Ⅱ、Ⅴ、Ⅵ、Ⅶ等)受損症狀。腦脊液壓力增高。外觀澄清或輕度混濁,偶可呈膿樣混濁。細胞數增多,分類絕大多數為單核細胞。蛋白量增高,可在1.0/L以上,糖量減少,氯化物正常或稍低。腦脊液凝集反應和補體結合試驗多陽性,培養或動物結種可見布氏桿菌。
(七)炭疽桿菌性腦膜炎(anthrax bacillus meningitis)可引起腦膜刺激征及腦膜出血性炎症。腦脊液呈血性,壓力增高,蛋白量與細胞數顯著增多,糖顯著減少,塗片與培養均可發現大量革蘭氏陽性大桿菌,兩端呈方形,互相連線成鏈狀。
(八)其它細菌所致腦膜炎在腸桿菌腦膜多見於羊膜早破、產傷和早產新生兒。一般於產後1~2周內發病。臨床表現有拒食、嗜唾、煩躁驚叫、兩眼凝視、驚厥、呼吸困難等。金黃葡萄球菌性腦膜炎常伴有皮膚化膿性感染。部分病例疾病早期可有猩紅熱或蕁麻疹樣皮疹。
病毒感染
(一)流行性乙型腦炎(encephalitis B 乙腦) 為乙腦病毒引起,多在7~9月急驟起病。高熱、驚厥或昏迷,70~80%可出現腦膜刺激征,同時肌張力增高、腱反射活躍及病理反射陽性等。腦脊液呈無菌性槳液性滲出液:無色透明或微混,壓力正常或梢高,白細胞增加,大多在0.05~0.5×109/L之間,偶爾可達1×109/L個以上,分類以淋巴細胞為主,糖正常或偏高,蛋白質輕度增加,氯化物正常,乙腦單克隆抗體被動血凝抑制試驗(RPHI)可確診,陽性率達85%。
(二)淋巴細胞脈絡叢腦膜炎(lymphocytic chorimeningitis)有鼠類接觸史,冬春季多見,散發。臨床典型病例為雙峰熱。第一個熱峰伴有頭痛與急性上呼吸道症狀,持續數天至數十天不等,多數經1~2天或較長時間的緩解期,然後出現第二個熱峰,並出現腦膜刺激征。腦脊液變化:壓力正常或輕度升高,外觀正常,少數稍微混濁,細胞數通常在0.1~1.5×109/L之間,淋巴細胞達80~100%,蛋白含量增多,糖及氯化物正常,少數病例的腦脊液靜置後的薄膜形成,急性期病毒分離可獲得陽性結果。
(三)腮腺炎病毒性腦膜炎(mumps meningitis)一般發生於腮腺受侵害之後。男性兒童多見。主要表現為發熱、食欲不振、噁心嘔吐、顯著的頭痛、嗜睡或半昏迷狀態,病情嚴重時可出現木僵及全身抽搐,腦膜刺激征非常明顯,同時有瞳孔散大。兩側常不對稱。還常有恐怖及過敏現象。腦脊液有壓力升高,無色透明,細胞數增多達幾百幾千,淋巴細胞占絕對優勢,蛋白輕度增加。90%患者血、尿澱粉酶升高,補體結合試驗、血凝抑制試驗的診斷意義。
(四)風疹性腦膜腦炎(rubella meningocephalitis) 由風疹病毒引起,一般在出疹後1~7天發生。發病急聚或漸進,常有發熱、頭痛、喉痛、噁心、嘔吐、嗜睡、腦膜激征。嚴重時可出現抽搐、昏迷、甚至發生肢全癱瘓症狀。腦脊液白細胞數增高,在早期中性白細胞偏高,後期淋巴細胞占優勢。蛋白正常或輕度升高,糖量正常。病毒分離和凝抑制、中和試驗、補體結合試驗等可獲陽性結果。
(五)單純皰疹腦炎(herpes simplex encephalitis)是非流行性腦炎中最常見的類型。多侵犯兒童及青年,病情較嚴重。發病前先在口唇、頰部黏膜以及外生殖器出現水皰,一般經6~10天左右出現腦炎症狀:頭痛、嘔吐、高熱、精神異常,並有明顯的腦膜刺激症狀,全身抽搐發生,常伴有局部灶症狀;偏癱、失語、及顱神經損害、癲癇發作,兩側瞳孔不等大,有時出現腦性癱瘓。腦脊液壓力升高,細胞增多達0.1~0.5×109/L。分類以淋巴細胞占優勢。可以出現大量紅細胞,通常在0.5×109個以內。晚期可有黃變。腦脊液中單純皰疹病毒抗體陽性或PCR-DNA-HSV陽性可確診。
