定義
以酶溶性變化為特點的活體內局部組織細胞的死亡成為壞死(necrosis)。
表現
細胞核
細胞核的改變是細胞壞死的主要形態學標誌,主要有三種形式:
①核濃縮(pyknosis),即由於核脫水使染色質濃縮,染色變深,核體積縮小;
②核碎裂(karyorrhexis),核染色質崩解為小碎片,核膜破裂,染色質碎片分散在胞漿內;
③核溶解(karyolysis),在脫氧核糖核酸酶的作用下,染色質的DNA分解,細胞核失去對鹼性染料的親和力,因而染色變淡,甚至只能見到核的輪廓。最後,核的輪廓也完全消失。
細胞漿
細胞漿嗜酸性染色增強。有時實質細胞壞死後,胞漿水分逐漸喪失,核濃縮而後消失,胞體固縮,胞漿強嗜酸性,形成嗜酸性小體,稱為嗜酸性壞死。實質細胞壞死後,整個細胞可迅速溶解、吸收而消失。
間質
在各種溶解酶的作用下,間質的基質崩解,膠原纖維腫脹、崩解、斷裂或液化。壞死的細胞和崩解的間質融合成一片模糊的顆粒狀、無結構的紅染物質。
分類
由於酶的分解作用或蛋白質變性所占地位的不同,壞死組織會出現不同的形態學變化,通常分為凝固性壞死、液化性壞死、纖維素樣壞死三個基本類型。此外,還有乾酪性壞死、脂肪壞死和壞疽等一些特殊類型的壞死。組織壞死後顏色蒼白,失去正常組織的彈性,失去正常感覺(皮膚痛、觸痛)及運動功能,無血管搏動,在清創術中切除失活組織時,沒有新鮮血自血管流出,臨床上這類組織稱為失活組織,應與及時切除。
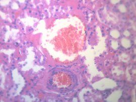
凝固性壞死
壞死組織因為失水變於、蛋白質凝固,而變為灰黃色比較乾燥結實的凝固體,故稱為凝固性壞死。凝固性壞死常見於心、腎、脾等器官的缺血性壞死。
肉眼形態:開始階段,壞死組織出現明顯腫脹,色澤灰暗,組織紋理模糊。以後壞死灶逐漸變硬,呈土黃色,壞死灶周圍常出現一出血帶,與健康組織分界清楚。
光鏡:可見壞死組織的細胞核固縮、核碎裂、核溶解及胞質呈嗜酸性染色,但組織結構的輪廓依然存在。
液化性壞死
壞死組織中可凝固的蛋白質少,或壞死細胞自身及浸潤的中性粒細胞等釋放大量水解酶,或組織富含水分和磷脂則細胞組織易發生溶解液化,稱為液化性壞死。
液化性壞死主要發生在含蛋白少脂質多(如腦)或產生蛋白酶多(如胰腺)的組織。
特殊類型壞死
乾酪樣壞死:乾酪樣壞死主要見於由結核桿菌引起的壞死,是凝固性壞死的一種特殊類型。由於組織分解較徹底,加上含有較多的脂質,因而壞死組織略帶黃色,質軟,狀似乾酪,故稱乾酪樣壞死。光鏡下不見組織輪廓只見一些紅染的無結構顆粒物質。
脂肪壞死:屬液化性壞死,分為酶解性和創傷性兩種。前者常見於急性胰腺炎。
纖維素樣壞死:纖維素樣壞死是發生在結締組織和小血管壁的一種壞死。光鏡下,病變部位的組織結構消失,變為境界不甚清晰的顆粒狀、小條或小塊狀無結構物質,呈強嗜酸性,似纖維蛋白,有時纖維蛋白染色呈陽性,故稱此為纖維蛋白樣壞死。常見於風濕病、系統性紅斑狼瘡、結節性多動脈炎、腎小球腎炎等變態反應性疾病。此外,急進型高血壓病、胃潰瘍的小血管壁也可發生纖維素樣壞死。
壞疽:組織壞死後因繼發腐敗菌的感染和其他因素的影響而呈現黑色、暗綠色等特殊形態改變,稱為壞疽。
壞疽分為以下三種類型:
1)乾性壞疽:常見於動脈阻塞但靜脈倒流通暢的四肢末端,因水分散失較多,故壞死區乾燥皺縮呈黑色。
2)濕性壞疽:多發生於外界相通的內臟,如肺、腸、子宮、闌尾、膽囊等。
3)氣性壞疽:也屬濕性壞疽。系深達肌肉的開放性創傷合併產氣莢膜桿菌等厭氧菌感染所致,除發生壞死外,還產生大量的氣體。
結果
溶解吸收
較小的壞死灶可由來自壞死組織本身和中性粒細胞釋放的蛋白水解酶將壞死物質進一步分解液化,然後由淋巴管或血管吸收,不能吸收的碎片則由巨噬細胞加以吞噬消化,留下的組織缺損,則由細胞再生或肉芽組織予以修復。
分離排出
較大壞死灶不易完全吸收,其周圍發生炎症反應,白細胞釋放蛋白水解酶,加速壞死邊緣壞死組織的溶解吸收,使壞死灶與健康組織分離。壞死灶如位於皮膚或黏膜,脫落後形成缺損。局限在表皮和黏膜層的淺表缺損,稱為糜爛(erosion);深達皮下和黏膜下的缺損稱為潰瘍(ulcer)。腎、肺等內臟器官壞死組織液化後可經相應管道(輸尿管、氣管)排出,留下空腔,成為空洞(cavity)。深部組織壞死後形成開口於皮膚或黏膜的盲性管道,稱為竇道(sinus)。體表與空腔器官之間或空腔器官與空腔器官之間兩端開口的病理性通道稱為瘺管(fistula)。
機化
壞死組織如不能完全溶解吸收或分離排出,則由周圍組織的新生毛細血管和纖維母細胞等組成肉芽組織長入並逐漸將其取代,最後變成瘢痕組織。這種由新生肉芽組織取代壞死組織或其他異常物質(如血栓等)的過程稱為機化(organization)。
包繞與鈣化
壞死組織範圍較大,或壞死組織難以溶解吸收,或不能完全機化,則由周圍新生結締組織加以包圍,稱為包繞(encapsulation)。壞死組織可繼發營養不良性鈣化,大量鈣鹽沉積在壞死組織中,如乾酪樣壞死的鈣化。
影響
壞死細胞及周同滲出的中性粒細胞釋放溶酶體酶.可促進壞死的進一步發生和局部實質細胞溶解,因此壞死常同時累及多個細胞,並造成組織的炎症,進而引發更嚴重的後果。
壞死對機體的影響與下列因素有關:
(1)壞死細胞的生理重要性,例如心、腦組織的壞死後果嚴重;
(2)壞死細胞的數量,如廣泛的肝細胞壞死可致機體死亡;
(3)壞死細胞周圍同類細胞的再生情況,如肝、皮膚等易於再生的細胞,壞死組織的結構功能容易恢復;
(4)壞死器官的儲備代償能力,如腎、肺等成對器官,儲備代謝能力較強。
與凋亡的區別
| 區別點 | 凋亡 | 壞死 |
| 起因 | 生理或病理性 | 病理性變化或劇烈損傷 |
| 範圍 | 單個散在細胞 | 大片組織或成群細胞 |
| 細胞膜 | 保持完整,一直到形成凋亡小體 | 破損 |
| 染色質 | 凝聚在核膜下呈半月狀 | 呈絮狀 |
| 細胞器 | 無明顯變化 | 腫脹、內質網崩解 |
| 細胞體積 | 固縮變小 | 腫脹變大 |
| 凋亡小體 | 有,被鄰近細胞或巨噬細胞吞噬 | 無,細胞自溶,殘餘碎片被巨噬細胞吞噬 |
| 基因組DNA | 有控降解,電泳圖譜呈梯狀 | 隨機降解,電泳圖譜呈塗抹狀 |
| 蛋白質合成 | 有 | 無 |
| 調節過程 | 受基因調控 | 被動進行 |
| 炎症反應 | 無,不釋放細胞內容物 | 有,釋放內容物。 |
註:表格參考資料來源

