疾病描述
臨床表現以進行性意識障礙加重為主,與急性硬腦膜下血腫甚相似。其意識障礙過程受原發性腦損傷程度和血腫形成的速度影響,由凹陷骨折所致者,可能有中間清醒期。
症狀體徵
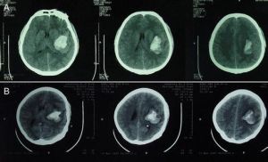
CT檢查:在腦挫裂傷灶附近或腦深部白質內見到圓形或不規則高密度血腫影,有助於確診,同時可見血腫周圍的低密度水腫區。
病理生理
有兩種類型:
(1)淺部血腫的出血均來自腦挫裂傷灶,血腫位於傷灶附近或傷灶裂口中,部位多數與腦挫裂傷的好發部位一致,少數與凹陷骨折的部位相應;
(2)深部血腫多見於老年人,血腫位於白質深部,腦的表面可無明顯挫傷。

