基本介紹
原發性肺動脈高壓原發性肺動脈高壓(primarypulmonaryhypertension)是一少見疾病,因其病因不明,而區別於繼發性肺動脈高壓。1987年美國做了多中心的廣泛調查,對原發性肺動脈高壓的流行病學、病因學有了進一步了解。診斷和治療也比過去有了進步,但該病的預後仍然不好,多在症狀出現後數年內死亡。雖然1891年Romberg首次報導一例不能解釋的肺動脈高壓。但直到1950年心導管檢查術問世後“原發性肺動脈高壓”才得以診斷。
主要病因
原發性肺動脈高壓治療機構1、肺血栓栓塞最初某些作者認為許多小的臨床亞型的血栓栓塞可能是多數原發性肺動脈高壓的原因,因為病理髮現,臨床診斷的原發性肺動脈高壓患者約半數是慢性肺血栓栓塞,但以後的研究發現,組織學上血栓栓塞性肺動脈高壓不同於致叢性原發性肺動脈高壓。血栓栓塞性肺動脈高壓肺血管中層肥厚較輕,內膜纖維化呈偏心性,從不發生擴張性病變,類纖維素動脈炎及叢樣病變形成,與致叢性肺動脈病不同。
2、血管收縮叢樣病變形成是原發性肺動脈高壓最終的血管形態學改變;而其早期為小動脈中層肥厚和無平滑肌的細動脈肌型化,這提示血管收縮可能是原發性肺動脈高壓的初始機制。血管擴張藥物能降低某些患者的肺動脈壓和肺血管阻力,進一步支持血管收縮機制參與原發性肺動脈高壓的發生。雷諾病經常與原發性肺動脈高壓合併存在,也有利於血管收縮的病因機制。現已認識到肺血管內皮與相鄰平滑肌間的關係,乙醯膽鹼鬆弛兔動脈環有賴於內皮的完整性,內皮細胞的損傷可減少內源性肺血管擴張劑(前列腺素及一氧化氮)的形成,並釋放某些生長因子促使平滑肌增生肥大,但內皮細胞功能異常引起血管收縮的機制尚不完全清楚。最近觀察發現,原發性肺動脈高壓肺小動脈平滑肌細胞與繼發性肺動脈高壓相比呈除極狀態,胞漿含有較高濃度的鈣。門電壓鉀通道阻滯劑4-氨基吡啶不能提高原發性肺動脈高壓細胞內鈣含量,但能增加繼發性肺動脈高壓細胞內鈣水平,表明某些原發性肺動脈高壓肺血管平滑肌細胞KV通道缺失或下調,提示鉀通道異常可能在原發性肺動脈高壓病因中起一定作用。
3、自身免疫性疾病系統性紅斑狼瘡、雷諾病、CREST綜合徵、硬皮病、類風濕性關節炎、皮肌炎、多發性肌炎和混合性結締組織病等均可合併原發性肺動脈高壓。原發性肺動脈高壓患者中,29%~40%循環抗核抗體陽性,11%合併雷諾現象。8例CREST綜合徵[鈣質沉著,雷諾現象,食管動力障礙,指(趾)硬皮病和毛細血管擴張]患者中7例有肺動脈高壓,這些均提示原發性肺動脈高壓似部分與自身免疫性疾病有關。
原發性肺動脈高壓4、家族因素1927年Clarke等首先報導了單一家庭有一個以上成員患不能解釋的肺動脈高壓。1970年Wagenvoort等收集28個家庭58例原發性肺動脈高壓患者,其中包括一對孿生,一個家庭也可遺傳幾代。曾報導一個家庭有異常的纖維蛋白溶解,提示肺動脈高壓的發生可能與復發性微血栓溶解障礙有關,但另外一些家族並未發現此異常。最近幾年對許多原發性肺動脈高壓家族進行了充分的基因性質調查,認為家族性原發性肺動脈高壓的特徵是常染色體占優勢的疾病,伴不完全的外顯率和基因早現遺傳。進一步認定基因缺陷位於一個特殊的染色體,對家族性肺動脈高壓的基因解釋涉及三核苷酸複製的更大延伸的突變。
