概述
肝膿腫hepaticabscess,liverabscess可由溶組織阿米巴原蟲或細菌感染所引起。阿米巴肝膿腫的發病與阿米巴結腸炎有
肝膿腫密切關係,且膿腫大多數為單發;細菌性肝膿腫的細菌侵入途徑除敗血症外,可由腹腔內感染直接蔓延所引起,亦可因臍部感染經臍血管,門靜脈而入肝臟,膽道蛔蟲亦可為引起細菌性肝膿腫的誘因。常見的細菌有金黃色葡萄球菌,鏈球菌等。
此外,在開放性肝塤傷時,細菌可隨致傷異物或從創口直接侵入引起肝膿腫;細菌也可來自破裂的小膽管。有一些原因不明的肝膿腫,稱隱源性肝膿腫,可能與肝內已存在的隱匿病變有關。這種隱匿病變在機體抵抗力減弱時,病原菌在肝內繁殖,發生肝膿腫。有人指出隱源性肝膿腫中25%伴有糖尿病。
與肝癌鑑別
肝膿腫的典型臨床表現為發熱、肝區疼痛和壓痛明顯,反覆多次超聲檢查常可發現膿腫的液性暗區;超聲導引下診斷性肝穿刺,有助於確診,一般與原發性肝癌不難鑑別診斷。診斷
病史及症狀
不規則的膿毒性發熱,尤以細菌性肝膿腫更顯著。肝區持續性疼痛,隨深呼吸及體位移動而增劇。由於膿腫所在部位
肝膿腫不同可以產生相應的呼吸系統、腹部症狀。常有腹瀉病史。因此,應詳細訊問既往病史,尤其發熱、腹瀉史,發病緩急、腹痛部位,伴隨症狀,診治經過及療效。
體檢發現
肝臟多有腫大(肝臟觸痛與膿腫位置有關),多數在肋間承隙相當於膿腫處有局限性水腫及明顯壓痛。部份病人可出現黃疸。如有膿腫穿破至胸腔即出現膿胸,肺膿腫或穿破至腹腔發生腹膜炎。
輔助檢查
白血球及中性粒細胞升高尤以細菌性肝膿腫明顯可達20-30×109/L,阿米巴肝膿腫糞中偶可找到阿米巴包囊或滋養體,酶聯免疫吸附(ELISA)測定血中抗阿米巴抗體,可幫助確定膿腫的性質,陽性率為85-95%。肝穿刺阿米巴肝膿腫可抽出朱古力色膿液;細菌性可抽出黃綠色或黃白色膿液,培養可獲得致病菌。膿液應作AFP測定,以除外肝癌液化。卡松尼皮試可除外肝包蟲病。
X線檢查
可見右側膈肌抬高,活動度受限,有時可見胸膜反應或積液。B型超音波檢查對診斷及確定膿腫部位有較肯定的價值,早期膿腫液化不全時,需與肝癌鑑別。
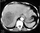
CT檢查
可見單個或多個圓形或卵圓形界限清楚、密度不均的低密區,內可見氣泡。增強掃描膿腔密度無變化,腔壁有密度不
肝膿腫B超檢查及肝穿刺:B超檢查可顯示肝內占位性損害的位置、大小、數目及液平面。此外,在超音波檢查引導下進行診斷性肝穿刺抽膿,是確診的重要手段。
治療措施
肝膿腫診斷明確,應根據其性質分別採取不同治療。阿米巴肝膿腫,病情較輕,可門診服用甲硝唑或甲硝達唑0.4-0.8g。口服3/d,療程5-10天,或靜脈點滴1.5-2.0g/d。哺乳期婦女,妊娠3個月內孕婦及中樞神經系統疾病者禁用。氯喹:成人第一、二天1g/d,第三天以後0.5g/d,療程2-3周。
肝膿腫細菌性肝膿腫,病情急重,應儘快治療。可服用中藥 清肝排膿方,清熱活血、消腫散瘀、健脾益氣、保肝利膽,能快速消除噁心嘔吐、疲倦乏力等症,提高自身免疫力,從根本上治癒細菌性肝膿腫。
細菌性肝膿腫
1、單獨使用抗生素:對於急性期肝局限性炎症,膿腫尚未形成或多
發性小膿腫,應給以積極的內科保守治療。在治療原發病灶的同時,使用大劑量有效抗生素和全身支持療法,控制炎症,促進炎症的吸收。由於細菌性肝膿腫病原菌
複雜,故在明確病原菌前,可先用廣譜抗生素,待細菌培養及抗生素藥物敏感試驗結果,再決定是否調整抗生素。
2、抗生素+經皮穿刺引流:在全身使用抗生素的同時,對於單個較大的肝膿腫可在B超引導下穿刺吸膿,儘可能吸盡膿液後注入抗生素至膿腔內,可以隔數日反覆穿刺吸膿,也可置管引流膿液,同時並沖洗膿腔並注入抗生素,待膿腫縮小,無膿液引出後在拔出引流管。
3、抗生素+外科引流:對於較大的肝膿腫,估計有穿破可能,或已穿破並引起腹膜炎、膿胸以及膽源性肝膿腫或慢性肝膿腫,在全身套用抗生素的同時,應積極進行膿腫外科切開引流術。
4、抗生素+外科切除:對於慢性厚壁肝膿腫和肝膿腫切開引流後膿腫壁不塌陷、留有死腔或竇道長期流膿不癒合、以及肝內膽管結石合併左外葉多發性肝膿腫,且肝葉已嚴重破壞、失去正常功能者,可行肝葉切除術。
阿米巴性肝膿腫、真菌性肝膿腫
阿米巴性肝膿腫及真菌性肝膿腫治療,首先考慮內科保守治療,全身使用抗阿米巴藥物及抗真菌藥物,其他治療原則與細菌性肝膿腫基本相同。
食療
肝膿腫患者也要多多注意飲食,肝病只要靠養,因此肝膿腫患者也得多注意飲食結構。那么肝膿腫患者的飲食要注意什麼呢?
