正常顱壓腦積水疾病概述
正常顱壓腦積水多數病人症狀呈進行性逐漸發展,有些在病情出現後,其病程為數月或幾年。病人沒有明顯頭痛,但有行為改變、癲癇或帕金森症。近期記憶喪失是最明顯的特點,病人常表現呆滯,自發性或主動性活動下降,談話、閱讀、寫作、愛好和創造性減弱,對家庭不關心、淡漠或冷淡、孤僻、工作效率差。
正常顱壓腦積水的主要病因是顱內動脈瘤破裂、外傷或其他原因導致的蛛網膜下隙出血大量的紅細胞阻塞了腦室外的腦脊液循環和吸收通路;也可因各種疾病引起的腦脊液中蛋白含量異常增高或其他能阻塞腦脊液在腦室外的循環和吸收通路的原因引起
病史中常有蛛網膜下隙出血、顱腦損傷腦膜炎及顱內手術史據報導蛛網膜下隙出血後有10%~30%的患者可有腦室擴大,10%的患者有嚴重的腦積水。有些患者是由於大腦水管狹窄基底動脈擴張、廣泛腦動脈硬化、高血壓、腦血栓形成糖尿病伴發小血管纖維化等。可能與腦血流量減低致使腦代謝障礙有關。一般說來正常顱壓腦積水是一種交通性腦積水綜合徵。交通性腦積水與非交通性腦積水的病因分類。
病理生理
影像學1.腦內壓力梯度形成在蛛網膜顆粒內阻塞時,並不產生腦積水,而是發生良性顱壓增高。腦脊液在腦室系統和蛛網膜下腔流動阻力增加時,產生腦室擴大——腦積水。因而提出腦室和腦皮質表面壓力梯度形成,是產生腦室擴大的原因。已有人用白陶土誘導的貓腦積水實驗模型證明了這種壓力梯度形成學說。
2.腦脊液搏動壓增高有人測定正常顱內腦積水平均腦脊液壓不增高,但可有腦脊液搏動壓增高,使腦室擴大。提出在正常情況下,腦實質中的小靜脈、細胞間隙蛋白質和脂質有類似海綿樣的彈性物質,其中的液體成分在顱壓升高時可被擠出。在一定程度的壓力下腦實質可被壓縮,這種壓力稱腦組織生物彈性值。在該值以下的腦內壓力只作用於腦組織內,而沒有任何腦實質內的液體擠出,但腦室周圍承受的壓力比腦實質內的壓力要大,這就產生腦室擴張。表明在腦室內壓力和腦實質之間的關係。
3.密閉彈性容器原理有人提出,正常顱壓腦積水病人最初顱壓增高,產生腦室擴大,根據Lapace原理,即在密閉彈性容器的液體壓力(P)與容器壁的面積(A)的乘積等於容器壁承受力(F,F=P?A)。這樣,一旦腦室擴大後,雖然腦壓恢復到正常,但作用於腦壁的壓力仍增加。也有提出正常顱壓腦積水是由於腦組織順應性改變所表現的腦室擴大。Welch等報導,高血壓動脈硬化腦血管病比同齡組病人高3倍以上,推測腦血管壁彈性的變化使腦組織順應性增加,並可出現腦表面的壓力梯度發生明顯改變。目前,研究正常顱壓腦積水的腦組織病理生理改變主要有:①腦組織受壓產生的腦血流減少;②腦組織內神經生化物質異常,如膠質纖維蛋白增加和血管腸肽類的減少;③繼發性神經元損害。
發病機制
正常顱壓腦積水流行病學
腦積水在人群中的總發病率尚不清楚,在新生兒的發生率為0.3%~0.4%。如腦積水作為嬰幼兒單一先天性病變其發生率為0.09%~0.15%;伴有脊膜膨出和脊柱裂者中其發生率為0.13%~0.29%。遺傳性導水管狹窄(女性遺傳男性發病)在先天性腦積水中不足2%。獲得性(後天性)腦積水有明確病因其發生率也因原發病而異。
症狀表現
一、症狀體徵
影像二、臨床表現
正常顱壓腦積水主要表現為進行性智力改變步態異常及尿失禁
1、智力改變比較常見一般最早出現,但有時先見步態異常智力改變主要表現為反應緩慢、近事記憶減退、遲鈍易倦淡漠等進一步出現思維能力減退、計算力下降、性格改變類似於Alzheimer病。
