體徵
缺血性結腸炎
缺血性結腸炎病因
1.結腸的血管解剖和生理結直腸血供主要來源於腸系膜上、下動脈和髂內動脈。右半結腸的動脈來自腸系膜上動脈,左半結腸和直腸上部來自腸系膜下動脈,直腸中下部的動脈血則來自髂內動脈。
(1)腸系膜上動脈:起源於約第1腰椎平面的腹主動脈前壁,位於腹腔動脈起點下方1.0~1.5cm處。該動脈由胰腺頸部下緣穿出,縱行跨過十二直腸橫部,進入小腸系膜根部,然後分出結腸中動脈、右結腸動脈和回結腸動脈,分別提供近側橫結腸、升結腸和回盲部的血供。結腸中動脈在胰腺下緣起自腸系膜上動脈,在胃後進入橫結腸系膜內,分為左右兩支。在橫結腸肝曲附近與右結腸動脈的升支吻合;在脾曲附近通過Riolan吻合支與左結腸動脈升支吻合,該部位的吻合支比較細小。另外約有5%的人群缺如,使之成為結腸血供的最薄弱處,容易發生缺血性損害。在正常人群中,大約有20%的人結腸中動脈缺如或發育不良。右結腸動脈在結腸中動脈起點下方1~3cm處起於腸系膜上動脈,經腹膜後向右橫行,至升結腸附近分為升支和降支,分別與結腸中動脈右支和回結腸動脈結腸支吻合,形成結腸的邊緣血管弓,並沿途分支至升結腸供應升結腸。回結腸動脈在右結腸動脈起點下方起源於腸系膜上動脈,有時與右結腸動脈合成一條主幹,經腹膜後向右下方斜行,至盲腸附近分為上下兩支,升支與右結腸動脈降支吻合,降支到回盲部分成兩支與腸系膜上動脈的迴腸支吻合,供給升結腸下段、回盲部和迴腸末段的血供。
(2)腸系膜下動脈:在第3腰椎,十二指腸水平部下方3~5cm起源於腹主動脈前壁,呈弓狀斜向左下方,行進2~7cm後,相繼分出左結腸動脈和乙狀結腸動脈,並跨越左側髂總動脈,移行為直腸上動脈。左結腸動脈從距腸系膜下動脈根部2.5~3.5cm處分出,經腹膜後向左上和左下方分出升支和降支,升支在脾曲與結腸中動脈的左支吻合,降支與乙狀結腸動脈吻合,分別提供橫結腸遠側和降結腸的血供。乙狀結腸動脈的起點變化較大,人群中約36%直接起源於腸系膜下動脈,30%起源於左結腸動脈,數目也有較大差別,一般為2~6條。乙狀結腸動脈經腹膜深面斜向左下方進入乙狀結腸系膜內,互相吻合,構成動脈血管弓和邊緣動脈。上部動脈與左結腸動脈的降支形成吻合支,供給降結腸遠側的血供。在最下部與直腸上動脈之間沒有邊緣動脈連線,成為結腸血供的另一個薄弱點,又稱Sudek點,容易發生缺血性病變。直腸上動脈起自最下支乙狀結腸動脈的下方,在第2骶椎水平的直腸後面,分為左、右兩支,供給大部分直腸的血供。下部直腸的血供主要由發自髂內動脈的直腸中動脈和直腸下動脈缺血性結腸炎供給。
(3)邊緣動脈:各結腸動脈在腸壁附近相互吻合,形成多個與結腸壁平行走向的連續性動脈弓稱為邊緣動脈,又稱Drummond血管弓。邊緣動脈由回盲部分布至直腸乙狀結腸連線處,由單一動脈連線或由1、2級動脈弓連線,並從最靠近腸壁的血管弓上發出小的終末血管分布到腸壁。這些血管弓具有重要的臨床意義,在大多數情況下,他們在不同的水平上構成了各個結腸動脈之間的交通。當某一結腸動脈的主幹發生阻塞時,其供血區域內的結腸可以通過該血管弓由其他動脈主幹得到血液供給,不至於發生缺血。但是,如果阻塞發生於該血管弓的最靠近腸壁的部位,供應腸壁的終末動脈就難以通過側支循環得到血供。