5、與妊娠和月經周期有關的因素原發性肺動脈高壓經常在孕期被首先發現,妊娠過程血流動力學改變加重;月經周期可影響體血管的反應性,是否也影響肺血管尚不清楚。至於育齡婦女原發性肺動脈高壓增多的原因還不明了,顯然不是單一病因因素所引起。有人曾提出羊水栓塞可能是原發性肺動脈高壓的病因因素,但組織學檢查未能證實有殘留的羊水栓塞存在。
6、藥物與飲食多數原發性肺動脈高壓患者沒有不規則的用藥和異常飲食的歷史。1967~1970年在歐洲套用節食藥aminorex後,原發性肺動脈高壓發生率突然增加10倍,停用後很快“流行”平息。約2%服aminorex者發生了肺動脈高壓,這些人可能是遺傳易感或與常用藥物,如可改變肝臟代謝的對乙醯氨基酚同用有關。他們與原發性肺動脈高壓患者不同,預後較好,停藥後多數恢復。口服避孕藥與原發性肺動脈高壓的關係尚不明確,某些患者發病可能與其有關。
7、肝硬化和門脈高壓肝硬化患者可發生肺動脈高壓,組織學改變與原發性者不能區別,二病合併發生為肝硬化屍檢的0.016%~0.26%。肝硬化與原發性肺動脈高壓同時發生,可能是自身免疫過程的一部分。雖然門靜脈血栓與肺栓塞有關,但其肺組織學所見類似原發性肺動脈高壓,而不是血栓栓塞性病變。
原發性肺動脈高壓①直接感染肺血管平滑肌細胞;
②作為HIV感染的結果激活血管生長因子;
③受HIV感染的T細胞引起內皮損傷;
④由單純皰疹病毒和(或)巨細胞病毒機會感染引起的血管損傷。
9、其他的病因線索13例原發性肺動脈高壓患者中7例體內血小板存活時間下降,提示血小板可能參與原發性肺動脈高壓的發生。血小板所釋放的因子在體外可刺激平滑肌增生,也使在體兔肺血管內皮細胞損傷,平滑肌增生,當血小板減少時增生明顯地被抑制,說明血小板在肺動脈高壓發生中起部分作用。已知血栓素A2可引起血小板集聚和肺血管收縮,肺動脈高壓患者血中其降解產物血栓素B2明顯增高,還不清楚這一增高是原發的,還是繼發的。文獻曾報導一例用消炎痛(前列腺素樣物質抑制劑)後肺動脈壓下降,這是否說明血小板、前列腺素樣物質,包括白三烯參與原發性肺動脈高壓的發病過程則尚待進一步研究。
症狀體徵
原發性肺動脈高壓原發性肺動脈高壓依據肺動脈壓和心排血量將其臨床經過分3個階段:初期、後期和終期。初期(I期):肺動脈壓逐漸升高,心排血量正常,患者通常無症狀,僅在劇烈活動時感到不適;後期(Ⅱ期):肺動脈壓穩定升高,心排血量仍保持正常,可出現全部症狀,臨床病情尚穩定;終期(Ⅲ期):肺動脈高壓固定少變,心排血量下降,症狀進行性加重,心功能失代償。美國多中心收集的187例原發性肺動脈高壓的登記調查分析,常見的初始症狀如下:呼吸困難(60%),疲乏(73%),胸痛(47%),眩暈(41%),水腫(37%),暈厥(36%),心悸(33%)。我們分析41例不能解釋的肺動脈高壓患者,其症狀發生率為:呼吸困難88%,胸痛48%,眩暈35%,暈厥15%,咯血27.5%,雷諾征7.5%。
(1)呼吸困難:是最常見的症狀,其特徵是勞力性,發生與心排血量減少,肺通氣/血流比失衡和每分通氣量下降等因素有關。
(2)胸痛:可呈典型心絞痛發作,常於勞力或情緒變化時發生,因右心後負荷增加,右心室心肌組織增厚耗氧增多,及右冠狀動脈供血減少等引起的心肌缺血。
(3)暈厥:包括暈厥前(眩暈)和暈厥,多於活動後發生,休息時也可出現,系腦組織供氧突然減少所引起。以下情況可以誘發:
①肺血管高阻力限制運動心排血量的增加;
②低氧性靜脈血突然分流向體循環系統;
③體循環阻力突然下降;
