疾病概述
十二指腸靜脈曲張併發症狀:一旦十二指腸靜脈曲張發生,由於血流豐富,止血困難,易陷入休克,可招致死亡。
病理生理
十二指腸靜脈曲張診斷檢查
診斷:根據臨床表現(嘔血、便血)及輔助檢查(上消化道造影、內鏡檢查、腹腔血管造影等)可確診。
實驗室檢查:
1.血象變化 在出血的早期,患者的血紅蛋白、紅細胞計數及血細胞比容等可無變化,只有當組織液滲入血管內或補給等滲液體擴充血容量、血液被稀釋後才出現貧血的表現,患
十二指腸靜脈曲張2.氮質血症 上消化道出血後,由於血液進入腸道,其蛋白質消化產物被腸黏膜吸收,故可引起血中尿素氮濃度增高,稱腸原性尿素氮增高。在出血後的數h,尿素氮即可增高,一般在24~48h 達高峰。如尿素氮繼續升高,可能是繼續出血或者系大出血後,因有效血容量減少,而致腎血流量與腎小球濾過率降低所導致的腎性尿素氮增高。因此,在排除了腎性尿素氮升高的因素之後,監測血尿素氮的變化是判斷出血是否停止的一項有用指標。
其他輔助檢查:
1.上消化道造影 上消化道造影作為定性診斷困難,造影常表現為息肉樣或巨大皺襞樣,須與十二指腸潰瘍、十二指腸息肉及十二指腸黏膜下腫瘤鑑別。
十二指腸靜脈曲張2.上消化道內鏡檢查 內鏡下十二指腸可見腸壁靜脈曲張,呈囊狀或結節狀隆起,色澤可呈藍色或與周圍黏膜一致,表面可有糜爛,覆有少許灰黃苔或血性物。與上消化道造影同樣,須與息肉和黏膜下腫瘤鑑別。活檢可能引起大出血,要特別注意,為預防活檢出血,活檢之前對隆起部分可用活檢鉗壓迫,以確定其彈性。活動出血時診斷困難,由於十二指腸有多量血液積聚,有必要反覆把血液沖洗吸引乾淨後詳細觀察黏膜面。出血者隆起病變的表面常有糜爛,並多表現為湧出性出血。即使是出血當時也難以立即作出十二指腸靜脈曲張診斷。既往史懷疑靜脈曲張破裂出血者,內鏡檢查時要想到本病並儘量插鏡到十二指腸遠端。
3.腹部CT 可確定肝硬化的存在、肝萎縮的程度和腹水的有無。造影CT 檢查可發現與十二指腸壁相連的異常擴張的血管,出血期可確定造影劑有無從血管外漏。
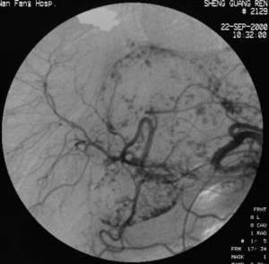
4.腹腔血管造影 先行腹腔動脈和腸系膜上動脈造影,確定動脈期造影劑無血管外漏,在靜脈期看見胃十二指腸靜脈、胰十二指腸靜脈增粗、蛇行或結節狀曲張及造影劑流向下腔靜脈可以確診。在出血明顯時可見到造影劑漏出血管外。高度懷疑本病時經皮經肝門靜脈造影也有價值。進行經胃結腸支的造影可得到有關門靜脈的非常鮮明的影像。經通常的腹腔動脈和腸系膜上動脈造影容易獲得病因血管影像,而且檢查後還可繼續進行栓塞術。
鑑別診斷
由於引起上消化道出血的病因甚多,故需鑑別的疾病亦多,以下僅就常見的疾病進行簡要的鑑別。
1.胃與十二指腸潰瘍病
(1)是引起上消化道出血最常見的原因。胃潰瘍約占上消化道出血病因的10%~15%,而十二指腸潰瘍約占上消化道出血病因的25%~30%。
(2)既往有潰瘍病史或有潰瘍病出血史,多數患者以冬春季節好發。
十二指腸靜脈曲張(3)疼痛多位於上腹部,多呈隱痛、燒灼樣痛。多數十二指腸潰瘍者有飢餓痛或夜間痛醒。
(4)疼痛一般具節律性。胃潰瘍多為餐後1/2~1h 疼痛發作,持續1~2h,
至下餐前疼痛逐漸緩解;十二指腸潰瘍疼痛多在餐後3~4h 發作(即飢餓時疼痛),進食後疼痛常消失。
(5)服用制酸劑、H2 受體拮抗藥或質子泵抑制藥疼痛可緩解或消失。