(4)終末動脈:是由邊緣動脈向腸壁發出的長短不等的小動脈,與結腸成垂直方向,負責直接向腸壁供血。終末動脈有長支和短支2種,長支從邊緣動脈分出後在腸壁的系膜緣處分為前後2支,經漿膜和肌層之間至腸壁的游離緣,供應對系膜緣1/3腸管的血供。這兩支終末動脈在腸管的系膜緣和對系膜緣處的吻合較少,使得結腸對系膜緣部位的血供容易發生障礙;短支起於邊緣動脈或終末動脈的長支,在近系膜緣處穿入腸壁,供應系膜緣2/3的腸管。終末動脈的發育和分布在左半結腸較為密集;右半結腸比較稀少,而且自邊緣動脈至腸壁的距離也較長。這些終末動脈對血管收縮劑非常敏感,相互之間側支循環很少。由於上述CDD原因,當發生較長時間的血管收縮時,腸壁就難以得到充足的血供,容易發生缺血,這在右半結腸更為明顯。結直腸壁的全層均有血管叢,但黏膜和黏膜下層的血管叢最為豐富,供應黏膜腺體的血管來源於黏膜下血管叢。當休克或低血壓引起終末動脈的血流減少時,腸壁內就會出現動靜脈分流,使黏膜發生缺血。缺血的程度取決於腸壁的側支循環和血管阻塞的部位,在較大結腸動脈的根部發生血管阻塞時,通過邊緣血管弓的側支循環,相關區域內的結腸不一定發生缺血,但如果同時伴有邊緣血管弓的發育異常,其供血區就會發生節段性腸缺血,甚至壞死。而動脈阻塞愈靠近腸壁,愈容易引起腸壁的血供障礙,有人報導一個長支血管的損傷可以使腸管壞死約2.5cm。
(5)靜脈:結腸壁內靜脈叢匯集成小靜脈,在腸系膜緣處合成為較大靜脈,與結腸動脈並行,成為與結腸動脈相應伴行的靜脈。結腸中靜脈、右結腸靜脈和回結腸靜脈合成腸系膜上靜脈,進入門靜脈。乙狀結腸靜脈、左結腸靜脈和直腸上靜脈合成腸系膜下靜脈,在腸系膜下動脈外側向上,到十二指腸空腸曲外側,經胰腺後方進入脾靜脈,最後入門靜脈。
2.病因和發病機制引起結腸缺血有很多原因,大體可分為2大類,一類為血管阻塞型,另一類為非血管阻塞型。
缺血性結腸炎(1)血管阻塞型結腸缺血:在血管阻塞型結腸缺血中,比較常見的原因有腸系膜動脈的創傷、腸系膜血管血栓形成或栓塞,以及腹主動脈重建手術或結腸手術時結紮腸系膜下動脈。
腹部鈍性傷時,如果腸系膜血管受到損傷和有血栓形成或腹膜後血腫形成,都有可能引起結腸缺血,患者常伴有廣泛的內臟、軀體四肢、心肺和神經系統損傷。Dauterive等報導870例腹部鈍性傷手術病人中,41例伴有腸道缺血性病變。腹主動脈造影可誘發腸系膜動脈內的血栓形成,引起缺血性腸炎,但發生率比較低。其原因可能是由於造影劑對血管內壁的刺激或者檢查時由於導管對血管的損傷而引起。動脈粥樣硬化的脫落物,或來自房顫病人的左心房栓子,也可以引起腸系膜動脈的阻塞。如果僅僅是腸系膜下動脈阻塞,而不伴有側支循環障礙、進行性栓子脫落以及腸系膜上動脈根部的阻塞,則由於有邊緣血管弓的存在,受累部位結腸可以通過側支循環得到血供,一般不會發生結腸缺血。如果患者結腸血管弓先天性發育不良或雙側髂內動脈有阻塞,則單純的腸系膜下動脈阻塞也可以引起結腸的梗塞.Williams報導稱疾病的嚴重程度和生存率與腸系膜下動脈的梗阻情況沒有直接關係,梗阻組的生存率為65%,非梗阻組為60%。因而單純大動脈的是否梗阻似乎並不影響該病的臨床表現和預後。比腸系膜下動脈根部阻塞更為重要的是周圍小動脈的梗阻,尤其在年輕患者。引起小動脈阻塞的原因很多,包括糖尿病、血管炎、全身膠原性疾病,尤其是系統性紅斑狼瘡,以及結節性多發性動脈炎、過敏性肉芽腫病、Behcet綜合徵、Buerger病、套用某些藥物等。再生障礙性貧血、鐮形細胞疾病、淋巴瘤、白血病以及腫瘤化療也可以引起缺血性腸炎靜脈回流受阻和靜脈血栓形成引起的結腸缺血常發生於右半結腸,研究顯示,靜脈阻塞可以引起腸壁的水腫、梗死和纖維化。常見的原因有門脈高壓、胰腺炎伴發胰腺膿腫和胰腺假性囊腫,以及長期口服避孕藥等。胰腺炎伴髮結腸壞死的病死率可達50%左右。結腸壁血供會受腸道直徑、腸壁內肌肉張力和腸腔內壓力的影響。Saegesser報導隨著腸腔內壓力
