疾病概述
一、西醫學
膀胱腫瘤二、中醫學
中醫文獻尚無膀胱癌之病名,但有不少類似膀胱腫瘤的記載。如《景岳全書》曰:"溺孔之血,近者,出自膀胱,其證溺時必孔道澀痛,小便紅赤不利……。溺孔之血,其來遠者,出自小腸,其證則溺孔不痛,而血隨溺出,或痛隱於臍腹,或遂見於臟腑……。"《金匱要略》曰:"熱在下焦者,則尿血,亦令淋秘不通。"《諸病源候論》指出:"血淋者,是熱淋之甚者則尿血,謂之血淋。"《證治匯補.癃閉》曰"有熱結下焦,壅塞胞內,而氣道澀滯者;有肺中伏熱,不能生水,而氣化不施者;……由久病多汗,津液枯耗者,有肝經忿怒,氣閉不通者;有脾虛氣弱,通調失宜者?《備急千金要方》曰:"人有因時疾,瘥後得閉塞不通,遂致夭命。大不可輕之。"其上述對膀胱功能,膀胱病因病機,預後的描述與膀胱腫瘤的壓迫症狀、尿不通暢、無尿、血尿症狀相似。本病屬於中醫"尿血"、"癃閉"、"淋病"等範疇。
疾病病因
膀胱腫瘤的病因至21世紀初尚沒完全明確,比較公認的有:
膀胱腫瘤21世紀初發現的煙與膀胱腫瘤有明顯關係,吸菸者比不吸的男人膀胱癌發病率高4倍;人工甜味品如糖精等有膀胱致癌作用,另外長期服用鎮痛藥非那西丁亦能增加發生膀胱腫瘤危險。膀胱慢性感染與刺激以及藥物環磷醯胺亦能引起膀胱癌。
疾病病理
一、中醫病理中醫認為風寒暑濕燥火等外因容易侵襲五臟,日久不散,瘀而化熱,熱灼傷津,久成痰結瘀塊而致癌瘤。同時病人素體虛弱,飲食勞倦所傷,七情太過或不及等內因,對膀胱癌的發病有一定的作用。尤其是正虛邪陷是關鍵。如《雜病源流犀燭.腰臍病源流》曰:"腰痛,精氣虛而邪客病也……腎虛其本也,風寒濕熱痰飲,氣滯血瘀閃挫其標也,或從標,或從本,貴在無失其宣而已。"癃閉、尿血、淋證雖與膀胱有關,但究其病機,尤與肺、脾、腎、三焦氣化功能有密切關係。腰為腎之府,乃腎之精氣所溉之域。腎與膀胱相表里。腎虛而外感風寒濕熱諸邪致肺、脾、肝、三焦、膀胱功能失調。正氣虛損,邪乘於肺,肺熱氣壅,脾虛邪熱,濁陰不降,小便閉塞不通、肝氣鬱結,氣機不利致三焦氣化功能失調,最終積聚成痰成塊,瘀阻脈絡,乃致膀胱癌的發生。茲對病機總結如下:1.腎氣虛弱膀胱氣化無權,溺不得出,氣不攝血,血絡受損,血不歸結,經溺孔而出,脾氣虛弱不能升清降濁,小便閉塞不通,氣機不暢,氣滯血瘀成瘤成塊。2.肝鬱氣滯七情內傷,肝氣鬱結,疏泄不及,致三焦運化、氣化功能失調,氣血瘀滯,滯而世瘤。3.下焦濕熱濕熱蘊積膀胱,氣化不利,灼傷津液,脈絡不暢,氣血瘀滯,形成瘤塊。4.肺熱氣壅外感熱邪,閉塞氣機,熱邪壅肺,肅降失司,氣機不暢,氣滯血瘀,久瘀成瘤成塊。二、西醫病理膀胱腫瘤可分為兩大類,即來源於上皮組織和非上皮組織的腫瘤。1.從上皮組織發生的腫瘤,主要包括移行上皮性腫瘤,腺癌及鱗狀上皮癌,98%的膀胱腫瘤來自上皮組織,其中移行上皮性腫瘤占95%。
(1)移行上皮性腫瘤:主要包括原位癌、乳頭狀瘤、乳頭狀癌及實體性癌。後兩者可在一個腫瘤同時出現,稱為乳頭狀實體性癌。這種分類便於臨床套用,但從腫瘤生物行為來說,它們是一個病的不同階段的連續發展還是在開始時就獨自出現,是很有爭論的問題。
a.原位癌,是一個特殊的移行上皮性腫瘤,開始時局限於移行上皮內,形成稍突起的絨毛狀紅色片塊,不侵犯基底膜,但細胞分化不良,細胞間的粘附性喪失,故細胞容易脫落而易於從尿中檢查。原位癌的自然過程難以預測,有些長期無症狀,不出現浸潤,有些發展很快,以原位癌發展為浸潤癌一般需時間1年~5年,有長達20年的,因此有人認為原位癌存在兩種形式,一種代表有浸潤能力的實體性癌的前身,另一種卻無浸潤的能力,稱為矛盾性癌,是比較良性的。
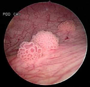
b.乳頭狀瘤,是一良性腫瘤組織學上可見腫瘤源起於正常膀胱黏膜,像水草樣突入膀胱內,具有細長的蒂,其中可見清楚的纖維組織及血管的中心束。乳頭狀瘤有復發的特點,5年內復發率為60%,其中48.6%復發兩次以上。術後有必要定期膀胱鏡隨診。