(六)帶狀皰疹性腦炎(zaster encephalitis)多見於中老年。感染水痘—帶狀皰疹病毒後,發疹前常有不適,3~4天后出現皰疹,在頭面部軀幹及四肢不同部位,沿一條或數條神經根呈帶狀分布,呈灼痛或放射痛。6%伴發腦炎,病變呈彌散性,一般表現為頭痛、嘔吐、發熱、精神異常、意識障礙。有的出現一側肢體癱瘓,顱神經麻痹等症狀。並可出現明顯的腦膜刺激症狀。腦脊液外觀正常。淋巴細胞明顯增多,蛋白輕度升高。腦脊液中水痘—帶狀皰疹病毒抗體陽性,補體結合試驗陽性可確診。
(七)水痘懷腦脊髓炎(varicella cerebrospinal meningitis)常見於小兒,多發於冬春季。起病前有輕度的頭痛、噁心、四肢痛、發熱、鼻衄,發熱後24小時內出疹,初為斑疹,數小時後以丘疹轉為皰疹。3天至兩周內發生腦脊髓炎:出現嘔吐、驚厥、木僵及譫妄等。有明顯的腦膜刺激症狀,經過幾小時或幾一天,患者意識可恢復,此時可出現大腦、小腦及脊髓損害症狀。腦脊液無色透明,壓力可輕度升高,淋巴細胞可輕度增加,蛋白可增高。
(八)森林腦炎(forest spring encephalitis)為森林地區所特有的急性傳染病。患者多在壁虱叮咬史,通常突然發病。呈高熱、頭痛、噁心、嘔吐、意識不清或昏迷,並迅速出現腦膜刺激征。弛緩性癱瘓是本病主要特徵之一,對診斷有意義。腦脊液壓力正常或稍高,無色透明,蛋白量輕度增加,糖及氯化物正常,細胞數多在0.05~0.2×109/L之間,分類以淋巴細胞占優,血清學檢查可與“脊灰”、“乙腦”相鑑別。
(九)傳染性單核細胞增多症(infections mononucleosis syndrom)可能為一種病毒所引起。其臨床牲為不規則的發熱,因喉炎,淋巴結腫大、脾腫大、血中淋巴細胞增多和異常、以及血清中有嗜異性凝集素。本病過程中可出現腦膜病炎及腦脊髓炎。前者可有眩暈、復視、腦膜刺激征陽性、嗜睡、精神錯亂、最後可呈昏迷狀態,有去大腦強直征,雙側巴氏征陽性。腦脊液壓力增高,白細胞增多,淋巴細胞占多數,蛋白中度增高。血清嗜異體凝集反應經豚鼠腎吸附後,滴定效價在1:64以上可診斷。
(十)Mollaret氏腦膜炎(Mollare's meningitis)是一種復發性無菌性腦膜炎,病因未明,可能是病毒感染。臨床表現為輕症腦膜炎,有復發的傾向。化驗檢查特點是發作期間,腦脊液可出現大量的分葉核粒細胞與單核細胞,以及巨大的易脆的“內皮細胞”。腦脊液呈中度葡萄糖含量減少與輕度丙球蛋白增加。每次發作2~3天可緩解。緩解期病者健康恢復,但血中白細胞減少與輕度嗜酸細胞增多的傾向,血清中有中度IgM升高。
(十一)散發性腦炎(sporamdic encephalitis)實際包括病毒性腦炎和病毒感染所致的急性脫髓鞘性腦病兩大類,多數呈急性或亞急性起病,半數患者病前1~4周有上呼吸道或胃腸道病毒感染的症狀和體徵,主要為腦實質廣泛受損的表現,幾乎所有腦損害的神經精神症狀均可為本病臨床表現。按其主要特徵,臨床可分為昏迷型、腦瘤型、癲癇型和精神異常型四種類型。常有不同程度植物神經損害症狀,表現為大汗淋漓或中樞性發熱等。少數病人可出現布氏征、克氏征陽性等腦膜刺激征。實驗室檢查可郵周圍血白細胞增高,以中性粒細胞增高為主,部分病例腦脊壓力增高,細胞數在0.1~109/L左右,以淋巴細胞為主,多數蛋白和免疫球蛋白IgG輕度增高,糖及氯化物正常。腦電圖80-90%病人有瀰漫異常,或在瀰漫改變基礎上出現顳額葉局灶性改變。頭顱CT可見兩側大腦半球散在界線不清的低密度區,造影劑不能增強。頭顱MRI檢查兩側大腦半球散在高信號區,與腦室不相連。
