疾病病因
散發性腦炎疾病分類
散發性腦炎肉眼可見腦膜血管明顯擴張充血,蛛網膜下腔腦脊液輕微混濁或呈淡黃色,個別甚至呈膠凍樣,腦組織明顯腫脹,腦回增寬、腦溝變窄。腦皮質改變較著;軟化、壞死、或形成含壞死組織及淡黃色液體的液化腔。軟化壞死區血管減少,易被吸除。腦的切面見白南區呈粉紅色,腦室變窄。腦幹體積可增大,切面見結構模糊不清,若軟化灶形成。鏡下觀察明顯,神經細胞腫脹,尼氏體溶解、消失,核偏位及固縮,染色質甚至整個細胞溶解。腦實質內血管周圍有以淋巴細胞、單核細胞為主的圍管性浸潤(血管袖套),散在性膠質增生。一般腦白質病變較灰質為輕,可見結構疏鬆,散在性軟化和出血灶,小膠質細胞輕度增生,鄰近出血灶的血管常有纖維素性壞死及血管內血栓形成。
2、變態反應性脫髓鞘性腦病改變
腦組織明顯水腫,腦表面血管擴張充血,腦的切面可見白質內有灰白色邊界模糊有軟化灶,脊髓也可見類似病變。但蛛網膜下腔的腦脊液無明顯異常。鏡下觀察可見大腦白南小血管(主要是小靜脈)內皮細胞腫脹,管壁增厚,管壁內單個核細胞浸潤,腔內可有血栓形成。小血管周圍有大淋巴細胞、單核細胞、漿細胞,有時還可有嗜酸性粒細胞的浸潤,形成血管袖套。以小血管為中心的脫髓鞘性改變可見於大腦各葉及基底節區,白質脫髓鞘區有IgG陽性的星形膠質細胞。神經膠質細胞瀰漫性增生。大腦灰質損害較輕。病毒分離與血清學研究表明,病毒性腦炎的病原包括ECHO病毒,單純皰疹病毒和腺病毒。脫髓鞘性腦病可能是病毒感染損害了患者的免疫機能,從而導致腦的變態反應脫髓鞘改變,與急生播散性腦脊髓炎的發病機理在致相同。
臨床表現
散發性腦炎1、精神障礙型:
以情感障礙(情感不穩、淡漠、抑鬱、欣快、恐懼)、智慧型障礙(理解、記憶、計算、判斷、聯想等能力減退)、思維障礙(緘默、多言、言語零亂及妄想)、行為障礙(動作減少、動作增多、衝動、木僵狀態)等常見。精神障礙多與意識障礙(譫妄、錯亂、意識模糊)並存。根據患者的主要精神症狀可分為類緊張綜合徵、類精神分裂症、類痴呆綜合徵等亞型。在疾病的進展期中,精神障礙的表現常有變化,如從精神運動興奮轉為精神運動抑制。一般在病程中均可檢出神經系統體徵,如偏癱、陽性錐體束征等。實驗室檢查,如腦脊液、腦電圖、誘發電位、頭顱CT及MRI等常有一定改變,可與非器質性的精神病如情感性精神病、精神分裂症等鑑別。
2、昏迷型:
起病後迅速出現嚴重意識障礙,如不同程度的昏迷或特殊的意識障礙。兩側大腦半球損害者,強表現為去皮質狀態和睜眼昏迷;上腦幹受損時出現去大腦強直;基底節受損進可出現震顫、舞蹈樣作等錐體外系不自主運動;錐體束受損時出現偏癱或雙側偏癱。患者可因昏迷而並發肺炎,尿路感染等。昏迷持續時間不等,在意識障礙好轉的過程中可出現精神異常。清醒後可殘留一定的神經精神後遺症。
3、類腦瘤型:
主要表現為頭痛、嘔吐、視乳頭水腫、癱瘓、部分性運動性癲癇發作等,常伴不同程度的意識障礙。這些雖然擬似顱內占位病變的症狀,但起病急,病情迅速加重,從起病至症狀頂點短者僅數小時,多數均在一個月內;顱內壓急劇增高,部分患者可迅速出現顱內壓增高危象;頭顱CT和MRI檢查均可見彌散性腦水腫和腦軟化區等,均有助與腦瘤鑑別,但確診有時需依賴開顱探查或立體定向鑽孔穿刺進行腦組織活檢。
4、癲癇型:
患者病前無癲癇史。常見的發作類型有全身性強直陣攣發作及其連續狀態,部分性運動發作、複合性部分性發作或混合性發作。本型患者起病後均以癲癇發作為主要症狀,有些患者在癲癇發作前可有發熱、頭痛、頭昏、嘔吐、主動活動減少等前驅症狀,隨後出現彌散性異常,腦脊液檢查輕度異常或正常,CT及MRI可見彌散性腦水腫,單個或多個灶性病變等,為症狀性癲癇的診斷提供了依據;散發性腦炎的其它表現有助本病的臨床診斷。
5、局限型:
以偏癱、單癱、交叉性癱、四肢癱、運動性共濟失調、錐體外系不自主運動、顱神經損害為主要臨床表現,表明病變位於大腦的某一局部,或位於小腦或腦幹。根據起病緩急、疾病發展過程、腦脊液檢查、CT或MRI以及對試驗治療的反應與腦血管病、腦瘤、多發性硬化症鑑別。
