概述
肺源性心臟病肺原性心臟病(cor pulmonale,簡稱肺心病)主要是由於支氣管-肺組織或肺動脈血管病變所致肺動脈高壓引起的心臟病。根據起病緩急和病程長短,可分為急性和慢性兩類。臨床上以後者多見。本節重點概述慢性肺原性心臟病。
慢性肺原性心臟病(chronic pulmonary heart disease)是由於肺、胸廓或肺動脈血管慢性病變所致的肺循環阻力增加、肺動脈高壓、進而使右心肥厚、擴大,甚至發生右心衰竭的心臟病。
本病在我國較為常見根據國內近年的統計,肺心病平均患病率為0.41%-0.47%。患病年齡多在40歲以上,隨著年齡增長而患病率增高。急性發作以冬、春季多見。急性呼吸道感染常為急性發作的誘因,常導致肺、心功能衰竭,病死率較高。經國內近20年的研究,對肺心病發生和發展有了更加深刻的認識,對診斷和治療均有一些進展,使肺心病的住院病死率明顯下降。
病因
按原發病的不同部位,可分為三類:
支氣管、肺疾病
以慢支並發阻塞性肺氣腫最為多見,約占80%-90%,其次為支氣管哮喘、支氣管擴張、重症肺結核、塵肺、慢性瀰漫性肺間質纖維化、結節病、過敏性肺泡炎、嗜酸性肉芽腫等。
胸廓運動障礙性疾病
較少見,嚴重的脊椎後、側凸、脊椎結核、類風濕性關節炎、胸膜廣泛粘連及胸廓形成術後造成的嚴重胸廓或脊椎畸形,以及神經肌肉疾患如脊髓灰質炎,可引起胸廊活動受限、肺受壓、支氣管扭曲或變形,導致肺功能受限,氣道引流不暢,肺部反覆感染,並發肺氣腫,或纖維化、缺氧、肺血管收縮、狹窄,使阻力增加,肺動脈高壓,發展成肺心病。
肺血管疾病
甚少見。累及肺動脈的過敏性肉芽腫病(allergic granulmatosis),廣泛或反覆發生的多發性肺小動脈栓塞及肺小動脈炎,以及原因不明的原發性肺動脈高壓症,均可使肺小動脈狹窄、阻塞,引起肺動脈血管阻力增加、肺動脈高壓和右心室負荷加重,發展成肺心病。
發病機制和病理
引起右心室肥厚、擴大的因素很多,但先決條件是肺的功能和結構的改變,發生反覆的氣道感染和低氧血症。導致一系列的體液因子和肺血管的變化,使肺血管阻力增加,肺動脈高壓。
肺動脈高壓的形成
(一)肺血管阻力增加的功能性因素 缺氧、高碳酸血症的呼吸性酸中毒使肺血管收縮、痙攣。對缺氧性肺血管收縮的原因目前國內、外研究頗多,多從神經和體液因子方面進行觀察,現認為體液因素在缺氧性肺血管收縮中占重要地位。特別受人重視的是花生四烯酸環氧化酶產物前列腺素和脂氧化酶產物白三烯。前列腺素可分為收縮血管的如TXA2、PGF2a舒張血管的如PGI2、PGE1等兩大類。白三烯主要有收縮血管的作用。缺氧時收縮血管的活性物質增多,使肺血管收縮,血管阻力增加,形成肺動脈高壓。此外尚有組胺、血管緊張素、血小板激活因子參與缺氧性肺血管收縮反應。最近內皮源性舒張因子(EDRF)和內皮源性收縮因子(EDCF)在缺氧性肺血管收縮反應中的作用特別引人重視,多數人認為缺氧時EDRF的生成減少。缺氧性肺血管收縮並非完全取決於某種縮血管物質的絕對量,而很大程度上取決於局部縮血管物質和擴血管物質的比例。
缺氧可直接使肺血管平滑肌收縮,其作用機制可能因缺氧使平滑肌細胞膜對Ca2+通透性增高,肌肉興奮-收縮偶聯效應增強,使肺血管收縮。也有人提出ATP依賴性鉀通道的開放可能是缺氧性肺血管收縮反應的基礎。