2、輕度的步態異常表現為走路緩慢不穩、步基變寬但無明顯的小腦體徵。重者行走站立、起立都有困難,晚期則臥床不起。下肢的運動障礙重於上肢,表現為不完全的錐體束損害,常有腱反射亢進,病理征陽性。
3、尿失禁出現相對較晚程度不一。
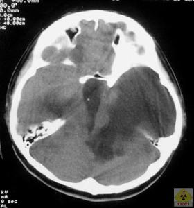
4、頭顱CT或MRI可以顯示雙側腦室對稱性擴大第三腦室及第四腦室也擴大腦萎縮連續顱內壓監護可發現患者熟睡後的眼動期出現顱內壓升高現象據此可與腦萎縮引起的老年性痴呆相鑑別腰椎穿刺示腦脊液壓力正常,CSF檢查正常
5、其他症狀可有手震顫,手的精細運動笨拙,肌張力增高,動作和姿勢的穩定性差及錐體束征等。
診斷檢查
腰椎穿刺二、實驗室檢查:腰椎穿刺,病人側臥位時,腦脊液壓力通常不高於24kPa(180mmH2O),在不伴有顱內其他病變時,腦脊液的糖、蛋白和細胞計算均在正常範圍內。腰穿放液後,如症狀改善可提示分流有效。
三、其他輔助檢查:
1.影像學檢查頭顱CT檢查是正常顱壓腦積水檢查重要手段,它可確定腦室擴大和皮質萎縮的程度及引起腦積水的病因,同時,也是觀察術後分流效果及併發症的手段。典型的CT掃描表現為腦室擴大而皮質萎縮不明顯。MRI影像可從矢、冠、水平全方位觀察較小的顱內病變並優於CT,同時通過MRI可觀察腦脊液的動力學變化,對腦積水進行評價。腦室周圍T1加權像低信號改變可表明腦積水呈進展趨勢。
2.核素腦池造影用放射性核素腰穿注入蛛網膜下腔,在進入腦和腦室時照像觀察。最常用的是碘131I標記人體血清蛋白(RISA),近來有用銦——二乙胺五醋酸(DTPA)作標記物,約500UC注入蛛網膜下腔,分別在4h、24h、48h和72h掃描觀察。掃描可見到三種情況:
(1)正常型:放射性核素在大腦凸面,而不流入腦室內。
(2)正常顱壓腦積水:放射性核素進入腦室內並滯留,72h內腦凸面不能顯示。
(3)混合型:多數病人為此型,即腦室和腦凸面在分期掃描均可顯示。由於放射性核素掃描對判斷分流效果沒有肯定的關係,這種檢查對評價正常顱壓腦積水沒有太大的幫助,目前臨床並不常用。
3.其他檢查顱骨平片一般無慢性顱高壓徵象;腦電圖可見持續性廣泛慢波;在正常顱壓腦積水病人中131I可顯示腦血流量的減少,腦血管造影側位像可見大腦前動脈格外伸直,大腦中動脈側裂點向外移位。有腦萎縮時,在毛細血管期見到小血管與顱骨內板之間距離增寬,氣腦造影見全部腦室和不同程度的腦池擴大,以上這些在腦積水的臨床檢查中已不常用。
治療方案
正常顱壓性腦積水基本發病機制是腦脊液循環途徑阻塞,腦脊液聚積於腦室系統。從理論上講,分流手術會有一定臨床效果。目前,多以側腦室腹腔分流術為首選,而腦室右心房分流術只有在病人因腹部病變不適合行腹腔分流時才實行,其他的分流術臨床套用甚少。根據正常顱壓腦積水的腦壓特點,選擇60~90mmH2O中壓分流管為宜。術前應對分流效果做出估計,謹慎評價手術指征,達到手術最大效果。1、正常顱壓腦積水治療的一般過程:對痴呆、步態不穩、尿失禁和腦室擴大或只有步態不穩和腦室擴大的病人腰穿,如腦脊液壓力高於24kPa(180mmH2O),無需進一步檢查,可行分流手術;抽出20ml以上腦脊液,如走路不穩好轉,則可行分流手術,症狀不改善,則另行考慮;24h顱內壓監測,如有搏動性升高活動優勢,可行分流手術;如腰穿灌注試驗陽性或放射性核素和碘苯酯等腦脊液動力檢查,腦室沒能顯影,則可行分流治療。
2、分流指征判定
