疾病概述
腦炎腦炎病毒屬於蟲媒病毒乙群,為RNA病毒,可在多種細胞中增殖,耐低溫,而對高溫及消毒劑敏感,野生齧齒動物及鳥類是主要傳染源,林區的幼畜及幼獸也可成為傳染源,傳播途徑主要由於硬蜱叮咬。人群普遍易感,但多數為隱性感染,僅約1%出現症狀,病後免疫力持久。本病分布中、蘇、捷克、保加利亞、波蘭、奧地利等國。中國主要見於東北及西北原始森林地區。流行於5-6月份,8月後下降。多散發,林區採伐工人患病比較多。潛伏期7-21日,多數10-12天。
病例病因
腦炎由病毒直接侵犯或由病毒或其他異種蛋白引發的超敏反應所致的大腦急性炎症性疾病。無菌性腦膜炎具有發熱的腦膜炎症,其特徵為腦脊液單核細胞增多症,糖定量正常,蛋白定量輕度增高,塗片及培養檢查未發現細菌,腦脊髓炎腦和脊髓都被累及的炎症性疾病。
腦炎可以是病毒性感染原發的臨床表現,或者是繼發的臨床表現,引起原發的腦炎的病毒有流行性的(蟲媒病毒,脊髓灰質炎病毒,埃可病毒與柯薩奇病毒),或散發性的,通過蚊子傳播的蟲媒病毒性腦((聖路易型腦炎,東方與西方馬腦炎,加利福尼亞腦炎)只在溫暖季節感染人體。
繼發的腦炎通常是病毒感染的一種併發症,是由免疫機制所造成.,舉例來說,在麻疹,水痘,風疹,牛痘接種,天花以及許多其他不太明確的病毒感染後發生的腦炎都是繼發的腦炎。這些圍繞感染或感染後腦炎典型地在病毒感染性疾病發病後5-10天出現症狀,在病理解剖時看到的病理特:是血管周圍的脫髓鞘變化;很少能從腦內分離出病毒,在腮腺炎中,中樞神經系統的病變原發的與感染後的可以兼有.。
臨床表現
腦炎腦炎可以發病於不同性別和年齡,多為急性或亞急性。起病常伴有發熱,頭痛等一般症狀,神經導師系統的表現,根據病因病變分布和嚴重程度而有所不同。專業輕型的病例,可僅有頭痛,頭暈,頸部僵直等,漿液性腦膜炎的症狀,病變嚴重瀰漫時,則可出現意識障礙,譫妄躁動,顱神經麻痹,肢體癱瘓,不自主運動,尿便障礙,驚厥等症狀。病情進一步發展時,患者可陷入深度昏迷,呈去大腦或去皮質狀態,有時病變可局限於腦幹,脊髓等部位引起相應的症狀分別稱為腦幹炎或脊髓炎。
腦炎起病時血中白細胞可增多(以淋巴細胞為主),腦脊髓液檢查可發現晉升顱壓升高和以淋巴細胞為主的。輕至中度白細胞增多,蛋白質也可輕至中度增多,腦脊液的糖量一般正常,這與細菌或真菌感染醫術不同病毒性腦炎和急性播散性腦脊髓炎時,腦脊液常規檢查正常者也不太少見。
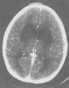
在嚴重的病例腦電圖檢查,可四川發現廣泛高度不正常的高波幅慢波及在此背景上的局灶性,改變相同影像學檢查(電子計算機斷層及磁共振檢查),可顯示腦水腫壞死灶(顳葉及額葉壞死灶見於單純皰疹腦炎)和主要基因位於腦白質的脫髓鞘病灶(急性播散性腦脊髓炎),
病毒性腦炎的病情輕重及預後因病原的不同,現任而異流行性乙型腦炎和單純皰疹性腦炎,神經損害嚴重,病情重,死亡率高,也可遺留嚴重的後遺症(運動障礙智慧型缺損等),腸道病毒等引起的腦炎,則症狀輕,預後好,多可痊癒。急性播散性腦脊髓炎,病情重,若如能度過急性期,則預後較好,可不遺留嚴重的後遺症。
診斷依據
1.血象:白細胞1~2萬,中性增高。
2.腦脊液壓力稍高,細胞計數一般在0.2×109以下,淋巴細胞占多數。糖及氯化物正常。
3.補體結合試驗:雙份血清效價增長4倍以上者或單份血清效價1:16以上可確診。
4.血凝抑制試驗:雙份血清效價增長4倍以上者或單份血清效價1:320以上可確診。
5.病毒分離:病初以血清與腦脊液分離病毒,但陽性率低,死後可取腦組織分離病毒。
疾病治療
腦炎治療(一)一般治療
護理、降溫、止驚以及呼吸衰竭等處理可參照乙腦的治療。
(二)對症治療
1.隆溫使室溫控制在30℃以下,可採用室內放冰塊、電風扇、空調等。物理降溫可用30%酒精擦浴,在腹股溝、腋下、頸部放置冰袋;也可用降溫床或冷褥。消炎痛12.5~25mg,每4~6小時一次。也可用牛黃清心丸、柴胡注射液等中藥。
上述方法效果不顯時,可採用亞冬眠療法,肌肉注射氯丙嗪及異丙嗪各0.5~1mg/kg/次,每4~6小時一次,同時加用物理降溫,使體溫降至38℃左右。
