基本簡介
腎乳頭壞死英文名:renalpapillarynecrosis
別 名:壞死性乳頭炎;腎髓質壞死;medullarynecrosisofkidney;medullarynecrosisofkidney
腎乳頭壞死(RenalPapillaryNecrosis,RPN)又稱壞死性乳頭炎或腎髓質壞死,其本質是腎乳頭及其鄰近的腎髓質發生缺血性壞死。本病可發生在多種疾病主要是引起慢性小管間質性腎病的疾病,這些慢性小管間質性腎病時腎臟內髓帶病變常較嚴重。其基本病變是腎臟血循環受損,引起一個或多個腎錐體遠端的局限性或瀰漫性缺血壞死常見臨床表現是在尿路梗阻或嚴重的小管間質性腎病的基礎上發生的發熱、血尿、急性腰痛、尿路絞痛和尿路梗阻少數表現為急性腎功能衰竭、慢性腎功能衰竭或尿濃縮功能損害在部分病例伴有尿路上皮腫瘤在受損的腎乳頭病變有清楚的界限,早期階段見到凝固性壞死這些特點與梗死(infarction)的病理變化非常相似。
本病於1877年由vonFriedreich首先報導,1948年Gunther報導1例29歲病人,並指出腎乳頭壞死可見於許多疾病,如糖尿病、尿路梗阻、止痛藥腎病、腎盂腎炎、鐮狀細胞病、腎結核、巨球蛋白血症、流行性出血熱等,其中以糖尿病合併腎盂腎炎的發生率最高,占腎乳頭壞死病因的50%~60%。
發病原因
糖尿病1.糖尿病
糖尿病是最常見的與腎乳頭壞死相關的疾病占大宗報導的RPN病例的50%~60%腎乳頭壞死復發的病例多數為糖尿病患者一項靜脈腎盂造影研究結果顯示:在接受檢查的胰島素依賴型糖尿病患者中25%有腎乳頭壞死。
2.梗阻性腎病
在大宗報導中梗阻性腎病占RPN病因的15%~40%。
3.腎盂腎炎
腎乳頭壞死嚴重的腎盂腎炎是腎乳頭壞死的常見病因之一,特別是發生在糖尿病或尿路梗阻患者的腎盂腎炎。由於感染既可以是腎乳頭壞死的病因,也常常並發於RPN又可繼發於糖尿病,因此感染在腎乳頭壞死病因中所占的比例難於確定。
4.鎮痛藥濫用
鎮痛藥濫用,特別是含有非那西汀的鎮痛合劑以及大劑量的其他鎮痛藥的套用,可引起腎乳頭壞死。在美國鎮痛藥占RPN病因的15%~20%;而在鎮痛藥濫用普遍的國家,鎮痛藥可占RPN病因的70%。接受鎮痛藥治療的兒童也可發生腎乳頭壞死。
5.血管炎
(1)移植腎血管炎:移植腎排斥引起的血管炎可使供應乳頭的血管阻塞,導致乳頭缺血壞死,此外患者原發疾病如糖尿病、鐮刀細胞血紅蛋白病等,也可引起移植腎乳頭壞死。
(2)WEGNER肉芽腫。
(3)壞死性血管炎:包括結節性多動脈炎、變應性血管炎、微血管炎等。
6.鐮狀細胞血紅蛋白病。
肝臟疾病肝臟疾病尤其是酒精性肝病,可引起腎乳頭壞死。
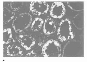
