概述
慢性心功能不全病因
成人充血性心力衰竭的最常見的病因為冠狀動脈粥樣硬化性心臟病(冠心病)、高血壓性心臟病(高心病)、瓣膜病、心肌病和肺原性心臟病(肺心病)。其它較常見的病因有心肌炎、腎炎和先天性心臟病。較少見的易被忽視的病因有心包疾病、甲狀腺功能亢進與減退、貧血、腳氣病、動靜脈瘺、心房粘液瘤和其他心臟腫瘤、結締組織疾病、高原病及少見的內分泌病等。上述心力衰竭的基本原因,可通過下列機理影響心功能,引起心力衰竭。
病因 肺心病(二)心室的壓力負荷(後負荷)過重 肺及體循環高壓,左、右心室流出道狹窄,主動脈或肺動脈瓣狹窄等,均能使心室收縮時阻力增高、後負荷加重,引起繼發性心肌舒縮功能減弱而導致心力衰竭。
(三)心室的容量負荷(前負荷)過重 瓣膜關閉不全、心內或大血管間左至右分流等,使心室舒張期容量增加,前負荷加重,也可引起繼發性心肌收縮力減弱和心力衰竭。
(四)高動力性循環狀態 主要發生於貧血、體循環動靜脈瘺、甲狀腺功能亢進、腳氣性心臟病等,由於周圍血管阻力降低,心排血量增多,也能引起心室容量負荷加重,導致心力衰竭。
(五)心室前負荷不足 二尖瓣狹窄,心臟壓塞和限制型心肌病等,引起心室充盈受限,體、肺循環充血。心力衰竭的誘發因素,常見的誘因如下:
誘因 風濕熱1、感染 呼吸道感染為最多,其次為風濕熱。在兒童風濕熱則占首位。女性患者中泌尿道感染亦常見。亞急性感染性心膜炎也常因損害心瓣和心肌而誘發心力衰竭。
2、過度體力活動和情緒激動。
3、鈉鹽攝入過多。
4、心律失常 特別是快速性心律失常,如伴有快速心室率的心房顫動(房顫)、心房撲動(房撲)。
5、妊娠和分娩。
6、輸液(特別是含鈉鹽的液體)、輸血過快和(或)過多。
7、洋地黃過量或不足。
8、藥物作用
① 使用抑制心肌收縮力的藥物,如β受體阻滯劑,體內兒茶酚胺的消耗藥物(如利血平類),交感神經節阻滯劑(如胍乙啶)和某些抗心律失常藥物(如奎尼丁、普魯卡因胺、維拉帕米等);
② 水鈉瀦留,激素和藥物的套用,如腎上腺皮質激素等造成水鈉瀦留。
9、其它 出血和貧血、肺栓塞、室壁膨脹瘤、心肌收縮不協調、乳頭肌功能不全等。
病理
慢性心功能不全 病理病理解剖:充血性心力衰竭的病理解剖學改變包括:
① 心臟本身的代償性病理改變,如心肌肥厚和心腔擴大等;②長期靜脈壓增高所引起的器官充血性病理改變;
③ 心房、心室附壁血栓、靜脈血栓形成,動脈栓塞和器官梗塞。長期左心室或左心房衰竭的患者,肺毛細血管充血,肺動脈和肺靜脈中層肥厚,內膜不同程度纖維化;肺泡間含鐵血黃素的吞噬細胞增多,肺泡壁增厚,彈性減退。
長期右心衰竭的患者內臟器官毛細血管和靜脈瘀血,肝小葉中央血竇瘀血,嚴重時可致小葉中央肝細胞壞死和結締組織增生,形成心原性肝硬化。心腔內附壁血栓是心力衰竭的較特異性的病理改變,常見於左、右心耳和左心室心尖部。靜脈血栓形成大多由血流遲緩引起,多見於下肢靜脈,血栓近端易折斷,可引起肺栓塞和不同程度的肺梗塞。左側心臟附壁血栓脫落,可引起體循環動脈栓塞,多見於腹主動脈分支、主動脈分支處,引起腦、腎、四肢、脾和腸系膜的梗塞。右側心腔附壁血栓脫落引起肺栓塞的較少見。