c.乳頭狀癌,在移行上皮性腫瘤中最常見。病理特點是,各乳頭粗短融合,瘤表面不光潔,壞死或有鈣鹽沉著,瘤基底寬或蒂粗短。有時乳頭狀癌或長如小拳,但仍保留一蒂,對其他部位無浸潤。此形雖不多見,但應注意,以免作不必要的全膀胱切除術。
d.實體性癌,在移行上皮性腫瘤中最為惡性,表面不平,無明顯乳頭形成,腫瘤表面有潰物,潰物邊緣高起,表面呈結節狀,早期向深處浸潤,故又稱為浸潤性癌。
各種移行上皮性膀胱的出現可能和移行上皮不同情況有關,在單純上皮增生而無上皮發育異常的情況下要以發展為表淺的乳頭狀瘤;當增生和發育異常同時存在時可以發展為惡性程度高的乳頭狀癌;若單純發育不良而無增生則可發展為扁平的原位癌。
移行上皮性膀胱腫瘤復發問題有時甚難分辨是復發還是新生的腫瘤。所謂的復發,可能有三種原因:①膀胱上皮繼續遭受尿內致癌物質的影響,反映膀胱上皮的不穩定性及已潛在廣泛的上皮改變;②復發常出現於膀胱切口或膀胱頂部,說明是由於游離的瘤細胞種植;③原腫瘤未切除乾淨或遺留未被肉眼發現的腫瘤。
(2)腺癌:又稱腺樣癌,粘液腺癌或印戒細胞癌,屬較少見的膀胱腫瘤。腺癌多見於膀胱三角,側壁及頂部。膀胱三角的腺癌常起源於腺性膀胱炎或囊性膀胱炎。而腺性和囊性膀胱炎與泄殖腔發育有關,因為在胚胎期,泄殖腔分隔為泌尿生殖竇及直腸,若腸黏膜在分隔時被遺留在泌尿生殖竇一側,將來則可能出現腺性上皮並可能發生腺性或囊性膀胱炎。慢性刺激亦能引起移行上皮的腺性化生。位於膀胱頂部的腺癌多起源於臍尿管殘餘,位置隱蔽,出現症狀時往往已到晚期。膀胱也可以出現轉移性腺癌,可來自直腸、胃、子宮內膜、卵巢、乳腺或前列腺等原發腺癌,當然很罕見,有報告5000例屍檢中占0.26%。
(3)膀胱鱗狀細胞癌:亦不多見,國內近年12篇膀胱腫瘤報告中占0.58%~5.55%。膀胱的移行上皮在各種刺激下能化生為鱗狀上皮。有報告指出局灶性鱗狀上皮化生可達60%,但主要仍屬移行細胞癌,只有在腫瘤各部出現一致的病理改變時,才能診斷為鱗狀細胞癌。國內有不少膀胱結石伴發膀胱癌的報導。一般說來,膀骯鱗狀細胞癌比移行性上皮癌惡性度高,發展快,浸潤深,預後不良。
2.非上皮性膀胱腫瘤:為來自間葉組織的腫瘤,占全部膀胱腫瘤20%以下。計有血管瘤,淋巴管瘤,惡性淋巴瘤,平滑肌瘤或肉瘤,肌母細胞瘤,橫紋肌肉瘤,嗜鉻細胞瘤,惡性黑色素瘤、息肉、類癌、漿細胞瘤、纖維瘤、纖維肉瘤、粘液性脂肪肉瘤、癌肉瘤,組織細胞瘤、神經鞘瘤、軟骨瘤、惡性畸胎瘤及皮樣囊腫等。其中惡性淋巴瘤可能是全身性疾病;血管瘤可能與毗鄰器官的血管瘤同時發生並有相連,使手術困難。橫紋肌肉瘤起源於膀胱三角區或膀胱黏膜下組織,一方面向黏膜下層擴展,另一方面,腫瘤推頂著膀胱黏膜向膀胱內生長,形成小分葉狀腫物,狀如葡萄串,故又稱為葡萄狀肉瘤,但少數也可形成實塊性腫瘤。顯微鏡下可見橫紋肌樣纖維及幼稚的胚樣間葉細胞。
膀胱腫瘤的惡性度以“級”(grade)表示,最早使用的是Brqder4級法,準確使用比較困難,Ⅱ級及Ⅲ級就很難分別。近年多採用三級法:一級腫瘤的分化好,移行上皮層多於7層,其結構及核的異形與正常稍有差異,偶見核分裂。二級除上皮增厚外,細胞極性消失中等度核異形性出現,核分裂常見。三級為不分化形,與正常上皮毫無相似之處,核分裂多見,此級相當於roder法的三級二級。有人傾向於把乳頭狀瘤與Ⅰ級乳頭狀癌並列,而有人則將乳頭狀瘤嚴格分出,我們主張後者,因為一部分乳頭狀瘤經治療後可終生無復發,或有復發而始終仍為乳頭狀瘤。一般說來,級與浸潤性成正比,一級膀胱癌發展浸潤的可能性為10%,二級為50%,三級為80%。
膀胱腫瘤的分期是指膀胱腫瘤浸潤深度,根據分期可估計腫瘤的預後。有兩種主要分期方法,一種是經Marshal改良的Jewer—Strong法(JSM),另一種為國際抗癌協會(UICC)的TNM法。