(十二)愛滋病(acquired immunodficiency syndrome,AIDS) 40%~50%成人及70%~80%兒童有神經系統功能障礙,其病原為人類免疫缺陷病毒(HIV)直接感染神經系統,引起原發性急性腦膜炎和慢性腦膜炎。前者表現為急性精神症狀、意識障礙腦膜刺激征,常合併癲癇大發作,急性症狀可在幾周內消失。後者主要表現為慢性頭痛和腦膜刺激征,可累及Ⅴ、Ⅶ、Ⅷ對腦神經。繼發於免疫抑制的神經系統損害有中樞神經系統病毒、細菌、真菌感染,腦弓形體病和中樞神經系統淋巴瘤。此外亦可見腦出血、蛛網膜下腔出血等併發症。分別出現腦膜刺激征及其它相應臨床表現。免疫學檢查可見血淋巴細胞減少,體內試驗遲發變態反應減弱或消失,體外試驗細胞毒反應下降或消失,母細胞轉化反應下降或消失,血清免疫球蛋白IgG、IgM、IgA常增加,B2微球蛋白增加,血清學試驗HIV抗體檢測可陽性,腦脊液多呈炎症改變,腦電圖檢查可見瀰漫性異常。
螺鏇體和立克次體感染
(一)鉤端螺鏇體性腦膜炎(leptospiral meningitis)有近期疫水接觸史,急性期除發熱、寒戰、無力、顏面及結合膜充血、腓腸肌壓痛等全身症狀外,常有劇烈頭痛、嘔吐、煩躁、感受過敏等。重者可有神志不清、譫妄、抽搐、肢體癱瘓、顱壓增高等腦炎症狀。病後數日即可出現腦膜刺激征。腦脊液隨病程發展可有壓力升高。以單核細胞為主的細胞增多。蛋白質輕度增高。糖和氯化物正常,80%病人周圍血象中性粒細胞增多。血清及腦脊液鉤端螺鏇體補體結合試驗及顯凝試驗陽性,急性期腦脊液可分離出病原體。
(二)腦膜血管型梅素(meningovascular syphilis)大多數起病隱襲,病程可急可緩,以腦底部慢性腦膜炎主,常見症狀有頭痛、智慧型障礙、顱神經麻痹、部分性癲癇、影響腦脊液循環可致顱內壓增高、腦積水。
以腦動脈炎為主時,可表現為缺血性腦中風。累及丘腦下部可見多尿、嗜睡、肥胖等內分泌代謝紊亂表現。病程中可出現腦膜刺激征。腦脊液常見以經淋巴細胞為主的白細胞增高,糖定量正常,蛋白總量和r球蛋白增高。血清檢查除華氏反應和康氏反應陽性外,螢光梅毒螺鏇體抗體吸附試驗(FTA-ABS)陽性,且特異性強,是目前最常用方法之一。
(三)回歸熱螺鏇體性腦膜炎(spirochaeta recurrentic meningitis)臨床上以周期性發熱、劇烈頭痛、嚴重全身肌肉關節和筋骨疼痛、肝脾腫大、黃疸、出血傾向為特點。嚴重患者可有昏迷、譫妄、抽搐及腦膜刺激征。腦脊液壓力可稍高。蛋白及淋巴細胞略增多,有的可為血性腦脊液。在腦脊液中發現螺鏇體可確診。
(四)萊姆病是由伯格多弗疏螺鏇體經脾傳播的全身感染性疾病。11~14%患者有神經系統損害,淋巴細胞性腦膜炎及腦膜腦炎最為常見,主要症狀是頭痛,劇烈時伴噁心、嘔吐、畏光及眼球活動時痛,體溫不高。體徵有頸強直,但克氏征及布氏征均陰性。腦脊液檢查淋巴細胞明顯增多,蛋白升高,腦壓及糖正常,萊姆病抗體陽性。腦脊液病原體分離可達10%。