長期負荷增加導致心肌肥厚和心腔擴大,以致心力衰竭時,相應的病理改變可大致分為三個時期:
第一期 短暫的損傷期。臨床有肺充血的表現,病理檢查發現心肌纖維水腫、相互分隔增寬。細胞內糖原和三磷酸腺苷(ATP)含量降低,磷酸肌酸顯著減少,乳酸生成略增,蛋白合成旺盛,核糖核酸(RNA)及線粒體增多。
第二期 較長期的、穩定的功能亢進期。臨床症狀不明顯,組織病理髮現心肌肥厚、心肌纖維增大、小量纖維化病變。細胞內糖原、ATP、磷酸肌酸含量正常,乳酸生成增加,蛋白合成正常。RNA含量正常,脫氧核糖核酸(DNA)減少。心肌纖維的增加相對地較線粒體的增多明顯。
第三期 長期的耗竭和纖維化期。臨床上心力衰竭持續,組織病理髮現心肌組織被纖維組織代替,出現不成比例的結締組織增生和脂肪變性、肌肉細胞的細胞核固縮。細胞內蛋白合成和DNA明顯減少,其它同第二期。顯微鏡下並無收縮蛋白形態異常的直接證據。
病理生理
(一)正常心臟泵血的生理 心臟的泵血功能雖然主要取決於心肌的收縮和舒張特性,但也受心臟前、後負荷和心率的影響。
心肌的收縮與舒張特性1、心肌的收縮與舒張特性 肌節是心肌收縮和舒張的基本單位,由粗細兩種肌絲交錯排列構成。粗肌絲為肌凝蛋白,位於肌節中央。細肌絲為肌纖蛋白,位於肌節的兩旁,並與肌凝蛋白部分重疊。在心肌舒張時,由於肌纖蛋白上的兩種調節蛋白--向寧蛋白與向肌凝蛋白的複合體阻礙了其與肌凝蛋白結合,使兩者保持分離狀態,肌節弛展。當心肌細胞除極時,膜外的鈣離子隨同鈉離子內流,經肌膜進入肌管系統(包括肌漿網和橫管系統),微量Ca2 內流刺激肌漿網絡池中貯存的鈣離子通過Ca2 釋放通道RYR受體大量釋放,Ca2 作用於肌纖蛋白上的調節蛋白複合體,使肌纖蛋白上的受點暴露,肌凝蛋白的球形頭端得以與肌纖蛋白結合,形成橫橋,肌纖蛋白由兩旁向肌節中央滑行,致肌節縮短,心肌收縮。心肌細胞除極導致心肌機械收縮的過程稱為興奮-收縮耦聯。
慢性心功能不全病生2、前負荷 指心室在收縮前所承受的容量負荷,即心室舒張末期容量。它受循環血量、靜脈張力、心室順應性及心房收縮的影響。根據Frank-Starling定律,前負荷的增加,由於使肌纖維牽張,在一定限度內使心肌收縮力增強,心搏量增加。但當前負荷的增加超過一定限度後,由於肌纖維過度牽張(>2.2μm),心肌收縮力反而下降,心搏量減少。雖然晚近的電鏡研究顯示活體衰竭心臟的肌節長度平均在2.2μm,並不是在Frank-Starling曲線的下降支工作,提示心肌收縮力的減退主要在於其內在的缺陷。臨床上常用心室舒張末期壓(即充盈壓)來表示心室前負荷,用心室功能曲線來表示前負荷與心搏量的關係。對左心室而言,舒張末期壓在2.0~2.4kPa(15~18mmHg)時,心搏量達峰值。前負荷不足或過度,均可導致心搏量減少。心功能不全時,心功能曲線向右下移位,心搏量隨前負荷增加的幅度明顯減小。
慢性心功能不全病生4、心率直接影響心排血量 心率增快在一定限度內可使心肌收縮力相應增強;但心率過快時,心室由於舒張期顯著縮短而充盈減少,心搏量和心排血量反見下降。
