疾病概述
腦水腫1.血管源性腦水腫(vasogenic edema)白質的細胞外間隙液體貯留,因損傷、血-腦脊液屏障發生障礙,大量的液體從毛細血管內滲出到細胞外間隙,白質水腫更明顯。見於腦腫瘤、出血、創傷或炎症。
2.細胞毒性腦水腫(cytotoxic edema)多見於缺血或中毒,此時細胞膜的鈉-鉀依賴性ATP酶失活,細胞內水鈉貯留,引起神經細胞、膠質細胞、內皮細胞腫脹。主要累及灰質。在腦梗死時,上述兩種水腫共存。
腦水腫肉眼觀,腦體積及重量增加,腦回寬而扁平,腦溝狹窄。白質水腫明顯,腦室縮小,嚴重者伴腦疝形成。鏡下,腦組織疏鬆,細胞與血管周圍空隙變大。電鏡下,星形膠質細胞足突腫脹,細胞外間隙增寬。但細胞毒性水腫時,無間隙增寬。
疾病分類
根據病理形態及發病機理分為四類:
腦水腫細胞毒性腦水腫:常與神經細胞,神經膠質細胞和室管膜細胞腫脹合併細胞外間隙減少有關,典型的實驗模型是三乙基錫-氨基煙醯胺-二硝基酚中毒所誘發的腦水腫,此類腦水腫與腦細胞的能量代謝有密切關係,細胞膜的Na+主動遷移過程(Na+/K+/ATP酶,鈉泵)對維持細胞容量起決定性的作用,鈉泵的能源是三磷酸腺苷(ATP),故任何影響這些高能磷酸化合物代謝的因素都將導致鈉泵的失效,Na+大量停留於細胞內,大量的Clˉ隨Na+進入細胞,使細胞內液的滲透壓高於細胞外液,細胞靠吸入水分和
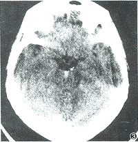
腦水腫間質性腦水腫:多見於梗塞性腦積水,由於腦脊液不能研究員通過正常途徑吸收,這類水腫主要會議發生於腦室的周圍白質,也稱為積水性腦水腫,由於腦室擴大,室管膜擴張,腦室表面結構及通透性改變,部分腦脊液逸出腦室擠入附近的白質,故腦室內腦脊液壓力的高低可直接影響此類腦水腫的程度,CT腦掃描可見室管膜吸收大量腦脊液,腦室周圍白質,尤其額角周圍,呈蝴蝶狀低密度區,臨床副教授上常見於各種原因所致的急或獲得慢性梗阻性腦積水,若能及時行腦室分流術,則腦水腫很快消失。
滲壓性腦水腫:實驗及經過臨床均發現具有此類腦水腫與急性水中毒,抗利尿激素分泌不足綜合腹腔征,血漿低Na+低滲透壓有密切關係,發生機理是細胞外液的滲透壓急性下降,為維持滲透壓的平衡水分向腦細胞內轉移,緊密主要特徵是:①灰質,白質均有水腫,以白質更為明顯;②水腫液主要知名;聚集於膠質細胞;;③細胞外間隙不擴大,血腦屏障無破壞;④水腫液滲透壓低,Na+,K+濃度均低,K+濃度更為明顯(細胞靠排K+來維持細胞內的滲透壓),這類水腫主要關節炎因細胞外液的低滲壓所致,血液透析引起的滲透壓失調也可導致此類腦水腫。
以上各類腦水腫很少單獨存在,多數情況是混合存在,如在血管源性腦水腫的基礎婦產;上出現細胞代謝紊亂或血供障礙,於是就有細胞毒性腦水腫的成分處長參與。
發病機制
腦水腫細胞中毒性腦水腫的發病機制主要與鈉泵功能減退有關。前文所述的各種代謝抑制物及急性缺氧可能都使ATP生成減少,致依賴於ATP提供能量的鈉泵活動衰減,Na+不能向細胞外主動運轉,水分乃進入細胞內以恢復平衡,故造成過量Na和水在腦細胞內積聚。至於急性低鈉血症時,則是因細胞外低滲,故水分轉移到細胞內。新的資料表明,腦細胞膜含較多的多價不飽和脂肪酸,其不飽和雙鍵易受自由基的影響而發生脂質過氧化反應,從而損傷膜結構和功能。此因素在細胞中中毒性腦水腫的發病機制中可能起重要作用。自由基損傷線粒體膜,後者功能受損又導致ATP生成減少。
間質性腦水腫液來自腦脊髓液,當腦脊髓液生成和回流的通路受阻(如導水管被腫瘤,或炎性增生所堵塞)時,它就在腦室中積聚,過多積聚使室內壓上升,以致腦室管膜通透性增高甚至破裂,而溢入附近間質引起周圍白質的間質性腦水腫。
治療原則