④肺小動脈突然痙攣;
⑤大的栓子突然堵塞肺動脈;
⑥突發心律失常,特別是心動過緩。
(4)疲乏:因心排血量下降,氧交換和運輸減少引起的組織缺氧。
(5)咯血:與肺靜脈高壓咯血不同,肺動脈高壓咯血多來自肺毛細血管前微血管瘤破裂。咯血量通常較少,也可因大咯血死亡。
原發性肺動脈高壓患者的症狀都是非特異性的,且多在肺動脈高壓進展後出現,因此,推測在肺循環異常改變前存在一個臨床潛伏期,這對有肺動脈高壓危險因素的人做進一步檢查十分重要,以利於早期診斷和早期治療。
2、體格檢查原發性肺動脈高壓的體徵多與肺動脈壓升高和右心功能不全有關,通常肺動脈高壓達中度以上,物理檢查才有陽性發現。常見有呼吸頻率增加,脈搏頻速、細小,早期發紺不明顯。因右心室肥厚順應性下降,頸靜脈搏動增強,右心衰竭時可見頸靜脈充盈。胸骨左下緣有抬舉性搏動,反映右心室增大。左側第2肋間可看到或觸及肺動脈收縮期搏動,並可捫及肺動脈瓣關閉振動,該區聽診可聞及收縮期噴射音及噴射性雜音,肺動脈第二音亢進和距離不等的第二心音分裂。肺動脈壓越高,肺血管順應性愈小,分裂越狹窄,當右心衰竭時,分裂固定。嚴重的肺動脈高壓,肺動脈明顯擴張,可出現肺動脈瓣關閉不全的舒張早期反流性雜音,也稱Grahamsteel雜音。在胸骨左緣第4肋間,可聞及三尖瓣全收縮期反流性雜音,吸氣時增強,通常來源於右心室擴張,也可見於乳頭肌及腱索自發性斷裂。右心性第四、第三心音分別反映右心室肥厚和右心功能不全。物理檢查對確定肺動脈高壓有一定幫助,但不能完全區分肺動脈高壓是原發性或繼發性的。
診斷依據
1、肺動脈高壓的典型症狀、體徵及X線,超聲心動圖表現。必要時經右心導管直接測定肺動脈及右心壓力。
2、除外由心、肺疾患誘發的繼發性肺動脈高壓後方能診斷本病。
診斷檢查
原發性肺動脈高壓實驗室檢查:末梢血紅細胞增多,患者貧血及血小板減少,血氣分析PH值正常,PaCO2降低,PaO2正常或降低
其他輔助檢查:
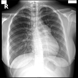
1、胸部X線檢查對肺動脈高壓的判斷有一定幫助,但無一徵象能準確地反映出肺動脈高壓的程度。常用於提示肺動脈高壓的X線徵象有:
①右下肺動脈橫徑增寬,國人正常值小於15mm;
②肺門寬度與1/2胸廓橫徑比增加,即從前正中線至肺動脈段緣間的距離與1/2胸廓橫徑之比,正常值為(28.1±4.5)%;
③肺門胸廓指數增加,即從前正中線水平至左、右肺動脈主要分支間距離之和與整個胸廓橫徑之比,正常值為(34±4)%;
④肺動脈段突出,正常值小於3mm;
⑤肺門動脈擴張與外圍紋理纖細形成鮮明的對比或呈“殘根狀”;
⑥右心房、室擴大;
⑦心胸比率增加,正常小於0.5。需指出,輕、中度原發性肺動脈高壓的胸部X
線可無異常所見,重症患者改變明顯,診斷的敏感性較高。
2、心電圖不能直接反映肺動脈壓升高,只能提示右心房、室的增大或肥厚。對原發性肺動脈高壓診斷有用的心電圖指標見表2。此外,“肺型P”,Ⅱ、Ⅲ、aVF及右胸前導聯ST-T改變也是常見的心電圖異常。
3、超聲心動圖和都卜勒超聲檢查心血管疾病的超聲診斷當今超聲心動圖雖不能直接測量增高的肺動脈壓,但肺動脈壓增高引起的某些間接而特徵性的超聲徵象,對肺動脈高壓的判斷卻頗有幫助。常見的徵象有:
(1)右心室肥厚和擴大:右心室肥厚是慢性收縮期負荷過重的直接後果,不僅與肺動脈高壓的程度和時間有關,也可能與個體對肥厚反應的調節有關。右心室游離壁在輕度肺動脈高壓時已增厚,心室間隔也增厚,運動幅度減弱,或呈同向運動。78%原發性肺動脈高壓患者有右心室增大。正常右心室游離壁厚度≤4mm,右心室內徑小於20mm。
(2)肺動脈內徑增寬和膨脹性下降:二維和M型超聲心動圖可清楚顯示中心肺動脈擴張。正常主肺動脈內徑小於25mm,右肺動脈內徑小於18mm。肺動脈壁順應性隨壓力的增加而下降,收縮期擴張也隨之變小。
(3)三尖瓣和肺動脈瓣反流:心臟增大和瓣環擴張可引起三尖瓣和肺動脈瓣反流。都卜勒超聲心動圖測出的三尖瓣反流率和反流程度與造影所見有良好相關,然而正常人有三尖瓣輕度反流者為0~44%,因此,都卜勒超聲心動圖檢出的輕微三尖瓣反流的意義應結合其他檢查綜合判斷更為穩妥。同樣,正常人肺動脈瓣反流發生率約為13%~90%,檢出輕度反流的意義需全面衡量。肺動脈高壓時反流峰速和時限增加,並隨壓力波動而改變,反流速度與舒張期肺動脈-右心室間壓差相關。
(4)肺動脈瓣運動異常:在肺動脈高壓早期M型超聲心動圖的研究已注意到肺動脈瓣運動的變化,正常情況下舒張晚期肺動脈瓣後葉有一小負向波,稱“a”傾斜,緊接心電圖P波之後發生,反映正常肺動脈舒張末期右心房收縮引起較小的右心室-肺動脈壓差增加,當肺動脈舒張壓輕微增加時可阻止“a”波的出現。
正常“a”波幅度平均為3~5mm,小於2mm可有輕度肺動脈高壓,“a”波消失通常提示肺動脈平均壓大於5.3kPa(40mmHg)。但需注意當右室舒張末壓增加時“a”波可重新出現。肺動脈瓣開放速率增加是肺動脈高壓另一個傳統超聲徵象,它與收縮早期右心室-肺動脈間壓差的大小有關,而與肺動脈壓絕對值無關。M型超聲心動圖肺動脈高壓特徵性所見是收縮期切跡或呈“W”圖型,反映肺動脈瓣收縮期部分關閉,發生率約60%,該徵象有時在無肺動脈高壓存在時也可能出現。
(5)肺動脈壓的定量化測量常用的指標有:
①三尖瓣反流峰速,與右室收縮壓間有良好的相關,相關係數達0.9以上。
②右室流出道或主肺動脈血流加速度或高峰流速提前,血流加速時間或尖峰時間與射血時間比與肺動脈壓的相關係數在0.7~0.8之間。
③用M型超聲心動圖或都卜勒血流信號測量右室收縮時間間期發現肺動脈高壓患者射血前期延長,射血期變短,二者的比率增大,後者與肺動脈壓的相關係數約0.7,80%正常兒童比率>0.3,>0.4者中90%的肺動脈平均壓>3.3kPa(25mmHg)。
④右室等容舒張時間(肺動脈瓣關閉到三尖瓣開起時間)延長,等容舒張時間與肺動脈收縮壓的關係主要決定於肺動脈瓣關閉到三尖瓣開放間的右室壓下降幅度,但也受心率、右房壓和舒張率的影響。因此,其更多用於正常與輕度肺動脈高壓的鑑別。
雖然有許多定量化肺動脈壓超聲檢測方法,相關係數甚至高達0.9以上,但其可解釋的肺動脈壓變數也只有0.6左右,因此“定量化”檢查只能做一參考。儘管如此,超聲心動圖和都卜勒超聲心動圖檢查對原發性肺動脈高壓的診斷仍是一有用的無創性檢測方法。
原發性肺動脈高壓5、肺功能和血氣酸鹼改變原發性肺動脈高壓患者肺功能測定一般呈輕度限制性通氣障礙和彌散功能障礙,無氣道阻塞。早期血氧分壓可正常,多數患者有輕、中度低氧血症,系由心排血量減少和通氣/灌注比失衡所引起的混合靜脈血氧分壓下降的結果,重症低氧血症可能與卵圓孔開放有關。幾乎所有患者均伴有呼吸性鹼中毒。肺功能測定對診斷原發性肺動脈高壓是一項不敏感的檢查方法。