(五)流行性斑疹傷寒性腦膜腦炎(epidemie typhic meningocephalitis)本症在由虱傳播的普氏立克次體所致的急性傳染病侵犯中樞神經系統時出現。患者起病即可為譫妄狀態,嚴重病例發熱期或恢復期可出現木僵及昏迷,腦膜刺激征甚為明顯,顱內壓可增高但腦脊液一般無異常。部分病例的單核細胞及蛋白稍有增高。其他尚可並發各種神經系統損害蝗局灶症狀:偏癱、失語、失明、截癱、神經炎以及精神症狀。本病的病理改變是損害血管的內皮細胞。多次測定外裴氏反應,如陽性反應即可診斷。
真菌感染
(一)新型隱球菌性腦膜炎(crypeococcus meningitis) 本症常是隱球全身感染的一部分,在腦內形成灰色肉芽腫結節,造成瀰漫性腦膜炎。故臨床表現以發熱、頭痛、噁心嘔吐為主,伴有精神異常和腦膜刺激征,亦可伴有失語、偏癱、共濟失調等局灶性症狀。可有顱內壓增高、視乳頭水腫、腱反射亢進、病理反射等。病程進展緩慢,類似結核性腦膜炎。腦脊液示:壓力升高,外觀正常,蛋白增高,細胞數從正常到0.3~0.5×109/L不等主要的淋巴細胞。糖明顯不降可到零,氯化物減低,能查到高濃度的乙醇。用濾膜法檢查腦脊液,用MGG染色鏡檢,隱球菌檢出陽性率達84~100%。
(二)白色念球菌性腦膜炎及奴卡氏菌性腦膜炎(candida albicans meningitis andnocardial meningitis)這兩種腦膜炎均由相應的真菌引起。臨床症狀及腦脊液改變均相似於新型隱球菌性腦膜炎,亦均具有腦膜刺激症狀。鑑別主要依賴於腦脊液真菌培養。
(三)放線菌性腦膜腦炎(actinomy cotic meningocepholitis)在全身放線菌病侵犯中樞神經系統時發生。可造成化膿發表離膜炎、腦膿腫,引起明顯的頭痛及腦膜刺激症狀。這些症狀可持續幾周。甚至幾個月,逐漸加重。最後呈木僵或昏迷狀態。腦脊液壓力可增高。白細胞增多達幾百甚至上千個,70%~80%為中性白細胞。腦脊液中發現真菌可確診。
(四)曲菌病性腦膜炎(aspergillus meningitis)本症在曲菌病侵犯中樞神經系統時發生。曲菌病是由曲菌屬中的致病菌所引起的一種炎症性肉芽腫損害,可致皮膚、眼、支氣管、肺、骨多處損害,在侵犯腦及腦膜時,引起腦膜炎、腦膿腫、腦實質及蛛網下腔出血。臨床表現無特異性,多和結腦、腦膿腫、腦瘤症關相似。可以出現腦膜刺激征了性及巴彬斯基氏征陽性,還可有腦局灶性顱神經損害征。腦脊液壓力增高,無色透明,細胞數增多達0.1~0.5×109/L個左右,中性白細胞為主,蛋白定量增加。腦脊液中查到園形小孢子及分節的菌絲可確診。
腦部寄生蟲病
(一)腦型瘧疾(cerebral malaria)在惡性瘧疾中的發生率約為20%左右、兒童與新進入流行區的非瘧區人群易感。譫妄與昏迷為主要的腦部症狀。患者起病時有劇烈的頭痛、抽搐、呃逆等。少數患者可有煩躁不安、躁狂等精神症狀。腦膜刺激症狀、癱瘓、失語、錐體束征陽性較為多見。多數患者伴高熱或體溫過低。腦脊液壓力可升高,但細胞數及生化成分多無異常。周圍血液中白細胞數多數減少,塗片易找到瘧原蟲。
腦膜刺激征(二)腦型血吸蟲病(cerebral bilharziaisis)本病在日本血吸蟲感染侵及中樞神經系統時出現。有疫水接觸史,潛伏期多在感染後六個月左右。主要臨床表現為瀰漫性腦炎症:昏睡或昏迷、定向力障礙、大小便失禁、癱瘓、痙攣、錐體束征及腦膜刺激症狀。此外,還有發熱及嗜酸性細胞增高等全身症狀。有些患者可有聽幻覺、牽連觀念、妄想、自知力與判斷力缺乏等精神症狀。因此,凡具有急性腦炎症狀或急性精神症狀的患者,如合併早期血吸蟲病感染,經銻劑治癒者即可確定診斷。CT掃披荊斬棘及MRI用於確定病變的定位,並觀察及動態變化。血吸蟲檢查包括糞便沉澱、孵化及血清環卵沉澱反應、凍乾血球間接血凝試驗、酶聯免疫吸附試驗、聚乙二醇沉澱試驗、單克隆抗試驗和抗體原皮內試驗。腦脊液酶聯免疫吸附試驗可鑑別其它原因的脊髓炎。