缺血性結腸炎(2)非血管阻塞型結腸缺血:大多為自發性,通常不伴有明顯的血管阻塞,臨床上難以找到明確的引發結腸缺血的原因。其中大部分患者為老年人,在發生結腸缺血性改變後,腸系膜血管造影顯示的血管異常可與臨床症狀不相符。有多種原因可以誘發自發性結腸缺血,其中各種原因引起的低血壓最為常見,如感染性休克、心源性休克、過敏性休克、神經性休克等,同時伴有心臟病、高血壓、糖尿病以及同時服用可影響內臟血流的藥物(如升壓藥等),可以明顯增加結腸缺血的發生機會。腸系膜血供減少,引起結腸缺血;而大範圍急性腸系膜血供障礙又可引起明顯的不可逆性心輸出量減少,因而導致腸系膜缺血的惡性循環。
生理
缺血性結腸炎2.好發部位缺血性結腸炎可以發生於檢查的任何部位,但是靠腸系膜下動脈供血的左半結腸發生率最高。Saegesser報導112例,其中37例病變位於降結腸,33例位於結腸脾曲,24例位於乙狀結腸。終末動脈分布較少的右半結腸也是比較常見的好發部位。個別患者病變可以累及全結腸。病變發生部位與缺血原因也有一定的聯繫,繼發於全身低血壓的缺血性病變多發生於右半結腸,尤其是結腸的後壁,而伴發於腹主動脈手術後的患者,病變多位於左半結腸。
3.病理變化
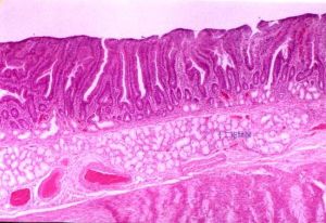
(1)可逆型結腸缺血:大多僅累及黏膜和黏膜下層,病變比較輕,沒有明顯的組織壞死。肉眼可見腸壁變厚,黏膜水腫,呈鵝卵石樣變化,同時伴有黏膜的線形潰瘍和出血。重症患者則可見明顯的黏膜潰瘍,但黏膜肌層很少有缺血性改變,漿膜層正常。部分患者在組織修復前可有黏膜的脫落。典型的組織學表現為黏膜下層慢性炎性細胞浸潤和肉芽組織形成。於廣泛存在的潰瘍之間可見散在存活的黏膜島,在黏膜脫落部位的黏膜床可見到肉芽組織和炎性細胞,有時在黏膜下動脈中可見到小動脈炎和纖維蛋白栓子。在上皮再生的部位可見到毛細血管增生、成纖維細胞和巨噬細胞。肉芽組織周圍可有嗜酸性粒細胞和含血紅蛋白鐵的組織細胞浸潤,這些含血紅蛋白鐵的巨噬細胞的存在提示以前有出血性腸梗死的發生,可用於與潰瘍性結腸炎和克羅恩病鑑別。另外,在缺血性結腸炎,約80%的黏膜固有層呈透明樣變性,依此可以與假膜性腸炎鑑別。
(2)壞疽型:典型的病理表現是在病變部位可見到程度不等的組織壞死。在輕症患者,可見腸腔擴張,黏膜出血,腸壁脆弱變薄,並可見深度和範圍不等的黏膜潰瘍和壞死,腸腔內充滿血液。肉眼觀病理變化類似暴髮型潰瘍性結腸炎。在血管再生期,腸壁變厚,如果腸壁全層發生缺血性改變則可引起腸腔狹窄。如果缺血較輕,可以僅有黏膜的病理變化,而漿膜層正常。在重症患者,腸壁呈黑色或綠色,腸壁組織溶解變薄,腸黏膜脫落,肌層顯露,部分患者肌層壞死脫落,腸壁發生穿孔。組織學檢查可見黏膜和黏膜下層出血、水腫。腸腺的表層部分最早出現變化,腺管內充滿炎性細胞和紅細胞,黏膜表面有纖維蛋白和壞死組織沉積,與假膜性腸炎