膀胱腫瘤的轉移途徑包括經淋巴道、經血行、經直接擴散及瘤細胞直接種植等。淋巴道轉移是最常見的一種途徑,膀胱癌可轉移到髂內、髂外、閉孔淋巴結群,或可到髂總淋巴結。有人指出髂內及閉孔淋巴結是膀胱癌轉移的第一站淋巴結。
經血行轉移,常見於晚期病例,最多見於肝臟,其次為肺及骨骼。皮膚、腎上腺、腎、胰腺、心臟、睪丸、涎腺、卵巢、肌肉及胃腸均曾有報導,但均占少數。
直接擴散常出現於前列腺或後尿道。膀胱癌可延伸至膀胱外與盆腔粘連形成固定塊,或蔓延至膀胱頂部的黏膜。
腫瘤細胞直接種植可以出現於手術過程中,術後在膀胱切口處或皮膚切口下發生腫塊。膀胱內腫瘤的復發或出現多發性的腫瘤,有一部分也是由於腫瘤細胞種植所致。膀胱全切除術後尿道殘端出現腫瘤也可能是手術種植的結果。
播散及轉移
膀胱癌轉移有多種形式,但常見的仍是直接浸潤、淋巴轉移及血行轉移。
膀胱腫瘤轉移後的症狀
膀胱癌轉移途徑包括經淋巴道、經血行、經直接擴散及瘤細胞直接種植等。淋巴道轉移是最常見的一種途徑,膀胱癌可轉移到髂內、髂外、閉孔淋巴結群,或可到髂總淋巴結。有人指出髂內及閉孔淋巴結是膀胱癌轉移的第一站淋巴結。經血行轉移,常見於晚期病例,最多見於肝臟,其次為肺及骨骼。皮膚、腎上腺、腎、胰腺、心臟、睪丸、涎腺、卵巢、肌肉及胃腸均曾有報導,但均占少數。直接擴散常出現於前列腺或後尿道。膀胱癌可延伸至膀胱外與盆腔粘連形成固定塊,或蔓延至膀胱頂部的黏膜。
腫瘤細胞直接種植可以出現於手術過程中,術後在膀胱切口處或皮膚切口下發生腫塊。膀胱內腫瘤的復發或出現多發性的腫瘤,有一部分也是由於腫瘤細胞種植所致。膀胱全切除術後尿道殘端出現腫瘤也可能是手術種植的結果。
流行病學
男性發病高於女性3倍~4倍,51歲~70歲組發病率最高占58%。10多歲的青少年亦可發病,可能與吸菸有關,Javapour、Benson、張孝思及錢松溪分別報告40例、12例、3例及8例青少年膀胱癌,並三組中有26例每日吸菸1包~1.5包,並有2年~3年的歷史。Benson(1983)報告稱10歲以內發病者(指移行上皮癌)文獻上只有17例。臨床表現
膀胱癌因腫瘤的發生部位、類型、大小、發展階段、有無併發症或轉移而表現各異。
膀胱腫瘤檢驗及檢查
一、尿常規檢查和尿濃縮找病理細胞
C型臂診斷
(一)臨床診斷
膀胱腫瘤2.尿液脫落細胞檢查找到癌細胞或BTA檢測呈陽性結果,應高度懷疑患有膀胱癌。
3.影像學檢查經B超、CT、MRI檢查發現膀胱腫瘤或膀胱鏡下肉眼所見或檢病理證實為膀胱腫瘤即可明確診斷。
(二)臨床分期
1.TNN分期
原發腫瘤(T)分期:
Tx:無法對原發腫瘤作出估計。T0:無原發性腫瘤的證據。Tis:原位癌。Ta:非浸潤性乳頭狀癌。T1:腫瘤侵犯上皮下結締組織。T2;腫瘤侵犯淺表肌肉(內半)。T3a:腫瘤侵犯深部肌肉(外半)。T3b:腫瘤侵犯膀胱脂肪。T4:腫瘤已侵犯下列之一:前列腺、子宮、陰道、盆壁、腹壁。區域淋巴結(N)分期:
Nx:淋巴結有無轉移不肯定。N0:淋巴結無轉移。N1:單個淋巴結轉移,最大直徑≤2cm。N2:單個淋巴結轉移,最大直徑>2cm、≤5cm。或多個淋巴結轉移,最大直徑均≤5cm。N3:淋巴結轉移,最大直徑>5cm。
遠處轉移(M)分期:Mx:轉移範圍不肯定。M0:無遠處轉移。M1:有遠處轉移。
2.臨床分期
O期:TisN0M0;TaN0M0。Ⅰ期:T1N0M0。Ⅱ期:T2N0M0。Ⅲ期:T3aN0M0;T3bN0M0。Ⅳ期:T4N0M0;任何T,N1~3,M0;任何T,任何N,M1。
(三)病理診斷
在膀胱腫瘤中,以惡性腫瘤占極大多數,其中90%以上來源於移行上皮細胞,而鱗狀細胞癌、腺癌及非上皮性膀胱腫瘤則少見。膀胱腫瘤的惡性程度以"級"(grade)表示,即腫瘤分化程度。最早使用的是Broder4級法。其中Ⅲ及Ⅳ級很難區別,近年來多採用3級法:
Ⅰ級:腫瘤的細胞分化良好,其結構用核的異形性稍有差異分,偶見核分裂,通常不累及固有層。