6、球囊導向漂浮導管檢查原發性肺動脈高壓血流動力學定義為靜息肺動脈平均壓>25mmHg,或運動>30mmHg,肺毛細血管嵌壓正常(靜息時12~15mmHg)。毛細血管前肺動脈高壓分級(靜息肺動脈平均壓),輕度:26~35mmHg;中度:36~45mmHg;重度:>45mmHg。
通常有症狀的原發性肺動脈高壓靜息肺動脈平均壓>45mmHg。早期輕症原發性肺動脈高壓患者的症狀不多,就醫者少,不易得到該期血流動力學資料,因此,多數患者的血流動力學特徵是重度肺動脈高壓。肺動脈平均壓通常增加3倍,約為8±2.4kPa(60±l8)mmHg,範圍3.7~16.9kPa(28~127mmHg);右房壓輕到中度增加,為1.2±0.8kPa(9±6)mmHg,範圍0~3.9kPa(0~29mmHg);肺毛細血管嵌壓正常;心臟指數輕度減少,為(2.27±0.9)L/(min?m),範圍0.8~7.9L/(min?m)。我院63例不能解釋的肺動脈高壓血流動力學資料與上述相似,基線平均肺動脈平均壓為8.7±0.3kPa(65.1±2.4)mmHg,平均肺動脈收縮壓為13.6±0.4kPa(102.1±3.3)mmHg,平均全肺阻力指數為(33.2±2.2)U/m;平均心臟指數為2.29±0.10L/(min?m),平均右房壓為1.4±0.1kPa(10.4±0.9)mmHg,所有資料說明,患者就診過晚,多數已有重度肺動脈高壓和右心功能不全,這不能不影響患者的治療和預後。
血流動力學分析發現,症狀的嚴重性與肺動脈高壓的程度關係不大,可能與右房壓增加和心排血量減少有關,這二者均反映右心室功能不全。出現症狀的時間小於1年者與大於3年者之間肺動脈平均壓相似,表明在病程的早期肺動脈壓已增加到高水平。僅有勞力性呼吸困難的患者肺動脈高壓已相當嚴重,疲乏和水腫反映已有右心衰竭,處於病程的晚期。
鑑別診斷
原發性肺動脈高壓治療方案
原發性肺動脈高壓治療的目的:因原發性肺動脈高壓的病因不清,治療帶有經驗性質。從組織學特徵上考慮,“原發性肺動脈高壓”的組成包括血栓栓塞、致叢性、肺靜脈堵塞性及其他疾病。治療主要應針對血管收縮、內膜損傷、血栓形成及心功能不全等方面進行,旨在恢復肺血管的張力、阻力和壓力,改善心功能,增加心排血量,提高生存質量;建立長期的治療方案使增生的內膜、肥厚的中層,甚至更嚴重的形態學改變得以減輕或消失。正確的治療應包括急性血管反應性試驗和長期藥物治療等。
1、血管擴張藥據推測,肺血管張力的改變至少在某些原發性肺動脈高壓肺血管阻力增加中起重要作用。目前普遍的看法是首先肺小動脈出現內膜損傷,繼而平滑肌發生改變,其過程有2種可能:
①原發損傷是肺血管內皮細胞,增生的內皮引起肺血管收縮或通過釋放血管收縮物質,或與血小板相互作用增加血栓素A2的生成,使內皮不能產生血管擴張物質,如依前列醇(前列環素)或內皮舒張因子等;
②起始改變是嚴重而持久的肺血管收縮伴內皮損傷,而哪一種病理生理的後果導致肺動脈高壓,凡能減少肺小動脈張力的治療都是有益的。
(1)肺血管反應性的測定:一般相信,於疾病早期初始病變在內膜抑或在平滑肌,血管收縮總是經常存在的,以血管擴張劑治療可使收縮減輕;而在疾病的晚期,由於內膜纖維化和肥厚的中層纖維化或血栓形成限制了血管的擴張和血管的反應性,對治療反應不佳,甚至出現矛盾反應。因此,對原發性肺動脈高壓患者,如有可能,在確定長期血管擴張藥治療前都應做右心導管檢查,以檢測肺血管的反應性。
