概述
慢性膿胸症狀
長期感染、慢性消耗,常使患者呈現慢性全身中毒症狀,如低熱、乏力、食欲不振、消瘦、營養不良、貧血、低蛋白血症等。有支氣管胸膜瘺者,咳大量膿痰,且與體位3有關。合併皮膚瘺時,有膿液自瘺口外溢。查體可見患側胸廓下陷、肋間隙窄、呼吸運動減弱或消失,叩診呈實音,縱隔心臟向患側移位,呼吸音減弱或消失,脊柱側彎,杵狀指(趾)。
病因
急性膿胸治療不及時或處理不適當急性膿胸期間選用抗生素不恰當,或治療過程中未能及時調整劑量及更換敏感抗生素,膿液生成仍較多,如果此時引流管的位置高低,深淺不合適,管徑過細。或者引流管有扭曲及堵塞,引流不暢,均可形成慢性膿胸。
胸腔內異物殘留
外傷後如果有異物,如金屬碎片、骨片、衣服碎條等殘留在胸腔內,或手術後異物等殘留,則膿胸很難治癒,即使引流通暢徹底也因異物殘留而不能清除致病菌的來源而不能治癒。
引起膿胸的原發疾病未能治癒
如果膿胸是繼發於肺膿腫、支氣管瘺、食管瘺、肝膿腫、膈下膿腫、脊椎骨髓炎等疾病,在原發病變未治癒之前,膿胸也很難治癒,形成 慢性膿胸。
特異性感染
結核性感染、黴菌性感染、阿米巴性膿胸均容易形成慢性膿胸。
病理
慢性膿胸時由於長期積膿,大量纖維素沉積並逐漸機化,可形成2cm厚度,甚至更厚的纖維板,因而胸壁內陷,肋骨聚攏,肋間隙變窄,肋骨本身呈三角形改變,脊柱向健側側彎,膈肌也因增厚的胸膜纖維板的限制而被固定,因此呼吸運動受到極大的影響,嚴重減弱,同時因纖維板收縮的影響,縱隔被牽向患側,影響血液循環患者可因長期缺氧而出現杵狀指(趾)。慢性膿胸患者由於長期慢性感染,肝、腎、脾大、腎功能障礙。部分膿胸可侵犯肺,形成支氣管胸膜瘺,亦可直接穿破胸膜向外侵犯,穿過肋間,形成啞鈴型型膿腫,甚至穿透皮膚形成胸膜皮膚瘺。
診斷
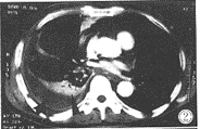
根據病史體徵,可作出初步判斷。X線:患側胸膜肥厚,肋間隙窄,大片密度增高的毛下班樣模糊陰影。縱隔向患側移位,橫膈升高。高電壓片或體層片可顯示肥厚的胸膜、膿腔和肺組織的情況。如有液平面,表示曾有肺漏氣,或仍有支氣管胸膜瘺。結合正側位胸片可明確膿腔的大小,部位。當有液平存在時,套用健側臥位水平投照可顯示膿腔底部的位置。
CT檢查:能進一步明確肺組織是否有病變,如結核、支氣管擴張、囊腫或膿腫,對制定手術方案有極大幫助。如有肺內病變常需作胸剝脫加肺葉甚至全肺切除,或加胸廓成形術。
右胸腔中等量積液B型超聲檢查:在胸腔積液的液性暗茫茫然中因為液體內細胞成分多,常互相聚集,形成絮狀物,故聲像圖上見有強弱不等、分部不均的細小回聲,並稍有浮動現象。如患者迅速移動體,則見液體仙回聲浮動增強,甚至上下翻滾,極易識別。
膿胸與單純胸膜肥厚的超聲檢查所見不同之處是,提高增益後液性暗區內仍無回聲,而胸膜肥厚區則回聲增強,呈現實質性組織的特徵。
慢性膿胸如未作過胸穿或胸腔閉式引流,應該作胸穿,抽取膿液確定診斷,並作細菌 培養和藥物敏感試驗,以便明確致病菌及選擇有效抗生素。
慢性膿胸的診斷並不困難,根據症狀、體徵、X線表現、B型超聲,特別是胸穿結果,均能明確診斷。
治療
慢性膿胸多需手術治療
慢性膿胸高速引流管,充分引流膿液
待全身中毒症狀減輕,肺恢復膨脹,膿腔縮小或閉合,膿胸可痊癒。如膿腔不能閉合消失,充分引流也是手術根治的必要準備。慢性膿胸膿液極少時,可將閉式引流管剪短,改為開放引流。開放引流後,引流管要用安全別針固定,以免落入膿腔,在逐漸將引流管退出的同時更換較細的引流管,以利於膿腔閉合。
慢性膿胸的膿腔引流要求