Ⅱ級:顯示腫瘤細胞分化不良,除上皮增厚外,細胞極性消失,中等度核異形性出現,核分裂常見。
Ⅲ級:為腫瘤細胞不分化形,與正常上皮毫無相似之處,核分別多見,此級相當於Broder法的Ⅲ和Ⅳ級。一般說來,級與浸潤性成正比,Ⅰ級膀胱腫瘤發生浸潤的可能性為10%,Ⅱ級為50%,Ⅲ級為80%。
鑑別診斷
血尿為膀胱腫瘤的重要症狀,其鑑別診斷主要是血尿的鑑別。
膀胱腫瘤2.腎結核、膀胱結核血尿在長期尿頻以後出現,終末加重,尿量少。可伴午後潮熱、盜汗、消瘦等症狀。尿常規檢查可能查到結核病菌。膀胱內的結核性肉芽腫有時可能誤診為膀胱腫瘤。但經組織活檢可以確診。
3.非特異性膀胱炎已婚女性較為多見,血尿突然發生,但血尿發生在尿頻、尿急、尿痛等尿路刺激症狀之後。
4.腺性膀胱炎臨床表現與膀胱腫瘤相似,需經膀胱鏡檢查及活組織檢查鑑別。
5.尿路結石主要症狀為疼痛性血尿,一般血尿較經,多數無膀胱刺激症狀。
6.放射性膀胱炎盆腔臟器腫瘤經放射治療後可能出現放射性膀胱炎。患者均有放療病史。膀胱炎多在放療後兩年出現,但也有少部分在多年後出現。套用膀胱鏡等檢查可以鑑別。
7.前列腺增生由於前列腺增生後造成排尿不暢或繼發感染,可出現與膀胱癌相似的症狀,同時尿瀦留可以成為膀胱癌的誘因。經過細胞學檢查或膀胱鏡檢查可以確診。
8.前列腺癌前列腺癌侵入膀胱可出現尿血、排尿困難等症狀,經B超、CT掃描、MRI掃描以及直腸指診可以明確診斷。
9.子宮頸癌腫瘤侵入膀胱也可出現血尿,經婦科檢查即可鑑別。
10.其他腎炎、藥物刺激、出血性疾病等等均可出現血尿,可根據病史進行鑑別。
治療措施
膀胱腫瘤的治療比較複雜,應根據不同的病理及臨床過程而選用不同的治療方法。對於表淺的膀胱腫瘤可採用經尿道切除(TURBt)或電灼。分化屬於髓以上,分期在T2以內,腫瘤直徑在2厘米以內均是TURBt的適應徵。多發的腫瘤可分次切除。TURBt方法無切口,可反覆進行,對病人打擊小,術後恢復快,在當前國內外普遍被採用,幾乎可以取代膀胱部分切除術。國外並有報告TURBt效果優於膀胱部分切除術。TURBt總的5年存活率約為70%,只有10%~15%發展為浸潤性癌而需積極治療。
膀胱腫瘤(1)膀胱內注射BCG的治療方法:國內一般採用BCGl20mg(北京生物製品研究所生產)和生理鹽水50毫升經導尿管注入膀胱,保留2小時,初時每周一次,共6次。以後每月一次,堅持2年。國外所用BCG有屬於Tice,巴斯德、Moreau及Connaught等不同菌株。菌株不同及劑量不同可能對療效有影響。姚慶祥等報告(中華泌尿外科雜誌,1987,8:158)36例用BCG膀胱內注入預防復發,平均隨訪18.4個月,僅有2例分別在20個月和24個月復發。梅驊等報告(中華泌尿外科雜誌,1987,8:28)43例(用廣州生物研究所生產的丹麥l號菌株)平均隨訪時間23.44月,2例復發。Brosman報告53例,平均隨訪21個月,4例復發。
此外,給藥方法尚有皮膚劃痕法和病灶直接注射,但已不被採用。
國內孟莖等建議用小劑量BCG(巴斯德菌株的2號菌株,每毫升約含菌數2×10)1毫升或短棒菌苗(北京7627)2毫升(孟莖等,中華泌尿外科雜誌,1987,7:23)兩者都是一個月一次,不間斷地灌注。腫瘤復發率也很低(約15%)。因為劑量小,併發症也很輕,是值得重視的。
膀胱內BCG灌注治療膀胱原位癌效果也很好。張德元等報告7例(中華泌尿外科雜誌1987,8:264),其中6例灌注3個月後活檢證明無腫瘤。Herr報告47例膀胱扁平原位癌,用巴斯德菌株Bcg120毫升加生理鹽水50毫升,每周1次,共6次(其中有23例同時給皮內BCG),總的效果是在6年32例(68%)已無腫瘤。
所以,BCG膀胱內灌注顯然能降低膀胱腫瘤的復發率,能使一部分病人免於受膀胱切除的手術或推延手術時間。
