概述
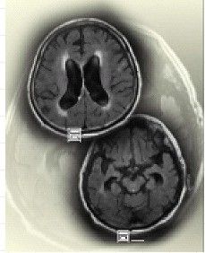
水腦症是指腦室積水。人腦的構造除了一般常聽說的血液循環外,還有所謂腦脊髓液的循環。腦脊髓液像血液循環一樣,在大腦構造內是流通的。這方面在大腦的詳細構造,有所謂的“腦室”或是“腦池”,就像是水庫或是池塘一樣的構造,在一般的電腦斷層上可以很清楚的看到。
腦水在這些池塘或水庫是流動的,腦水由腦中央的腦室,流過大腦的表面,以及腦池,然後在頭頂吸收。如果流通的路線被阻塞了,那么水庫或是腦池的水會漲大起來,腦壓會升高,腦會受到壓迫,人就會變得反應遲鈍。這就是所謂的水腦症。俗稱腦內積水。
歷史
最早記述腦積水的是希波克拉底,但它直到20世紀分流術和其他神經外科治療方法發展起來,一直是一種難處理的情況,
類型及病因
水腦症 腦積水可能由腦脊液(CSF)流動削弱、再吸收削弱,或腦脊液產生過多引起。正常顱內壓是顱骨壓力與血壓、腦脊液和腦實質壓力之間的平衡(顱骨壓力=腦壓+腦脊液壓力+血壓)。
腦積水最常見的病因是腦脊液流動梗阻,腦脊液通過的通道throughventricularsystem和蛛網膜下隙發生梗阻(e.g.,狹窄of腦aqueduct或室間foramina梗阻-foraminaofMonrosecondaryto腫瘤、出血、infection或先天畸形)。
腦積水也可能由於腦脊液過剩引起(e.g.,papillomaofchoroidplexus)。
基於其潛在機制,腦積水可以分為'交通性與非交通性(梗阻性)兩類。交通性與非交通性腦積水又都包括先天性或後天性的。
交通性腦積水
交通性腦積水,又名非梗阻性腦積水,由腦脊液再吸收減弱,而非腦脊液流通梗阻引起。已經建立了理論,將其歸因於蛛網膜granulations功能損傷,這裡位於superior sagittal sinus,是腦脊液被靜脈系統再吸收的地點。多種neurologic情形可能導致交通性腦積水,包括蛛網膜下/intraventricular出血、腦膜炎、Chiari malformation和先天absenceof蛛網膜granulations(Pacchioni'sgranulations).
正常顱壓腦積水(NPH)是交通性腦積水的一種特殊形式,表現為腦室擴大,伴有間歇性腦脊液壓力增高。其診斷只有通過持續腦室內壓力記錄(24小時以上)才能得出,腦室壁彈性改變,以及腦脊液粘性增強,都可能是正常顱壓腦積水的發病機理。
非交通性腦積水
非交通性腦積水,或梗阻性腦積水,由腦脊液流通梗阻引起
先天性腦積水
腦顱骨在三歲結束時閉合。如果出現頭圍擴大,說明此前發生了腦積水。病因通常是由於遺傳,但也可由後天引起,通常發生在最初幾個月內,新生兒和嬰兒腦積水患者,頭圍會迅速擴大,不久嬰兒表現為焦躁不安、食欲不振和頻繁嘔吐。腦積水發展後,嬰兒表現出遲鈍,對環境失去興趣。再繼續,上眼皮。兒童頭部變得很大,至終將臥床不起。
後天性腦積水
這種情形由於感染、腦膜炎、腦瘤、腦外傷、顱內出血(蛛網膜下或intraparenchymal)引起,通常使患者極其痛苦。
症狀
顱內壓增高引起的症狀可能有頭痛、嘔吐、噁心、視神經乳頭水腫、嗜睡或昏迷。顱內壓增高可能導致顳葉或小腦扁桃體形成腦疝,導致腦幹萎縮,危及生命。
行走不穩、小便失禁和痴呆是正常顱壓腦積水(NPH)的一組典型症狀。
後果
由於腦積水傷害腦部,思維和行為將受到負面影響。
治療
腦積水可通過外科手術治療。包括將導管(用矽橡膠製成的管子)放置於腦室,使流通梗阻蛛網膜granulations形成旁路,多餘的腦脊液排入其他體腔,並在那裡被再吸收。大部分腦脊液分流排入腹腔(腦室-腹腔分流術),可供選擇的的地點還包括右心房(腦室-心房分流術)、胸腔(腦室-胸腔分流術)和膽囊。
避免併發症
可能的併發症包括分流故障、分流失敗和分流感染。
儘管通常分流術運轉良好,如果發生斷開、閉塞或因年久失去功能,會停止運轉。如果發生上述情形,腦脊液將會再次開始積聚,出現許多身體症狀,有些非常嚴重,如痙攣。
分流的失敗率相對較高,患在一生中進行多次分流術並不罕見。
腦積水診斷是複雜的,需要專家進行。
陳水扁走不穩尿失禁罹水腦症
2013年3月29日,陳水扁民間醫療小組和綠營“立委”開記者會,公布由“權威醫師”周烒明所做陳水扁病況診斷報告,報告指其罹患常壓性水腦症,建議台北榮總(台北榮民總醫院的簡稱,一下簡稱北榮)進行“放射性點標記血清白蛋白(RISA)檢查”。
小組成員、北榮醫師郭正典說,周烒明除建議進行“腦室腹膜引流手術”治療,也建議儘速讓扁返家接受照護,因居家環境可阻止病情惡化。

