概述
單純皰疹病毒性腦炎單純皰疹病毒性腦炎又稱急性壞死性腦炎、急性包涵體腦炎。本病呈散發性,見於世界各地,無季節性傾向,任何年齡均可發病,也無性別差異,病情險惡,病死率高,據報導為30%~70%。本病屬於中醫溫病、溫毒、頭痛、癲狂等病證範疇,乃濕熱邪毒外襲,化火入營,上擾清竅,引動肝風所致。 由於中樞神經系統(central nervous system, CNS)不含淋巴組織、巨噬細胞及潛在的免疫活性細胞,故本身的免疫應答能力低下,而外周抗炎細胞和/或抗體不易通過血-腦屏障發揮作用,因此毒力較低的病原體亦可引起CNS的嚴重感染。全球大約有100餘種病毒可引起CNS感染,單純皰疹病毒腦炎(herpes simplex virus encephalitis, HSE)是由單純皰疹病毒(herpes simplex virus, HSV)引起的腦部炎症,是國內外非流行性腦炎中最常見的類型,占已知病毒性腦炎的20%~68%。1941年,首次從HSE患者腦中分離、確定該病原體。HSV最常累及大腦顳葉、額葉及邊緣系統,引起腦組織出血性壞死,故HSE又稱為急性壞死性腦炎或出血性腦炎。
流行病學
HSE呈散發性,見於世界各地,近年來發病
單純皰疹病毒性腦炎病因和發病機制
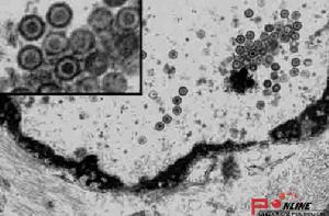
HSE的病原體-HSV是嗜神經的DNA病毒,四周包以立體對稱的蛋白質衣殼,外圍再包以類脂質的囊膜,病毒直徑約150~200mn,在電鏡下呈長方形。HSV分為兩個抗原亞型,即I型和II型,近90%的HSE是由HSV-I型引起,只有6%~15%系由HSV-II型引起。HSV-I經呼吸道或唾液接觸傳染,初次感染通常發生在兒童或青春期,常無臨床症狀或僅表現為口炎、咽喉炎或呼吸道疾病,15歲時人群中大約有50%存在HSV-I的抗體,成人的抗體檢出率高達90%。病毒感染後沿三叉神經各分支經軸索逆行至三叉神經半月節,並在此潛伏,數年後,當各種原因致使機體免疫功能低下時,在非特異性刺激的誘發下,潛伏的病毒被激活,複製增殖,通常表現為口唇皰疹,約70%的HSE起因於內源性病毒的活化。據推測,HSV可能是通過嗅神經或三叉神經侵入腦組織,損害額葉眶部、顳葉皮質和邊緣系統。HSV-II主要引起生殖器皰疹,它所致的HSE主要見於新生兒,分娩時生殖道分泌物與胎兒接觸是導致新生兒感染的主要原因。HSV-II原發感染也見於年輕人,可通過性接觸傳播,引起成年人的無菌性腦膜炎,而非腦炎。HSV與神經細胞之間的相互作用:病毒附著於周圍神經軸膜時,脫失其外殼,外殼成分與核酸被傳入神經元細胞核內。HSV是可溶性的DNA病毒顆粒,在細胞內複製、增殖,最終導致神經細胞死亡。Vmw65是HSV-I轉移激活蛋白,是病毒外殼的主要成分之一,對病毒進入神經組織過程有促進作用,病毒攜帶給細胞核Vmw65的量決定感染的後果。若有足夠量的Vmw65到達神經細胞體,則病毒增殖環繼續,細胞死亡;如Vmw65量不足,病毒複製環不能啟動,則感染處於潛伏狀態。潛伏感染時,無HSV-I病毒顆粒出現,病毒DNA不會插入宿主細胞DNA進行複製。此時,無神經元顯著破壞,故在機體免疫功能完整的個體,HSV極少引起HSE。
病理
