概述
腎皮質壞死臨床表現
腎皮質壞死皮質壞死可以類似其他類型的腎衰竭。當尿量突然減少,又無輸尿管或膀胱梗阻的證據或存在有引起皮質壞死情況者,有血尿出現時,醫生應懷疑腎皮質壞死。常存在發熱。血壓輕微升高或低血壓也是常見的。
所產生少量的尿液中含有蛋白、大量紅細胞並有白細胞和管型(紅細胞、白細胞和其他碎片的團塊)。在血液中可測得的某些酶的水平,在本病早期階段可以異常地高。
病因
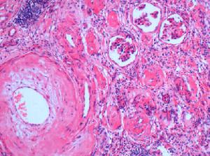
壞死的腎皮質細胞腎皮質壞死可在任何年齡發生。女性中,妊娠的併發症(如胎盤早剝,前置胎盤,子宮出血,產褥期膿毒症,羊水栓塞,宮內死亡,先兆子癇)占病例的50%以上,而細菌性膿毒症占30%.其他原因包括溶血性-尿毒症綜合徵,移植腎超急排斥,燒傷,胰腺炎,蛇咬和中毒(如磷,砷)。約10%病例發生於嬰兒和兒童期。在新生兒中,50%以上的病例是由胎盤早剝引起,其次常見的原因是細菌性膿毒症。兒童中,感染,細胞外容量丟失,休克和溶血性-尿毒症綜合徵是常見的原因。可疑的機制包括血管痙攣,凝血機制的激活,內毒素,免疫性損傷和直接的內皮細胞損害。損害極其類似於動物試驗中一般的Shwartzman現象。
腎皮質壞死是因各種疾病引起腎皮質小動脈梗阻的結果。其他原因包括移植腎的排斥、燒傷、胰腺炎症(胰腺炎)、損傷、蛇咬傷和中毒。例如磷和砷中毒。
診斷
腎皮質壞死明確診斷通過活檢顯示片狀或瀰漫性皮質壞死,但腎臟放射學造影是有用處的。系列放射學造影中最初顯示腎臟增大,其漸漸縮小,有時在6~8周內可達正常的約50%.在這個階段,鈣化出現,常常為線狀的,在皮髓質交界處特別明顯。
通常通過超音波或CT掃描可以確立診斷。腎活檢或動脈造影也可以進行檢查,但大多數病例不需要做。X線片上見到鈣沉積提示腎皮質壞死。但是這一情況發生在疾病晚期,病變開始癒合,而且在病人中僅見20%~50%。
治療
腎皮質壞死儘管加速的病因和延長的無尿期可能使臨床表現複雜化,但治療與急性腎衰的其他形式相似。套用一切合適的方法,包括維持性透析以使殘餘功能恢復。一些病人幾個月後可能重新獲得足夠的功能而不需繼續行維持性透析。然而,長期透析或腎移植通常是必需的。
經過多年臨床經驗積累,目前比較一致的看法是,當病人腎功能處在早、中期損害階段,即腎小球濾過率(GFR)大於25毫升/分鐘左右時,蛋白攝入每日每公斤體重為0.6克左右比較適宜,同時必須補足熱量。近年,有人還主張補充必需胺基酸製劑或α酮酸胺基酸製劑。但這類製劑價格較高,限制了其使用範圍。
在低蛋白膳食中,要以優質蛋白質為主,如奶類、蛋類、魚類及瘦肉類,膳食中熱能必須充足。每公斤體重最少為35千卡。在膳食中如何提高優質蛋白質量,降低植物蛋白質的量,現在臨床經常採用麥澱粉來作為熱能的主要來源。也可用玉米澱粉、土豆澱粉代替大米和麵粉。因澱粉中植物蛋白低,每100克含0.4~0.6克的植物蛋白,而麵粉中的植物蛋白為每100克含有6~10克。臨床上將節約植物蛋白質來用動物蛋白質如雞蛋、牛奶、瘦肉等加以補充,從而滿足體內的生理需要。這樣可以滿足熱能需要,另一方面還可糾正體內胺基酸代謝異常。
除澱粉外,膳食中還可採用含熱量高,蛋白質低的食品作為熱能的主要來源,如土豆、山藥、芋頭、地瓜、藕、南瓜、冬粉、荸薺、藕粉、菱角粉、荸薺粉、團粉等,含非必需胺基酸高的食品應限食,如乾豆類、豆製品,硬果類及穀類等。
(1)蛋白質的攝入量
腎皮質壞死現將一些臨床化驗數值標準作為參考依據來限蛋白質的攝入量列表如下:
慢性腎功能衰竭限蛋白質攝入量標準
內生肌酐清除率(GFR)血清肌酐(Scr)血尿素氮(Bun)蛋白質攝入量蛋白質攝入量
毫升/分毫克/分升(毫摩爾/升)毫克/分升(毫摩爾/升),克/日克/公斤體重/日
腎功能不全期20~40<4(3536)<40(14.28)40~600.7~1.0
早期尿毒症期10~204~840~8035~400.5~0.6
(353.6~707.2)(14.28~28.56)
尿毒症期5~108~1280~12025~350.4~0.5
(707.2~1060.8)(28.56~42.84)
晚期尿毒症期<5>12>12020~250.3~0.4
(1060.8)(42.84)
註:晚期尿毒症限蛋白質嚴格。只宜短期,1~2周后即應採取其他措施。
