簡介
糖尿病性腎病變糖尿病腎病(diabeticnephropathyDN)是糖尿病引起的嚴重和危害性最大的一種慢性併發症由糖尿病引起的微血管病變而導致的腎小球硬化是本症的特點亦是IDDM患者主要死因糖尿病患者出現的感染性病變如腎盂腎炎腎乳頭壞死,大血管病變如腎動脈硬化,不屬糖尿病腎病的範疇。
隨著糖尿病治療手段及技術的不斷進步死於糖尿病急性併發症如酮症酸中毒的患者越來越少而糖尿病並發的心血管疾病和腎臟疾病卻成為近年來糖尿病患者的主要致死致殘原因糖尿病腎病不僅出現在1型糖尿病近年來發現這2型糖尿病也會發展成為糖尿病腎病1型的發生率為30%~40%2型糖尿病的發生率為20%由於2型糖尿病患者人數在逐年增加DN的發病人數也相應增加其對社會的危害程度不可低估。糖尿病腎病的發生髮展過程緩慢,臨床一旦出現腎損害,即持續性蛋白尿則病程已難以逆轉,往往進行性發展至腎功能衰竭故對糖尿病腎病要高度重視,儘可能做到早期診斷早期治療,以阻止和延緩糖尿病腎病的發生和發展。
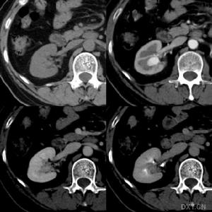
糖尿病性腎病變DM的發生率在20世紀70年代約占1%目前已升至3%~5%腎臟累及占30%~35%(臨床上出現微量蛋白尿)。DN的發生率存在種族差異美洲印第安人最高,其次是黑人,亞洲人相對低些。1型和2型在DIN的發生率及DN出現的時間有明顯不同;1型的發生率可高達40%而2型則在20%左右。由於DM中2型人數占了90%2型DM所致的DN在絕對人數上要遠遠超過1型DM所致且該趨勢還在上升目前DN所致ESRD已成為歐美等已開發國家的首要原因我國雖然尚無大樣本的確切資料但在各大透析中心DN所致ESRD需行維持透析的病人數每年都以驚人的數字在增加已是不爭之事實,據WHO資料統計2000年世界患糖尿病總人數為1.75億,中國為300萬例本病已成為第3位慢性病。
併發症
糖尿病引起的視覺異常也是主要併發症之一。半數左右病程在10年以上的糖尿病患者會有某種程度的視網膜病變,而病程15年以上這一比例高達80%。糖尿病視網膜病變患者須配合專科醫生進行治療,治療方法有藥物治療、手術治療等。
嚴格控制血糖是防治視覺異常的根本措施。血糖控制不好的糖尿病患者20年後有80%以上發生視網膜病變,而控制良好的患者只有10%左右出現病變,差別非常大,血糖控制可延緩糖尿病視網膜病變的出現。此外,血壓和血脂控制也是相當重要。
患有糖尿病的婦女,應在計畫懷孕前12個月內到醫院檢查。一旦妊娠,應在妊娠的前三個月進行眼科檢查,且妊娠期密切隨訪。
臨床
糖尿病性腎病變一般資料
1996年~1999年一共收集符合DM性腎病變患者108例,隨機分為黃芪注射液治療組72例和補中益氣湯對照組36例。其中男性63例,女性45例,年齡38~82歲,平均57.2±11.4歲,病程3~32年,平均8.31±4.15年,症狀、體徵為蛋白尿(100%)、高血壓(89%)、雙下肢浮腫(82%)、氮質血症(Scr178~442umol/L)47例,尿毒症(Scr>442umol/L)9例,頭暈昏沉(100%)、神疲倦怠(99%)、心悸氣短(86%)、腹脹納呆(42%)、腰膝酸軟(62%)、舌苔滑膩(59%)、脈沉(81%)、弦(52%)、滑(87%)、細(50%),經χ2檢驗,兩組間性別、年齡、病程、體徵、症狀等均無顯著性差異(P>0.05)。
診斷標準
病例選擇採用中藥新藥治療DM及水腫的臨床指導原則中所列標準,即診斷DM且有水腫、蛋白尿、高BP、BUN、Bcr均異常者,可納入試驗標準。
觀察指標
由科研組編譯一確定觀察病例,投藥前後測量血壓、心率、脈搏、血糖、24小時尿蛋白、血BUN、血Cr、血脂及水腫分級。
治療方法:
黃芪注射液由成都地奧九泓製藥廠提供40ml+生理鹽水250ml靜脈滴注。補中益氣湯由人參15g、白朮10g、當歸30g、陳皮12g、黃芪30g、升麻10g、柴胡15g、甘草6g等組成,每天一劑,分早晚服。兩組治療期間均採用低糖、低蛋白、低磷飲食,積極治療原發病並對症治療,15天為一療程,連續觀察2個療程為一個觀察病例。