除針對病因外,主要對症治療,原則是消腫,縮小腦容量或外科減壓。
腦水腫1.糖皮質激素療法
大劑量糖皮質激素尤其地塞米松對解除血管源性腦水腫有明顯效果、對細胞中毒性腦水腫也有良好效果。其作用是抑制炎症反應、降低微血管通透性(抗滲出)、穩定細胞膜並恢復鈉泵功能,改善線粒體功能,防止或減弱自由基引起的脂質過氧化反應,對炎症引起的間質性腦水腫也有效。
2.脫水療法
①滲透療法:目的是使水分由腦組織轉移到血液中,引起腦容積縮小和顱內降壓,可作為應急措施。被選用的藥物有尿素、甘露醇和甘油等,前兩者靜脈輸注,後者口服;②利尿療法:目的是增加鈉水排出,減少細胞外積液。
3.外科減壓療法
是解除腦腫脹和顱內高壓的急救措施,不是常規治療,但對嚴重的血腫和膿腫等是較好的治療手段。
常規治療
1.嚴格控制加重腦水腫的因素(1)限制水入量:水入量過大可加重腦水腫,故在最初幾日,應保持輕度脫水狀態,使水出量略多於水入量。一般情況下水入量可按前一日尿量加500ml計算。
(2)控制血壓;腦水腫時血壓高會加重腦水腫,血壓低會加重腦血液灌注不良。因此,對高血壓及低血壓均應糾正。
(3)動脈氧分壓控制在13.3kPa(100mmHg)以上,二氧化碳分壓控制在5.3kPa(40mmHg)以下。
(4)體溫控制在32~37℃之內。動物實驗證明40℃連續2小時可使冷凍性腦水腫動物腦水腫增加40%。所以利用冬眠合劑配合物理降溫將體溫控制在32~37℃之間,對腦水腫治療是有益的。
(5)糾正酸中毒,調節電解質紊亂。
2.降低顱內壓力
(1)甘露醇;20%甘露醇250ml,靜注,20~30分鐘注完。降壓作用可推持4~6小時,每8克甘露醇可攜出水分100ml。甘露醇每6~8/小時1次。
(2)山梨醇;用法同甘露醇。
(3)尿素:由乾會使血尿素氮升高,局部刺激性大,故目前不如甘露醇普遍。
腦水腫(4)甘油:是可以口服的降顱壓藥物。10%甘油每日每公斤1.2g靜滴,或50%甘油每日每公斤1.5g口服,由於半衰期僅30~40分鐘必須多次口服或連續靜點。副作用較多,故目前使用亦不廣泛。
3.腎上腺皮質激素參考“缺血性腦血管病”。
4.利尿劑參考“缺血性腦血管病”。
5.醋氮醯胺可以降低顱內壓力。強心糖或類藥物也可以降低顱內壓力。醋氮醯胺與狄戈辛合用會增強降顱內壓力作用。
6.巴比妥類藥物有報導腦外傷引起的腦水腫,使用硫賁妥不僅可以降低顱內壓力而且可改善大腦灌注壓,對大腦損傷有保護作用。降顱壓的機理:①直接影響細胞Na+的轉運;②抑制糖的無氧酵解,增強糖的有氧氧化;③有抗氧化作用;④改善細胞膜對離子的滲透作用。
7.過度換氣可降低二氧化碳分壓。
8.病因治療。
疾病預後
腦水腫屬於繼發性病理過程,全身系統性疾病如嚴重洗腦血管疾病、呼吸系統疾病、肝病、休克、中毒代謝性疾病等使機體內環境發生改變,引起腦組織缺血缺氧、腦的微循環與腦細胞代謝障礙,可可能引起腦水腫。所以它是具有普遍性意義的問題。在神經外科方面,腦病疾病如顱腦損傷、顱內占位性病變、炎症、腦血管病、腦寄生蟲病、腦先天性疾病等,經常繼發性水腫,繼發性水腫,往往關係到顱內疾病過程和預後,更具有重要的意義。在神經外科領域,如果能更多認識腦水腫的發生機理,使腦水腫得到預防與治療,則能使顱內疾病的治療取得更好的結果。
疾控信息
1905年Reichardt就對切開的腦組織標本進行觀察比較了腦水腫與腦腫脹的不同。20世紀60年代,Klatzo提出了血管源性腦水腫和細胞毒性腦水腫兩個概念。Fishiman最早提出間質性腦水腫。
生理學常見疾病
| 人體主要體統包括:心血管、呼吸、泌尿、生殖、神經系統、內分泌系統,認識疾病因包括以下幾個方面:疾病的病因、發病機制和病理改變,以及各系統疾病在發展嚴重時可能出現的共性病理過程。 |