HSE主要的病理改變是腦組織水腫、軟化和出血性壞死。瀰漫性侵害雙側大腦半球,常呈不對稱性分布。以顳葉、邊緣系統和額葉最為明顯,偶亦可波及枕葉、下丘腦、腦橋與延髓。大腦皮質的壞死常不完全,以皮質淺層和第3、5層的血管周圍最重,可繼發顳葉鉤回疝致死。鏡下可見神經細胞廣泛的變性和壞死,小膠質細胞增生,血管壁變性、壞死,腦膜和血管周圍有大量淋巴細胞浸潤形成套袖狀。在神經細胞和膠質細胞內有嗜酸性包涵體(Cowdry A包涵體),電鏡下可見包涵體內有HSV的DNA顆粒和抗原。腦實質出血性壞死和細胞核內包涵體是本病的最特徵性的病理改變。
臨床表現
急性壞死性腦炎:多為HSV-I感染,主要見於成人。
1、一般情況:四季均可發病,原發感染的潛伏期為2~26天,平均6~8天,前驅症狀可有上呼吸道感染、發熱、頭痛、頭暈、咽痛、肌痛、腹痛、腹瀉、乏力、嗜睡等。多為急性起病,少數表現為亞急性、慢性或復發病例,約1/4患者有口唇、面頰及其他皮膚黏膜移性區皰疹史,多數起病不久就有發熱,體溫最高可達40℃~41℃。本病病程長短不一,可持續數日到數月不等。
2、精神症狀:早期以精神症狀突出,發生率約69%~85%,多為人格改變,反應遲鈍,注意力渙散,言語減少、不連貫、答非所問,煩躁不安,接觸不良,易激惹,幻聽、幻視、欣快和虛構、瞻妄等,這些可能與顳葉和邊緣系統受損有關,部分患者可因精神行為異常為首發或唯一症狀而就診於精神科。
3、神經症狀和體徵:可表現為智慧型障礙,時間、空間定向力差,近事遺忘,肢體癱瘓,多種形式的癇性發作(全身強直陣攣發作及部分性發作等)。體徵包括偏盲、凝視障礙、瞳孔不等大、外展神經麻痹、肌張力增高、偏癱、共濟失調、反射改變、錐體束征、腦膜刺激征等彌散性或局灶性腦損害表現。嚴重病例可出現不同程度的意識障礙,甚至昏迷,重症者可因廣泛腦實質壞死和腦水腫引起顱內壓增高,甚至腦疝形成而死亡。急性腦脊髓炎:多為HSV-II感染所致,主要見於嬰兒。呈急性爆發型感染,分娩過程中經產道感染或胎兒期宮內感染,個別患兒感染來源於保育人員,分娩時產道感染的潛伏期為4~21天。本病可有多個系統受累,常見的部位是皮膚、肝臟、肺臟和腦部。腦炎症狀並不一定很突出,可表現為難餵養、激惹、嗜睡、部分性或全面性癲癇發作、囟門隆起、角弓反張、癱瘓、去大腦強直、昏迷,病死率高。
輔助檢查
1. 血液檢查: 周圍血白細胞數增高,可達10×109/L以上,早期出現輕度中性粒細胞增多,血沉快。檢測急性期和恢復期雙份血清中的特異性抗體可協助診斷,恢復期標本HSV-1抗體(IgG)有4倍或4倍以上升高或降低者有診斷意義,常用的方法有補體結合試驗、間接免疫螢光試驗、放射免疫法、酶聯免疫吸附法等。
2. 腦脊液檢查: 腰椎穿刺壓力增高,腦脊液細胞數正常或輕、中度升高,一般在(10~100)×106/L,也可多達1000×106/L,以淋巴細胞為主,早期也可以異形核增多為主,部分患者可見到較多的紅細胞,(50~500)×106/L,蛋白質含量正常或輕度升高,一般低於1.0g/L,糖和氯化物正常,檢出紅細胞或腦脊液黃變提示有出血性壞死。ELISA,雙份腦脊液做HSV抗體的動態測定,發現腦脊液抗體有升高趨勢,滴度達1:80以上,血與腦脊液抗體比〈40,或腦脊液抗體有4倍以上升高者,或標本中HSV-1的IgM抗體陽性者有診斷意義。檢測腦脊液中HSV-DNA:用PCR可早期快速診斷,敏感性和特異性均較高。另外,約5~10%的病例早期腰穿檢查可完全正常,應注意結合臨床症狀、體徵及其它排除診斷資料進行綜合分析。
3. 腦電圖: 腦電圖檢查可見α波節律消失,瀰漫性高幅慢波背景上的局灶性尖波,多見單側或雙側顳、額葉異常,以顳葉為中心的周期性同步放電(2~3Hz)最具診斷價值。
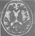