(1)臨床症狀評價:走路不穩是評價分流效果的重要指征。步態不穩先於智力障礙者,對分流手術反應良好,而單純以智力障礙為主要症狀者,分流效果較差。有人認為,有74%的走路不穩者分流後可恢復,並把走路不穩作為正常顱壓腦積水分流指征的基本條件,87.5%病人分流後症狀明顯恢復。也有作者將腦室擴大和步態不穩作為分流的標準,83%的病人在分流後可取得良好效果。
(2)顱壓測定:正常顱壓腦積水病人幾次腰穿測壓均在正常值上限者,24h連續監測顱壓有波動性升高或腰穿放液後病人症狀改善者,分流後多有明顯的效果。有報導連續性監測顱內壓有B波頻繁活動,24hB波活動多於50%者,分流術後可明顯改善症狀。
(3)腰椎灌注試驗:以腰椎穿刺連線一個三通管,管的兩頭分別接壓力連續描記儀和注射器,以腦脊液正常分泌2倍的速度(每分鐘約1.5ml)向腰部蛛網膜下腔注入鹽水,正常時壓力上升每分鐘不高於20mmH2O,而正常顱壓腦積水因腦底部的蛛網膜下腔阻塞和吸收功能減退,其壓力上升高於此值。也用腰穿灌注同時做腦室引流方法預測分流術效果,其方法是先做側腦室穿刺置管確定腦脊液流出初壓,然後以該壓力值向腰穿灌注生理鹽水,如果腦脊液流出阻力大於每分鐘每毫米汞柱12.5ml,則分流術可有較好效果。
頭顱CT掃描3、分流失敗分析:對正常顱壓腦積水選擇合適壓力的分流管至關重要,只有分流後使腦壓儘可能降低才能達到腦室縮小、症狀改善的效果。但腦壓下降過度則會引起術後一些合併症:
(1)硬膜下積液:分流後發生硬膜下積液的機制有:①分流後因顱壓下降,由於虹吸效應引起顱壓持續下降或皮質小靜脈撕裂;②分流管壓力過低使顱壓下降太低;③腦脊液沿分流管周圍滲入蛛網膜下腔。預防方法:應選擇合適壓力和附有抗虹吸裝置的分流管,術中封閉分流周圍的蛛網膜下腔防止腦脊液外滲。也有人提出,分流後的硬膜下積液並非與分流後虹吸現象和沿分流管外滲有關,硬膜下積液多發生在腰椎腹腔分流後和分流腦室的對側,80%的病情可得到緩解。如CT掃描顯示腦室擴大或有臨床症狀加重,則需結紮或更換較高壓力分流管。
(2)分流不足:分流後腦室縮小不明顯或臨床症狀不緩解提示分流不足,可用腰穿測壓估計分流功能,如果腦脊液的壓力接近分流管的壓力,可推測分流管功能正常。此時,如腦室仍擴大,臨床症狀不改善,可換低壓分流管。另外,正常顱壓腦積水由於腦損傷的病因不同,並且是某些疾病過程的最後結果,有些病人因分流不足或分流過度而加重病情,因此,分流失敗並不可認為原始診斷有誤。除此以外,尚有以下合併症:分流管阻塞或分流無效、感染、引流過度引起的硬膜下血腫、癲癇和腦內血腫等。
專家提示
正常顱壓腦積水Arnold-Chiari(ACM)畸形:分為4型。根據小腦下疝是否伴延髓畸形來區分Ⅰ與Ⅱ型;Ⅰ型不伴延髓畸形,Ⅱ型伴。Ⅲ型:上頸或枕頸部脊膜膨出、小腦下疝;Ⅳ型:僅小腦發育不良,無向下膨出。
Ⅰ型:可至成人而無症狀。有小腦下疝,顱壓增高或正常壓力腦積水,約25%阻塞性腦積水;進行性共濟失調;常合併脊髓空洞症(約半數)或短頸(bullneck)、顱骨脊椎骨融合(37%)或伴後組顱神經症狀,常伴頭痛。
Ⅱ型:小腦與延髓下疝畸形,2/3病例合併脊髓空洞症。常伴脊髓與脊膜膨出,四腦室狹長下移和後顱窩腦池受壓(100%),腦幹與小腦重疊(93%),進行性腦積水(90%);嬰兒難以確定小腦征,但常見後組顱神經症狀,舌肌纖顫;至兒童、青少年期,其中某一症狀出現+Ⅰ型特點。常與其它顱腦畸形共存。
診斷依據:1後組顱神經受損;2小腦征;3雙側錐體束征;4自主神經受損:Horner征(+)、尿便障礙、Charcot’s關節、中線骨畸形;5四肢與頭面部畸形或非對稱性異常;7輔助檢查:脊髓造影(水溶性造影劑)、MRI(CT)、顱頸X片檢查等。
