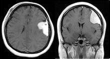
腦膜尾征腦膜瘤附著處的腦膜受腫瘤細胞浸潤,當MRI增強掃描時常有顯著增強,且強化程度超過腫瘤本身的強化程度;在相同部位至少一個掃描層面上出現,並表現為腫瘤鄰近腦膜增粗,遠端變細,稱腦膜尾征(dural tail sign)

腦膜瘤附著處的腦膜受腫瘤細胞侵潤,當MRI增強掃描時常有顯著增強,且強化程度超過腫瘤本身的強化程度;在相同部位至少一個掃描層面上出現,並表現為腫瘤鄰近腦膜增粗,遠端變細,稱腦膜尾征(dural tail sign)
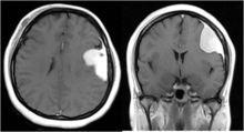
腦膜尾征腦膜瘤附著處的腦膜受腫瘤細胞浸潤,當MRI增強掃描時常有顯著增強,且強化程度超過腫瘤本身的強化程度;在相同部位至少一個掃描層面上出現,並表現為腫瘤鄰近腦膜增粗,遠端變細,稱腦膜尾征(dural tail sign)