乳頭型也叫全乳頭壞死以乳頭的壞死、分界和分離為特點。壞死早期可見乳頭腫脹,黏膜正常,腎盞正常。進行性壞死則使黏膜喪失造影見乳頭不規則,邊沿模糊隨著壞死乳頭的分離,開始形成竇腎盂造影見竇成弧形。當整個壞死乳頭與正常組織分離開時造影可見圍繞竇內壞死乳頭的環形影。在少數病例,壞死乳頭脫落至腎盂,可在尿中發現但在多數病例,壞死的乳頭不脫落,而是被吸收或保持在遠處,之後壞死的乳頭被鈣化或形成結石的核心。如壞死乳頭被吸收或脫落造影可見正常乳頭部位形成“杵狀腎盞”;如壞死乳頭在原處被鈣化,造影可見圍繞竇內壞死乳頭的環形影。脫落的壞死乳頭以及由此形成的結石,可造成尿路梗阻。
腎乳頭壞死可局限於少數幾個乳頭或發生在許多乳頭可累及單側或雙側腎臟,多數患者雙腎受累有報導在一側腎臟發生RPN的患者在之後的4年內發生另一側腎臟的乳頭壞死。
發病機制:
腎乳頭壞死的主要發病機制可能是由於各種病因所致的腎髓質血流量不足導致缺血性壞死。如糖尿病引起的微血管病變或鐮狀細胞病引起的血流障礙等。
本病的發生與腎臟髓質錐體血供的解剖生理特點及腎缺血髓質乳頭血管病變與感染有關腎臟血流量的85%~90%分布在皮質髓質僅占10%~15%,越近腎乳頭血供越少且皆源於髓旁腎單位的出球小動脈經直小血管而來受髓質中溶質濃度和滲透壓梯度的影響,血液黏稠度逐漸增高,血流緩慢,是為缺血性壞死的常見部位;伴發的基礎疾病如糖尿病止痛劑腎病、高尿酸血症等本身即可引起慢性間質性腎炎和腎小血管病變,止痛劑腎病、鐮狀細胞性貧血、巨球蛋白血症等致乳頭區受高濃度酸性物質刺激及血液異常高黏滯尿路梗阻時腎盂、腎盞及腎小管內壓增加這些因素均可導致髓質乳頭部嚴重缺血和壞死,兼之病人全身及局部對細菌侵襲易感性增加容易並發腎臟與泌尿道感染進一步加重腎錐體血供障礙和組織壞死。臨床發現約半數以上腎乳頭壞死病例存在兩種或更多(如糖尿病合併尿路感染)的致病因素,易患因素越多,發生率越高。
流行病學
本病是一種嚴重的腎間質疾病,其發病率澳大利亞最高,約為4%,在美國其發生率為0.16%~0.25%我國報導較少具體數字不很清楚。女性多於男性。發病多見於較大年齡組平均年齡53歲,超過90%的病例發病年齡在40歲以上半數病例在60歲以上。兒童罕見慢性經過的腎乳頭壞死但有低氧血症脫水或敗血症引起急性腎乳頭壞死的報導。
臨床表現
血尿併發症:
持續腎小管酸中毒可引起進行性腎功能減退,終致慢性腎衰竭、尿毒症;嚴重雙側廣泛性腎乳頭壞死者可出現急性腎功能衰竭。
科學診斷
腎乳頭壞死1.有慢性間質性腎炎腎盂腎炎、集合管出口受阻、上尿路梗阻等病變。
2.尿液檢查可見壞死的乳頭組織。
3.IVP腎乳頭部位有環狀陰影或缺損,髓質或乳頭鈣化陰影腎影縮小和輪廓不規則。
在有引起腎乳頭壞死的原發疾病的患者特別是在尿路梗阻或嚴重的小管間質性腎病的基礎上出現發熱、血尿、急性腰痛、尿路絞痛和尿路梗阻,或長期多尿和夜尿,應考慮到腎乳頭壞死糖尿病患者出現長期多尿和夜尿,不應籠統考慮為糖尿病性多尿,應注意發生腎乳頭壞死的可能表現為長期多尿和夜尿的病例應與其他慢性小管間質性腎病(包括腎髓質囊性病)、腎小管酸中毒、尿崩症等進行鑑別。