(二)心功能不全時的變化 當各種原因導致心肌負荷過度或心肌喪失時,循環功能的立即短暫調節有賴於神經激素系統的血流動力效應;而長期調節則依靠心肌機械負荷誘發的與神經激素系統介導的心肌重構與心室重塑。若機體通過上述調節尚能維持靜息和運動時心排血量正常,或靜息時正常而運動時略不足,是為適應良好(adaptATion),心泵功能代償,但心臟儲備已減少。
1、心肌重構 由心室壁應力增高的機械信號,腎上腺素能α1或β受體刺激和血管緊張素ⅡAT1受體刺激等化學信號以及各種肽類生長因子所觸發。這些信號經過肌膜通道和微管系統cAMP等的傳遞,抵達細胞核的DNA後,引起基因表達的改變。於是心肌細胞的蛋白合成加速,膠原蛋白合成超過分解,心肌細胞肥大,成纖維細胞增殖,心肌內微血管平滑肌增生,中層增厚。其結果是心肌肥厚、蛋白結構成份改變,心肌興奮-收縮耦聯過程改變,生化反應和功能發生相應變化。這些變化既具有益的方面,也存在不利的方面。
心室重塑3、神經激素系統的變化 近年大量的研究顯示在心力衰竭的發生和發展過程中,始終有神經激素系統激活的因素參與。起初神經激素系統激活可能短期維持循環與重要器官灌注,長期活性增高則促使心肌重構和心室重塑持續進行,最終導致心力衰竭發生。此時,神經激素系統激活使心室前、後負荷增高的作用,進一步加重血流動力紊亂。
4、周圍血管的變化 上述神經激素的調節,導致周圍動、靜脈收縮。周圍小動脈收縮使周圍阻力增加。壓力感受器調節反應性減弱,因而使用擴血管劑常不伴有明顯的心率增快反應。為保持腦和心臟重要臟器在有限的心排血量時仍有足夠的血供,皮膚、內臟、骨骼肌和腎臟的血循環常明顯減少。這一區域性血流的改變也形成了心力衰竭的部份症狀與體徵。
在心力衰竭病理生理變化過程中,代償機制的過度(overshoot)可導致:
① 心率過快,甚至發生快速性心律失常。這不僅增加心肌氧耗量,而且影響了舒張期心室充盈及冠脈灌流;
② 小動脈過度收縮,使周圍血管阻力異常增高,心臟後負荷增加。而且腎素、血管緊張素及血管加壓素無選擇性地加強周圍血管收縮,還能影響重要臟器的血供。此時,縮血管反應占優勢,遠超過心房利鈉素和前列腺素E2和I2的擴血管反應;
③ 水鈉瀦留,血容量增多,加之靜脈收縮,使心臟前負荷顯著增高。當左室充盈壓>2.0~2.4kPa(15~18mmHg)時,心搏量不再增加甚至下降,可出現明顯的循環淤血和周圍水腫。最終導致低心排血量,高周圍阻力和循環淤血的心力衰竭。
臨床表現
充血性心力衰竭的主要臨床表現是“充血”,其次是周圍組織灌注不足。臨床上習慣於按心力衰竭開始發生於哪一側和充血主要表現的部位,將心力衰竭分為左側心力衰竭、右側心力衰竭和全心衰竭。心力衰竭開始發生在左側心臟和以肺充血為主的稱為左側心力衰竭;開始發生在右側心臟並以肝、腎等器官和周圍靜脈淤血為主的,稱為右側心力衰竭。兩者同時存在的稱全心衰竭。以左側心力衰竭開始的情況較多見,大多經過一定時期發展為肺動脈高壓而引起右側心力衰竭。單獨的右側心力衰竭較少見。
