疾病概述
胃息肉胃息肉又名胃酸,疼痛,噁心,厭食,消化不良,體重下降,腹瀉,指胃黏膜局限性良性隆起病變。本病早期或無併發症時多無症狀。出現症狀時常表現為上腹隱痛、腹脹、不適,少數可出現噁心、嘔吐。
合併糜爛或潰瘍者可有上消化道出血,多表現為糞潛血試驗陽性或黑便,嘔血少見。位於幽門部的帶蒂息肉,可脫入幽門管或十二指腸,而出現幽門梗阻的表現。息肉生長於賁門附近時可有吞咽困難。
臨床表現
胃息肉疾病類型
胃息肉第一類為再生性胃息肉—即為增生息性肉,發病較常見,其比例約76%~90%。分布於胃內的部位不定,多數傾向於發生在胃炎的部位。多發性占多數,直徑平均1cm,其表面光滑呈分葉狀。息肉由指狀細長的嵴和高分化類似於幽門腺上皮被復的擴張腺窩組成。不規則的腺窩呈分支形和囊樣變。增生的上皮細胞較大,深染色、單層,核位於基底部,但分裂象少見。胞漿可分泌粘液,PAS陽性。間質為黏膜肌向黏膜表面呈放射狀生出的平滑肌束及膠原纖維組成,有時息肉有大量血管瘤樣的血管及漿細胞等炎症細胞浸潤。上皮細胞的異型性及腸化生不典型。主要是增生再生的結果,惡變者很少。
胃息肉第二類為胃腺瘤。此病為真性腫瘤性腺瘤,包括腺瘤性息肉和乳頭狀及絨毛狀腺瘤。與結腸腺瘤的組織學和生物學相似。胃腺瘤比胃癌遠為少見,約占所有息肉的25%。發生於胃部的黏膜上皮,大都由增生的胃粘液腺構成。
1.腺瘤性息肉即息肉狀腺瘤,發生於胃黏膜的各處,幽門區約占一半,為胃腺瘤中較常見的類型。單發最多見,也可多發。常為廣基無蒂,也有時有蒂。體積比增生性息肉大,直徑一般約2cm。鏡下結構為排列規則的管狀腺體,腺體擴張成囊狀的偶見。腺體被復單層柱狀上皮,排列較密,細胞漿少,粘液分泌活性減少,核深染呈柱狀,體積大小一致,可見核分裂象。常見有腸上皮化生於腺體中,間質主要由富含血管的纖維組織構成,而其中可見有程度不等的漿細胞、淋巴細胞浸潤。
2.乳頭狀腺瘤即絨毛狀腺瘤,發病在臨床中極少見到。肉眼觀察可呈乳頭狀及絨毛狀,常為廣基無蒂,鏡下結構為柱狀上皮細胞被復分支狀含血管結締組織索芯組成。事實上,以上兩類腺瘤常混雜存在於同一息肉內。直徑超過2cm的息肉,常有腺體異型性增生,甚至發生原位癌和浸潤癌。異型性增生的腺體表現在腺上皮由高柱狀變為低柱
胃息肉3.胃的特殊性息肉①錯構瘤性息肉;臨床中錯構瘤性息肉可單獨存在,也可與黏膜皮膚色素沉著和胃腸道息肉病(Peutz-Jegher綜合徵)共同存在。沒有伴隨腸息肉病的胃錯構瘤性息肉,局限於分泌胃酸區的胃上部,為無蒂和直徑小於5cm的息肉。在P-J綜合徵中,息肉較大,而且可有蒂及分葉狀。組織學上錯構瘤性息肉具備正常成熟的黏膜成分的不規則生長,粘液細胞增生,混雜有壁細胞和主細胞。腺窩呈囊性擴張。平滑肌纖維束從黏膜肌層向上呈放射狀,將正常胃腺體分成小葉。間質為輕度水腫充血。小的錯構瘤性息肉於鏡下活檢可見完整。而較大的息肉活檢僅可見到增生的表面及腺窩的上皮。②異位性息肉;主要由異位的胰腺或Brunner腺構成,也有包括在錯構瘤性息肉範圍內。沿胃大彎,尤以幽門及竇部幾乎單獨可見的異位胰腺,常見的表現是幽門阻塞。肉眼觀察異位胰腺為一狐立的凹陷的無柄的結節。在組織學上胰組織最常見於黏膜下層,以致內鏡活檢時可漏診,異位胰腺有時也可出現在黏膜層,可見腺泡、導管及Langerhans島,可混有Brunner型腺體。如被平滑肌包圍時即成為腺肌瘤。異位息肉於十二指球部最常見,也可見於幽門和竇部。其表面常形成潰瘍。在組織學上黏膜和黏膜下層可見正常的或者囊狀的Brunner腺與平滑肌束。
