概述
腎皮質腎皮質膿腫90%以上為葡萄球菌感染所致,葡萄球菌多來源於身體其它感染部位經血液途徑感染腎臟。大多數腎皮質膿腫位於一側腎臟。
腎皮質膿腫主要(90%)是由金黃色葡萄球菌從遠處感染灶(常為皮膚感染)經血行播散引起。常見誘因有靜脈注射、糖尿病和血液透析。上行感染很少引起腎皮質膿腫。開始形成小膿腫隨後逐漸擴大並融合成充滿膿液的厚壁炎性腫塊。最後可穿破腎被膜形成腎周膿腫。大多數腎皮質膿腫累及單側(97%),並好發於右側(63%)。
疾病病因
致病菌有革蘭陽性球茵和革蘭陰性桿菌或結核桿菌。多在腎結石、腎結核、腎盂腎炎、腎積水等疾病的基礎上.並發化膿性感染而形成。
診斷檢查
膀胱鏡檢查可見患側輸尿管口噴膿尿。B型超聲顯示為腎盂積膿。排泄性尿路造影或放射性核素腎圖提示患側腎功
腎皮質膿腫檢查:
實驗室檢查:血象示中等度到重度白細胞升高和核左移。在膿腫尚未破入腎盂腎盞之前,尿液正常,尿培養無菌生長,血培養常陰性。根據腎臟病變,腎功能損害的嚴重程度,血清肌酐和尿素氮可正常或升高。並發於糖尿病的腎臟腫患者尿糖陽性、血糖升高。
影象學檢查:對腎皮質膿腫的診斷及鑑別診斷須做影象學檢查。排泄性尿路造影通常僅能發現一些非特異性的改變,腎皮質膿腫增大時,可發現占位性病變的影象。鎵(Ga67)枸椽酸鹽和銦In111示蹤的白細胞作放射性同位素掃描對診斷有幫助。腎皮質膿腫融合併形成充滿膿液的厚壁腫塊時,腎B超檢查可證實。但在膿腫形成的初期,腎超音波檢查易將腎膿腫誤診為腎腫瘤。同樣,腎動脈造影也不能將腎膿腫與缺血性或囊性腎腫瘤相鑑別。診斷腎膿腫最準確的影象學檢查是CT掃描。在超聲或CT指導下進行穿刺吸膿不僅可明確診斷和確定致病菌,同時也可建立引流通道進行治療。
輔助檢查
腎皮質膿腫實驗室檢查:血象示中等度到重度白細胞升高和核左移。在膿腫尚未破入腎盂腎盞之前,尿液正常,尿 培養無菌生長,血培養常陰性。根據腎臟病變,腎功能損害的嚴重程度,血清肌酐和尿素氮可正常或升高。並發於糖尿病的腎臟腫患者尿糖陽性、血糖升高。
影象學檢查:對腎皮質膿腫的診斷及鑑別診斷須做影象學檢查。排泄性尿路造影通常僅能發現一些非特異性的改變,腎皮質膿腫增大時,可發現占位性病變的影象。鎵(Ga67)枸椽酸鹽和銦In111示蹤的白細胞作放射性同位素掃描對診斷有幫助。腎皮質膿腫融合併形成充滿膿液的厚壁腫塊時,腎B超檢查可證實。但在膿腫形成的初期,腎超音波檢查易將腎膿腫誤診為腎腫瘤。同樣,腎動脈造影也不能將腎膿腫與缺血性或囊性腎腫瘤相鑑別。診斷腎膿腫最準確的影象學檢查是CT掃描。在超聲或CT指導下進行穿刺吸膿不僅可明確診斷和確定致病菌,同時也可建立引流通道進行治療。
臨床表現
腎皮質膿腫腎皮質膿腫好發於20~40歲的中青年患者,男女比例為3∶1,典型的臨床特徵為發病急驟、寒戰、發熱、腰痛、肋脊角壓痛,在病程早期,膿腫尚未破入腎盂腎盞之前,不出現泌尿系症狀。體格檢查有時可發現腰部腫脹,側腹部痛性腫塊以及生理性脊柱前凸消失。
腎積膿的臨床表現主要為全身感染症狀,如畏寒、高熱,腰部疼痛並有腫塊,病程長者可消瘦、貧血。如尿路為不完全性梗阻、膿液沿輸尿管排入膀胱而出現膀胱炎症狀。
腎皮質膿腫好發於20~40歲的中青年患者,男女比例為3∶1,典型的臨床特徵為發病急驟、寒戰、發熱、腰痛、肋脊角壓痛,在病程早期,膿腫尚未破入腎盂腎盞之前,不出現泌尿系症狀。體格檢查有時可發現腰部腫脹,側腹部痛性腫塊以及生理性脊柱前凸消失。