肝膿腫飲食原則:飲食低脂肪,高營養,高維生素,易消化飲食。
肝膿腫可適當服用中藥調理,如清肝排膿方等湯劑,清肝泄熱、保肝利膽。
肝膿腫也是肝臟疾病的其中一種,因此,養肝、護肝也是保健措施之一。養肝的首選的食物為穀類,如糯米、黑米、高梁、黍米;其次為紅棗、桂圓、核桃、栗子;還有肉魚類,如牛肉、豬肚、鯽魚等也對肝有保健作用。
1、大豆及豆製品含有豐富的蛋白質、鈣、鐵、磷、維生素B、中等量脂肪及少量碳水化合物對肝臟修復非常有益。
2、海鮮類例如白帶魚、黃魚、銀魚、及甲殼類如牡蠣、蟹等,能增強免疫功能,修復破壞的組織細胞、不受病毒侵犯。但選擇、烹調要得當否則會食物中毒,蒸煮應在100度加熱半小時以上。若對海鮮過敏則忌食,可多食香菇、銀
肝膿腫耳、海帶、紫菜等。
3、西瓜有清熱解毒、除煩止渴、利尿降壓之用,富含大量糖、維生素及蛋白酶等。蛋白酶可把不溶性蛋白質轉化為可溶性蛋白質。可見,肝膿腫和其他所有肝病一樣,主要是注意低脂肪的食物,多吃容易消化的食物,多吃營養豐富的食物等等。
肝膿腫的症狀和危害
阿米巴肝膿腫(1)常伴有阿米巴痢疾或慢性腹瀉史。
(2)臨床表現為不規則的長期發熱,伴有惡寒、大汗、右上腹或右下胸疼痛,局部可有飽滿及壓痛,肝臟腫大而有壓痛。
(3)實驗室檢查白細胞數增加,嗜酸粒細胞增加較明顯,糞便檢查半數以上患者可發現阿米巴滋養體或包裹。
(4)X線檢查病側膈肌升高,運動度受限,膈肌局部隆起者尤具診斷意義。
(5)超音波檢查肝臟腫大,膿腫區出現液平段。
(6)肝臟放射性核素掃描可見局限性放射性缺損或密度減低。
(7)肝膿腫穿刺液呈紅棕色9有繼發感染時膿液呈黃白色)。
(8)用抗阿米巴藥物治療,療效顯著。
細菌性肝膿腫
(1)寒戰、高熱,呈弛張熱型,右上腹痛,伴食欲不振、乏力。
(2)肝腫大,有明顯觸痛、扣擊痛,有時可見右下胸肋間隙水腫。
(3)白細胞總數及中性粒細胞計數均增多。
(4)超音波檢查顯肝內液平段,CT、核素掃描有助於診斷。
(5)X線檢查,右葉膿腫可見右膈升高,活動度受限,肝影增大,有時伴有反應性胸膜腔積液,左葉膿腫則常有胃小彎受壓徵象。
(6)肝穿刺有膿液,多為黃灰色或黃色,有臭味,作細菌學檢查可確定致病菌。
肝臟疾病匯總
病毒性肝炎 | 肝膿腫 | 肝結核 | 肝吸蟲病 | 阿米巴肝膿腫 | 良惡性腫瘤 | 肝囊腫 | 肝膿腫 | | 肝包蟲病肝血管瘤 | 肝內膽管結石 | 脂肪肝 | 中毒性肝病 | 自身免疫性肝病 | 黃疸 | Gilbert綜合徵 | 多發性肝囊腫 | 肝海綿狀血管瘤 | 酒精性肝硬化 | 原發性膽汁性肝硬化 | 肝癌 | B肝 | A肝 | C肝 | 膽汁淤積 | 肝腫大 | 門脈高壓症 | 腹水 | 肝性腦病 | 肝功能衰竭| 脾大| 膽管結石