兩組分別採用等級序值檢驗、χ2檢驗、秩和檢驗,結果顯示,兩組對不同原發病、不同病程、不同性別、不同年齡的療效間無顯著性差異(P>0.05)。
判斷指標
顯效:水腫全部消退,其他症狀消失,實驗室檢查基本恢復正常;好轉:水腫及其他症狀減輕,實驗室檢查有改善;未愈:水腫及其他症狀實驗室檢查無變化。
病因
白領易得"高血糖"1.遺傳易感性DN有家庭聚集現象無論是1-DM還是2-DM患者,如果先證病例並發DN,其兄弟姐妹患DM後DN的發生率明顯增高。1-DM患者即使血糖控制很差也僅有35%最終發展為終末期DN即使是嚴格控制血糖接近正常,已經證明可明顯改善或預防DN但亦不能完全防止DN的發生與發展因此目前已經有線索提示DN具有遺傳易感性
此種易感性模式有3種:
(1)主要基因效應(majorgeneeffect):指由於某一種主要基因多態性(或突變)與血糖控制不良之間相互作用而發生DN
(2)平均基因效應(moderategeneeffects):指由於幾種基因多態性(或突變)共同與血糖控制不良之間相互作用而發生DN這幾種疾病等位基因獨立地發生作用並且出現相加作用。至於這些等位基因的作用所產生的總體效應,則要看它們在人群的出現頻率;如果在人群的出現頻率相類似,則它們每個所產生的作用較平均;如果某個基因出現頻率較高,這個等位基因則產生主要基因效應而其他幾個等位基因則產生微小基因效應。
(3)多基因效應(polygeniceffects)或微小基因效應(minorgeneeffects):既許多基因多態性(或突變)共同與血糖控制不良之間相互作用而發生DN每個等位基因對DN遺傳易感性只發揮微小作用。
DN易感基因在1-DM研究的較多多數研究證明血管緊張素Ⅱ1型受體(angiotensinⅡtype-1receptorAT1R)的基因多態性(或突變)頻率在DN患者要顯著高於無合併DN的患者,認為它可能發揮主要基因效應至於血管緊張素原(angiotensinogenAGT)基因及血管緊張素轉化酶(angiotensin-convertingenzyme,ACE)基因多態性(或突變)與DN的關係尚未得出一致得結論。有人利用TDT方法來研究AGT、及ACE基因多態性(或突變)與DN的關係,發現它們與DN有關,認為可能發揮微小基因效應。在2-DM,一個大型的Pima印第安人家族研究發現ATIR基因多態性(或突變)頻率在DN患者要顯著高於無合併DN的患者,認為它可能發揮主要基因效應;但是在其他人群研究沒有發現一致的結果另外,對AGT、ACE激肽及心房鈉尿肽醛糖還原酶等基因多態性(或突變)頻率與DN關係的研究亦未得出一致的結論由於2-DM並發DN患者的父母不少已不在人世,因此利用TDT進行家族研究較困難故亦不能確定這些基因是否是發揮微小基因效應。
2.高血糖DN的發生、發展除了與遺傳有關外,高血糖也起著非常重要的作用。嚴格控制血糖可顯著降低發生DN的危險性高血糖又是如何導致DN,這一點尚未完全闡明。但是高血糖可激活腎臟許多局部內分泌激素(或細胞因子)這些物質與DN的發生髮展有密切關係當然DN的發生機制還包括血液流變學異常紅細胞帶氧功能障礙山梨醇旁路亢進等因素,不過這些因素或多或少與腎臟局部內分泌激素(或細胞因子)有關。
(1)腎素血管緊張素系統(reninangiotensinsystem,RAS):研究發現DM大鼠腎組織中(angiotensinⅡATⅡ)水平明顯增高腎組織中ATlR表達亦明顯增加,而且臨床及實驗研究均證明套用ACE抑制劑能有效預防DN的發生與發展
(2)腎臟局部生長因子:研究發現多種腎臟局部生長因子均與DN的發生、發展密切相關,如胰島素樣生長因子血小板源生長因子及轉化生長因子B(transforminggrowthfactor-βTGF-β)等,它們可刺激腎系膜細胞增殖、系膜外基質沉積增加。其中TGF-β1研究較多有研究顯示DM大鼠腎組織中FGF-β1表達明顯增加重要的是套用ACE抑制劑後又可明顯下降因此認為其在DN發病中可能起著關鍵性作用。