(6)少數病例可無上腹痛,無反酸、噯氣等症狀,而僅以嘔血和(或)黑便為首發症狀,此種病例約占消化性潰瘍病例總數的10%~15%。
(7)X 線鋇餐檢查,如發現龕影征對診斷有重要幫助。
(8)胃鏡檢查,可在直視下觀察潰瘍的形態與大小,結合活組織病理檢查可確立診斷。
2.急性胃黏膜病變
(1)是引起上消化道出血的重要病因之一,約占上消化道出血病因的20%左右。
(2)常有引起胃、十二指腸黏膜損害的誘因存在。這些誘因包括:
①服用過阿司匹林等非甾體消炎藥、腎上腺糖皮質激素、某些抗生素等。
②飲酒,尤其是酗酒後。
③多種應激狀態,如顱腦外傷、急性腦血管疾病、重度燒傷等。
④敗血症,嚴重肝、腎功能損害等。
(3)常有上腹疼痛或隱痛,反酸、噁心、嘔吐等前驅症狀,也可以嘔血和(或)黑便為首發症狀。
(4)在出血後的24~48h 內作急診胃鏡檢查,如發現胃、十二指腸黏膜瀰漫性充血、水腫,多處有出血糜爛灶時即可確診。
3.胃癌
十二指腸靜脈曲張(1)是常見的上消化道出血的病因,因胃癌而出血者約占出血病例的1%~3%。胃癌多見於40 歲以上的男性患者,但近年來30 歲以下的青年胃癌也不少見。
(2)患者早期常無特異性症狀,多以食欲不振、上腹不適或隱痛為主要表現。隨病情發展至中、晚期時,患者常有消瘦、貧血,上腹疼痛加重或呈持續性。少數患者上腹部可捫及質硬、常不易移動的包塊。
(3)胃癌患者以緩慢、少量出血多見,而表現為大出血者較少見。糞隱血試驗常呈持續性陽性。
(4)晚期胃癌患者如癌腫發生遠處轉移,則常可在左鎖骨上捫及腫大、較固定的淋巴結。
(5)X 線鋇餐檢查是診斷胃癌的重要措施,可發現癌腫的大小、形態,癌腫周圍胃黏膜的情況等。X 線鋇餐診斷胃癌的陽性率可達80%~90%。
(6)胃鏡檢查可在直視下觀察胃癌的大小、形態、部位及浸潤情況等,進行活組織病理檢查可與良性潰瘍相鑑別。胃鏡檢查胃癌的確診率可達95%以上。
(7)CT 與MRI 檢查雖對胃癌的診斷有重要的輔助價值,但由於檢查費用較昂貴,故一般不作為首選的檢查方法。
治療方案
1.外科治療 十二指腸靜脈曲張的治療多選擇外科手術,單純曲張靜脈結紮術再出血率達57%,胃十二指腸切除術約40%可發生再出血,最有效的外科手術是門體分流術,降低了門靜脈高壓,再出血率為10%。對於合併出血的病例,因為有肝硬化等基礎病,出血後多病情重篤或陷入休克。若行外科手術止血,術後發生肝性腦病引起死亡者多。因此,手術適宜者的選擇應慎重。不能耐受手術者可選用其他治療方法,待初次止血後再擇期手術。
2.內鏡治療 內鏡的曲張靜脈治療有靜脈曲張硬化治療和套扎治療
十二指腸靜脈曲張3.經導管治療 經皮經肝的門靜脈栓塞術、氣囊下逆行經靜脈的栓塞術和經迴腸靜脈的栓塞術的報導逐漸增加,選擇上述治療的理由是由於患者全身狀況太差,多不能耐受全麻下外科手術;或內鏡治療由於大量出血,視野不清晰,硬化治療有困難,加之顧慮硬化劑引起腎功能的損害。不管選用哪種栓塞治療方法,導管的前端應進入胰十二指腸靜脈等責任血管。注入99%乙醇或使用不鏽鋼絲圈使靜脈曲張內形成血栓以控制出血。栓塞治療是低侵襲性治療,與內鏡治療相比不僅起到靜脈曲張的局部治療效果,還能阻斷曲張靜脈的血流,為一種好的治療方法。但是該治療後導致門靜脈壓升高,靜脈曲張再開通的病例和側支循環形成引起再出血的病例也見有報導,術後宜慎重觀察病程經過。
預後與預防
十二指腸靜脈曲張預防:積極治療原發病:肝硬化、門靜脈高壓、血管畸形等。

