發生原因
(1)急性肺水腫是心內科急症之一,其臨床主要表現為:
突然出現嚴重的呼吸困難,端坐呼吸,伴咳嗽,常咳出粉紅色泡沫樣痰,病人煩躁不安,口唇紫紺,大汗淋漓,心率增快,兩肺布滿濕羅音及哮鳴音,嚴重者可引起暈厥及心臟驟停。
(2)急性肺水腫發生的原因,此病多發生於:①心肌有急性瀰漫性損害導致心肌收縮力減弱,如急性廣泛性心肌梗死、急性心肌炎等;②急性機械性阻塞致心臟壓力負荷過重及排血受阻,如嚴重高血壓、主動脈瓣狹窄或二尖瓣狹窄等;③急性心臟容量負荷過重,如急性心肌梗死或感染性心內膜炎、心臟外傷等引起心瓣膜損害、腱索斷裂、乳頭肌功能不全、室間隔穿孔等,此外靜脈輸血、輸液過多過快時也可導致急性肺水腫發生;④急性心室舒張受限,如急性大量心包積液所致的急性心臟壓塞導致心排出量減低和體循環淤血等;⑤組織代謝增加和循環加速如甲狀腺功能亢進、嚴重貧血等。
(3)臨床觀察:大多數急性肺水腫病人在發作前有許多誘因,如飽餐、大便用力、情緒波動、勞累、急性感染等
臨床表現
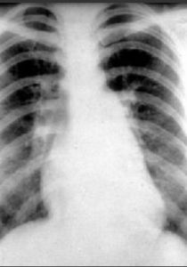
根據水腫發展的過程分為肺間質水腫期和肺泡水腫期 肺間質水腫期 症狀:病人常感到胸悶、恐懼、咳嗽、有呼吸困難。 體徵:面色蒼白、呼吸急速、心動過速、血壓升高,可聞及哮鳴音。 X線檢查:肺血管紋理模糊,肺門陰影不清楚。肺小葉間隔加寬,形成Kerley A線和B線。 血氣分析:PaCO2偏低,pH↑、呈 呼吸性鹼中毒。 肺泡水腫期 症狀: 病人面色更蒼白,更覺呼吸困難,出冷汗 等。 體徵: 口唇、甲床紫紺,湧出大量粉紅色泡沫痰,全麻病人可表現呼吸道阻力增加和發紺,經氣管導管噴出大量粉紅色泡沫痰;雙肺聽診: 滿肺濕羅音,血壓下降 X線檢查: 主要是肺泡狀增密陰影,相互融合呈不規則片狀模糊影,瀰漫分布或局限於一側或一葉,或見於肺門兩側,由內向外逐漸變淡,形成所謂蝴蝶狀典型 血氣分析: PaCO2偏高和/或PaO2下降,pH偏低,表現為低氧血症和呼吸性酸中毒診斷和鑑別診斷
肺水腫的診斷主要根據症狀、體徵和X線表現。 早期診斷方法:測定肺小動脈楔壓和 血漿膠體滲透壓,如壓差小於 4mmHg時不可避免出現肺水腫。 連續測定胸部基礎阻抗(胸腔液體指數,TFl),TFI下降揭示肺水增多。治療原則
病因治療:緩解和根本消除肺水腫的積極措施。 維持氣道,充分供02和機械通氣治療,糾正低氧血症。 降低肺血管靜水壓,提高血漿膠體滲透壓,改善肺毛細血管通透性。 保持病人鎮靜,預防和控制感染。搶救與護理
1)體位:取坐位或半臥位,兩腿下垂,以減少靜脈回流。
2)吸氧:高流量6-8L/分,35%酒精濕化吸氧。
3)鎮靜劑:皮下或肌內注射嗎啡5-10mg或哌替啶50mg,對於昏迷休克嚴重肺部疾病患者禁用。
4)利尿劑:靜注快速利尿劑,減少回心血量。
5)強心劑:緩慢靜注西地蘭0.2-0.4mg
6)血管擴張劑:降低前後負荷
7)氨茶鹼:解除支氣管痙攣,稀釋後緩慢靜注
8)糖皮質激素:地塞米松,減少毛細血管通透性,降低周圍血管阻力。
9)密切觀察神志、面色、心率、心律、呼吸、血壓、尿量、滴速、用藥反應等。
10)及時、準確、詳細地記錄。