(3)內皮素(endothelin,ET):ET具有強烈的收縮血管作用,其中以ETI作用最強。目前已知它可刺激腎系膜細胞增殖實驗研究發現DM大鼠腎組織中ETI及其受體表達均明顯增加,而且套用ETI受體拮抗藥可防治DN。另外體外研究顯示TGF-β1可增加腎小管細胞ETI表達。
(4)一氧化氮(nitricoxide,NO):NO具有強烈擴張血管作用,它是在NO合成酶(NOsynthaseNOS)作用下由L-精氨酸作供體合成的NOS有2種結構型NOS及誘導型NOS(InducibleNOSINOS)。DM大鼠早期腎組織中INOS表達及NO含量增加,認為可能與早期的腎血流量增加有關在DM大鼠後期的腎組織INOS表達無明顯增加,結構型NOS表達及NO含量均明顯下降。有人以L-精氨酸治療DM大鼠可預防DN的發生而長期套用NOS抑制劑則可加速DM大鼠的腎小球病變提示NO可防止DN的發生與發展上述研究提示,NO可保護DM大鼠後期的腎小球病變。同時有許多研究顯示腎組織NO與ATⅡ及TGF-β1之間可相互調節。
保護腎臟DN的發病機制是在遺傳背景基礎上由多種因素、多個系統相互作用的結果其中高血糖起關鍵作用
1.與糖代謝紊亂有關在糖尿病狀態下,肝臟、肌肉、腦等出現對糖代謝嚴重障礙而腎臟、神經眼等對糖代謝明顯增強,此時幾乎約50%的葡萄糖在腎臟代謝,一方面緩解了機體發生酮症酸中毒,高滲性昏迷等另一方面也加重了腎臟的糖負荷。在高糖時腎臟的高葡萄糖代謝主要原因是:腎細胞葡萄糖轉運體I(GlutI)活性增強,以及腎組織細胞胰島素受體的數目親和力增加胞內高糖而引起的各種損傷介質過多如IGF-11GF-βA11gⅡ等又促進GlutI的表達活性增強,使更多葡萄糖進入胞內高糖代謝紊亂主要通過3條途徑損害腎臟:
(1)晚期糖基化終末代謝產物(AGEs):葡萄糖及其他多元醇通過化學schiff鹼基反應與蛋白質游離氨基發生交聯,形成Amadori產物再經一系列反應最終形成一穩定的分子結構即AGEs。該物質有以下作用:
①使腎小球基底膜成分交聯增多:基底膜膠原纖維的平均直徑增大膠原纖維間的孔隙增大導致基底膜增厚及孔徑大小選擇性和電荷選樣性喪失濾過膜通透性增高,引起蛋白尿損害。
②使循環蛋白交聯:交聯後的蛋白特別是白蛋白更易透過濾過膜堆積在系膜區促使系膜細胞增殖及細胞外基質增多
③糖化的血管壁基質:通過AGEs捕獲滲出血管外可溶性血漿蛋白如富含膽固醇的LDL,致LDL在局部堆積促進動脈粥樣硬化。
④蛋白的糖基化:使許多功能性蛋白的調節功能受損;
⑤通過AGEs與細胞上的特異性受體(AGER)結合而激活細胞:尤其是巨噬細胞使後者分泌大量細胞因子和炎症介質引起了組織損傷促進細胞外基質的合成AGES與AGER結合還會導致細胞氧化增加,產生大量氧自由基
⑥膠原成分的不斷交聯:使其不易受膠原酶降解,加重了基底膜的增厚,系膜細胞外的基質的不斷積聚
(2)多元醇通路的激活:當血糖持續升高超過了糖原合成和葡萄糖氧化分解能力時,多元醇通道激活葡萄糖在醛糖還原酶(AR)作用下轉變為山梨醇然後在山梨醇脫氫酶作用下轉變為果糖。山梨醇不易出細胞膜而果糖在胞內不易進一步代謝。過多的山梨醇和果糖在胞內積聚引起細胞內高滲以致細胞腫脹破壞。此外,還引起胞內肌醇減少磷酸肌醇合成受限進而Na+-K+-ATPase活性下降擴血管類前列腺素產生增加,細胞結構和功能異常最終引起血流動力學異常醛糖增高,還可導致膠原合成增加細胞外基質中膠原成分的非酶糖基化作用增強,膠原降解減少促進基底膜增厚。
(3)二醯甘油-蛋白激酶C途徑激活(DAG-PKC):多元酶通路激活可產生大量輔酶NADH後者可促進DAG產生參與PKC途徑激活,PKC激活的機制主要是由於PKC從細胞內可溶性部分向細胞膜轉位DAG是該過程的主要激活物,高糖本身也可促進PKC基因表達。在腎臟主要為PKCβ異構體。
PKC激活通過以下幾條途徑導致糖尿病腎臟損害:
①通過影響血管緊張素Ⅱ(AngⅡ)或其他激素的細胞信號傳遞過程而損腎臟,