4. 影像學檢查: 頭顱CT可正常,也可見一側或雙側顳葉、海馬及邊緣系統局灶性低密度區,若其中出現點狀高密度提示有出血性壞死,更支持診斷。嚴重者可有腦室受壓、中線移位等占位效應。在早期MRI T2加權像可見到顳葉中、下部,向上延伸島葉及額葉底面有周邊清晰的高密度區。MRI優於CT,尤其可發現早期病灶。
5. 腦組織活檢: 發現神經細胞內有嗜酸性包涵體(Cowdry A型)或電鏡下發現HSV病毒顆粒可以確診。亦可以用腦組織標本作PCR、原位雜交等檢查病毒核酸或進行病毒分離與培養。
診斷和鑑別診斷
由於HSE病情兇險,進展迅速,而同時有效的抗病毒藥物以套用於臨床,所以早期準確的診斷非常重要。
1.臨床診斷依據:
(1)口唇或生殖器皰疹史,或本次發病有皮膚、黏膜皰疹;
(2)發熱、明顯的精神行為異常、抽搐、意識障礙及早期出現的局灶性神經系統定位體徵;
(3)腦脊液紅、白細胞數增多(WBC≥5×106/L),糖和氯化物正常;
(4)腦電圖以顳、額區損害為
單純皰疹病毒性腦炎(5)頭顱CT或MRI發現顳葉局灶性出血性腦軟化灶;
(6)特異性抗病毒藥物治療有效可間接支持診斷。
2.確診尚需如下檢查:
(1)腦脊液中發現HSV抗原或抗體;
(2)腦組織活檢或病理髮現組織細胞核內包涵體,或原位雜交發現HSV病毒核酸;
(3)腦脊液的PCR檢測發現該病毒DNA;
(4)腦組織或腦脊液標本HSV分離、培養和鑑定;
(5)PCR檢查腦脊液中其他病毒,以除外其他病毒所致的腦炎。
3.鑑別診斷:
(1)其他病毒性腦炎
①帶狀皰疹病毒腦炎:本病臨床少見,帶狀皰疹病毒主要侵犯和潛伏在脊神經後根神經節的神經細胞或腦神經的感覺神經節的神經細胞內,極少侵及CNS。本病是病毒感染後引起的變態反應性腦損害,臨床表現意識模糊,共濟失調,局灶性腦損害的症狀和體徵。病變程度相對較輕,預後良好。由於患者多有胸腰部帶狀皰疹的病史,頭顱CT無明顯出血壞死的表現,血清及腦脊液檢出該病毒抗原、抗體和核酸,可資鑑別。
②腸道病毒腦炎:該病毒除引起病毒性腦膜炎外,也是病毒性腦炎的常見原因之一。多見於夏秋季,可為流行或散發,臨床表現發熱、意識障礙、平衡失調、反覆癲癇發作以及肢體癱瘓等。病程初期的胃腸道症狀、腦脊液中的病毒分離或PCR檢查陽性可幫助診斷。
③巨細胞病毒性腦炎:本病臨床少見,常見於免疫缺陷如AIDS或長期使用免疫抑制劑的患者。臨床呈亞急性或慢性病程,表現意識模糊、記憶力減退、情感障礙、頭痛和局灶性腦損害的症狀和體徵。約25%的患者MRI可有瀰漫性或局灶性的腦白質異常。因患者有AIDS或免疫抑制的病史,體液檢查找到典型的巨細胞,PCR檢查腦脊液該病毒陽性而易於鑑別。
(2)急性播散性腦脊髓炎(ADEM) 多在感染或疫苗接種後急性發病,可表現為腦實質、腦膜、腦幹、小腦和脊髓等部的症狀和體徵,故症狀和體徵表現多樣,重症患者也可有意識障礙和精神症狀,但HSE為腦實質病變,精神症狀突出,智慧型障礙明顯。
(3)化膿性腦膜炎 全身感染症狀重,腦脊液中白細胞顯著增高,甚至呈米湯樣,腦脊液細菌培養或塗片檢查可發現致病菌,有時可發現原發性化膿性病灶,抗生素治療有效。
(4)腦腫瘤 HSE有時以局灶症狀為突出表現,伴顱內壓力增高,類似於腦腫瘤。但是腦腫瘤無論原發性或轉移性,其病程相對長,腦脊液蛋白質明顯增高,頭顱CT增強掃描有強化效應,MRI可明確腫瘤的部位與大小,甚至可明確病變性質。