BCG膀胱內灌注的併發症據LAMM,收集1278例的分析,91%的發生膀胱炎,發熱39.4度以上者占3.9%,肉芽腫性前列腺炎1.3%,BCG肺炎或肝炎0.9%,關節炎及關節痛0.5%,需要導尿或輸血的血尿占0.5%,皮診0.2%,低血壓0.1%,血細胞減少0.1%。按國內外其他報告,尚有少數併發症如肉芽腫性腎腫塊尿道周圍肉芽腫及膿腫等。後者常由於不用導尿管而直接向尿道注入BCG有關。
BCG膀胱內灌注的作用機理有定論,有人認為可能是一種炎症反應,因為其療效與膀胱刺激症狀成正比,也有人認為是一種非特異性的免疫反應。有報告指出在套用BCG膀胱內灌注療法時,若純蛋白衍生物(PPD)皮膚試驗由陰性轉為陽性或膀胱內出現肉芽腫時,療效常常良好。膀胱內BCG灌注後臨床及動物實驗上可以見到膀胱壁內有以淋巴結構為主的圓形細胞浸潤,浸潤範圍由黏膜層延至肌層,這也說明對一些淺肌層浸潤的膀胱腫瘤,BCG治療也有效,認為BCG引起的炎症可激活巨噬系統及T細胞繁殖。巨噬細胞吞噬BCG及腫瘤細胞後可刺激經BCG致敏的T淋巴細胞而產生白介素2(interIenlcin2IL-2)後者能激活T前驅細胞繁殖而產生對腫瘤有特異殺傷能力的T細胞,誘發腫瘤特異性免疫。Merguerian報告膀胱內灌注小劑量BCG60毫升加工IL-23500單位治療膀胱腫瘤13例,效果可與大劑量BCG相比擬,但BCG用量小,故膀胱反應不嚴重,此法亦即利用外源性的IL-2以刺激有特殊功能的T細胞增殖。
(2)Netto提供口服BCG方法:依照皮膚反應(如PPD、PNCB等試驗)程度“無”、“中度”、“顯著”三種,分別口服液體BCG800、400、200毫升,腫瘤復發率僅為6.2%。後來又以同法治療10例有肌層浸潤的膀胱腫瘤,結果7例腫瘤消失,亦無毒性反應。但只此一家報導,病例尚不夠多。
(3)絲裂黴素膀胱內灌註:認為較理想的劑量為40mg溶於40m1水中,經導尿管注入排空的膀胱,每15分鐘變體位一次,共2小時。每周灌注一次,共8周。以後每月一次,共一年。本藥分子量大於200,不為膀胱黏膜吸收,如膀胱無創面或已經癒合則無全身反應,副作用主要為接觸性皮炎,灌注藥後即沖洗局部可避免。
(4)阿黴素膀胱內灌註:50mg阿黴素溶於50m1生理鹽水中,TURBt後即灌注入膀胱內,保留30分鐘,單次套用,半年後複查膀胱鏡。亦有在TURBt後1周~2周作膀胱灌注,每周一次共4次,以後每周一次共一年。實驗證明,在圍手術期膀胱內灌注阿黴素,血內濃度極低,不會引起全身反應。但從治療和預防看來,效果均不夠滿意。
上述各種膀胱內化療之法可以用於治療腫瘤,但時間長,不如用TURBt方法迅速,故主要用於TURBt以後預防復發,但各種預防復發之法又以BCG膀胱內灌注效果最佳。
(5)雷射療法:局部消除表淺膀胱腫瘤的方法除TURBt外,尚有用雷射治療或雷射血葉啉衍生物(hematophyrinderivative,HPD)光照療法,有一定療效,江魚等報告使用YAG雷射治療50例185個腫瘤治癒率95.13%,7例復發(11.8%)。雷射照射量以50瓦5秒的光速作為煊單位,每一腫瘤約需20~50單位,腫瘤大小為1.5厘米~5厘米,數量為2個~8個,位於膀胱前壁、頸部及頂部的腫瘤照射困難,有2例雷射照射後膀胱出血,需輸血400m1。另外Na:YAG雷射功率如大於50瓦,穿透力強,照射過量則會引起膀胱穿孔。
雷射血卟啉衍生物光照療法如下特點:血卟啉衍生物易被惡性細胞吸收並貯存時間較長久,經雷射照射後可毀滅瘤細胞,但需用的雷射能量少得多。用法為經靜脈注射HPD5mg/kg體重,24小時~72小時後經膀胱鏡放入雷射光導纖維進行腫瘤照射,所用雷射為冠離子染料雷射,為紅色雷射,最大為910毫瓦,光端示端功率為100~500毫瓦,達應庚等報告9例20個腫瘤中18個完全消失,隨診9—12.5個月,有3例復發。曾祥福等報告10例效果亦相似。Benson認為本法最宜於治療膀胱原位癌,報告4例治癒,本法一個缺點是病人在治療後需避光一月,否則發生光敏性皮炎,面部色素沉著長期不退。