②通過影響某些特殊基因的轉錄水平:例如TGFβ1等調控細胞外基質的合成與分解,
③影響內皮細胞的通透性改變GBM的濾過功能:PKC激活通過上述途徑參與了早期DN的高灌注高濾過參與了腎小球毛細血管基底膜增加ECM的進行性積聚毛細血管通透性的改變及細胞增殖。
2.血流動力學障礙糖尿病早期,腎小球濾過率可增加約50%,這種高濾過狀態最終導致腎小球硬化其機制可能與以下幾方面有關:
(1)血流動力學改變所致的機械力和剪下力可能引起內皮和上皮細胞損害破壞正常的濾過屏障。
(2)腎小球毛細血管壁張力增高引起生長因子合成和釋放增多。此外也增強了毛細血管壁對大分子物質的通透性
(3)直接激活了PKC系統:DN早期腎臟高濾過狀態與高血糖本身密切相關,腎素-血管緊張素系統(RAS)生長激素、胰高血糖素前列腺素、NO、IGF-1高蛋白攝入等均參與其中。
3.脂代謝紊亂糖尿病患者常有脂質代謝紊亂,表現為血ChTGLDL及APOB升高,HDL和APOAI降低或正常在DN時,上述異常更加明顯。在實驗性糖尿病模型中。發現大量脂質在腎小球沉積並與腎小球損害程度相一致予特異性降脂治療如HMGCoA還原酶抑制劑或低脂飲食可防止或逆轉DN進展。脂代謝紊亂引起腎小球硬化的組織學特點類似於動脈粥樣硬化時的血管改變表現為:單核細胞浸潤泡沫細胞和含膽固醇/膽固醇酯細胞增多血管平滑肌/系膜細胞增生及ECM積聚脂質代謝紊亂促進腎小球硬化的機制可能為:
(1)腎小球脂質沉積、滲入腎小球單核巨噬細胞吞噬脂質增加,變成泡沫細胞
(2)腎內脂肪酸結構改變致腎內縮血管活性物質增加,腎小球毛細血管內壓升高。
(3)血漿黏滯度增加,紅細胞剛性變化改變了腎小球內的血液流變學。
(4)LDL特別是氧化LDL對系膜細胞單核巨噬細胞的作用
(5)膽固醇合成代謝通路的許多中間產物對NFk-B、PKC等的直接作用
(6)LDL的糖基化與AGER作用後刺激PKC及蛋白酪氨酸激酶誘導TGFβ增加。
(7)LP(a)增高:抑制纖溶酶活性導致腎小球毛細血管凝血和血栓形成。
4.血管活性因子生長因子和細胞因子的作用:
(1)血管緊張素Ⅱ:糖尿病狀態下腎內局部RAS呈異常活躍,AⅡ選擇性收縮出球小動脈導致腎內跨膜壓增高。此外AⅡ通過增加硫酸肝素糖蛋白轉運降低基底膜濾過屏障負電荷,通過增加分泌假性血友病因子及血管通透因子使內皮細胞通透性增加,綜合結果使蛋白尿增加AⅡ還作為促生長因子在DM時與高血糖協同作用,促進DN發展包括刺激TGF-βPDGFPAI-1的產生抑制細胞內蛋白酶,降低纖維蛋白的降解抑制NO合成酶及cGMP產生增加胞內PKC活性。增加近端腎小管鈉轉運給予ACEI或AT受體拮抗劑能明顯降低DN的蛋白屎,延緩腎功能進展。
(2)內皮素:在DN發病過程中,無論是早期還是晚期,均有ET在腎組織的基因與蛋白表達增加,受體亦有所上調。在早期ET表達增加,特別是ET-1主要是對抗NO的擴血管作用,作為機體的一種代償以後的進展中ET作為DN一種重要損傷介質。通過:促使球後毛細血管收縮,引起小管-間質缺血損傷強烈刺激系膜細胞。使其由G0期進入G1期,促進系膜細胞的生長與增殖使系膜細胞合成膠原及糖蛋白增加,增加腎小球上皮細胞合成蛋白多糖最後致GBM增厚系膜區擴張:刺激系膜細胞合成和釋放TNFαRDGFTGFβ等以及腎髓質產生超氧離子和過氧化氫等,對腎臟產生損害。
(3)激肽及前列腺素系統:激肽系統本身可影響腎小球血流動力學。糖尿病早期體內緩激肽水平升高作用於腎小球毛細血管內皮細胞使後者釋放EDRF,再作用於血管平滑肌,使其擴張,激肽系統還可通過活化磷脂酶A2通路激活前列腺素系統,特別是擴血管的PGE2。發揮血管舒張作用。使RPF及GFR增高糖尿病早期的高濾過有激肽系統的參與。
PG系統也參與糖尿病的高濾過:PGI2可明顯降低腎血管阻力,致RPF增加,TXA2相對收縮出球小動脈使PGC升高糖尿病時前列腺素的激活通過以下幾條途徑:DAG-PKC途徑激活磷脂酶A2使花生四烯酸釋放增加;高糖本身可直接使膜結合的花生四烯酸釋放增加;通過AngⅡ的作用;通過緩激肽、血小板活化因子等的作用動物實驗發現環氧化酶抑制劑可明顯防止腎小球高濾過,對預防DN的發生有一定作用。
