簡介
尼氏體(NISSL BODY,Nissl substance,又稱虎斑小體)
概念
胞體的細胞質稱核周質(perikaryon),含有較發達的粗面內質
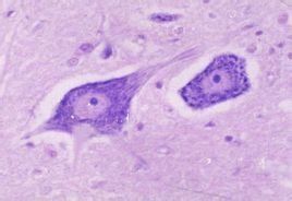
染色法觀察尼氏體網、游離核糖體、微絲、神經絲和微管以及高爾基複合體等。粗面內質網常呈現規則的平行排列,游離核糖體分布於其間,它們在光鏡下呈嗜鹼性顆粒或小塊,稱尼氏體(Nissl bodies)。
分布
在人體中的分布:分布於神經元胞體和樹突中,
形狀
不同部位形狀有所不同:有些位於大神經元,如脊髓運動神經元,呈粗大的斑塊狀,即虎斑狀;有些位於小神經元,如神經節內的神經元,則呈細顆粒狀。
尼氏體結構和功能
結構 :由發達的粗面內質網和游離的核糖體構成。
結構:具有強嗜鹼性。
功能:合成 蛋白質,主要合成更新細胞器所需的結構蛋白、合成神經遞質所需的酶類以及肽類的神經調質。
尼氏體溶解
神經細胞基本病變,.尼氏體溶解於 脊髓灰質炎、維生素B缺乏、神經元胞體與軸突斷離等。此時,尼氏體從核周開始崩解為細塵狀顆粒,並漸漸向外擴展,進而完全溶解消失。因尼氏體消失,胞漿著色淺,胞體腫脹,細胞由多極形狀變為圓形,胞核移至位於 軸突起始部對側邊緣部。病變一般為可逆性,去除病因,可恢復正常。如發展,可導致細胞萎縮或壞死。 此外,當 腦震盪、腦病變症狀等出現會伴隨著尼氏體的變化。