輔助檢查
散發性腦炎2、部分病人腦脊液壓力增高,細胞數(以淋巴細胞為主),蛋白增加,但糖、氯化物正常。
3、腦電圖呈現瀰漫性θ或δ波,有時可見尖波、棘波或棘-慢複合波。
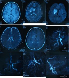
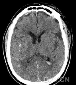
4、顱腦CT可見腦內大小不等、邊界不清的低密度灶。
實驗檢查
散發性腦炎2、腦脊液:①病毒性腦炎樣改變:白細胞數增加,早期為嗜中性粒細胞明顯增高,1~數天后淋巴細胞占優勢,還可見漿細胞和淋巴細胞樣細胞。蛋白質正常或輕度增高。②脫髓鞘性腦病樣改變:白細胞數正常或稍增加,分類可見淋巴細胞百分率升高,還可見大淋巴細胞、淋巴細胞樣細胞,漿細胞及激活型單核細胞,嗜中性粒細胞少見。蛋白質多為正常。以上兩種病變其腦脊液改變是相對的,不能為病毒性腦炎或脫髓鞘性腦病提供確診依據。
3、病原學檢查:腦脊液或腦組織(包括開顱探查或鑽孔穿刺的腦組織活檢和屍檢)病毒培養和分離、血清學檢查等對病毒性腦炎有確診意義,但病毒分離需時較長,對臨床診治幫助往往不大。
4、腦電圖檢查:多數患者均有腦電圖異常,但其改變無特異性。常見的改變為彌散性異常及彌散性異常背景上的局灶性活動。病程中動態性腦電圖觀察有助於判斷病情的發展和預後。一般隨著病情的發展,腦電圖改變也加重;病情改善時,腦電圖也隨之好轉,對於晚語診為精神病的散發性腦炎,腦電圖的改變,有一定的鑑別診斷意義。
5、放射學檢查:常規頭顱放射學檢查對散發性腦炎的診斷無重要價值。頭顱CT有時可見大腦半球多個散在的軟化灶,對排除占位性病變有一定意義。
臨床診斷
散發性腦炎2、急性或亞急性起病,呈瀰漫性腦損害的臨床表現。少數患者也可呈局限性腦損害的症狀和體徵,但或多或少仍有瀰漫性腦損害的背景。
3、腦脊液正常或白細胞、蛋白輕至中度增加。腦脊液白細胞正常時,其白細胞分類往往見免疫活性細胞呈活躍狀態。
4、腦電圖多呈瀰漫性高波幅慢波或瀰漫性腦損害的背景上的局灶性改變。
5、應排除與臨床表現相似的其它疾病,如已知病原的中樞神經系統感染(已型腦炎、單純皰疹病毒腦炎)、腦瘤、腦血管畸形、腦卒中等。
疾病治療
散發性腦炎1、腎上腺皮質激素:
一般用地塞米松10~20mg/d、靜脈滴注,症狀改善後可逐漸減量,7~10次後可改為0.75~1.5g、3/d,口服,或強的松30mg,1/d,口服,皮質激素類藥物不宜過早停用,以減免後遺症。
2、硫唑嘌呤:
成人一般劑量為2.5mg/kg,分三次服用,也可與皮質激素合用。用藥期內應觀察血象,如紅細胞、白細胞、血小板下降至正常水平以下,應及時停用,並予對症處理。
3、干擾素:
一般成人用α-干擾素300~500萬國際單位/d,肌注,可連續用3-4周。副作用如頭痛、口乾、手足麻木或疼痛、粒細胞減少等,常見於兩周之後。如出現嗜睡、癲癇發作,應及時停藥。
4、對症治療:
如用速尿、甘露醇降低顱內壓。用胞二磷膽鹼、維生素B6、維生素E、腦復康、泛酸等改善腦代謝,對有癲癇發作的患者套用抗癲癇藥,對精神運動興奮的患者可合用精神安定性藥物等。
中醫治療
散發性腦炎方藥組成:水牛角、板藍根、二花、連翹各30g,生地、玄參各20g、知母、全蠍、竹瀝膏各10g,天竺黃、膽南星、橘紅、半夏各12g、麥冬15g,生石膏60g,蜈蚣3g,並可服安宮牛黃丸及紫雪丹等。
2、痰氣鬱結型,滌痰湯加減
方藥組成:陳皮、半夏、茯苓、菖蒲、鬱金、遠志、膽南星、天竺黃、川芎各12g,甘草6g,大青葉30g,板藍根30g,麝香(沖)0.1g。
3、痰阻經絡型,滌痰湯合桃紅四物湯加減
方藥組成:陳皮、膽南星、天竺黃、遠志、鬱金、桃仁各12g、菖蒲各10g,甘草6g,當歸、赤芍、地龍各15g,川芎18g,丹參30g。高熱加石膏、知母;便秘加大黃;汗多加龍骨、牡蠣;視力障礙加草決明,青箱子;癲癇反覆發作的加礞石、全蠍、蜈蚣。

