基本簡介
肺栓塞系常見病,肺栓塞是肺動脈分支被栓子堵塞後發生的肺循環障礙疾病。肺梗塞是肺栓塞後因血流阻斷而發生的肺組織壞死。
肺梗塞並不少見,約10-15%的肺栓塞發生肺梗塞,它發病突然,來勢兇猛,病情危重,死亡率高,但多因繼發於其它疾病故臨床表現複雜,對其影像學表現又認識不足,故極易造成臨床漏診或影像學方面的誤診,錯誤的診斷直接影響患者,並增加患者的經濟負擔,及時準確的診斷是治療的關鍵。
發病機理
肺梗塞由於肺組織由支氣管動脈和肺動脈雙重供血,故僅少數栓塞引起組織缺血壞死而造成梗塞。肺梗塞是肺栓塞後因血流阻斷而引起的肺組織壞死,引起肺栓塞的常見栓子是
深靜脈血栓。
血栓的來源主要是下肢深靜脈,占80 %~90 %,其次是盆腔、前列腺靜脈及心臟疾患 。久病臥床、妊娠、大手術後和心功能不全可發生深靜脈血栓,是發生肺栓塞的病因。
風心病發生的血栓及原發於肺動脈的血栓也是本病的原因。進入肺循環的栓子還可有脂肪、腫瘤栓子和氣體等。
肺栓塞的病理改變取決於栓子的大小及肺血液循環的狀態。
栓子大小為由微血管內的小栓子至大動脈的騎跨性血栓不等。較小的栓子未能完全堵塞血管時不易引起血循環障礙。多發小栓子能引起多發性小動脈分支栓塞,肺動脈主幹或大分支被大的栓子堵塞可引起急性右心衰竭以致死亡。嚴重肺淤血患者的肺栓塞可導致肺梗塞。
肺梗塞以下葉多見,外形呈錐形,尖端指向肺門。病灶中心為壞死區,周圍有水腫和出血。水腫和出血可吸收,壞死區癒合後發生纖維化。
臨床表現
患者起病急,有呼吸困難,胸痛和咳血。咯血表明有肺梗塞發生。單發的小分支栓塞症狀輕微或無明顯不適,大分支或肺動脈主幹栓塞,或小分支廣泛的栓塞有嚴重的呼吸困難、紫紺。聽診肺部可聞及乾性或濕性羅音。心前區可聽到雜音及心率異常。急性肺栓塞約10%的病人於發病1小時內死亡。若未及時診斷及治療,大約有30%的病人因肺栓塞復發而死亡。患者常有慢性心臟病、近期手術、創傷史、血栓閉塞性靜脈炎、妊娠、長期臥床、高粘血症等誘因。
突發胸悶、氣短、呼吸困難
患者自發病起常不能平臥,端坐呼吸,難以入睡。這是部分肺組織梗塞後,肺換氣不足,低氧血症及胸痛不能深呼吸等因素所致。
胸痛
胸痛是又一突出的臨床特徵。突發胸部劇痛,為胸膜性疼痛,患者常不敢深呼吸,不能向患側臥,甚者難以入睡。這是由於髒層胸膜由肺內供血,梗塞後髒層胸膜水腫壞死所致。
低熱
起病時體溫正常,後逐漸升高,多在38 ℃~38. 5℃之間,約1周左右下降至正常,為肺組織缺血壞死所致。突出的臨床症狀、增速的呼吸脈搏與低熱呈明顯的矛盾現象這是本病的又一臨床特徵,有別於一般感染性疾病。
咳血
患者多於發病後第2~3d開始咳血,從痰中帶血絲到咳紫黑色血塊,持續約3~33 d,以10~15 d多見。咳血持續時間長是本病的又一特徵。
相關特點
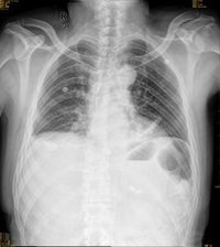
肺梗塞肺栓塞可由普通X線平片、血管造影、CT和MR以及核素掃描等方法檢查。
肺動脈小分支的單發肺栓塞X線可無異常表現,大分支及多發性小分支栓塞X線可見X線異常表現。
(1)肺缺血:當肺葉或肺段動脈栓塞時,相應範圍的肺紋理減少或消失,透亮度增加,稱為韋斯特馬克(westmark)征。多發性小動脈栓塞引起廣泛性肺缺血。
(2)肺動脈異常:病變的肺動脈因血栓嵌塞而增粗,其遠端因血流減少而變細。SCT顯示明確.