(4)一氧化氮(NO):NO由NO合成酶所產生,在糖尿病腎病中NO的作用隨病程不同亦有所差異。早期NO及其代謝產物的增加與高濾過有關,在後期NO主要起保護作用予L-精氨酸給糖尿病鼠可明顯改善腎臟損害其機制可能通過:增加腎小球血流量並拮抗AⅡ的作用;抑制血小板積聚,抑制系膜細胞增生、抑制內皮細胞對白蛋白通透性抑制中性粒細胞NADPH氧化活性;降低內皮細胞氧化力抑制Ca2+催化的LDL氧化抑制PDGF、TGFβ等表達。在糖尿病後期。氧自由基、氧化LDL和AGE增多可淬滅NO予抗氧化等治療可提高糖尿病後期腎內NO水平從而起一定保護作用。
(5)心房肽ANP:糖尿病的長期高血糖導致慢性血容量擴張使ANP釋放增加。ANP可顯著降低腎血管阻力,使RPF增加PGC增加,提高GFR此外ANP還能舒張腎小球系膜細胞增加濾過面積ANP參與早期DN的高濾過狀態在晚期與NO一樣。具有改善腎血流量促進水鈉排泄作用。
(6)生長激素/胰島素樣生長因子(GH/IGFs)軸:該軸包括GHGH受體,GH結合蛋白,IGF-IIGF-Ⅱ及其相應受體在糖尿病早期腎組織中IGF-Ⅰ、IGF-Ⅱ及其結合蛋白已有明顯改變,這種變化與腎小球血流動力學紊亂及腎臟肥大相一致。在人類和動物實驗中,予GH和IGF-I可獲得與DN早期類似的改變表明該系統參與早期DN改變。在晚期,IGF-I具有明顯延緩DN進展的作用,提示IGF-I在DN中的作用亦隨不同的病期而有所不同。
(7)轉化生長因子β(TGFβ):TGFβ在腎臟疾病中主要是抑制細胞增生促使細胞肥大及ECM積聚TGFβ1可通過調節細胞周期蛋白促使細胞肥大TGFβ促進ECM的形成主要為:直接刺激ECM中多種成分如FN膠原及蛋白多糖形成;通過影響基質蛋白酶活性減少基質降解;調節基質細胞整合素受體表達而促進細胞與基質黏附及基質沉澱;通過自分泌作用誘導TGFβ本身的合成增強自身的生物活性等。研究表明:TGFβ參與DN的發生髮展過程。
(8)血小板衍化生長因子(PDGF):PDGF有A、B兩種異構體,目前研究較多的是PDGF-B,在腎臟中作用主要包括誘導細胞增生促進ECM積聚促使單核巨噬細胞在腎臟浸潤在DN動物已發現異常的PDGF的表達PDGF-B還參與糖尿病狀態下腎組織糖代謝過程,進一步促進自身表達。
(9)腫瘤壞死因子α(TNFα):TNFα主要由單核巨噬細胞產生血管內皮細胞及腎小球系膜細胞亦能產生。TNFα可刺激系膜細胞收縮,增生,並誘導其分泌IL-1,IL-6PDGF等,還可刺激腎小球上皮細胞產生PAI-1促進凝血。在DM大鼠,TNFα在腎組織中表達增加且與腎臟損害程度相一致提示參與DN發生與發展TNFα尚與糖尿病狀態下胰島素抵抗有關介導DN過程中腎小管上皮細胞凋亡。
(10)單核細胞化學趨化蛋白-1(MCP-1):MCP-1以往在炎症性腎臟疾病中研究較多。近來在DN中的作用越來越引起重視體外高糖培養系膜細胞可致MCP-1表達增加糖尿病患者MCP-1水平明顯增加並與腎功能損害程度相一致在糖尿病腎活檢中亦發現MCP-1主要分布在巨噬細胞浸潤較多的部位表明該物質參與糖尿病腎組織巨噬細胞浸潤除高糖外糖尿病狀態下TGF-β亦刺激MCP-1在腎組織的表達。
5.反應氧中間產物(R0S)在糖尿病狀態下一方面體內ROS產生過多,另一方面機體抗氧化能力,如氧化歧化酶(SOD),谷光苷肽過氧化物酶(GSH-Px)過氧化氫酶等活性下降細胞NADPH量不足血漿抗氧化劑等水平降低,使ROS在體內過多積聚,對多種正常蛋白質、脂質核酸等造成損害參與糖尿病各種併發症的發生包括對腎臟的影響。ROS尚可滅活NO,產生組織損傷使細胞內NFk-B活化誘導多種損傷介質(如前所述)加重腎臟的損害。
6.遺傳因素有許多證據表明遺傳因素在DN的發病中起重要作用。
(1)DN的發病:具有相當高的家族聚集性
(2)DN與家族性高血壓心血管疾病密切相關