套用YAG雷射或血卟啉衍生物雷射照射療法是一個新的嘗試,是一種不出血的切除方法,避免手術播散瘤細胞而增加復發的機會。但雷射設備複雜,費用也較高,未能廣泛推廣。
對於有肌層浸潤的膀胱腫瘤,單純TURBt效果很差,最好的5年存活率為40%,近年HERBt報告45例被認為適用於保守方法治療的(指TURBt加膀胱內BCG灌注),每次經尿道徹底切除膀胱內不正常部分並作膀胱內藥物灌注,每次切除要進行嚴格的分期。這些病人隨診3年~7年,平均5.1年,保留膀胱功能的有30例(67%),其中9例無瘤存活,2l例需反覆作TURBt/及膀胱內藥物灌注。治療失敗的15例中,11例做了膀胱切除,4例帶轉移瘤存活。HERBt的經驗指出,在不斷的再分期中可以分出一組沒以經常肌層浸注的、適於用保守療法以保留膀胱功能的人。
(6)膀胱部分切除術:本手術較簡單,能保留膀胱功能,易為病人所接受,但適應症範圍甚窄,只適宜於A單發的、不能經尿道切除的較大腫瘤;B腫瘤以外的膀骯黏膜多處隨意活檢顯示無原位癌及無上皮發育異常的改變,同時要注意前列腺尿道亦無病變;C要能切除距腫瘤2厘米的正常黏膜。也有人主張術前加放射治療10~12Gy(1000~1200rad)以防傷口內腫瘤細胞種植(約占膀胱切開手術的10%~20%)。本手術總的5年存活率為48%,其中A期100%,B1期67%,B2期37.5%。故本手術應限於B1期以內為宜。在有腔道內設備條件下,套用本手術的機會較少。
以上所述均為保留膀胱的手術。在治療後初時病人應每3個月進行一次膀胱鏡檢,2年後每半年一次,以後可根據情況適當延長檢查間隔。青少年移行上皮癌的生物特性不同於老年人,絕大多數為低期低級的無浸潤腫瘤,很少復發,故不必作過多的膀胱鏡檢,治療方面應多考慮保留膀胱的手術。
全膀胱切除術適用於復發快,每次復發腫瘤的期/級上升,或腫瘤以外的上皮已有發育不良或原位癌的膀胱腫瘤,也可以結合腫瘤細胞表面ABo(H)抗原有喪失來考慮。
B2期膀胱癌及實體性癌多有區域淋巴結轉移,又可以考慮作根治性全膀胱切除術。全膀胱切除術和根治性全膀胱切除術死亡率分別是8%及11%左右。關於這兩個手術當前有兩個爭論的論點值得注意,一是在全膀胱切除術前套用放射性治療的問題,放療一般是在術前4周內盆腔照射40Gy(4000rad),l~3周后作根治性全膀胱切除;或在4天內照射12Gy(1200rad),12天內作根治性手術。
術前放療可以提高存活率,原因有二:①以消滅術後殘留的微量癌細胞;②可減少手術中癌細胞向淋巴管或血管播散的機會,並可降低已播散的癌細胞的生存能力。但近十幾年來各家對術前放療的效應一直有爭論。whitmore報告主要的優點是盆腔復發率低,但未為他人(如Prout,Skinner及lieskovsky等)的研究所證實。有人指出進行術前放療是近年的事,和過去單純的全膀胱切除或根治性切除相比較是不合理的,因為現代手術操作及術後處理均有很大的提高。Skinner(1984)報告100例短療程術前放療與97例單純膀胱全切除比較。發現術前放療組在存活上無明顯優越性。P2及P3a期單純膀胱切除的5年存活率為75%,P;a及P3b為40%;盆腔復發率兩組亦無明顯差異,分別是9%(術前放療組)及7%(單純膀胱切除組)。看來,由於術前放療耽誤手術日期及併發症較多,在泌尿外科中未被普遍接受,且有日趨不用之勢。
另一問題是,盆腔淋巴結清除術的評價問題。有人認為全膀胱切除時盆腔淋巴結清除術只可作為一種診斷方法,明確膀胱癌的分期以估計預後,因為當盆腔淋巴結轉移時,多有遠隔轉移或遠隔微轉移。但也有人認為約有10%~20%病人只有盆腔淋巴結微轉移,在盆腔淋巴結清除術後可存活5年以上。Skinner報告在徹底清掃淋巴結後,淋巴結陽性病人的5年存活率可達35%,其存活率與陽性率淋巴結有關(見表28.2)。Smith及Whitmore亦報告相似的情況,即在1334例區域淋巴結陽性中,總的存活5年無腫瘤;其中104例陽性淋巴結1個以上,僅4例存活。所以盆腔淋巴結清除術對一小部分病例還是有效的,特別是對僅有鏡下淋巴結轉移的病人有效,對陽性淋巴結在1個~2個以下者也可能有些療效。選擇性地進行盆腔淋巴結清除術是可以考慮的。