4.幼年性息肉病息肉發生於胃的所有部位。以胃竇部數量最多而且體積最大。伴有增生性和腺瘤性息肉,體積從0.2~4cm大小不等,表面平滑,組織學上為瀰漫散在的被復單層柱狀上皮的成熟粘液,及漿細胞、淋巴細胞和一些中性白細胞、嗜酸性白細胞浸潤、疏鬆、水腫和充血的間質構成。偶見乳頭狀突起的腺體。其中一些腺體成囊狀,充滿粘液。無黏膜肌改變。被認為這種息肉為良性且具有錯構瘤的性質。Cronkhite-Canada綜合徵:是一種稀有非遺傳性胃腸道特殊性息肉病。臨床所見有皮膚色素沉著、脫髮、低蛋白血症等症狀。組織由被履單層柱狀粘液上皮的單形腺體及充滿粘液的囊以及漿細胞和中性白細胞浸潤,充血水腫的間質所構成。隸屬腺瘤性息肉,也可是炎症增生性或充血息肉。
發病機制
胃息肉1.增生性息肉此型息肉約占胃息肉的75%~90%,是炎性黏膜增生形成的息肉樣物,並非真正的腫瘤。息肉較小,一般直徑小於1.5cm,呈圓形或橄欖形,有蒂或無蒂,表面光滑,可伴有糜爛。組織學上可見增生的胃小凹上皮和增生的固有層腺體,上皮分化良好,核分裂象少見,固有層見炎性細胞浸潤,部分息肉伴有腸化生。少數增生性息肉可發生異型增生或腺瘤性變而產生惡變,但其癌變率一般不超過1%~2%。
2.腺瘤性息肉系來源於胃黏膜上皮的良性胃腫瘤,約占胃息肉的10%~25%。一般體積較大,呈球形或半球形,多數無蒂,表面光滑,少數呈扁平狀、條狀或分葉狀。組織學上主要由表面上皮、小凹上皮和腺體增生形成。上皮分化不成熟,核分裂象多見,可分為管狀、絨毛狀及混合型腺瘤,常伴有明顯腸化生和異型增生。息肉間質為疏鬆結締組織,有少量淋巴細胞浸潤。黏膜肌層無明顯增生,肌纖維無分散現象。本型息肉癌變率高,可達30%~58.3%,尤其瘤體直徑大於2cm、絨毛狀腺瘤、異型增生Ⅲ度者惡變率更高。
疾病檢查
胃息肉2.雷射的原理:雷射雖為單色光束,然而它的功率及時間,使用方法極似外科手術。原理在於握住的手術刀在進行切割中與雷射輸出的時間功率成正比。手術刀在切割時,作用於刀柄的力越大,向深部切割得越深,反之則越淺。雷射束不作移動對病灶連續輸出的時間與手握刀柄用力切割的力相似。功率大,出光量高,連續輸出猶如使用重力,切割就越深,因而手術時特別要求對雷射功率的輸出,需要的激發時間嚴格控制。由於Nd∶YAG雷射的手術方式靈活,與微波不同,在手術中,對特殊部位而不易直接向息肉輸出雷射的治療。而微波、電凝切除無此優點。雷射治療中可根據息肉大小及形狀來調節輸出雷射功率。
疾病診斷
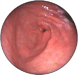
胃息肉胃息肉很少有陽性體徵,合併炎症時上腹部可有壓痛,出血多者有繼發性貧血表現。X線胃鋇餐透視和胃鏡檢查是診斷胃息肉的主要方法。X線胃鋇餐透視顯示胃腔內呈現圓形或半圓形邊界整齊清晰,表面平整的充盈缺損,多數在1cm左右大小,有蒂者可見其移動。胃鏡檢查對診斷實屬必要,鏡下可見胃壁黏膜上有圓形或半圓形隆,一般小於2cm。邊界清晰,表面光滑平整,色澤呈正常黏膜象或呈鮮紅色,質地柔軟,有蒂或無蒂,單發或多發。部分息肉呈菜花狀表現,其表面或有糜爛或有潰瘍。菜花狀息肉和體積大於2cm者有惡變之可能,活組織病理檢查有助於鑑別診斷。
而胃息肉與胃癌有很多的相似性,在診斷治療的時候切不可相提並論,息肉發生炎症時與胃炎表現相似。
治療方案
胃息肉(1)高頻電凝切除法:是目前套用最廣泛的方法,其原理是利用高頻電流產生的熱效應使組織凝固、壞死而達到切除息肉的目的。一般電流頻率在300kHz以上,輸出功率為30~80W。術前應儘量抽吸胃內液體,小於0.5cm的無蒂息肉應首選前端球形的電凝器或電熱活檢鉗電凝灼除。使用電熱活檢鉗時,應先將其頭部咬持輕輕提拉後灼除,對於有蒂及大於0.5cm的無蒂息肉應儘量選擇圈套器切除,但也可用球形電凝器或電熱活檢鉗分次灼除。對有蒂息肉應將圈套器套於蒂上並儘量保留殘蒂1cm左右後通電,以避免組織灼傷過深而致穿孔。對於無蒂息肉灼除時應先以高滲鹽水或1∶10000腎上腺素溶液注入息肉基底部1~2點,每點1.0ml,以免圈套切除時損傷肌層及漿膜層,然後用雙活檢管道內鏡先以抓持鉗提拉息肉頭部,使其基底形成假蒂後再行圈套切除。