①急性藥物試驗:理想的藥物試驗應提供以下信息:
A.是否存在肺血管收縮;B.是否存在固定的肺血管結構改變;C.預後判定;D.套用血管擴張藥的安全性。
②急性藥物試驗與長期治療效果:急性試驗的結果可比較準確地預測患者的長期療效。
③有無固定性肺血管結構改變:雖然對血管擴張藥缺乏反應則認為有進行性肺血管病變,但缺少反應也可能是由於內皮損傷或血管功能不全,不一定都是血管結構固定性阻塞。儘管如此,血管擴張藥通過引起血流動力學改變可能區別阻塞與內皮損傷。
④對血管擴張藥的急性反應與預後判斷:一組患者隨診2年,發現急性試驗反應良好者平均生存時間比無反應者長。亦有作者比較觀察了15例原發性肺動脈高壓患者的血管反應性、預後與形態學間的關係,平均隨訪22個月,結果6例穩定或改善;9例惡化或死亡。穩定好轉組內膜占動脈壁截斷面積為(10.1±7.7)%,而惡化死亡組為(25.6±15.8)%。
⑤血管擴張藥急性試驗的安全性:原發性肺動脈高壓患者右心導管檢查術的危險性較小,美國國家前瞻性研究187例診斷性檢查無1例死亡。另報導417例血管擴張藥急性試驗過程中死亡2例,病死率小於0.5%。試驗過程常見的副作用還有體循環低血壓,肺動脈壓矛盾性升高及氧分壓進一步下降等,停藥後多能自然恢復。
⑥血管擴張藥急性試驗的血流動力學反應:幾乎所有用於治療原發性肺動脈高壓的藥物都來自抗高血壓藥,事實上,肺血管擴張藥的劑量多是以體循環血壓的下降來確定。迄今,除氧氣及一氧化氮外,尚無其他藥物能選擇性地作用於肺循環,遺憾的是,急性吸氧試驗對原發性肺動脈高壓一般無明顯反應。一氧化氮吸入常用濃度為20~40ppm,15~30min,多有良好反應。
血管擴張藥通常可引起3類血流動力學反應,一類可能有好處,兩類有危險。
A、良好反應患者肺動脈和體動脈血管床擴張,心排血量增加,肺動脈壓明顯下降,體動脈壓下降輕微;
B、不良反應者體動脈擴張,肺動脈固定不變,心排血量不增加,體動脈壓急劇下降;
C、另一類不良反應者體動脈擴張,心排血量增加,肺血管擴張不充分,肺動脈高壓進一步加重。至少肺動脈壓下降22%,肺血管阻力下降36%才能認為反應良好。前列腺素(PGI2,PGE1)作為血管擴張療法的指導用藥可能是一較好的急性試驗用藥物,出現血流動力學反應迅速,半壽期短,作用時間僅5~10min。另外可用的藥物還有硝苯地平和雙肼屈嗪。
原發性肺動脈高壓患者①β-腎上腺素能受體興奮劑:異丙腎上腺素舌下含服l0mg,通常只降低肺血管阻力,而肺動脈壓不變甚或升高,繫心排血量增加之故;少數患者也可見肺血管阻力和壓力同時下降。長期服用可改善血流動力學,但常因心悸、震顫、心絞痛等併發症而不能堅持套用,該藥可改善症狀而不能延長生命,目前已被其他血管擴張藥所代替。
②α-腎上腺素能受體阻滯劑:酚妥拉明中等程度降低肺動脈壓和阻力,但可誘發立位性低血壓。酚苄明是一長效α-腎上腺素能受體阻斷劑,也有降低肺動脈壓和阻力的作用。
③鈣通道阻滯劑:常用的有硝苯地平和地爾硫卓及其長效劑型,可降低靜息和運動過程肺動脈壓和阻力,作用大於肼屈嗪,對體循環壓影響較小。硝苯地平的急性擴血管作用大於地爾硫卓,它雖可進一步惡化通氣/灌注比值,但由於心排血量增加,混合靜脈血氧分壓升高,動脈血氧分壓還有提高,改善運動量,有時對心臟功能不全患者表現出一定的抑制作用。也有人主張對前列環素PGl2試驗反應良好者繼之給以大劑量的地爾硫卓(可達480~720mg/d)。