放射治療效果不如根治性全膀胱切除,大多僅用於不宜手術的病人。但在英國對浸潤性膀胱癌仍以放療為主要治療方法,稱為根治性放射治療(radicalradiotherapy或derinitiveradiation)。一般用鈷外照射或用直線加速器,在7周內分35次給7000cGy。根據Goffinet或Caldwell等報告,Caldwell等報告,B2期或C期膀胱癌5年存活率在14%及37%之間,但只有20%~25%腫瘤對放射敏感,其餘病人的腫瘤或依然存在或進行膀胱切除,稱為補救性膀胱切除(Salvgecys-tectomy),更多的是最後死於腫瘤。作補救性膀胱切除時為12%。表淺性腫瘤放療失敗後作補救性膀胱切除時存活率為60%~65%,而有浸潤的腫瘤為12%~25%。Jenkin等報告(BritJUrol,1988,62:343)T2及T3期182例,用直線加速器在4周內分20次給照射5000~5500CGY。總的糾正5年存活率為40%,在隨診中75例對放射敏感,無復發,5年存活率為20%;其中11例復發後作全膀胱切除,5年存活率為36%。而不作膀胱切除的9例均在3年內死亡。放射無效的87例5年存活率為18%,其中22例作補救性膀胱全切除,5年存活率為47%,另65例不作手術的為3%。
放射治療一個主要併發症為放射性膀胱炎。少數病人經放射後因膀胱嚴重出血而被迫作膀胱切除,但病理檢查膀胱內已無腫瘤,經放射後膀胱腫瘤有降期現象(downstaglng)是存在的。
有轉移的膀胱癌預後很不好。在Smigh及Whienmore報告中有淋巴結轉移並進行根治性膀胱全切除的134例中,僅7%存活5年,82%死於癌,病人實際存活由N4期為7個月至Nl期的22個月。於這類病人有治療只能寄希望於化療上。近年Sternberg報告M-VAC方案(表28-3)治療92例晚期尿路移行性細胞癌(主要為膀胱癌)的經驗可供參考。按資料齊全的83例分析,57例獲得完全緩解(PR),平均存活19個月,在CR組及PC組平均存活42個月者有17例(30%,由26個月~49個月),11例存活3年以上(占83例的13%,占CR組的35%)。在3l例CR組中,屬臨床CR的有11例,病理CR的有10例,經手術切除殘餘病變後達到CR的有10例。11例臨床CR者,平均用藥5周期。有6例腫瘤復發。11例臨床CR者,平均用藥5周期。有6例腫瘤復發。10例病理CR者,3例後來出現腦轉移,1例骨轉移,1例肝轉移及1例原位復發。從上述簡單資料,可以看到M-VAC方案對有轉移的晚期尿路上皮癌是有效的,單獨套用或與手術切除殘餘病變合用,CR及PR可達到69%~100%,和從前未用M-VAC時的報告資料比較,CR病人的存活期明顯延長,轉移性病灶有明顯的清退現象,尤其是淋巴結及肺轉移的反應比骨及肝者為好。
Sternberg等人初步嘗試用M-VAC時的方案治療50例無淋巴結及無其他轉移的膀胱癌,T2~4期,經1個~5個周期治療,,臨床CR者22%,PR42%,有30例經病理分期(包括膀胱全切除、部分膀胱切除剖腹探查選擇性淋巴結活檢等)證實原來為T3的病變,30%轉為P0,原來的T4的17%轉化為PO。
兒童膀胱葡萄狀肉瘤的治療近年有明顯的改進。手術和化療需綜合套用,而化療顯得更為重要。由於化療,且有採用趨向切除腫瘤膀胱的手術方法,即在術前4周~6周套用長春新鹼至膀胱腫瘤縮小或不再縮時(多數腫瘤能縮小50%)作腫瘤剜除及清除術,保留膀胱,術後繼續用長春新鹼共二年,同時術後每月順序輪用放線菌素D、環磷醯胺及阿黴素,亦均為期兩年,可稱之為VACA治療方案。