對過大息肉可分期處理,即先將息肉頭部以圈套器進行部分斜行切除,間隔2周后斜行切除對側部分,如未能完全切除可再重複,直到全部摘除;亦可採用吸引與電凝結合進行治療,即在內鏡前安置吸引套,將電凝用圈套器經活檢孔置於吸引套內槽中,將內鏡送至胃腔內,以吸引套頭端與息肉緊密接觸後,負壓吸引息肉至全部吸入吸引套內,收緊圈套器,退出息肉進行電凝。對於較大有蒂或亞蒂息肉也可採用金屬夾結紮後圈套電凝治療,方法為經內鏡活檢孔置入可鏇式夾閉裝置器,於息肉蒂莖部進行多枚交叉金屬鉗夾,阻斷病灶血供,待息肉頭端呈紫色時,進行圈套電凝切除。採用圈套電凝術時需注意通電前要緩慢收緊圈套襻,並輕輕提拉以避免機械切割所致出血及組織過深灼傷,圈套襻收緊後要先電凝後電切,反覆交替,每次通電時間數秒鐘,也可用混合電流間歇通電治療。
(2)微波灼除法:利用微波可使極性分子振動產生熱效應的原理,而使組織凝固氣化進行息肉灼除,且有止血作用,適用於直徑小於2cm的無蒂息肉,對較小息肉可1次性灼除,較大者則需多次治療。其輸出功率為30~40W,治療前可調整並固定每次燒灼的時間,一般為5~10s,也可用腳踏開關控制。操作時經活檢口插入微波同軸電纜(天線),使球形探頭密切接觸病變部位,或針狀探頭刺入病變部位後進行灼除,應注意控制組織灼傷深度,以免造成穿孔。該法操作簡單、安全、成本低、易於開展。
胃息肉(4)尼龍絲及橡皮圈結紮法:通過結紮息肉根部,使其缺血壞死,達到治療目的。病理證實,治療後結紮部位肌層完整,僅局限於黏膜及黏膜下層產生局部缺血壞死。結紮後1~4天內局部黏膜發生急性炎症反應,肉芽組織增生及壞死組織脫落形成淺表潰瘍,並逐漸被瘢痕組織取代而癒合,故有可避免穿孔發生的優點。方法:於內鏡前端置一透明吸引套。將結紮器自活檢孔送入並自前端探出,將尼龍絲結紮套或橡皮圈置吸引套內槽內,將內鏡送至胃腔內,以吸引套頭端與息肉緊密接觸,負壓吸引息肉使息肉全部吸入至吸引套內,拉動結紮器手柄,使用尼龍絲或皮圈結紮於息肉根部。結紮後第1周內息肉脫落並形成淺潰瘍,第3~4周形成白色瘢痕而癒合。
(5)氬離子凝固術:氬氣可通過離子化傳導由鎢絲電極產生的高頻電能,使組織發生凝固效應,近年來套用於內鏡治療,收到較好的療效。主要適用於廣基無蒂,直徑小於1.5cm者。經內鏡活檢孔插入氬離子凝固器導管,使導管頭端距離病灶上方0.3~0.5cm,啟動腳踏開關進行氬離子凝固治療,每次1~3s。
(6)冷凍法:將致冷氣體經特製導管通過內鏡活檢孔直接噴灑在息肉表面,或用特製的冷凍桿對病灶進行接觸冷凍,使組織壞死脫落。因此法對單個較大息肉難以1次性治癒,故目前少用。
(7)射頻法:射頻為一種200~750kHz的電磁波,進入病變組織後,局部產熱使其水分蒸發、乾燥而壞死達到治療目的。操作時控制射頻治療儀輸出功率為23~25W,工作時間為5~10s,將電極經內鏡活檢孔導入後,對病變進行治療。
(8)酒精注射法:內鏡下用無水酒精圍繞息肉基底部一圈作點式注射,每點0.5ml,見白色丘狀隆起為度。一般只用於廣基息肉的治療。
2.抗Hp治療近年有研究表明,幽門螺桿菌(Hp)感染與增生性息肉的發生密切相關,Hp陽性的增生性息肉患者在成功根除Hp感染後,其中約40%病例息肉完全消退。因此,對於增生性息肉患者進行診斷和治療時應行Hp檢測,若陽性則應行根除Hp治療,然後根據息肉的消退情況再作相應的處理。
3.手術治療手術適應證為:
(1)大於2cm的無蒂或廣基型息肉。
(2)息肉進行性增大者。
(3)病檢為腺瘤性息肉伴異型增生、可疑癌變和癌變者。
術後事項
胃息肉1.充分休息,避免熬夜及過度勞累。
2.三餐定時定量,宜少量多餐,不可暴飲暴食。
3.戒菸、避免酒類、咖啡因(咖啡、濃茶、可樂、可可亞)、辣椒、胡椒等刺激性食物攝取,食物亦不宜過甜過鹹及過冷過熱。
4.進餐要細嚼慢咽,且心情要放鬆,飯後略作休息再開始工作。
5.生活規律,避免熬夜,心情保持愉快,減少無謂的煩惱。
6.以易於消化的烹調方式為主(如蒸、煮、燉)等。