(三)肺吸蟲腦病(cerebral paragonimiasis)腦膜炎型多見於病程早期。表現為劇烈頭痛、嘔吐、發熱、意識障礙、顱壓增高以及腦膜刺激症狀。患者有疫區生活史,遊走性皮下包塊或肺部症狀,腦脊液壓力增高,有大量嗜酸性細胞,蛋白也可增加。血和腦脊液免疫試驗陽性。抗肺吸蟲試驗治療有顯效。
(四)腦囊蟲病(cerebral cysticercasis)臨床症狀因囊尾蚴寄生部位不同而各異。可發生癲癇發作、顱內壓增高、運動及感覺障礙、小腦共濟失調和精神症狀等。囊尾蚴寄生於腦底部時,可引起慢性腦膜炎的變化,皮下及肌肉內可有囊尾蚴結節,腦脊液壓力,細胞數、糖及蛋白可增高,嗜酸粒細胞增加,血或腦脊液免疫學檢查(IHA、ELISA等)可獲陽性結果,CT、MRI可有腦囊蟲圖象改變。
(五)絲蟲病(filariasis)腦部受侵犯可出現腦梗塞、腦膜腦炎綜合徵、並有腦膜刺激症狀。病人有疫區居住史和全身性絲蟲病臨床表現,血液中嗜酸性粒細胞增高,抗原皮內試驗及補體結合試驗有助診斷。皮膚、血液、腦脊液中可檢出成蟲或微絲蚴。
(六)阿米巴腦病(amebic encephalopathy)阿米巴滋養體可經血行人腦,在實質內形成多發性小化膿灶或腦膿腫,並可有出血及軟化,表現為顱內占位性病變或腦膜炎病變頊出現腦膜刺激症狀,臨床有其它臟器阿米巴感染表現,腦脊液中可找到原蟲。
原發性阿米巴腦膜腦炎表現為急起頭痛、發熱、鼻炎、顳葉症狀及意識障礙,有腦膜刺激症,腦脊液呈膿性或血性,常可找到原蟲,接種培養可獲得陽性結果。
(七)蛔蟲性腦病(ascaris encephalopathy)蛔蚴可移行至腦造成中樞神經系統損害,亦可由蛔蟲所分泌的毒素作用於腦造成損害,出現頭痛、頭暈、失眠、煩躁、癲癇發作,以及腦膜刺激征。患者有多排、吐蛔蟲史,糞便鏡檢有蛔蟲卵,血嗜酸白細胞增多。
非感染性疾病
(一)蛛網膜下腔出血(subrachnoid hemorrhage)多由動脈瘤、血管畸形、高血壓動脈硬化等血管病變引起,亦可由白血病、紫癜、肝臟疾患等引起。血管破裂後血液流入蛛網膜下腔,使大腦皮質水腫,發生斑塊缺血損害,亦可產生血管痙攣,加重腦缺血和水腫。臨床表現一般起病倉促,開始劇烈頭痛,迅即陷入昏迷,或僅見頭痛與精神呆滯,不見深度昏迷。其它尚可有高熱、寒顫、嘔吐、血壓不穩等症狀。60%以上患者有腦膜刺激征。少數病例在最初幾小時甚或24小時內,雖有嚴重出血,但可不見疼痛性攣縮,克氏征不明顯。起病後數小時或數日腰穿可獲血性或淡血性腦脊液,放置後不見凝固,標本放置稍久紅細胞沉降,浮液呀色清透明,或微帶黃色,蛋白定量增高。
(二)腦腫瘤(cerebroma)一般引起顱內壓增高和局灶損害症狀。某些腫瘤如鞍區腫瘤、腦膜轉移瘤、顱後凹腫瘤可出現腦膜刺激征,類似腦膜炎症狀可不明顯。
腦脊液可能查見瘤細胞或呈血性,但腦膜轉移瘤也可表現為腦脊液的細胞數增高和蛋白增高。腦脊液的細菌增養和細胞學檢查有助於診斷。