高碳酸血症時PaCO2本身不能收縮血管,主要是PaCO2增高時,產生過多的H+,後者使血管對缺氧收縮敏感性增強,使肺動脈壓增高。
(二)肺血管阻力增加的解剖學因素 解剖學因素系指肺血管解剖結構的改變形成肺循環血流動力學的障礙。主要原因是:
1、長期反覆發作的慢支及支氣管周圍炎可累及鄰近的肺小動脈,引起血管炎,腔壁增厚,管腔狹窄或纖維化,甚至完全閉塞,使肺血管阻力增加,產生肺動脈高壓。
2、隨肺氣腫的加重,肺泡內壓增高,壓迫肺泡毛細血管,也造成毛細血管管腔狹窄或閉塞。
3、肺泡壁的破裂造成毛細血管網的毀損,肺泡毛細血管床減損至超過70%時則肺循環阻力增大,促使肺動脈高壓的發生。
4、肺血管收縮與肺血管的重構。慢性缺氧使血管收縮,管壁張力增高可直接刺激管壁增生。肺細小動脈和肌型微動脈的平滑肌細胞肥大或萎縮,細胞間質增多,內膜彈力纖維及膠原纖維增生,非肌型微動脈肌化,使血管壁增厚硬化,管腔狹窄,血流阻力增大。
此外,肺血管性疾病,如原發性肺動脈高壓、反覆發作的肺血管栓塞、肺間質纖維化、塵肺等皆可引起肺血管的病理的改變,使血管腔狹窄、閉塞,產生肺血管阻力增加,發展成肺動脈高壓。
肺心病肺血管阻力增加、肺動脈高壓的原因中功能性因素較解剖學的因素更為重要。在急性加重期經過治療,缺氧和高碳酸血症得到糾正後,肺動脈壓可明顯降低,部分病人甚至可恢復到正常範圍。因此,在緩解期如肺動脈平均壓正常,不一定沒有肺心病。
(二)血容量增多和血液粘稠度增加 慢性缺氧產生繼發性紅細胞增多,血液粘稠度增加。紅細胞壓積超過55%-60%時,血液粘稠度就明顯增加,血流阻力隨之增高。缺氧可使醛固酮增加,使水、鈉瀦留;缺氧使腎小動脈收縮,腎血流減少也加重水鈉瀦留,血容量增多。血液粘稠度增加和血容量增多,更使肺動脈壓升高。
經臨床研究證明,阻塞性肺氣腫、肺心病的肺動脈高壓,可表現為急性加重期和緩解期肺動脈壓均高於正常範圍;也可表現為間歇懷肺動脈壓增高。這兩種現象可能是肺心病發展的不同階段和臨床表現,也可能是兩種不同的類型。臨床上測定肺動脈壓,如在靜息時肺動脈平均壓≥2.67kPa(20mmHg),即為顯性肺動脈高壓;若靜息肺動脈平均壓<2.67kPa,而運動後肺動脈平均壓>4.0kPa(30mmHg)時,則為隱性肺動脈高壓。肺心病人多為輕、中度肺動脈高壓。
心臟病變和心力衰竭
肺循環阻力增加時,右心發揮其代償功能,以克服肺動脈壓升高的阻力而發生右心室肥厚。肺動脈高壓早期;右心室尚能代償,舒張末期壓仍正常。隨著病情的進展,特別是急性加重期,肺動脈壓持續升高且嚴重,超過右心室的負荷,右心失代償,右心排血量下降,右室收縮末期殘留血量增加,舒張末壓增高,促使右心室擴大和右心室功能衰竭。
肺心病多發生於中年以上患者,屍檢時除發現右心室改變外,也有少數可見左心室肥厚。對肺心病左心室發生肥厚的原因有不同的認識,有認為由伴發的高血壓或冠心病等所致,而與肺心病無直接關係,國內較多臨床研究表明,肺心病甚至失代償期,測得肺動脈嵌楔壓屬正常範圍。認為左室肥大病人應首先考慮左心病變。但也有認為肺心病時由於缺氧、高碳酸血症、酸中毒、相對血流量增多等因素,如持續性加重,則可發生左、右心室肥厚,甚至導致左心衰竭。