(3)肺體積減小:下葉肺栓塞多見,故肺體積縮小也於下葉常見,引起膈升高,肺門及葉間裂下移。並可合併盤狀肺不張。
(4)心影增大:心影增大由右室增大所致,見於較大肺動脈的栓塞或多發肺栓塞。
X線,SCT和MRI可以得以明確。
血管造影、核素掃描等也可以幫助診斷。
D-二聚體陰性可以排除急性PTE,陽性並非PTE的特異檢查。
鑑別診斷
本病常易誤診為肺炎、胸膜炎、肺水腫、肺不張等,應與之鑑別。
肺炎患者先發燒,全身中毒症狀明顯,體溫、脈搏、呼吸同步上升,胸痛輕,鐵鏽色痰持續時間短,治療後吸收快,無急性肺心病,無肺門截斷征,與肺梗塞不同。胸膜炎肺內無錐形實變、無咳血症狀。肺水腫多為雙側,無劇烈胸痛,無肺門截斷及錐形實變,治療後吸收快, 與肺梗塞不同。
由於肺梗塞大都發生在患有心肺疾患的病人中,所以如在胸片上同時見有肺心病、肺淤血以及肺水腫等徵象時,則應考慮肺部實變為肺梗塞的可能。在無心肺疾病的病人中,肺梗塞可引起肺出血而不產生肺梗塞,此時肺出血的X線表現不易與肺梗塞區別。當心肺無其他明顯改變可提示肺出血可能性大。單純肺出血可於7-10天或更短時間內完全消失,並無殘留痕跡,肺梗塞的消退較為緩慢,平均需要20天左右,可長達5周,大多數病例可殘留纖維瘢痕的索條狀陰影。
預防
肺梗塞貽害肺的栓子超過半數都是來自下肢靜脈。除此之外,盆腔、髂靜脈、右心房中的栓子也會導致肺梗塞。因此,如有下肢深部靜脈炎、骨折、分娩、術後或有心臟房顫病史等的病人,一旦出現類似肺炎的症狀,千萬不能麻痹大意,應立即去醫院早期診斷,積極治療,如立即進行取栓
、溶栓或抗凝等治療,肺梗塞是可以治癒的。
老年人的血黏度較高,血流緩慢,下肢外傷尤其骨折後,會致血管壁不光滑,若手術後長期臥床,就容易形成下肢或盆腔內血栓形成,栓子脫落就可能導致肺梗塞。因此,骨折病人,特別是下肢骨折後接受手術治療的老年病人,應該在手術後早日起床活動。需長期臥床的病人,可以在床上經常做做深呼吸和活動下肢(或在家屬的幫助下進行),以防止靜脈栓塞形成。對已明確診斷患有下肢靜脈栓塞的病人來說,體內的栓子就像定時炸彈一樣,隨時有脫落並引起肺梗塞的可能。所以,病人除了積極進行治療外,平時應該經常變換體位,不要長時間靜坐不動,以免發生肺梗塞。
典型病例
1、有一位73歲的王老伯,盤腿而坐打了整整一個下午的麻將。當他站起來時,突感左胸劇痛,收氣時尤甚,不敢喘氣。王老伯沒有在意,直到兩天后又吐了數口鮮血,方去醫院求治。經過肺CT、肺動脈造影等檢查,醫生確診為肺血栓栓塞症。王老伯住院三天后出現小腿腫脹,經都卜勒超音波檢查,發現左下肢深部靜脈存在栓塞。原來,三天前檢查到的肺梗塞,就是下肢靜脈血栓脫落所致。
2、77歲的張教授走路時不慎跌倒,造成左下肢股骨頸骨折,臥床休息了數月。 一天,一位護士邊與張教授談話邊進行下肢按摩,教授突然出現胸悶、氣急,經搶救無效死亡。起先醫生以為張教授是死於心肌梗塞,後經屍體解剖後才發現,老教授是因肺梗塞而去世的,而貽害肺的那些栓子,是由於下肢骨折後長時間缺乏運動而形成的。
3、八一女籃隊員王凡在2010年2月15日這一天因肺梗塞離開人世,終年26歲。王凡在1月24日八一女籃對陣北京女籃之前的訓練中突然暈倒的。據隊友敘述,“當時球隊剛開始熱身,並沒有太大的運動量,王凡就突然暈倒了。”經過緊急救護,王凡醒過來了。但進了醫院,王凡只是去了一次衛生間,就陷入昏迷。一直到2月15日,王凡離開了人間。王凡同志逝世後,鑒於她在WCBA比賽中犧牲的實際情況和平時表現,解放軍總政治部批准王凡為“革命烈士”。