1、位置要合適要選在膿腔的詢問,但又不能過低,以免膿腔稍縮小就將引流管口堵塞,影響進一步引流。
膿腔引流2、引流管的口徑要足夠大內徑要達到1~1.5cm,深入膿腔約2~3cm,引流管須有側孔,以利引流。慢性膿胸時肋間隙已縮窄,因此,用前述方法安入引流管有一定困難。需採用肋床切開法行胸腔閉式引流,即安放引流管時切開約5cm,切開筋膜及各層肌肉,並切除一段肋骨,再切開肋床,切下一小塊胸壁組織,作病理檢查,然後穿過胸膜纖維板將引流管插入膿腔,調整合適位置後,逐層縫合胸壁切口。這樣才能保證引流管不被肋骨壓癟,保持引流通暢,也不致因引流管刺激,而引起過重的疼痛。
胸膜纖維板剝脫術
是剝脫壁層及髒層胸膜增厚的纖維板使肺組織從纖維板的束縛下游離出來,重新復張,胸壁恢復呼吸運動,消滅膿腔,保持胸廓的正常形態的手術。
1、手術適應證
慢性膿胸膿液已經得到基本控制,每天膿液量在50ml以內,但膿腔依然在下,膿液持續不斷;肺內無廣泛病變,無廣泛纖維化改變,無空洞,無支氣管擴張及狹窄,無大的支氣管胸膜瘺的慢性膿胸可以行胸膜纖維板剝脫術。
2、手術方法
手術全麻氣管內插管下進行,取後外側切口,切開皮膚、皮下、肌肉後,切開骨膜,去除第5或第6肋骨,切開肋骨床,沿胸膜外間隙鈍性剝離胸膜纖維板,剝開一定範圍以後,用胸廓牽開器撐開切口及肋間隙,地一步剝離胸膜纖維板,直到將全部胸膜纖維板剝除,髒壁兩層胸膜纖維板反折部位有時不易辨認,可以把膿腔切開,將膿液及纖維素等清除,再仔細將髒層纖維板剝除,髒層纖維板的剝除往往比較困難,原發病灶部位剝離最為困難,為避免損傷肺組織可將部分纖維板剩下後,僅用刀刃將其餘部分縱橫劃開呈格線狀,減少對肺組織的束縛,以利且肺的膨脹。手術中應仔細止血並縫合較大的肺漏氣部位。手術失敗的主要原因往往是血胸和肺漏氣嚴重。術後放置兩根粗大的引流管,一上一下,保持引流通暢,必要時術後引流管加負壓吸引,可有效地預防或減少併發症的發生。
胸廓成形術
胸廓成形術是將部分肋骨切除,使胸廓塌陷,壓縮消滅膿腔的手術。治療膿胸用的是胸膜內胸廓成形術,去除肋骨也切開胸用的是胸膜內胸廓成形術,去除肋骨也切開胸腔。
1、手術適應證
胸廓成形術適用於肺內有病變,如嚴重的肺纖維化改變、結核病變、支氣管擴張等,以及有支氣管胸膜瘺的患者。
2、手術方法
慢性膿胸胸廓成形術一般要求切除膿腔範圍以外上下各一根肋骨,長度要求超過膿腔範圍2~3cm,如果膿腔大,手術可分期進行,第一次手術只去除第2至第6肋,二期手術時再去除第7至第10肋,以免一次手術創傷過大,患者術後恢復困難。
胸膜全肺切除術
慢性膿胸合併廣泛肺內疾病如結核空洞、支氣管擴張或支氣管狹窄等時,胸膜剝脫術、胸廓成形術均不適用,反而會使肺內疾病惡化,此時如果健側肺組織健康沒有病變,則可施行胸膜全肺切除術。即把全肺及膿胸整塊切除,一般不必先行胸膜剝脫,為了手術操作方便,也可先切除部分纖維板,仔細解剖游離肺門結構,注意勿損傷食管、上腔靜脈等重要臟器,必要時可以打開心包,在心包內處理大血管。胸膜全肺切除手術技術複雜,出血較多,手術危險性大,需要較豐富的經驗,因此,手術適應證應該嚴格掌握,並做好充分的術前準備,手術當中也需非常仔細,嚴密止血,充分估計各個臟器受牽拉移位的可能性,避免手術意外。肺及胸膜纖維板切除後,要充分徹底地沖洗胸腔,術後還要加強抗生素治療,術後胸腔感染是手術失敗的主要原因,很難控制,常常需追加胸廓成形術,甚至開放換藥,病期持久,患者極為痛苦。帶蒂大網膜填充術
慢性膿胸帶蒂大網膜填充胸腔適用於治療各種慢性膿胸,甚至是體質很差不適宜行胸廓成形術的患者,以及難以用其他方法治癒的膿胸,如兩側均有肺內病變的慢性膿胸。但曾經做過腹部手術或患過腹膜炎的患者,由於大網膜粘連較重不能游離,不適宜做此手術。過度消耗,大網膜菲薄的患者,手術較困難。