腦炎-治療腦炎的方法
“癱復康八法”以中國傳統的中醫中藥辨證治療為綱要,博採吸納傳統醫學、現代科技、康復醫學精華,把中醫的內治療法和外治療法有機結合起來,經多年潛心鑽研創立而成。該療法融入了具有國際先進水平的現代康復技術,並根據多年的治癱康復經驗,創編了《韓群英偏癱康復操》 ,使藥物治療和功能訓練達到完美統一,多種療法的完美結合,形成了一套系統規範、科學有效的治癱體系。
1.口服藥物、標本兼治--癱速康系列方藥、參蛇癱復康膠囊豫衛藥健字96第0116號
2.內病外治、療效神奇--癱復康臍療袋豫藥器監準字95第(227033)號
3.康復患肢、生活自理--現代康復療法、韓群英偏癱康復操
4.音樂電療、功效可靠--癱復康音樂電子治療儀
5.心理治療、科學引導--心理諮詢療法
6.噴擦患肢、止痛化瘀~癱復康噴霧劑
7.經絡傳導、’透皮治療--癱復康貼
8.真空透磁、科學升華--癱復康透磁拔罐
(三)免疫療法
1.血清療法:起病3天內患者可用恢復期患者或林區居住多年者的血清20-40ml肌注,或椎管內注射5-10ml。
2.高效價免疫丙種球蛋白每日6-9ml肌注,至體溫降至38℃以下停用。
3.干擾素、轉移因子、免疫核糖核酸,核糖核酸酶均可酌情採用。
檢查化驗
1.高燒(>40℃)、頸部僵硬、嚴重頭痛、食欲不振、意識不清、嘔吐、抽搐、倦怠、思睡、對光敏感、小血斑於皮、皮膚疹{由其在腋下、手、腳部位},這些腦膜炎的症狀,和感冒症狀雷同,常是引起誤診的原因。症狀的變化可能會在一至兩天發生,有些在數小時後即危及生命。
2.在嬰兒及新生兒,高燒、頭痛、頸部僵硬並非其典型的症狀,有時反而出現低溫的情形。這群病人出現的症狀有:尖銳且持續的哭聲、不尋常的思睡、食慾很差、非常敏感、有些其囪門有膨脹的情形出現。
3.在老年人,以上的症狀或許會出現,也可能不會,但是會顯示隱伏性的症狀,如意識不清、遲鈍。
4.嚴重的細菌性腦膜炎也會有休克、昏迷或抽搐{類似癲癇}症狀產生。
疾病預防
一預防乙腦,乙腦是蚊蟲傳染的,滅蚊是預防乙腦最根本、最有效的辦法。除了消滅蚊子外,還防止蚊子叮咬,如裝紗門、紗窗。睡覺的時候,可以掛上蚊帳或點上蚊香,另外,在乙腦流行期間,晚上最好不要讓孩子光背在外面睡覺,以減少傳染的機會。
10歲以下兒童應在4-5月份開始接受流行性乙型腦炎疫苗注射。據上海市傳染病院統計,凡注射了疫苗的一般都不發病,即使發病也很輕。所以家長不應忽視按時給孩子注射乙腦預防針。
二做好疫苗預防接種。這是預防與控制乙腦最經濟、有效的措施。中國乙腦病例中10歲以下兒童占80%以上,5歲以下占50%。一般要求1歲接種2次,2歲加種1次,5歲再加種1次,共4次,若有遺漏者應去地區衛生服務中心補種,外來人口中有遺漏接種者也應去補種。
三加強動物傳染源管理,搞好家禽、家畜棚舍的環境衛生。
四搞好預防接種,及時注射乙腦疫苗。注射乙腦疫苗效果明顯,保護率高。流行地區接種對象一般為6個月以上、10歲以下的兒童。乙腦滅活疫苗第一年需注射2次,間隔7-10天,以後每年加強一次;減毒活疫苗不分初免,每年一針至6歲,可獲得持久免疫力。注射劑量為6-12個月嬰兒0.25毫升;1-6歲0.5毫升;7-15歲1毫升;16歲以上每次2毫升。因為疫苗接種後,大約40天左右才產生免疫力,所以一定要提前接種。在乙腦流行季節,用大青葉、板蘭根、銀花各15克水煎服,每日1劑,連服7天,有預防作用。平時要注意增強孩子的體質,提高抗病能力。同時,普及乙腦的防病知識,及時發現病人,早隔離,早診斷,早治療,儘量減少乙腦對人類健康的危害。
乙型腦炎病兒常在數日內病情迅速加重,所以應在醫院治療,並積極配合醫生的檢查和治療,如腰椎穿刺輸液等。不要因疼愛孩子延誤診斷。病兒應隔離在有防蚊設施(沙門、沙宙、蚊帳)、涼爽(室溫低於30℃)、安靜的病室內。發熱時應多補充水分,可給西瓜水,綠豆湯,豆漿,牛奶,米汁,菜湯等清涼流質食物。對高熱多汗病兒應勤擦皮膚。用熱毛巾定期擦摩骨隆起處(如骶、尾部等)皮膚,以防褥瘡發生。