(3)DM患者腎臟累及存在種族差異性。
(4)患DN的IDDM患者紅細胞Na+-Li+交換及白細胞Na+-H+交換明顯增強:提示存在基因過度表達。DN並非發生於所有糖尿病患者遺傳因素在決定DN易感性方面起著重要作用特別是基因的多態性。目前認為可能與DN發病有關的基因有:ACE基因醛糖還原酶基因,Glutl基因AGER基因胰島素受體基因Ⅳ型膠原基因等。
預防
戒菸1、戒菸;
2、每天檢查足,看足底,有無大皰、割傷等,每天洗腳,仔細擦足,特別是腳趾之間,洗腳時避免溫度過高或過低;
3、如果夜間感覺足冷,可穿上襪子,不要用熱水袋或加熱器;
4、經常檢查鞋內有無異物,有無趾甲修剪、撕裂傷;
5、不使用一些足操作的工具,不泡腳;
6、穿舒適的襪子和鞋子,每天要換襪子,不要赤足穿鞋,不穿腳趾夾著的涼鞋;
7、不要弄破角化組織;
8、確保每次就診時檢查足;
9、足部皮膚有大皰或潰瘍應及時就診等等;
10、嚴格控制血糖、血脂、血壓及體重
危害
糖尿病腎病有哪些危害啊
糖尿病腎病是臨床常見和多發的糖尿病併發症是糖尿病最嚴重的併發症之一,糖尿病腎病為糖尿病主要的微血管併發症,主要指糖尿病性腎小球硬化症,一種以血管損害為主的腎小球病變。那么,糖尿病腎病的危害有哪些?糖尿病腎病的危害:可以使得糖尿病腎病的病情嚴重,腎小球以及腎小管的功能損害不斷惡化,從而導致尿毒症的嚴重後果,血壓持續的升高,造成患者死亡。輕度的蛋白尿可以持續很多年,而且腎功能會保持正常,有部分患者的尿蛋白比較少,沒有任何的糖尿病腎病症狀的表現,所以對於這種疾病早期發現進行必要的預防有非常重要的意義。糖尿病腎病的進行性發展特點是出現腎病綜合症。患者有蛋白尿,低蛋白血症,浮腫,血漿脂蛋白增多及高血壓。腎病綜合症不是必經之路。低蛋白血症及浮腫可持續一段時間,例如5-8年,此時血肌酐稍增高,隨著有高血壓,血肌酐進行性增高。高血壓可使糖尿病腎病加重。
在末期,血壓持續升高,腎小球及腎小管的功能損害不斷惡化,引起尿毒症。通過這些您是否已經了解糖尿病腎病的後果很嚴重。糖尿病腎病的進展快慢在各個病人有很大差異。輕度蛋白尿可持續多年。而且腎功能保持正常。有些病人尿蛋白很少,無任何腎病症狀,可快速發展成為嚴重蛋白尿,提示預後很差。
治療
羅格列酮1.控制血糖糖尿病腎病變的發生受多種因素影響其中高血糖是極其重要的因素。血糖升高和糖尿病腎病變之間的關係不言而喻,實驗和臨床研究證實良好的血糖控制可明顯減少糖尿病腎病變的發生因此控制血糖至關重要大量臨床和動物實驗證明,在糖尿病出現腎肥大和高濾過狀態後及時控制血糖糾正代謝紊亂後,腎肥大和高濾過狀態可以得到部分恢復糖尿病腎病變早期腎小球濾過率的增高和糖化血紅蛋白的升高是一致的因此,控制血糖是治療糖尿病腎病變的基礎治療。治療應採取糖尿病教育、飲食療法適當運動,藥物治療和血糖監測等多種手段,儘可能地使血糖控制接近正常如爭取使糖基化血紅蛋白<7%空腹血糖<6.0mmol/L,飯後2h血糖<8.0mmol/L同時注意儘量避免低血糖的發生其中主要措施包括飲食治療和藥物治療
(1)糖尿病腎病變的飲食治療:糖尿病腎病變的飲食治療有其特殊性,總熱量的攝入要根據患者身高體重及活動量來決定。在營養的構成中,須特別注意蛋白質的攝入。糖尿病腎病變時,腎小球處在高濾過狀態,過高的蛋白飲食會使這種高濾過狀態持續加重腎小球血流動力學的改變因此目前主張在糖尿病腎病變早期即對蛋白的攝入量加以限制希望藉此減輕腎小球濾過負荷一般0.8g/(kg•d)的蛋白量較為適宜對已進入臨床期,有水腫、蛋白尿腎功能損害的患者,則須根據內生肌酐清除率來安排蛋白質的攝入量患者攝入的蛋白質必須是優質蛋白質即必須胺基酸含量高的動物蛋白質為主。