此外,由於①心肌缺氧、乳酸積累、高能磷酸鍵合成降低,使心功能受損;②反覆肺部感染、細菌毒素對心肌的毒性作用;③酸鹼平衡失調、電解質紊亂所致的心律失常等,均可影響心肌,促進心力衰竭。
其他重要器官的損害
缺氧和高碳酸血症除對心臟影響外,尚對其他重要器官如腦、肝、腎、胃腸及內分泌系統、血液系統等發生病理改變,引起多臟器的功能損害,詳見本篇第六章呼吸衰竭。
治療方法
4S清肺平喘療法由軍事醫學科學研究院、國際科學研究院等多位專家歷經30多年聯合研發形成的一套全方位、多立體的綜合治療體系。療法包括清肺淨肺、PI活肺治療、植物神經綜合平衡和軍科細胞免疫技術四大步驟,其中軍科細胞免疫技術是多位專家在2008年諾貝爾醫學獎DC細胞技術基礎上獨創的治療手段,它直擊哮喘病的發病根源——炎症細胞,利用特定的靶向免疫激活技術抑制和清除哮喘發病根源,真真正正防止哮喘反覆發作
清肺淨肺——清除病毒,疏通氣道,快速緩解症狀
哮喘發作的表層原因是支氣管發生痙攣,北京軍都中醫院哮喘科採用幾十年科研成果的專利性藥物配合傳統中醫中藥的精華直接作用於氣管和支氣管,將痰液、細菌病毒以及其它的垃圾徹底清除,達到快速清肺排痰,疏通氣道。
PI活肺治療——止咳平喘,消炎鎮痛,恢復肺功能
哮喘發作的深層次原因是肺部炎症,醫院引進的PI活肺治療儀通過物理能作用於人體組織,將吸收的能量轉化為熱能、化學能、生物能,改善肺部血液循環,促進炎症的吸收和消散,改善和恢復肺功能。
植物神經綜合平衡——消除氣道高反應,降低過敏反應,控制疾病
植物神經綜合平衡法通過選擇性干擾神經受體的分支,讓導致哮喘發作的神經興奮性恢復正常,重建植物神經平衡,抑制氣道腺體過多分泌,消除氣道高反應狀態,重建呼吸免疫屏障,全面控制疾病。
軍科細胞免疫技術——消滅炎症細胞,調整免疫失衡,解決患病根源
哮喘發作的根源是炎症細胞,軍科細胞免疫技術由軍事科學研究院和國際科學研究院多位專家聯合研發,在諾貝爾獎DC細胞技術的基礎上,通過實驗室誘導、培育出自身需要的特異性免疫活性細胞,然後回輸進機體,抑制和清除炎症細胞,調整免疫失衡,從根源上消除哮喘等呼吸疾病復發的因素。
治療效果
1.當天症狀緩解。咳嗽、氣喘、呼吸困難、胸悶等症狀緩解。
2.3天內炎症消除、症狀消失,肺部和氣道功能恢復。
3.5——7天,免疫增強,炎症細胞消失,呼吸暢通,臨床治癒不復發。
臨床表現
本病發展緩慢,臨床上除原有肺、胸疾病的各種症狀和體徵外,主要是逐步出現肺、心功能衰竭以及其他器官損害的徵象。按其功能的代償期與失代償期進行分述。
肺、心功能代償期(包括緩解期)
此期主要是慢阻肺的表現。慢性咳嗽、咳痰、氣急,活動後可感心悸、呼吸困難、乏力和勞動耐力下降。體檢可有明顯肺氣腫征,聽診多有呼吸音減弱,偶有乾、濕性囉音,下肢輕微浮腫,下午明顯,次晨消失。心濁音界常因肺氣腫而不易叩出。心音遙遠,但肺動脈瓣區可有第二心音亢進,提示有肺動脈高壓。三尖瓣區出現收縮期雜音或劍突下示心臟搏動,多提示有右心肥厚、擴大。部分病例因肺氣腫使胸膜腔內壓升高,阻礙腔靜脈回流,可見頸靜脈充盈。又因膈下降,使肝上界及下緣明顯地下移,應與右心衰竭的肝於血征相鑑別。
肺、心功能失代償期(包括急性加重期)
本期臨床主要表現以呼吸衰竭為主,有或無心力衰竭。
(一)呼吸衰竭 急性呼吸道感染為常見誘因,臨床表現詳見本篇第六章呼吸衰竭。
(二)心力衰竭 以右心衰竭為主,也可出現心律失常(詳見第三篇第二章心力衰竭)。