④直接作用於平滑肌的血管擴張藥:
A、二氮嗪:能降低肺動脈壓和阻力,改善症狀和血流動力學,重症患者大劑量靜脈給藥發現心率、心排血量和肺動脈壓增加,也可發生體循環壓力明顯下降。有報導長期口服可降低肺動脈壓,但也可引起外周水腫、糖尿病、體位性低血壓、多毛症、噁心、嘔吐等。
B、肼屈嗪:自從報導口服該藥降低靜息和運動肺血管阻力以來,已被用於臨床,輕症效果較好,重症患者肺動脈壓降低不滿意,且可引起明顯的體動脈壓下降。
⑤前列腺素(PGI1,PGE1,2):雖不是選擇性肺血管擴張藥,但它能降低肺循環阻力和肺動脈壓,並增加心排血量,也不惡化肺通氣/血流比值,副作用相對較小。依前列醇(epoprostenolsodium)是一前列環素製劑,有報導由23個單位參加,其中19個單位共提供500餘例原發性肺動脈高壓患者服用依前列醇的結果(儘管該文有一定限制,但仍有參考價值)。年齡18~40歲,32%患者吸入NO做急性藥物試驗,少數用鈣拮抗劑、腺苷、依前列醇及前列腺素E1,也有用吸、血管緊張素轉換酶抑制劑或其受體抑制劑者。試驗反應陽性標準為肺動脈壓下降>20%,心排血量增加>20%,肺血管阻力下降>20%或30%,陽性反應率各單位不一,從10%到75%,中間值為30%。依前列醇長期治療的初始劑量為(2±1)ng/(kg?min),平均每天增加1~2ng/(kg?min),出院時平均劑量為(6.5±2.5)ng/(kg?min)。長期治療平均時間為(3±1)周,中位數劑量為8ng/(kg?min),最大為270ng/(kg?min),70%患者的病情持續改善。早期副作用有噁心、頭痛、心悸、腹瀉、面紅、下頜痛及低血壓等。同時合用口服血管擴張藥者10%~90%,最常用的是鈣通道阻滯劑,全部常規抗凝,90%用華法林。9個單位做了右心導管複查,平均隨診時間(7.5±3.8)個月,肺動脈壓平均下降15%~25%,肺血管阻力平均下降>25%,心排血量增加>25%。500例接受長期依前列醇治療者中僅約20%患者從鈣通道阻滯劑治療中獲得長期效果。10餘年來顯示,對鈣通道阻劑治療無反應的原發性肺動脈高壓患者,長期靜滴依前列醇(前列環素)可能最為有效。
⑥血管緊張素轉換酶抑制劑:如卡托普利急性血流動力學效果很小,短期療效不理想。但研究發現原發性肺動脈高壓患者肺血管內皮和中層轉換酶表達增加,神經內分泌增多,表明血管緊張素Ⅱ可能參與原發性肺動脈高壓的形成,因此,血管緊張素轉換酶抑制劑治療原發性肺動脈高壓似乎是合乎邏輯的,不一定需引起急性肺血管擴張。通過抑制血管緊張素轉換酶的活性,減少組織及循環血中血管緊張素Ⅱ含量,同時增加緩激肽及前列環素水平,限制血管增生和減輕神經內分泌對血管和心肌的作用,影響疾病的過程。
⑦一氧化氮(NO):系內皮細胞舒張因子(EDRF),有重要的調節血管張力作用,是一強力血管擴張劑,維持血管床呈相對的鬆弛狀態。正常內皮細胞產生NO功能喪失,可能引起肺動脈收縮和平滑肌細胞增生。最近報導,原發性肺動脈高壓患者一氧化氮合酶水平下降,表明局部NO產量不足可能是本病過程的一部分;也發現肺血管改變愈重NO合酶愈少。因此,已把NO吸入作為治療原發性肺動脈高壓的重要方法之一用於臨床。北京阜外心血管病醫院觀察了9例原發性肺動脈高壓患者長期吸入NO的療效,濃度為20ppm,每天4h共4周,結果:肺動脈壓下降11.8%,心排血量增加37.8%。臨床未見明顯毒副作用。因吸入NO是一選擇性肺血管擴張劑,對體循環幾乎無作用,因此該方法小劑量治療原發性肺動脈高壓無明顯副作用。