慢性心功能不全 左心衰可分為左心室衰竭和左心房衰竭兩種。左心室衰竭多見於高心病、冠心病、主動脈瓣病變和二尖瓣關閉不全。急性腎小球腎炎和風濕性心臟炎是兒童和少年患者左心室衰竭的常見病因。二尖瓣狹窄時,左心房壓力明顯增高,也有肺充血表現,但非左心室衰竭引起,因而稱為左心房衰竭。
(一)症狀
1、呼吸困難 是左側心力衰竭最主要的症狀。肺充血時肺組織水腫,氣道阻力增加,肺泡彈性降低,吸入少量氣體就使肺泡壁張力增高到引起反射性呼氣開始的水平。這就造成呼吸困難,且淺而快。不同情況下肺充血的程度有差異,呼吸困難的表現有下列不同形式:勞力性呼吸困難;端坐呼吸;陣發性夜間呼吸困難及急性肺水腫。
2、倦怠、乏力 可能為心排血量低下的表現。
3、陳-施呼吸(Cheyne-Stokes respirATion) 見於嚴重心力衰竭,預後不良。呼吸有節律地由暫停逐漸增快、加深,再逐漸減慢、變淺,直到再停,約半至一分鐘後呼吸再起,如此周而復始。發生機理是心力衰竭時腦部缺血和缺氧,呼吸中樞敏感性降低,呼吸減弱,二氧化碳儲留到一定量時方能興奮呼吸中樞,使呼吸增快、加深。隨二氧化碳的排出,呼吸中樞又逐漸轉入抑制狀態,呼吸又減弱直至暫停。腦缺氧嚴重的患者還可伴有嗜睡、煩躁、神志錯亂等精神症狀。
(二)體徵
1、原有心臟病的體徵。
2、左心室增大 心尖搏動向左下移位,心率增快,心尖區有舒張期奔馬律,肺動脈瓣區第二心音亢進,其中舒張期奔馬律最有診斷價值,在患者心率增快或左側臥位並作深呼氣時更容易聽到。左室擴大還可形成相對性二尖瓣關閉不全,產生心尖區收縮期雜音。
3、交替脈 脈搏強弱交替。輕度交替脈僅能在測血壓時發現。
4、肺部羅音雖然部分左側心力衰竭患者肺間質水腫階段可無肺部羅音,肺充血只能通過X線檢查發現,但兩側肺底細濕羅音至今仍被認為是左側心力衰竭的重要體徵之一。陣發性呼吸困難或急性肺水腫時可有粗大濕羅音,滿布兩肺,並可伴有哮鳴音。
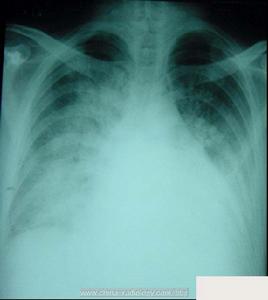
左心衰 x線表現(三)早期X線檢查
肺靜脈充盈期左側心力衰竭在X線檢查時僅見肺上葉靜脈擴張、下葉靜脈較細,肺門血管陰影清晰。在肺間質水腫期可見肺門血管影增粗、模糊不清,肺血管分支擴張增粗,或肺葉間淋巴管擴張。在肺泡水腫階段,開始可見密度增高的粟粒狀陰影,繼而發展為雲霧狀陰影。急性肺水腫時可見自肺門伸向肺野中部及周圍的扇形雲霧狀陰影。此外,左側心力衰竭有時還可見到局限性肺葉間、單側或雙側胸水;慢性左側心力衰竭患者還可有葉間胸膜增厚,心影可增大(左心室增大)。
右側心力衰竭
慢性心功能不全 右心衰(一)症狀 主要由慢性持續淤血引起各臟器功能改變所致,如長期消化道淤血引起食欲不振、噁心、嘔吐等;腎臟淤血引起尿量減少、夜尿多、蛋白尿和腎功能減退;肝淤血引起上腹飽脹、甚至劇烈腹痛,長期肝淤血可引起黃疸、心原性肝硬化。
(二)體徵
1、原有心臟病的體徵。
2、心臟增大 以右心室增大為主者可伴有心前區抬舉性搏動(胸骨左緣心臟搏動有力且持久)。心率增快,部分患者可在胸骨左緣相當於右心室表面處聽到舒張早期奔馬律。右心室明顯擴大可形成功能性三尖瓣關閉不全,產生三尖瓣區收縮期雜音,吸氣時雜音增強。