一、症狀
當大塊或多發性肺栓塞時,病人常突然感呼吸困難、胸悶、心悸和窒息感,可有劇烈咳嗽或咳暗紅色或鮮血痰。可有中度發熱、胸痛,刺激膈時胸痛可放射到肩部,有時胸痛可類似心絞痛,可能因冠狀動脈痙攣引起供血不足。嚴重時,患者煩躁、焦慮、出冷汗、噁心、嘔吐、昏厥、血壓急劇下降甚至休克,大小便失禁,甚至死亡。
二、體徵
病變廣泛時可有紫紺。肺大塊梗塞區叩診濁音,呼吸音減弱或伴有乾、濕性囉音。如病變累及胸膜,可出現胸膜摩擦音和胸腔積液體徵。心率多增快,心濁音界擴大,胸骨左緣第2、3肋間隙濁音界增寬,搏動增強,肺動脈瓣區第二心音亢進,並有收縮期和舒張早期雜音。三尖瓣區亦有收縮期雜音及舒張期奔馬律。可有心律失常,如房性、室性早搏、心房撲動、顫動等,亦可發生心跳驟停。右心衰竭時,頸靜脈怒張,肝腫大並有壓痛,可出現黃疸,雙下肢浮腫。部分病人可有血栓性靜脈炎的體徵。
併發症
肺性腦病
是由於呼吸功能衰竭所致缺氧、二氧化碳瀦留而引起精神障礙、神經系統症狀的一種綜合徵。但必須除外腦動脈硬化、嚴重電解質紊亂、單純性鹼中毒、感染中毒性腦病等。是肺心病死亡的首要原因,應積極防治,詳見本篇第六章呼吸衰竭。
酸鹼失衡及電解質紊亂
肺心病出現呼吸衰竭時,由於缺氧和二氧化碳瀦留,當機體發揮最大限度代償能力仍不能保持體內平衡時,可發生各種不同類型的酸鹼失衡及電解質紊亂,使呼吸衰竭、心力衰竭、心律失常的病情更加惡化。對治療及預後皆有重要意義,應進行監測及時採取治療措施。詳見本篇第六章《呼吸衰竭》。
心律失常
多表現為房性早搏及陣發性室上性心過速,其中以紊亂性房性心動過速最具特徵性。也可有心房撲動及心房顫動。少數病例由於急性嚴重心肌缺氧,可出現心室顫動以至心跳驟停。應注意與洋地黃中毒等引起的心律失常鑑別。
休克
肺心病休克並不多見,一旦發生,預後不良。發生原因有:①感染中毒性休克;②失血性休克,多由上消化道出血引起;③心原性休克,嚴重心力衰竭或心律失常所致。
實驗室和其他檢查
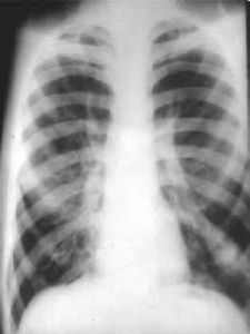
X線檢查
除肺、胸基礎疾病及急性肺部感染的特徵外,尚可有肺動脈高壓征,如右下肺動脈乾擴張,其橫徑≥15mm;其橫徑與氣管橫徑之比值≥1.07;肺動脈段明顯突出或其高度≥3mm;右心室增大征(圖2-3-3),皆為診斷肺心病的主要依據。個別病人心力衰竭控制後可見心臟外影有所縮小。
心電圖檢查
主要表現有右心室肥大的改變,如電軸右偏,額面平均電軸≥+90°,重度順鐘向轉位,Rv1+Sv5≥1.05mV及肺型P波。也可見右束支傳導阻滯及低電壓圖形,可作為診斷肺心病的參考條件。在V1、V2、甚至延至V3,可出現酷似陣舊性心肌梗塞圖形的QS波,應注意鑑別。
心電向量圖檢查
主要表現為右心房、右心室增大的圖形。隨右心室肥大的程度加重,QRS方位由正常的左下前或後逐漸演變為向右、再向下、最後轉向右前,但終末部仍在右後。QRS環自逆鐘向運行或“8”字形發展至重度時之順鐘向運行。P環多狹窄,左側與前額面P環振幅增大,最大向量向前下、左或右。一般說來,右心房肥大越明顯,則P環向量越向右。
超聲心動圖檢查
通過測定右心室流出道內徑(≥30mm),右心室內徑(≥20mm),右心室前壁的厚度,左、右心室內徑的比值(<2),右肺動脈內徑或肺動脈乾及右心房增大等指標,以診斷肺心病。