上述各藥的具體用法和參考劑量。現在已知血管擴張藥可以引起某些副作用,尤其對重症不能解釋的肺動脈高壓患者應特別注意。常見的副作用有:
A.體循環血壓下降;B.肺動脈壓矛盾性升高;C.低氧血症加重;D.右心功能惡化;F.猝死等。因此在用藥過程中,特別在初始用藥或增加劑量時應在密切觀察下進行。
原發性肺動脈高壓的治療3、心肺移植原發性肺動脈高壓患者的預後不良,僅10%~20%患者經血管擴張藥等治療病情好轉和穩定,生存時間超過5年者不及1/3,尤其晚期重症患者保守治療已無希望,常是心肺或肺或單肺移植的適應證。原發性肺動脈高壓實施心肺移植的具體指征是心臟指數小於1.5L/kg,混合靜脈血氧飽和度小於63%,對前列腺素急性藥物試驗反應不好。Butt和Higenbottam提出原發性肺動脈高壓的分層治療:不太嚴重的肺動脈高壓患者,對急性血管擴張療法有反應,右房壓下降者可用鈣通道阻滯劑,可改善生存機會和症狀。比較嚴重的患者,特別是混合靜脈血氧飽和度低於60%,心臟指數小於2L者可考慮長期靜滴前列腺素。最嚴重的患者右房壓升高超過15mmHg考慮行肺或心肺移植。不能接受依洛前列素(iloprost)等前列環素的患者都應給予抗凝治療。
4、心功能不全的治療對延長患者的生命有一定作用,特別是心功能不全的早期。治療方法與一般心力衰竭者相同,唯血管擴張藥的使用宜小量。
預後情況
30年前原發性肺動脈高壓患者的預後是災難性的,症狀出現後平均只能生存2~3年。近來,通過血管擴張藥物的急性試驗和長期治療已發現20%左右患者的病情有所緩解或停止發展,在一定程度上改善了預後;單肺移植的成功使器官移植的遠期生存率明顯提高,這些都給原發性肺動脈高壓患者的治療帶來希
望。
預防方法
原發性肺動脈高壓的病因不清,流行病學的資料有限,又無相似的動物模型可供研究,故其預防比較困難,只能根據有關推測的病因進行。
相關條目
肺原性心臟病、大腸桿菌感染、利斯特氏菌病、布魯斯氏菌病、病毒性出血熱、細菌性食物中毒、沙門氏菌病、假單胞菌感染、單純皰疹病毒感染、菌質體感染、葡萄球菌感染、鏈球菌感染、衣原體感染、克雷伯氏菌感染、腺病毒感染、非典型分枝桿菌病、非典型分枝桿菌病、中耳癌、血管運動性鼻炎、急性心肌梗死、腦中風、原發性肺動脈高壓、侵蝕性葡萄胎、分泌性中耳炎、先天性後鼻孔閉鎖、鼻竇囊腫、鼻中隔穿孔、喉阻塞、鏈球菌性咽炎、慢性咽炎、噪聲性耳聾、鼻癤、先生性耳前瘺管、耵聹栓塞、阻塞性睡眠呼吸暫停綜合徵、腺樣體肥大、病毒性心肌炎、病毒性腦膜炎、病毒性皰疹、過敏性哮喘、過敏性結膜炎、佝僂病、甲狀腺機能亢進、帕金森病、老年性白內障、胰腺炎、腎衰竭、視網膜脫離、靜脈炎、骨髓炎、尿道狹窄。
疾病大觀
| 伴隨著人們生活水平的日益提高,各種各樣的疾病也以極高的頻率出現在我們的生活中,這些疾病困擾著人們,讓人們備受折磨。現在,病理學常識帶我們去科學的認識了解這些疾病,在科學的指引下,認清這些疾病的真面目,擺脫疾病的困擾,讓每一個人都有一個健康的體魄! |