3、靜脈充盈 頸外靜脈充盈為右側心力衰竭的早期表現。半臥位或坐位時在鎖骨上方見到頸外靜脈充盈,或頸外靜脈充盈最高點距離胸骨角水平10cm以上,都表示靜脈壓增高,常在右側較明顯。嚴重右側心力衰竭靜脈壓顯著升高時,手背靜脈和其它表淺靜脈也充盈,並可見靜脈搏動。
4、肝腫大和壓痛 出現也較早,大多發生於皮下水腫之前。肝腫大劍突下較肋緣下明顯,質地較軟,具有充實飽滿感,邊緣有時捫不清,叩診劍突下有濁音區,且有壓痛。壓迫肝臟(或劍突下濁音區)時可見頸靜脈充盈加劇(肝頸靜脈返流現象)。
右心衰 下垂性水腫6、胸水和腹水 胸膜靜脈回流至上腔靜脈、支氣管靜脈和肺靜脈,右側心力衰竭時靜脈壓增高,可有雙側或單側胸水。雙側胸水時,右側量常較多,單側胸水也以右側為多見,其原因不明。
7、心包積液 少量心包積液在右側心力衰竭或全心衰竭時不少見。常於超聲心動圖或屍檢時發現,並不引起心臟壓塞症狀。
8、紫紺 長期右側心力衰竭患者大多有紫紺,可表現為面部毛細血管擴張、青紫和色素沉著。紫紺是血供不足時組織攝取血氧相對增多,靜脈血氧低下所致。
9、晚期患者可有明顯營養不良、消瘦甚至惡病質。
(三)實驗室檢查
實驗室檢查2、血清膽紅質和谷丙轉氨酶可略增高。
3、尿的改變 可有輕度蛋白尿、尿中有少量透明或顆粒管型和少量紅細胞,可有輕度氮質血症。
(四)X線檢查 示心影增大,上腔靜脈增寬,右房、右室增大,可伴有雙側或單側胸水。
診斷
典型的心力衰竭診斷並不困難。左側心力衰竭的診斷依據為原有心臟病的體徵和肺循環充血的表現。右側心力衰竭的診斷依據為原有心臟病的體徵和體循環瘀血的表現,且患者大多有左側心力衰竭的病史。
慢性心功能不全心力衰竭時常伴心臟擴大,但正常大小的心臟也可發生心力衰竭,如急性心肌梗塞。肺氣腫時心臟擴大可被掩蓋;心臟移位或心包積液又可被誤認為心臟擴大。可見,為了正確診斷心力衰竭,避免漏診和誤診,必須詳細詢問病史,仔細檢查,結合心臟病和心力衰竭的症狀和體徵,進行綜合分析。
治療
近年對收縮性心力衰竭的防治有重大進展。評價療效的方法除根據症狀、血流動力效應、運動耐量和生活質量的改善外,還增加了長期治療的安全性、病死率、生存期、神經激素系統激活程度等指標。在防治的對策上日益強調預防心力衰竭的形成和發展的重要性。對無症狀的和輕度有症狀的心力衰竭,主張用血管緊張素轉換酶抑制劑(ACEI)治療以改善預後;對重度有症狀的心力衰竭亦宜用ACEI聯合利尿劑和(或)地高辛治療,以減輕症狀、減少致殘和延長生存期。
病因治療 青黴素風濕性心瓣膜病在我國仍屬慢性心力衰竭的常見病因。套用青黴素治療鏈球菌感染,已使風濕熱和風濕性心瓣膜病在已開發國家基本絕跡。擇期手術治療風濕性心瓣膜病,有效地控制高血壓以及積極防治冠脈病變與心肌缺血等病因治療;消除心力衰竭的誘因如控制感染、避免體力過勞和精神應激等。可預防心力衰竭的發生。
(二)收縮性心力衰竭的治療
1、減輕心臟負荷 包括減少體力活動和精神應激。嚴重者宜絕對臥床休息,在心功能逐步改善過程中,適當下床活動,以免臥床休息過久並發靜脈血栓形成或肺炎。此外,應注意解除精神負擔,必要時給予小量鎮靜劑。