(三)風濕性腦膜腦炎(rheumatic meningocepholitis)本症常在風濕性心臟病的基礎上逐漸發生,出現頭痛、嗜睡、倦怠、譫妄,常有體濕升高和明顯的腦膜刺激症狀。腦脊液細胞及蛋白均可增高。病理檢查可見滲出性及增生性病變,伴有腦膜和腦實質出血現象。另外,風濕性腦出血和其他原因的腦出血一樣,可以出現意識障礙、偏癱、血性腦脊液及腦膜刺激征。
(四)嗜酸性細胞增多性腦膜炎(eocinophilic meningitis)多系寄生蟲如(豬囊蟲、蛔蟲等)感染直接侵犯中樞神經系統或引起過敏反應所致。病程中可出現腦膜刺激征。腦脊液白細胞增多,嗜酸性粒細胞為主。
(五)腦膜炎型白血病(meningitic leukemia)本型是由於白血病細胞浸潤蛛網膜所致,也可出血。常見於小兒急性淋巴細胞型白血病緩解期。臨床特點是顱內壓增高和腦膜刺激征、顱神經損害、截癱、偏癱、抽搐也可出現。腦脊檢查示壓力增高,蛋白質含量增多,細胞數增多,糖量減少,或為血性,而細菌培養陰性,可與白血病並發細胞性腦膜炎相區別。
(六)腦膜腦型炎型白塞氏病(meningocephalitic Behcet'diease)在白塞氏病時可以出現頭痛,反覆發作的截癱與全癱為其特點,在病程中可出現腦膜刺激症狀,頗似多發性腦脊髓硬化症。
(七)中暑(heliosis)中暑時可以因腦血管舒縮障礙刺激腦膜,發生腦膜刺激症狀和頭痛、嘔吐、煩躁、意識障礙、昏迷,以及出現理征。腦脊液檢查除壓力上升外,可以不見蛋白與細胞反應,倘病程持續較久,可見多核細胞及單核細胞有輕度增加,但糖及氯化物不見變化。
(八)尿毒症(uremia)在尿毒症時可以出現頭痛(與尿毒症所並發的主血壓無關)和腦膜刺激征。腦脊液壓力可升高,有時可呈淡黃色,淋巴細胞增多,蛋白輕度增加,這可能與腎功能衰竭存在的出血素質有關。
(九)糖尿病與酮血症(diabetes and ketonemia)兒童及青年酮血症或急性糖尿病昏迷,可以出現嚴重的腦膜刺激征:頸強直、陽性克氏征都很明顯,可伴有體溫升高,腦脊液中有單核細胞反應,蛋白定量輕度增加。此需與結核性腦膜炎相鑑別。
(十)肝病(hepatopathy)在嚴重的急性黃疸性肝炎、肝硬變晚期有重度肝功能不良以及肝性昏迷時,臨床上可見腦膜刺激征。此可能和肝病代謝障礙所產生的多肽類有毒物質進入腦脊液有關,亦可和肝昏迷時所致腦水腫有關。臨床表現為:頸強直,兩腿經常屈曲、克氏征陽性等。還可有譫妄、肢體震顫、腱反向亢進、感覺異常等症狀。腦脊液常規及生化檢查無異常,但多肽類含量增加。
(十一)鉛中毒性腦病(ledd encephalopdtyy)鉛中毒時中樞神經系統病理變化類型不一,機理也不完全相同。所致高血壓或動脈病變之引起的腦軟化,可以並發腦膜反應,也有腦實質不見病理改變,單獨出現腦膜病理反應。鉛中毒腦膜刺激征有時很劇烈,表現劇烈頭痛、噁心、嘔吐、頸強直,以及癲癇發作、譫妄、木僵與昏迷等。鉛中毒的腹痛有時已趨緩解,而腦膜刺激症狀反可出現。
腦脊液示壓力增高,蛋白明顯增高,蛋白定量多在0.4~1.0/L,細胞數增高,分類以淋巴細胞為主,糖及氯化物無顯著變化。
(十二)其他疾病某些過敏性疾病可以出現腦膜刺激征,腦脊液可有輕度淋巴細胞反應,蛋白定量正常。
大腦皮質軟化可以並發腦膜刺激症狀。腦膜刺激症狀明顯,腦脊液多核細胞反應突出。異物刺激,如氣腦造影的氣體注射,碘油造影的碘劑注射等都可引起腦膜刺激,臨床表現頭痛、頸強直、陽性克氏征等。腦脊液示細胞增高0.01~1×109/L個不等,蛋白1.0mmol/L以上,一般可在數日內恢復。