(5)急性脫髓鞘腦病 急性或亞急性起病,病前可有上呼吸道感染史,輕至中度發熱,往往會有精神症狀,意識障礙及局灶性神經功能缺失征易與HSE混淆。因起病變主要在腦白質,癲癇發作甚少,影像學顯示病灶在皮質下白質多發低密度灶,多在腦室周圍,分布不均,大小不一,新舊並存,脫髓鞘斑塊有強化效應。免疫抑制劑治療有效,病毒學與相關檢查陰性為其特徵。
治療
若不治療,大約70%~80%的患者是致命的,並且急性發病存活者常遺留嚴重的後遺症。早期診斷和治療是降低本病病死率的關鍵,主要包括特異性的抗病毒治療,輔以免疫抑制劑治療和對症支持治療。
1. 抗病毒化學藥物治療
(1)阿昔洛韋(Acyclovir) 第二代抗病毒藥物,系鳥嘌呤的衍生物,通過抑制DNA多聚酶的作用,抑制病毒DNA複製,進而導致病毒結構蛋白(γ類多肽)合成受阻,從而發揮抗病毒作用,具有很強的抗HSV的作用。常用劑量為:嬰兒(大於6月齡)HSE為500mg/m2,靜脈滴注,每8小時一次,療程10天。成人30mg/kg/日,分3次靜脈滴注,連用14~21天,少於10天常有復發。國際推薦治療時間為21天,若病情較重可延長治療時間或再治療一個療程。有學者提出抗病毒治療後,再用PCR方法檢測HSV的DNA來決定是否需要延長抗病毒治療的時間,國際最近的研究正在評價其可行性。由於其對造血系統和肝臟的毒性作用,使用過程中應注意監測患者的肝功能和全血細胞分析。另外的主要副作用是短暫性腎功能不全,通常由於化合物在腎臟實質內形成結晶所致,故建議靜脈滴注宜緩慢進行,每次在1小時以上,同時注意補液,囑患者多飲水,可有效預防其發生。
(2)更昔洛韋(Ganciclovir) 抗HSV的療效是阿昔洛韋的25~100倍,具有更廣譜的抗HSV作用和更低的副作用。用量是5~10mg/kg/日,靜脈滴注,療程10~14天。
2. 免疫抑制劑治療:
(1) 干擾素及其誘生劑 干擾素是細胞經病毒感染後產生的一組高活性糖蛋白,具有廣譜的抗病毒活性,而對宿主細胞損害極小,60×106IU/日,連續肌肉注射30天;聚肌胞可使人體產生足量的內源性干擾素。
(2) 轉移因子 可使正常淋巴細胞致敏而轉化為免疫淋巴細胞,皮下進行注射,1~2次/周,每次1支。
(3)腎上腺皮質激素 對病情危重、頭顱CT有出血性壞死灶及腦脊液紅細胞和白細胞明顯增多者可酌情使用。
3. 全身支持治療
對重症及昏迷患者至關重要,注意維持營養及水、電解質的平衡,保持呼吸道通暢。必要時給予靜脈高營養、加強生活護理,預防褥瘡及呼吸道感染等併發症。
4. 對症治療
包括對高熱的患者進行物理降溫,抗驚厥、鎮靜、脫水降顱壓等。
預後
本病病程持續數周至數月,病死率19%~70%,少數病例(約5%~10%)經治療1~3個月又復發。存活者中約有2/3殘留癲癇、精神異常或認知功能障礙等後遺症,極少數甚至成為植物狀態。早期診斷和規範的抗病毒治療可顯著降低病死率和致殘率,甚至完全恢復至病前狀態。
中醫學理論
中醫病因病機 中醫學認為本病的發病原因是由於人體正氣內虛,時令溫熱疫邪和濕熱疫邪乘虛侵襲。若感受溫熱毒邪,多起病急驟,變化迅速,即表現為一派里熱熾盛之象,熱極化火生風,可轉化為內風動越之象;火熱煎液成痰,可成風痰或痰熱之證;若暑熱燔灼不解,風、痰、火交織過盛則可因人體精氣耗奪,而出現內閉外脫的危重證候,甚至引起死亡。若感受濕熱毒邪,起病較緩,熱勢不高,纏綿難解,易化濕生痰。溫熱濕邪內阻,脾胃運化失調,胃氣上逆則胸脘滿悶、噁心嘔吐,蒙蔽心包則表情淡漠、嗜睡乃至昏迷。故本病的病機轉化過程主要為熱、風、痰的相互轉化,而熱是生風生痰的原始病因。疾病的後期邪戀正虛,耗津傷陰,病及肝腎。本病的病位在腦、髓、心、肝、心包,並可涉及脾腎,病性多為實證、熱證,亦可見虛實夾雜證。