手術方法是切除壁層胸膜纖維板後,刮除膿腔內的肉芽組織及壞死組織,反覆沖洗膿腔,骨膜下切除前中段變形肋骨2~3根,經左側肋膈角或者右側皮下,將帶血管蒂的大網膜上提至膿腔,有支氣管胸膜瘺者,將瘺口周圍清除乾淨後用大網膜將瘺口堵塞並縫合固定,剩餘空腔用肋間肌及胸壁肌肉組織填塞,一般不放引流管,只在傷口內放兩條橡皮引流條,縫合胸壁加壓包紮。
帶血管蒂大網膜胸腔移植術的胸部變形較小,損傷少,有利於恢復,是其最大的優點。
併發症
呼吸衰竭及心律失常
纖維板剝脫術日趨成為各類膿胸的首選術式。但也存在引起併發症的危險性。原因可能在於此術式能很大程度改善肺功能,因而對限制性通氣障礙的低肺功能患者選擇放寬,如果術前對肺原性病變估計不足,容易造成呼衰。合理的術式選擇對防止術後呼衰,避免圍術期死亡有重要作用。另外如果胸改術一次性切除肋骨過多,術後有出現反張呼吸的危險;胸膜全肺切除後對側肺感染,術前低肺功能,如果患者對側有陳舊胸膜炎病史的容易引起膈肌活動受限造成呼衰。因此必須早期識別,如肺內廣泛哮鳴音,呼吸頻率>30次ömin,伴有輔助呼吸運動,PaO2<60mmHg或PaCO2>60mmHg,以及有肺性腦病症狀時,早期氣管切開,輔助呼吸。術後心律失常除原有心臟疾患外低氧血症是主要原因。術中術後出血
由於膿胸泛圍廣泛,同時常合併較複雜的肺內病變,使手術剝離面廣,易造成術中術後大出血,有專家指出,膿胸手術除胸壁滲血外,最易損傷的大血管為鎖骨下動靜脈及上腔靜脈。本組術中大出血均發生在上述血管,因此要避免損傷血管除熟悉解剖關係,小心剝離外,手術操作程式十分重要,要利用縱膈面粘連較疏鬆的特點,結合少血管區,先易後難,徐徐深入,凡剝離困難多為肺內病變或膿腔返折處,應先孤立之,然後銳性分離淺表乾酪灶,膿腫、空洞。在胸膜全肺切除術中,肺血管貫穿懸吊法在實踐中安全可靠。防止術後出血的關鍵除術中仔細止血,肺血管可靠結紮,切莫忽視肋間血管的縫扎,在胸改術中不能因為加壓包紮而忽略徹底止血。另外術前凝血功能的檢查也至關重要。自潰性膿胸
本病是結核性膿胸常見的併發症。結核性膿胸的壁層胸膜破裂,自發排出其內容物,可進入許多部位,最常見的是胸壁皮下組織。CT可同時顯示胸腔內外的病變,均呈厚壁的包裹性積液,且可顯示兩者之間的瘺。胸膜惡性腫瘤
並發胸膜惡性腫瘤相對罕見,雖然其發病機理不明,但慢性炎症是最重要的因素,其病理學類型較多。診斷也相對較難。如出現以下徵象可提示本併發症:
(1) 胸腔密度增高;
(2) 胸壁軟組織腫脹,脂肪線模糊,或兩者同時出現;
(3) 膿胸附近有骨質破壞;
(4) 鈣化的胸膜廣泛內移;
(5) 膿胸的腔內新發生氣液平面。此時應行CT檢查,可發現膿胸周圍有軟組織密度腫物,增強掃描有強化。在診斷中應注意胸膜腫瘤與自潰性膿胸的鑑別,腫瘤常有壞死或退行性囊變,但CT值可與膿胸相似,重要的是發現軟組織腫塊的外形,其壁的厚度不規則和腔內有軟組織密度凸出影,可提示胸膜惡性腫瘤。有時CT對胸膜惡性腫瘤亦難以作出明確診斷,但能提供活檢的部位。
除以上併發症外,慢性膿胸術後並發殘腔積液、胸膜全肺切除術後殘端瘺、頑固性竇道等也有報導。
護理
1、高熱者,物理降溫,包括醇浴、冰敷等。
2、高熱者,每天測體溫6次。
3、體溫下降時出汗較多,要勤換床單、衣褲,保持皮膚清潔。
4、高熱時要囑病人多飲水,或遵醫囑靜脈補液,保持水、電解質平衡。
5、遵醫囑根據藥敏結果使用抗生素,並觀察其療效和副作用。