逆行或順行腎盂造影是本病主要診斷手段腎活檢可幫助排除腎小球腎炎和其他間質性腎炎。在尿中找到壞死的腎乳頭可確診RPN,在可疑病例應收集全部尿液,用濾紙或紗網過濾尋找乳頭組織。
應對腎乳頭壞死患者進行糖尿病、血管炎、尿路梗阻酒精性肝病、鐮狀細胞血紅蛋白病靜脈血栓等病因檢查對於以感染為病因的腎乳頭壞死患者應進一步檢查引起感染的原發病,如糖尿病尿路梗阻等。
鎮痛劑腎病(AN)腎乳頭壞死與反流性腎病(RN)腎乳頭壞死的鑑別診斷見表1,
表1鑑別診斷:
腎乳頭壞死需與慢性梗阻性腎病、結核髓質海綿腎和其他引起髓質鈣化的疾病作鑑別;表現為長期多尿和夜尿的病例應與其他慢性小管間質性腎病(包括腎髓質囊性病)、腎小管酸中毒、尿崩症等進行鑑別。如髓質囊腫病其表現是對稱性受累,常合併腎功能顯著下降。反流性腎病放射線學明確證實輸尿管受累且在兒童期有反流的病史腎臟腫瘤,其發生在單側而腎乳頭壞死往往是雙側性病變腎結核可通過抗酸桿菌培養區別這兩類疾病。
腎乳頭壞死1.尿液化驗:有血尿,肉眼血尿占20%,顯微血尿為20%~40%;如大量血尿合併失血性貧血者需要做腎切除手術。50%~60%的患者發生白細胞尿;80%的患者存在中度蛋白尿菌尿可出現泌尿系感染者,菌尿呈陽性。尿中找到脫落的腎乳頭壞死組織。
2.急、慢性腎衰竭則有相應的化驗改變。
其它輔助檢查:
1.B超檢查:其檢查的價值有限,除非在梗阻性腎病其引起腎乳頭壞死或繼發的壞死乳頭殘留在腎盞。
2.X線檢查
(1)KUB平片:早期放射線學檢查可能是陰性靜脈腎盂造影發現造影劑進入未完全脫落的腎乳頭周圍和(或)腎乳頭區發現有杵狀或斑狀充盈點,造影劑進入乳頭脫落後的空洞內和(或)腎小盞邊緣有“蟲蝕樣”改變。
(2)X線檢查表現為:
B超檢查②髓質壞死型:當壞死組織深在錐體之內未與腎盞溝通時造影無改變,而瘺管形成與腎盞相通後才出現上述現象。
(3)IVP是本病最有價值的診斷方法:
①腎乳頭部位有環狀陰影或缺損。
②髓質或乳頭鈣化陰影。
③腎影縮小和輪廓不規則。
治療預防
維生素E2.本病的治療原則主要是針對病因治療,原發病消除誘發因素改善腎臟血供減輕不適症狀,促進腎臟修復。治療方案包括儘量尋找基礎疾病控制基礎疾病的發展,消除誘因;活血化瘀,疏通腎內循環,增加腎臟血流量,改善髓質血供;解痙止痛止血等對症治療;腎功能不全的採用血液淨化治療。
3.治療方案
(1)積極治療基礎疾病:如有糖尿病積極控制血糖、血脂血壓;有尿路梗阻的早日解除梗阻;服用鎮痛藥者儘快停用鎮痛藥;鐮狀細胞病或巨球蛋白血症者要治療原發病、稀釋血液減少血液黏稠度。
(2)積極控制感染:無論是原有腎盂腎炎的基礎疾病,還是在其他疾病基礎上新發的腎盂腎炎都要用強有力的抗生素積極控制感染有複雜因素的要儘快消除如結石、血塊、壞死組織塊引起的尿路梗阻以及留置的導尿管。有藥敏結果的參照藥敏結果無藥敏結果的可先選用對革蘭陰性桿菌療效比較好腎毒性比較小的第三代頭孢抗生素如腎功能尚可,也可選用第三代喹諾酮類抗生素。