調攝護理
注意安靜;加強營養,給予高蛋白質、維生素飲
單純皰疹病毒性腦炎【分證論治】
1.濕熱熏蒸
(1)治法:清熱化濕,解毒和中。
(2)方劑:王氏連朴飲(《溫病條辨》)加減。
(3)組成:黃連6g,厚朴10g,石菖蒲10g,法半夏10g,蒲公英20g,金銀花20g,大青葉30g,竹茹10g,茵陳15g。(4)備選方:普濟解毒丹(《醫方集解》)加減。飛滑石20g,綿茵陳15g,淡黃芩10g,石菖蒲log,川貝母10g,木通10g,藿香10g,射干10g,連翹10g,薄荷10g,白豆蔻10g。
(5)加減:若嗜睡者,加遠志、鬱金;唇周皰疹癢痛難忍者,加玉樞丹磨水外塗。
(6)臨證事宜:本方常用於治療濕熱俱重的證候,是由濕阻中焦,鬱蒸生熱所致,若熱重,則多加清熱之品,若濕重,則加重黃連、厚朴等燥濕、化濕之藥物。
2.濕熱蒙竅
(1)治法:清熱化濕,豁痰開竅。
(2)方劑:菖蒲鬱金湯(《溫病全書》)加減。
(3)組成:石菖蒲10g,鬱金10g,梔子10g,連翹10g,竹葉10g,大青葉30g,蒲公英30g,遠志10g,竹茹10g,玉樞丹3g。
(4)備選方:菖蒲飲加減。菖蒲10g,人參10g,茯神15g,遠志10g,山藥10g,珍珠3g,琥珀3g,膽南星5g,天竺黃3g,硃砂3g,牛黃3g,雄黃3g。
(5)加減:若壯熱口渴者,加知母、石膏;抽搐頻繁者,加鉤藤、全蠍;譫妄者,加礞石、石決明。
(6)臨證事宜:本方清熱與開竅之藥組合,芳香辛燥之藥較多,有耗陰劫液之弊,若神昏譫語由陰虛所致者,不宜使用本方。
單純皰疹病毒性腦炎3.熱盛風動
(1)治法:清營涼血,熄風止痙。
(2)方劑:羚角鉤藤湯(《通俗傷寒論》)加減。
(3)組成:羚羊角5g,鉤藤15g,丹皮10g,僵蠶10g,生地黃30g,板藍根30g,大青葉30g,紫雪散3g,全蠍5g,白芍15g,龍膽草12g。
(4)備選方:鉤藤飲(《醫宗金鑒》)加減。鉤藤10g,羚羊角0.3g(磨粉沖服),全蠍5g,人參3g,天麻6g,甘草3g。
(5)加減:若痰聲漉漉者,加玉樞丹或猴棗散。
(6)臨證事宜:本方主治熱盛動風之證,若熱邪內閉,神志昏迷者,則要配合安宮牛黃丸、紫雪丹等清熱開竅之品。
4.陰虛風動
(1)治法:育陰熄風,通絡止痙。
(2)方劑:三甲復脈湯(《溫病條辨》)加減。
(3)組成:龜甲15g,鱉甲10g,生牡蠣30g,白芍15g,麥冬l0g,地龍l0g,鉤藤15g,忍冬藤15g,全蠍5g。
(4)備選方:大定風珠(《溫病條辨》)加減。生白芍20g,阿膠10g,龜甲15g,地黃15g,麻仁5g,五味子5g,生牡蠣15g,麥冬15g,炙甘草10g,雞子黃2個,鱉甲10g。
(5)加減:陰虛生熱動風者,加羚羊角4g(代以水牛角40g)。
(6)臨證事宜:本方主治溫病邪熱羈留下焦,熱深厥甚,真陰大虧,虛風內動。若陰液雖虛,而邪氣猶盛者,非本方所宜。
5.痰瘀阻絡
(1)治法:化痰活血,啟竅通絡。
(2)方劑:滌痰湯(《濟生方》)加減。
(3)組成:石菖蒲10g,僵蠶10g,竹茹10g,法半夏10g,茯苓15g,忍冬藤15g,絲瓜絡10g,全蠍5g,鬱金10g,遠志10g,紅花l0g。
(4)備選方:半夏白朮天麻湯(《醫學心悟》)。炙半夏10g,天麻10g,茯苓10g,白朮10g,甘草5g,橘紅10g。
(5)加減:瘀血為甚者,加丹參20g、益母草30g。
(6)臨證事宜:本證多為病人進入恢復期,多兼有陰虛之象,應注意在滌痰開竅基礎上滋陰熄風。

