體徵
腰痛-血尿綜合症其臨床表現有:
1.腰痛LPHS的主要症狀是腰痛,常發生於一側。腰痛可以十分劇烈,難以忍受,患者甚至要求作腎切除術。但接受腎切除術後,對側會發生腰痛。亦有部分患者由單側腰痛發展至雙側腰痛,向腹部及會陰放射,持續數小時至數天。但無尿頻、尿急、尿痛。腰痛可持續性也可間歇性發作,但發作次數會逐漸減少,直至中年時消失。
2.血尿LPHS的另一重要症狀是血尿,通常為鏡下血尿,亦可見肉眼血尿,部分患者腰痛多年後才出現血尿。
3.精神症狀部分LPHS患者可有焦慮、內疚和希望得到醫療上的關懷的表現。個別患者會捏造病情和裝病。由於嚴重的腰痛而得不到恰當有效的治療者可以有態度和舉止方面的異常,如神經質行為。
4.體徵部分患者患側有腎區觸痛或叩擊痛。
病因
腰痛-血尿綜合症生理
腰痛-血尿綜合症檢查
腰痛-血尿綜合症1.尿液檢查
(1)尿常規:可有鏡下血尿,但無紅細胞管型。
(2)紅細胞相差顯微鏡檢查:大多數為正常形態的紅細胞,少數為異形紅細胞。
(3)尿蛋白:部分患者尿蛋白的分泌會超過正常範圍,但24h尿蛋白定量不會超過1.5g。
(4)尿細菌培養:LPHS患者中段尿培養無細菌生長。
2.血液檢查
(1)出凝血功能:大多數患者正常,部分患者血小板減少,少數患者血清纖維蛋白降解產物(FDP)增多。
(2)血生化:血尿素氮(BUN)、血肌酐(SCr)正常。
(3)血沉:即使在發作期間檢查,患者紅細胞沉降率(ESR)仍在正常範圍內。
3.尿道膀胱鏡檢查此類患者尿道膀胱鏡檢查一般無異常,但有時可觀察到患側輸尿管口噴血。靜脈尿路造影LPHS患者的雙腎功能良好,尿路形態正常。腎動脈造影在多數患者腎內中等大小的血管都可見到扭曲、串珠狀改變和閉塞。某些單側腰痛患者僅在腰痛側呈現血管的改變,有時可見到腎內有較大範圍的灌注不足區域。Bergroth等人還見到了腎內動脈的痙攣,但有的患者腎動脈造影完全正常。B超檢查排除泌尿繫結石及腫瘤等。
其他輔助檢查:
1.腎活檢光鏡檢查
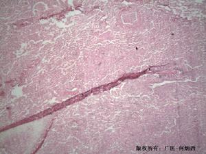
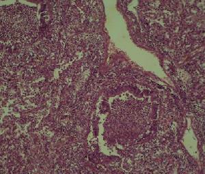
(1)腎血管:LPHS的病理主要表現在腎內血管,常見有動脈壁透明樣變性、類似動脈粥樣硬化的損傷、內膜增生或呈洋蔥皮樣改變。個別病例有微動脈瘤。靜脈彈性纖維組織也可見變性。
(2)腎單位:腎小球輕度系膜增生、局灶硬化、腎小球囊肥厚,間質呈斑點狀纖維化,腎小管輕度萎縮。亦有的患者除腎內血管外,組織學檢查正常。
2.免疫螢光檢查受侵犯的血管有顯著的C3沉積,亦有報導有C4沉積者。當然,C3在血管壁的沉積是一種非特異性改變,可見於許多動脈病變。Miller等在一位48歲的LPHS女患者首次發現腎內小動脈有備解素(properdin)和補體C5b-9、C3沉積,提示補體被激活。腎小球內未見免疫球蛋白沉積。電鏡檢查電鏡檢查未發現特異性病理改變。
診斷
腰痛-血尿綜合症1.泌尿繫結石因LPHS臨床表現及化驗檢查與泌尿繫結石相似,故對某些曾有尿路結石病史的患者,在鑑別診斷時應引起注意。疑有小結石或陰性結石,但尿路造影又無尿路擴張積液而診斷困難時,應作B超檢查。
2.其他還應與腎臟腫瘤、多囊腎、IgA腎病、紫癜性腎炎以及引起血尿的疾病等相鑑別。
治療
腰痛-血尿綜合症1.止痛藥常用到阿片或其他類似藥物,有時用量比較大。多數患者所需的劑量是恆定的。如果患者是間歇性發作,則在間歇期不必用藥。阿片全鹼(藩托邦)5~15mg,口服3次/d;或6~12mg,皮下注射。阿法羅定(安那度)10~20mg,皮下或靜脈注射,2次/d。哌替啶(度冷丁)50~100mg,口服,3次/d;或25~100mg,肌內注射,兩次用藥間隔為4h。嗎啡(Morphine)5~10mg,口服,3次/d;或5~10mg,皮下注射。以上各藥均有成癮的危險性,應注意使用劑量和時間。
2.糖皮質激素、抗凝藥針對血管的病理改變,有人嘗試以潑尼松龍(強的松龍)治療,但通常效果欠佳。也有人試用抗凝藥,如華法林(warfarine),2~4mg,口服1次/d,有一定療效。腎切除術有的患者由於嚴重的腰痛而要求作腎切除術。但術後通常很快出現對側腰痛。由此可見,腎切除術並不能解決腰痛問題而應避免採用。
3.去神經治療阻斷沿腎血管走行的痛敏感神經纖維的方法有:直視下剝離、注射麻醉劑和破壞腎神經。這種治療方法的缺陷是約6個月內腎臟重新恢復神經支配,因而腰痛復發。Prager將一個泵植入患者體內,並通過泵長期作鞘內嗎啡注射,成功地控制了1例LPHS患者的腰痛,因而認為鞘內麻藥注射療法可解除LPHS的慢性腰痛。
4.自體腎移植自體腎移植曾被當作保留腎臟的去神經的外科療法,用於治療腰痛嚴重並依賴麻醉藥的LPHS患者,其療效不盡人意。Chin對10例LPHS患者進行了12次自體腎移植手術(其中2例為雙側手術)其中3例術後疼痛消失,但隨訪不足1年;8例隨訪了15~53個月(中位數為43個月),疼痛均明顯緩解,麻醉藥用量顯著減少,患者並恢復了正常的生活;1例因植腎區疼痛而於術後4個月作移植腎切除術。Harney等對4例LPHS患者做了腎移植手術,這4例患者的病程為3~18年,術前腎動脈造影和腎活檢均正常,都需要麻醉藥控制疼痛,自體腎移植術後接受隨訪30~35個月。術後6個月內,4例患者均無腰痛,不需麻醉藥治療。但術後18個月有3例疼痛復發,術後30個月有2例需行移植腎切除術。4例中只有1例療效維持了35個月。因此,Harney等認為自體腎移植只能暫時緩解LPHS的腰痛症狀,療效並不持久。Talic等對1例LPHS患者做了雙側自體腎移植手術,術後早期療效較好,但終因在雙側植腎區相繼出現疼痛而不得不切除雙側移植腎和行血液透析治療。綜上所述,決定採取自體腎移植治療LPHS患者時必須慎重考慮。
5.抗抑鬱藥因精神因素在LPHS發病有一定作用。有人建議給LPHS患者服三環類抗抑鬱藥。該類藥物兼有穩定血小板的作用。抗抑鬱藥最好夜間服用,以免白天過分鎮靜。