缺血性結腸炎(3)慢性狹窄型:組織結構在慢性炎症過程中由纖維組織取代,在局部形成管狀狹窄。狹窄造成的梗阻一般為非完全性的,距離比較短,在乙狀結腸最為常見。該狹窄段與憩室病和克羅恩病引起的狹窄難以鑑別。組織學檢查的典型表現為環形的黏膜消失,潰瘍區域由肉芽組織和新生的毛細血管覆蓋。潰瘍的邊緣伴有上皮的再生,黏膜肌層扭曲並伴有廣泛的纖維化。黏膜下充滿肉芽組織、成纖維細胞、漿細胞、嗜酸性細胞以及慢性炎性細胞。腸壁漿膜面和結腸周圍脂肪內可見散在的炎性變化。
檢查
缺血性結腸炎實驗室檢查:
1.血常規白細胞計數和中性粒細胞的升高。
2.組織病理學檢查肉眼見結腸黏膜淺表性壞死和潰瘍形成,或黏膜全層壞死。鏡檢可見黏膜下增生的毛細血管、成纖維細胞和巨噬細胞;黏膜下動脈中可有炎症改變和纖維蛋白栓子;黏膜固有層可呈透明樣變性;肉芽組織周圍可有嗜酸性粒細胞和含血紅蛋白鐵的組織細胞浸潤。慢性期表現為病變部位與正常黏膜組織相間的黏膜腺體損傷和腺體再生。黏膜腺體數量減少或黏膜固有層內纖維組織的存在提示原有的病變比較嚴重。
其他輔助檢查:
1.直腸指診常可見指套上有血跡。
2.X線平片腹部平片可見結腸和小腸擴張,結腸袋紊亂,部分患者可有腸管的痙攣和狹窄。壞疽型缺血性結腸炎有時可見結腸穿孔引起的腹腔內游離氣體以及由於腸壁進行性缺血、腸壁通透性升高引起的腸壁內氣體和門靜脈內氣體。
3.鋇灌腸造影該檢查可以對病變的程度,尤其病變的範圍有比較全面的了解,但有引起結腸穿孔的危險,因此對病情嚴重,伴有大量便血以及懷疑有腸壞死的患者應慎用。典型的影像表現有:①拇指印征(假性腫瘤征):是缺血性結腸炎在結腸氣鋇雙重造影檢查時的早期表現。因病變部位腸壁水腫、黏膜下出血,使結腸黏膜凹凸不平地突入腸腔,在鋇劑造影時由於鋇劑在該部位的不均勻分布而呈現拇指樣充盈缺損。一般在起病後3天左右出現,持續2~4周。該表現在結腸脾曲最為常見,但也可以在其他部位見到。②結腸息肉樣變:當炎症進一步發展,形成許多炎性息肉時,在病變部位可見到典型的結腸息肉樣改變。③鋸齒征:伴有廣泛潰瘍的患者,鋇劑灌腸檢查可見腸腔邊緣不規則,呈鋸齒樣改變,與克羅恩病引起的表現很相似,單純靠鋇劑灌腸檢查難以鑑別。④結腸狹窄:病變嚴重的患者,結腸鋇劑檢查還可見節段性結腸狹窄,部分患者可同時伴有結腸囊性擴張。在高齡患者,如果結腸狹窄僅僅局限於某一部位,病程較短,同時伴有腹痛、大便習慣改變和便血,鋇劑灌腸檢查所發現的狹窄需與惡性腫瘤引起的狹窄認真鑑別。在這種情況下,纖維結腸鏡檢查對確診很有幫助。
缺血性結腸炎3.纖維結腸鏡檢查纖維結腸鏡檢查是診斷缺血性結腸炎最有效的檢查方式。當患者被懷疑有缺血性結腸炎,但不伴有腹膜炎體徵,腹部X線平片沒有明顯結腸梗阻和結腸穿孔的影像表現時,應考慮行內鏡檢查。缺血早期可見黏膜蒼白水腫,伴有散在的黏膜充血區和點狀潰瘍。在伴有黏膜壞死和黏膜下出血的部位可見到黏膜或黏膜下呈藍黑色的改變,部分患者可見隆起的黏膜中有出血性結節,與在鋇劑灌腸檢查時見到的拇指印征或假性腫瘤征一致。連續的纖維結腸鏡檢查可以觀察到病變的發展過程,黏膜異常可逐漸被吸收而恢復正常;或進一步加重形成潰瘍和炎性息肉。慢性期的內鏡表現隨早期病變的範圍和嚴重程度而有明顯不同。以前發生過缺血性結腸炎的患者可僅僅表現為原病變部位腸黏膜的萎縮、變薄和散在的肉芽組織。
4.腸系膜動脈造影由於大部分缺血性結腸炎患者的動脈阻塞部位在小動脈,腸系膜動脈造影檢查難以發現動脈阻塞的徵象。另外,由於造影劑有可能引起進一步的血栓形成,應謹慎使用。
5.CT掃描部分患者可見到腸腔擴張,腸壁水腫引起的腸壁變厚等非特異性變化。
治療