肺阻抗血流圖及其微分圖檢查
國內的研究證明肺心病時肺阻抗血流圖的波幅及其微分波值多降低,Q-B(相當於右室射血前期)時間延長,B-Y(相當右室射血期)時間縮短,Q-B/B-Y比值增大,對診斷肺心病有參考意義,並對預測肺動脈壓及運動後預測隱性肺動脈高壓有明顯的相關性,有一定參考價值。
血氣分析
肺心病肺功能失代償期可出現低氧血症或合併高碳酸血症,當PaO2<8.0kPa(60mmHg)、PaCO2>6.6kPa(50mmHg),表示有呼吸衰竭。H+濃度可正常或升高,鹼中毒時可以降低。
血液檢查
紅細胞及血紅蛋白可升高。全血粘度及血漿粘度可增加,紅細胞電泳時間常延長;合併感染時,白細胞總數增高、中性粒細胞增加。部分病人血清學檢查可有腎功能或肝功能改變;血清鉀、鈉、氯、鈣、鎂均可有變化。除鉀以外,其他多低於正常。
其他
肺功能檢查對早期或緩解期肺心病人有意義。痰細菌學檢查對急性加重期肺心病可以指導抗生素的選用。
診斷
根據1977年中國修訂的“慢性肺心病診斷標準”,患者有慢支、肺氣腫、其他肺胸疾病或肺血管病變,因而引起肺動脈高壓、右心室增大或右心功能不全表現,如頸靜脈怒張、肝腫大壓痛、肝頸反流徵陽、下肢浮腫及靜脈高壓等,並有前述的心電圖、X線表現,再參考心電向量圖、超聲心動圖、肺阻抗血流圖、肺功能或其他檢查,可以作出診斷。
鑑別診斷
本病須與下列疾病相鑑別:
冠狀動脈粥樣硬化性心臟病(冠心病)
肺心病與冠心病均多見於老年人,有許多相似之處,而且常有兩病共存。冠心病有典型的心絞痛、心肌梗塞的病史或心電圖表現,若有左心衰竭的發作史、高血壓病、高脂血症、糖尿病史更有助鑑別。體檢、X線及心電圖檢查呈左心室肥厚為主的徵象,可資鑑別。肺心病合併冠心病時鑑別有較多的困難,應詳細詢問病史,體格檢查和有關心、肺功能檢查加以鑑別。
風濕性心瓣膜病
風濕性心臟病三尖瓣疾患應與肺心病的相對三尖瓣關閉不全相鑑別。前者往往有風濕性關節炎和肌炎的病史,其他瓣膜如二尖瓣、主動脈瓣常有病變,X線、心電圖、超聲心動圖有特殊表現。
原發性心肌病
本病多為全心增大,無慢性呼吸道疾病史,無肺動脈高壓的X線表現等。
預後
肺心病常反覆急性加重,隨肺功能的損害病情逐漸加重,多數預後不良,病死率約在10%-15%左右,但經積極治療可以延長壽命,提高病人生活質量。
預防
主要是防治足以引起本病的支氣管、肺和肺血管等疾病。
(一)積極採取各種措施(包括宣傳,有效的戒菸等)提倡戒菸。
(二)積極防治原發病的誘發因素,如呼吸道感染、各種過敏原,有害氣體的吸入,粉塵作業等的防護工作和個人衛生的宣教。
(三)開展多種形式的民眾性體育活動和衛生宣教,提高人群的衛生知識,增強抗病能力。
據醫生囑咐,隨身攜帶一些常用藥物,以便在旅途中使用。
生理學常見疾病
| 人體主要體統包括:心血管、呼吸、泌尿、生殖、神經系統、內分泌系統,認識疾病因包括以下幾個方面:疾病的病因、發病機制和病理改變,以及各系統疾病在發展嚴重時可能出現的共性病理過程。 |
認識循環系統及其疾病
| 循環系統包括心臟、血管和調節血液循環的神經體液裝置,是人體最重要的系統之一,也是很多常見病多發病容易出現的系統。認識循環系統及其疾病,促進健康改善生活。 |