治療
腎皮質膿腫傳統的治療措施是抗生素與手術引流相結合。最近單用抗生素已成功地治癒了腎皮質膿腫(特別是金黃色葡萄球菌引起的)。被推薦用於金黃色葡萄球菌感染的抗生素有新青黴素Ⅱ和新青黴素Ⅲ,100~200mg/kg,靜脈注射,每4小時1次。萬古黴素,每次1g靜脈注射,每12小時一次。先鋒黴素Ⅴ,每次2g,靜脈注射,每8小時1次。上述抗生素可輪換使用,靜脈注射連續10~14天,然後改為口服,連續14~28天。如果治療48小時後,病情無好轉,再應考慮為耐藥菌株感染或合併有其他疾病,如腎周膿腫。此時需在超聲或CT引導下經皮膚膿腫穿刺引流,如果引流後病情仍無明顯改善,則需進行外科手術。
預防保健
積極處理金黃色葡萄球菌的感染。
1.足量有效的抗生素。常見致病菌為金葡球菌,可選用青黴素和頭孢類抗生素,耐藥菌株感染宜選用耐酶青黴素和具有抗β內醯胺酶能力的其它抗菌素,如新青黴素0.5-1.0g,4次/日,頭孢唑林鈉2.0g 靜注,2次/日,頭孢呋肟1.0g,2次/日。
在慢性腎盂腎炎基礎上發生的腎皮質膿腫,應根據血或尿細菌培養和藥敏試驗結果選用抗生素。
2.全身對症支持療法。
病例
腎葉性腎炎CT檢查分別使用GE9000Ⅱ及Shimadzu4500T型CT掃描機,層厚和間距均為10mm。首檢時全部病例做平掃及增強檢查。
結果
圖1圖1 左腎未成熟膿腫。增強掃描左腎中上極後方類圓形低密度灶,穿破腎包膜,擴展至腎後旁間隙,在此間隙內的病灶液化壞死明顯
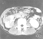
圖21例孤立性腎周圍膿腫,平掃顯示右腎向前外方移位,其內後方見大片液性低密度區,間以多數等密度粗大間隔,病變擴展至腎後旁間隙並累及背側肌群。增強掃描示膿腫間隔有中度增強,右腎功能低下(圖3)。
圖3 孤立性腎周圍膿腫。增強掃描右腎向前外後移位,其內後方巨大不規則液性低密度區,間以數個輕中度強化的間隔
1例腎周圍炎平掃表現為右腎中部後緣局限性丘樣隆起,增強掃描呈中度均一強化的新月形病灶。
圖3圖4 右腎炎性腫塊,平掃右腎中下極前方等密度腫塊腎盂閉塞
圖5 同圖4病例。增強掃描呈實性腫塊,中心有斑片樣低密度灶
急性腎葉性腎炎4例,單葉性損害3例,多葉性損害1例。平掃腎葉性腎炎呈楔形或扇形略低密度者2例,呈等密度或略高密度者2例。注射造影劑後,全部病灶顯示為楔形或扇形低密度,有中等程度不均一強化,但明顯低於周圍正常腎質的增強,界限清楚或較清楚。
討論
圖4急性腎葉性腎炎增強掃描具有典型、特徵性表現,即病變呈楔形或扇形的低密度“葉性損害”,如累及多個腎葉,則可觀察到多個類似的病灶。成熟的腎膿腫呈圓形或橢圓液性低密度灶,有完整的膿腫壁,厚薄均勻,增強掃描壁有明顯強化。未成熟的腎及腎周圍膿腫的診斷有時會遇到困難,增強掃描呈類圓形或不規則狀的“非葉性損害”,有中度不均一強化,如發現腎周圍間隙內有較明顯的液性低密度區及周邊的膿腫壁,腎筋膜和橋隔增厚等徵象,診斷不難成立。如病灶僅有中心部分,且較小的不規則液化壞死區則須注意和腎癌鑑別。腎臟炎性腫塊的診斷困難,平掃及增強表現為腎臟及其相對應腎周圍間隙內的局限性、實質性腫塊,有明顯的占位效應及中度不均一強化,和腎癌表現類似,其診斷應密切結合臨床。
圖5