兒童病人因存在生長發育的因素,對此類病人蛋白質限量最好不低於1.0~2.0克/公斤體重/日。優質蛋白質還要占50%以上。熱能必須供給充足。經常觀察血尿素氮變化即可判斷所供給的量與質是否得當。
(2)必需胺基酸飲食療法
近十年來尿毒症飲食治療的一個進展是,當腎功能惡化單採用高生物價低蛋白飲食已不能保持適當的尿素氮水平時,必需再降低蛋白質的攝入量,同時加入必需胺基酸製劑。常用的劑型有粉劑、片劑、糖漿等,尚可靜脈供給。粉劑可以和麥、玉米澱粉做成各種點心進食。
慢性腎功能不全患者血漿必需胺基酸比例低而非必需胺基酸高。有些學者發現上述飲食利用好,易於獲得氮平衡。有學者認為口服必需胺基酸能促進肝臟蛋白合成,靜脈注射則促進肌肉合成。採用必需胺基酸,蛋白質攝入量比高生物價低蛋白飲食更低,既能滿足體內必需胺基酸的需要,容易獲得氮平衡,又能減少氮代謝產物;同時可減少磷的攝入量,故能減輕鈣質沉積對腎單位的損害。此外,蛋白質的選擇不限於高生物價蛋白,這樣有利於調節病人口味,使患者更易於接受。
(3)熱能的供給
在低蛋白質(30~50克/日)膳食時熱能供給必須充足。供給熱能與氮之間的比例最好達到300~450千卡∶1克。熱能每日攝入最少為35千卡/公斤體重。每日約2000~2500千卡。
(4)鈉與鉀
若合併浮腫和高血壓(舒張壓大於110毫米汞柱),應限鈉鹽,限鈉在40毫克當量/日(920毫克/日)較為適宜(相當於無鹽膳食)。若病人服用利尿劑或伴有嘔吐、腹瀉時,不應再限鈉鹽,甚至還需補充。
若病人合併高血鉀症時,攝入量每日應低於40~60毫當量(1560~2340毫克)。若每日尿量大於1000毫升和血鉀量正常時不必再限鉀攝入量。限鉀膳食應避免食用果汁,慎重選食蔬菜及水果。若病人每日尿量增多,大於1500毫升時應觀察血鉀含量,過低時還須補鉀。
(5)鈣與磷、鎂
腎皮質壞死腎小球濾過率降至40~50毫升/分時,使磷的濾過的排出減少,導致血磷升高。若腎功能進一步惡化,血磷的升高不能控制,高血鱗及腎實質的損害使腎臟合成活性維生素D能力減退,血鈣濃度下降,誘發骨質疏鬆。理想的治療膳食應提高鈣含量降低磷含量。含鈣豐富的食品有牛奶、綠葉蔬菜、芝麻醬等。但有時因病情複雜難以達到理想目的時,臨床一般按常規,以藥物製劑加以補充調整。例如,成年人當腎小球濾過率(GFR)在20~25毫升/分,每日給病人口服鈣劑(如碳酸鈣,乳酸鈣或檸檬酸鈉)1~2克。為了減少腸道磷吸收,給病人口服氫氧化鋁或碳酸鋁乳膠,使與磷相結合排出體外。膳食中掌握磷攝入量的標準是當病人腎小球濾過率(GFR)小於25毫升/分時,膳食中每日的含磷量應在45~52毫當量(700~800毫克)。同時還不得停服氫氧化鋁乳膠。
慢性腎衰病人由於長期限制飲食或繼發甲狀旁腺機能亢進,也抑制了鎂的吸收,此時鎂可能處於平衡狀態。但當病人尿少時,若有大量鎂負荷時就很難排出體外,體內過剩的鎂可能產生血鎂過高,此時應當限制攝入量。
(6)液體及水平衡
對病人掌握液體出入量平衡很重要。一般視排出量決定攝入量。排出量全日包括尿液、呼吸及皮膚蒸發和消化液等。一般經皮膚、呼吸等全日失水量約為700~1000毫升,而食物進入體內經過代謝作用還可產生一些水約每日300~400毫升,兩者相減則每日除排出尿液之外總失水量約為500毫升。故病人每日入液量可視前一日的排尿量再加上500毫升左右水作為補充的參考。但當病人合併發燒、嘔吐、腹瀉等症狀時就應再多補充液體。當整體病情有所緩解後,入液量每日可在1200毫升左右。
(7)維生素的補充
病人因代謝異常及營養攝入量不足體內水溶性維生素水平會下降,又因鈣、磷代謝異常影響活性維生素D的合成,故此各種維生素的補充對患者非常重要。
(8)碳水化合物與脂肪
慢性腎衰病人約有40%~60%合併有Ⅳ型高脂血症(糖類誘發的高甘油三酯血症),除由於內源因素造成以外,與治療膳食內容中碳水化合物及脂肪成分比例較高有一定關係。由於脂肪代謝紊亂,誘發動脈粥樣硬化。因此,在脂肪供給上要注意不飽和脂肪酸與飽和脂肪酸的比值(P/S)。有的學者認為在一定熱量供應下,P/S值以1∶1.5為佳。在以採用素油為宜。
總之,慢性腎衰的飲食應是低鹽、低蛋白、高熱量、適當微量元素及維生素飲食,再配合中藥治療可延緩腎功能衰竭進程,可減少或延緩腎功能衰竭血液透析時間。