缺血性結腸炎對有腹痛、腹瀉和便血但無腹膜炎體徵的患者,首先應採用積極的保守治療,包括補液,全身套用廣譜抗生素,禁食,胃腸減壓,氧氣吸入等。對預防性或治療性套用抗凝劑,例如肝素、鏈激酶或尿激酶等,目前意見尚不一致。在部分患者,抗凝劑的使用有加劇出血性腸梗死的可能。病程早期充分補液對預防組織灌流不足具有重要意義。在保守治療過程中,應當密切觀察患者的脈搏、血壓、體溫,每天檢測血細胞比容和血白細胞。對沒有明顯檢查禁忌證的患者應儘可能爭取行纖維結腸鏡檢查,以明確診斷,同時確定病變的程度和範圍。對結腸缺血伴有結腸明顯擴張的患者,可通過纖維結腸鏡或經肛門插管及時進行腸腔減壓,這對預防結腸缺血的進一步發展有很大的幫助。大約有2%的患者雖經積極的保守治療,病情仍得不到改善,並進一步發展至腸梗死。在治療過程中,如果腹痛加重、病情進行性惡化,並出現明顯腹膜炎體徵或休克早期表現,如低血容量、酸中毒以及低血壓,提示有發生結腸梗死、腸穿孔的可能,應考慮在積極抗休克的基礎上儘早行手術治療。
2.手術治療壞疽型缺血性結腸炎的病死率在很大程度上取決於診斷和手術治療的及時與否、患者的全身情況以及併發症的發生情況。一旦出現呼吸窘迫綜合徵、腎功能衰竭和持續性感染等嚴重併發症,病死率很高手術治療大多僅限於缺血性結腸炎的壞疽型患者,一旦確診,應儘早手術。手術時,患者應採取截石位以利於術中行纖維結腸鏡檢查,由於在缺血性結腸炎的發生過程中黏膜層病變較漿膜層重,手術時結腸的切除範圍有時難以確定。術中對結腸病變範圍和腸壁活力不能確定或存在疑問的患者,應常規行術中纖維結腸鏡檢查。缺血結腸的切除範圍要充分,由於大部分患者結腸水腫明顯,手術吻合口漏的發生率高,應避免行一期結腸吻合,常規行雙腔結腸造口。大部分患者病變不累及直腸,因而可在充分切除近端病變腸管的同時保留直腸
缺血性結腸炎壞疽型缺血性結腸炎伴明顯結腸擴張的患者應考慮行全結腸切除。對於病情持續2周以上,雖經積極保守治療病情仍無明顯緩解的患者也應考慮手術治療。大部分缺血性結腸炎引起的結腸狹窄為不完全性結腸梗阻,因而一般可以避免手術。對伴有慢性結腸梗阻臨床症狀的患者,經積極保守治療不能緩解或與結腸惡性腫瘤鑑別有困難者宜採取手術治療,切除狹窄腸段,一期吻合重建腸道連續性,切除組織送病理檢查。
臨床表現
1.急性腹痛:原發性,持續性伴陣發性加劇,早期噁心嘔吐,後期有不完全性腸梗阻表現,若出現腹膜刺激征提示腸壞死,腹膜炎;2.血性腹瀉;3.發熱;4.好發於老年人,多伴高血壓病,動脈硬化,心臟病,休克和長期服藥等病史。飲食
保護結腸的飲食是粗纖維的飲食,可以增加糞便體積,促進順利排便。
所謂粗纖維,就是膳食纖維。含膳食纖維的食物主要有糧食、蔬菜、水果、豆類等。其中,又分為可溶性膳食纖維和不溶性膳食纖維。前者如果膠、樹膠和黏膠,它們可溶於水,主要存在於水果、燕麥、大麥和部分豆類中。而大多數膳食纖維都屬不溶性,如纖維素和半纖維素等。市場上大部分粗纖維食品中都添加了含有這類不溶性膳食纖維的粗糧和雜糧,如玉米、麥麩、米糠等。粗纖維中營養含量較少,而且不易消化,但它能夠對肥胖、高血脂、糖尿病等病起到一定的預防和治療作用。
粗纖維食品的主要消費群應該是成年人和老年人,吃的時候也要根據營養學上對於粗纖維的推薦攝入量為準,多吃反而會降低其他營養素的利用率。另外,粗纖維能夠增加糞便的體積,減少腸中食物殘渣在人體內停留的時間,讓排便的頻率加快。因此,孩子和胃腸功能很差、經常腹瀉的人不要多吃。