2、限制鈉鹽攝入 適當限制日常飲食中的鈉鹽攝入量,食鹽量2~5g,忌鹽醃製食物。套用利尿劑引起大量利尿時,鈉鹽限制不宜過嚴,以免發生低鈉血症。
3、利尿劑的套用 利尿劑通過抑制腎小管不同部位Na 重吸收,或增加腎小球Na 濾過,增進水、Na 排出,從而降低心室充盈壓,減輕肺循環和(或)體循環瘀血所致臨床症狀,其療效肯定,但對心力衰竭整體過程的影響(如生存率等)不明,長期套用利尿劑理論上可能產生下列不良作用:
① 降低心排血量,從而激活RAS,血漿腎素和醛固酮增高。
② 導致低鉀血症。
③ 降低糖耐量。
④ 導致高尿酸血症。
⑤ 導致高脂血症。
⑥ 導致室性心律失常。目前利尿劑屬治療心力衰竭伴水、鈉瀦留患者的一線藥物,大多與其他心力衰竭治療藥物(如地高辛、ACE
慢性心功能不全 利尿治療4、正性肌力藥物的套用 由於慢性心力衰竭患者心肌收縮性減弱,改善心肌收縮功能曾被認為是心力衰竭的首要治療。正性肌力藥物能使心室功能曲線左上移,增加每搏作功,降低心室充盈壓,從而使擴大的心臟縮小。雖然在增加心肌收縮的同時也增加心肌能量消耗,但擴大的心臟縮小後,其心肌氧耗和冠脈血供分別較心臟擴大時降低和改善,心肌能量供需的不平衡因而並不加重,甚至有所減輕。正性肌力藥減輕症狀、改善運動耐量和心功分級的效果明顯,但多中心隨機對照慢性心力衰竭患者長期臨床治療試驗結果表明除洋地黃外,大多具有增高病死率與室性心律失常發生率的傾向。ACEI則不僅減輕症狀、改善運動耐量和心功分級的效果更顯著,且能降低病死率和病殘率。因而大多數臨床醫師選用ACEI作為與利尿劑聯用,以治療竇性心律的慢性心力衰竭患者。
5、血管擴張藥的套用 血管擴張藥用於治療心力衰竭已20餘年,完成的多中心隨機對照大系列長期臨床試驗結果對擴血管藥治療慢性心力衰竭的效果有更深理解。擴血管藥作為一類藥物雖然都具有降低阻力或容量血管張力,減輕心室前和(或)後負荷,改善血流動力異常和運動耐力的短期效應,但長期治療對慢性心力衰竭患者病死率與心力衰竭惡化率的影響有顯著差別。少數血管擴張藥如第一代Ca 通道阻滯劑可能增加心肌梗塞後有症狀心力衰竭患者的病死率,並致慢性收縮性心力衰竭患者的血流動力與臨床惡化。少數擴血管藥降低慢性心力衰竭患者病死率的效應已經證實,如肼屈嗪和硝酸異山梨醇聯用(H-N)治療Ⅱ~Ⅲ級有症狀心力衰竭患者,ACEI單獨治療急性心肌梗塞後無症狀的左室收縮功能障礙患者以及ACEI與常規強心、利尿和其它擴血管藥聯用長期治療輕、中、重度慢性心力衰竭患者。HN與哌唑嗪比較,後者擴血管作用更明顯,但不降低病死率。H-N與ACEI比較,前者血流動力、運動耐力和左室射血分數改善的效應明顯,但降低病死率的作用反不如ACEI,上述結果表明ACEI的臨床套用是心力衰竭治療的重要發展。從預防和治療雙重角度出發,
6、β受體阻滯劑的套用問題β受體阻滯劑的負性肌力作用歷來被認為能使心力衰竭患者症狀惡化。雖然自1975年至今間斷有小系列臨床報導在常規強心、利尿治療後心率仍偏快時,加用小劑量β受體阻滯劑,可使部分擴張型心肌病伴慢性心力衰竭患者的臨床症狀改善。長期治療還能改善運動耐力、左室射血分數,減慢心力衰竭惡化進
藥物治療 美托洛爾