(3)增加腎臟血流量:腎乳頭壞死的病理基礎是以腎乳頭為中心的腎髓質血流障礙、缺血,因此應該活血化瘀疏通腎內循環增加腎臟血流量改善髓質血供、減輕腎臟損害。可用低分子右鏇糖酐加複方丹參注射液靜脈點滴,靜脈套用適量的肝素或尿激酶,以及小劑量的多巴胺、雙嘧達莫、維生素E等具體用法、用量可根據血液黏稠度血管彈性等血液流變學指標決定還可在早期於局部給予腎區透熱腎囊周圍封閉以及肌肉或皮下注射雙氫麥角鹼0.3~0.6mg,每天或隔天1次,以改善腎乳頭血供血尿明顯時暫時不用上述方法禁用非甾體類抗炎藥,因這類藥物可抑制前列環素的合成,減少腎臟血流量。
(4)解痙、止痛止血:腎乳頭壞死組織脫落時,常出現血尿;出血明顯時,應予以止血治療;大量出血時應輸注新鮮血或濃縮紅細胞;壞死組織、血塊阻塞輸尿管時可出現腎絞痛,可給予阿托品、哌替啶等解痙、止痛;還可插入輸尿管導管用尿激酶沖洗腎盂或留置引流,並可由此注入抗生素;如無水鈉瀦留鼓勵病人多飲水加強輸液促使壞死組織或血塊排出。
(5)血液淨化治療:雙側廣泛腎乳頭壞死出現急性腎衰竭時,按急性腎衰竭處理必要時行血液淨化治療。
(6)其他治療:脫落的乳頭常能自動排出偶爾需要外科手術。對發生持續大量血尿的個別嚴重病例需要行腎切除治療。
①對單側急性腎乳頭壞死如呈暴發性感染,或乳頭壞死大量血尿不止或引起嚴重梗阻者,可作病腎切除。
②對過敏反應所致者可給予腎上腺皮質激素治療。
③合併水電解質酸鹼平衡紊亂高血壓時積極糾正紊亂、控制血壓。
四君子湯中醫認為本病主要是由於濕熱所傷而致脾腎虛損、氣滯血淤而發病,故治療首先應以清利濕熱為主繼之調理脾腎佐以理氣化瘀腎乳頭壞死的中醫辨證治療:
①濕熱蘊蒸型:小便頻數灼熱刺痛,淋瀝不暢,點滴而下,尿色黃濁,小腹墜脹或有腰痛拒按,或伴發熱寒戰,口苦惡嘔,或大便秘結舌質紅,苔黃膩,脈滑數。
治療方法:清熱解毒利濕通淋。
基本方藥:加味二妙散加減:方用黃柏、蒼朮、通草、車前子、萆薢、當歸、懷牛膝、蒲公英。
②脾腎兩虧型:小便頻數,尿血不思飲食,便溏或伴噁心嘔吐,腹脹,精神困憊,面色萎黃腰膝酸痛,或夜尿清長舌質淡脈虛弱。
治療方法:健脾益氣補腎固攝。
基本方藥:四君子湯合無比山藥丸加減:方用人參、黃芪、白朮、茯苓、山藥、蓯蓉、生地、山萸肉、菟絲子、巴戟天、紫珠草、白茅根、陳皮。
③血淤阻滯型:腰痛固定不移,輕則俯仰不便,重則因痛劇不能轉側,疼痛如刺,痛處拒按尿血,或尿中挾有小血塊,舌質紫暗或有瘀斑瘀點,脈細澀。
治療方法:活血化瘀,理氣止痛。
基本方藥:身痛逐淤湯加減:方用桃仁、紅花、當歸、五靈脂、制香附、懷牛膝、地龍、茜草、三七粉、川芎。
預後:
由於腎乳頭不能再生因此本病預後主要取決於發病時腎乳頭損害的嚴重程度引起腎乳頭壞死的原發病因能否去除也決定著腎乳頭壞死的預後。對感染和梗阻的有效治療可防止本病的進展。
預防:
主要是積極尋找原發疾病並及時給予有效治療爭取時間儘早恢復腎功能,以防病情發展致腎乳頭壞死階段。已有明確診斷的病人更應充分休息,抓緊中西醫結合治療以延緩腎功能惡化。