(2)糖尿病腎病變口服降糖藥物的選擇應考慮其代謝途徑:格列本脲(優降糖)、格列齊特(達美康)的活性代謝產物主要由腎臟排出腎功能損害時易導致低血糖不宜使用格列喹酮(糖適平)主要在肝臟代謝,只有大致5%由腎臟排出,腎功能不全時,使用較為安全,且使用的劑量範圍大可作為糖尿病腎病變患者的首選藥物。格列吡嗪(美吡達)的部分代謝產物由腎臟排出,但活性弱,不易引起低血糖反應,較為安全。雙胍類口服降糖藥物對已有蛋白尿的臨床期糖尿病腎病變不宜使用因為其是以原形從尿中排出,易造成乳酸堆積而致乳酸酸中毒對於用飲食和口服降糖藥控制不良的糖尿病腎病變患者應儘早使用胰島素以推遲延緩糖尿病腎病變的發生髮展需要強調的是對腎功能損害明顯的患者,要考慮到血中胰島素半衰期的延長其次是患者食慾減退,進食減少這些都需要對胰島素的用量進行精細的調整,經常監測血糖避免低血糖的發生。
還應注意改善胰島素抵抗,降低高胰島素血症糖尿病患者常因存在胰島素抵抗和不適當治療而致高胰島素血症,持久的高胰島素血症可刺激動脈壁平滑肌和內皮細胞增生;增加肝臟低密度脂蛋白產生,促進動脈壁脂質沉著;損害機體內源性纖溶系統如刺激內皮細胞產生纖維蛋白溶酶原抑制因子,促進血栓形成;長期高胰島素血症可使血壓升高和體重增加可加速動脈硬化的發生和進展。降低高胰島素血症除適當使用口服降糖藥外補充微量元素如礬和鉻也可增加胰島素的敏感性。
發現新藥羅格列酮為噻嗪烷二酮類降糖藥物。其降糖作用包括降低血漿葡萄糖和胰島素水平,改善糖耐量;降低血漿三醯甘油和游離脂肪酸水平;降低肝糖原異生作用並刺激脂肪組織和骨骼肌對葡萄糖的攝取是目前改善胰島素抵抗較好的藥物。
此外,根據研究結果糖尿病非酶糖基化終末產物(AGE)在糖尿病腎病變發生髮展中有重要作用,使用AGE抑制劑治療糖尿病腎病變。
①氨基胍:是一種AGE抑制劑,它在高糖條件下也可有效地防止AGE生成或抑制AGE的活性。氨基胍通過與葡萄糖競爭和大分子蛋白質的結合,選擇性抑制蛋白質非酶糖基化早期產物的形成據研究,氨基胍還可防止NO激活調整糖尿病早期的血管功能失調。
②醛糖還原酶抑制(spirohydantoin):臨床觀察結果對防止糖尿病視網膜病變、外周神經病變和腎病療效輕微,且起效緩慢因使用時間尚短,使用也不廣泛,有待作出客觀評價。
2.控制高血壓高血壓是腎臟病人腎功能損害發生髮展的主要因素而且是可控制因素。對糖尿病腎病變也是如此。高血壓在糖尿病腎病變的發展過程起相當重要的作用,因此,控制高血壓是延緩糖尿病腎病變發展的關鍵。控制高血壓首先要限制患者對鈉鹽的攝入,同時禁菸戒酒,減輕體重適當的運動這是治療的基礎
現一般認為糖尿病腎病變患者的血壓應控制在17.5/11kPa以下有關資料顯示血壓從21.3/12.7kPa降到18.0/11.3kPa時尿蛋白排出明顯減少,腎小球濾過率下降速度從每月1ml/min降到每月0.35ml/min糖尿病腎病變患者的生存期也明顯延長,降壓治療前l0年累計死亡率為50%~70%治療後18%。臨床研究證實有效的降血壓治療,可明顯預防或延緩糖尿病多種慢性病的發生和發展研究顯示積極降壓治療能延緩臨床糖尿病腎病變的進展速度尤其在血壓開始上升還未達到臨床高血壓時更明顯,降壓治療應達到降低平均動脈壓恢復血壓晝夜節律和降低腎小球內壓。
降壓藥物的選擇目前以血管緊張素轉換酶抑制劑為首選它可減少尿蛋白的排出減緩腎功能下降的速度其機制是:
(1)降低腎小球毛細血管壓力,從而糾正高濾過狀態也減少了蛋白尿,近來還認為ACEI可以直接改善腎小球毛細血管的選擇性濾過作用
(2)抑制細胞生長因子如轉化生長因子β等的活性,並可增加骨骼肌胰島素的敏感性而改善對血糖的控制。
(3)降低系膜細胞對大分子物質的吞噬作用,從而減少了因蛋白尿導致的系膜細胞增生和小管間質的纖維化。
(4)促進基質金屬蛋白酶降解,使已形成的細胞基質部分得以降解。ACEI的作用不僅用於降壓,而且不伴高血壓的糖尿病腎病變患者也宜套用,且服藥方便,其主要副作用是咳嗽目前,流行使用血管緊張素轉換酶抑制劑(ACEI)的長效製劑臨床常用的該類藥物主要有:卡托普利(開博通)、依那普利(悅寧定)、培哚普利(雅施達)貝那普利(洛丁新)福辛普利(蒙諾)等。值得關注的是ACEI對腎功能下降的病人有引起高血鉀的作用。
血管緊張素受體拮抗藥在糖尿病腎病變中也漸為人們使用,目前常用的血管緊張素Ⅰ型受體(ATⅠ)阻滯藥因為對激肽無影響所以無咳嗽等不良反應;同時ATⅠ受體阻斷後較高的血管緊張素可以刺激血管緊張素Ⅱ受體(ATⅡ)後者可以有抗增生作用因此較ACEI更好。但是也有一些研究證明ACEI的腎臟保護作用是通過緩激肽作用而致因此尚不能下定論氯沙坦是ATⅠ類新藥中的第1種,根據4000多例病人的資料氯沙坦在劑量為50~100mg/d時是一種有效的抗高血壓藥而且耐受良好。
鈣通道拮抗藥可降低平均動脈壓,可以緩解心絞痛降低細胞內鈣,有利改善胰島素抵抗。為治療糖尿病腎病變高血壓推崇的另一類藥物。但一般L型鈣通道阻滯藥對腎臟保護作用效果不如ACEI明確。晚近T型鈣通道阻滯藥可以降低蛋白質有較好的套用前景常用藥物有α受體阻滯藥哌唑嗪烏拉地爾(壓寧定)對糖和脂肪代謝均無不利影響且降壓效果好。烏拉地爾(壓寧定)降壓效果優於哌唑嗪該藥可靜脈注射治療重症高血壓。此類藥物有直立性低血壓不良反應套用時應加注意,吲達帕胺(鈉催離)可增加尿鈉排泄不影響糖代謝和脂肪代謝,具有降壓和利尿雙重作用與ACEI有協同作用。
3.透析和腎移植透析和腎移植是出現腎功能衰竭後的治療必選措施糖尿病腎病變患者多合併有全身動脈硬化血管壁僵硬血管通路較難建立,而且維持時間短。腹膜透析對糖尿病腎病變患者是較為理想的選擇可採用不臥床持續腹膜透析在操作方面,無須建立血管通路。但總的來說,無論血透、腹透糖尿病腎病變患者維持透析的生存率不如非糖尿病腎病變患者其主要原因是糖尿病腎病變合併心血管疾病明顯增多。當腎功能更惡化時,一些嚴重的併發症如心包炎結腸炎、出血傾向和神經系統病變等,極大地縮短了生存期。
(1)透析治療:糖尿病腎病變透析治療開始的時機很重要首先是宜早不宜遲當內生肌酐清除率<15ml/min或血肌酐>530~7lOμmol/L(7mg/dl)時可作為透析治療的指標。
(2)腹膜透析療法:腹膜透析是糖尿病腎病變終末期的主要療法之一因腹膜透析有以下優點:
①可以避免循環負荷過度,減輕心臟負荷
②能清除中分子量毒素有效地控制尿毒症症狀對貧血、神經病變和骨病改善優於血透
③由於胰島素可從腹膜吸收,將胰島素(按每4g葡萄糖加1U胰島素)直接加入腹透液中可以控制高血糖。
④提高腹透液滲透壓可糾正血容量過多,有效控制血壓。
⑤不需全身肝素化可避免視網膜出血而影響視力。
腹膜透析的缺點主要是易致腹膜炎糖尿病免疫力低下易發生出口感染或隧道口感染。長期腹透糖負荷過多致患者肥胖出現高脂血症。如腹透液丟失蛋白質和胺基酸過多可導致營養不良。長期腹透失效常由於腹膜硬化所致。
(3)血液透析療法:血液透析較腹膜透析清除毒素,控制血糖和調正電解質等較快。文獻報導糖尿病患者由於嚴重供血不足導致肢體壞疽需要截肢者,血透較腹透少但血透有以下缺點:
①糖尿病患者動脈硬化多見,作內瘺的血管經路有困難。
②糖尿病常並發冠心病以及心肌代謝紊亂所致心肌病變使患者心血管系統穩定性差,故血透中易發生低血壓。此時如由於自主神經功能失調更易發生。
③糖尿病尿毒症由於攝入少,又因腎功能衰竭胰島素半衰期長而作用增強故血透後可發生低血糖。
④糖尿病腎病變無尿或少尿者作持續性血液透析較其他腎病患者易於發生高鉀血症,特別在使用ACEI的患者
(4)腎移植:是治療糖尿病腎病變尿毒症最好的辦法,優於透析治療。目前活體移植生存率與非糖尿病患者相近。糖尿病腎移植死亡的主要原因是心腦血管併發症和感染等。另出現輸尿管壞死、膀胱漏尿和神經性膀胱較非糖尿病腎病變為多因此,為提高糖尿病腎移植的生存率及生存質量,強調術前的血糖控制、心血管併發症的治療並儘可能及早透析。
霉酚酸酯腎或胰-腎聯合移植是糖尿病人ESRD時最佳選擇,但與非糖尿病相比,其生存率移植物的存活率,腎功能的維持等均低近年來,隨著免疫抑制劑的不斷開發和進展如環孢素、霉酚酸酯(驍悉)等,接受腎移植的糖尿病患者越來越多,移植效果也有明顯進步。此類病人接受腎移植的高危因素包括:已存在的大血管病變,左室肥大高血壓等目前認為在行移植前需糾正已存在的心血管問題。國外有些中心對所有糖尿病人需行腎移植者行冠脈造影,如存在冠心病先予以搭橋或血管介入等方法予以糾正。