據了解北京兒童醫院用此方案治療膀胱橫縱肌瘤,其中2例已快完成術後2年的化療,已無瘤存活23個月。其餘4例術後隨診6個月~10個月,2例無瘤存活,2例在膀胱出現小腫瘤,經切除證實為原病,現均繼續治療,排尿功能正常。過去有用化療而行全膀胱切除的病孩,6例中有5例已存活7年~11年,1例出院後未按時進行化療,死於轉移。
從上面所述,可見化療將成為治療膀胱腫瘤的重要組成部分。
中醫治療
膀胱癌大多以本虛標實為特點。本屬腎氣虛、脾氣虛、肺氣虛、肝氣鬱結等,標實為濕熱、毒熱、痰濁、瘀血為患。其中藥治療原則應以補腎健脾益肺為主,兼以利濕止血,清熱止血,解毒化瘀。同時套用中藥可以減輕化療的毒副作用,提高患者的耐受化療的能力。而且效果明顯優於單純化療患者。但由於某些客觀原因,中醫治療膀胱腫瘤還多局限於中晚期病例,而且病死率還很高。因此仍需要進行多方位的前瞻性臨床研究,進一步發掘、整理、篩選有確定抗癌效果的方藥及制定合理的治療方案,採用綜合治療方法,努力提高臨床存活率。(一)辨證分型治療
膀胱腫瘤1.腎氣虛弱型
證候:小便不通,或滴漓不暢,排出無力,腰痛乏力,舌質淡,苔薄白,脈細。
治法:補腎益氣。
方藥:參蛤散加減。石韋、瞿麥、淡竹葉、生苡仁各60g,豬苓、王不留行各30g,蛤蚧、人參各10g(另煎兌水),黃芪25g,桑螵蛸、雲苓、當歸各12g。
2.脾氣虛弱型
證候:小便欲解而不得出,或量少而不爽利,血尿,肢體倦怠乏力,肌肉消瘦,大便溏泄,納呆乏味,氣短言微等,舌質淡,苔白,脈沉無力。
治法:健脾益氣,通利水道。
方藥:補中益氣湯加減。石韋、瞿麥、淡竹葉、生苡仁各60g,豬苓、王不留行各30g,人參10g(另煎兌水),黃芪25g,白朮、當歸、陳皮、升麻、柴胡各10g,甘草6g。
3.脾腎兩虛型
證候:腰痛、腹脹、腰腹部腫塊,血尿,納差,嘔吐噁心,消痛,面色白,虛弱氣短,舌質淡,苔薄白,脈沉細無力或弱。
治法:健脾益腎,軟堅散結。
方藥:四物湯合左歸飲加減。石韋、瞿麥、淡竹葉、生苡仁各60g,豬苓、王不留行各30g,人參10g(另煎兌水),黃芪、補骨脂、杜仲各10g白朮12g,黃精、枸杞子各30g,甘草6g。
4.肝鬱氣滯型
證候:情志抑鬱,或多煩易怒,小便不通或通而不暢,血尿,腰痛,脅腹脹痛,苔薄或薄黃,舌紅、脈弦。
治法:疏肝理氣,通利小便。
方藥:沉香散加減。石韋、瞿麥、淡竹葉、生苡仁各60g,豬苓、王不留行各30g,沉香、橘皮、當歸各10g,冬葵子12g,滑石25g,若氣鬱化火,可加龍膽草、山梔以清鬱火。
5.濕熱下注型
證候:小便不得出,或小便量少熱赤,尿急尿頻尿痛,血尿,小腹脹滿,腰背酸痛,下肢浮腫,口苦口粘,或口渴不欲,舌苔黃膩,脈滑數或弦數。
治法:清熱利濕,化瘀止痛。
方藥:八正散加減。石韋、瞿麥、淡竹葉、生苡仁各60g,豬苓、王不留行、小薊、白茅根各30g,丹皮12g,乳香、沒藥、蒲黃各10g,赤芍、元胡各15g。
6.肺熱壅盛型
證候:小便不通或不暢,血尿,發熱,咳嗽,咽乾痛,呼吸急促,煩渴欲飲,苔薄黃,脈數。
治法:清肺泄熱,通利水道。
方藥:清肺飲加減。石韋、瞿麥、淡竹葉、生苡仁各60g,豬苓、王不留行各30g,黃芩、桑白皮、麥冬、車前子、雲苓、木通、山梔各10g。若心火旺,舌尖紅,可加黃連清心火,有鼻塞、頭痛,脈浮等表證,可加薄何、桔梗以解表宣肺。
7.瘀血內阻型
證候:面色晦黯,腰腹痛,腰腹部腫塊,腎區憋脹不適,舌質紫黯或斑瘀點,苔薄黃,脈弦或澀或結代。
治法:活血化瘀,理氣散結。
方藥:桃紅四物湯加減。石韋、瞿麥、淡竹葉、生苡仁各60g,豬苓、王不留行、丹參各30g,桃仁、紅花、川芎、元胡、香附、枳殼各10g,赤芍15g。鮮
8.陰虛內熱型
證候:口乾不欲飲,五心煩熱,小便短赤,大便乾,腰骶部疼痛,低燒,消瘦,舌質紅,苔薄,脈細數。
治法:滋陰清熱,活血化瘀。
方藥:知柏地黃湯加減。石韋、瞿麥、淡竹葉、生苡仁各60g,豬苓、王不留行、丹參各30g,知母、黃柏、山藥、澤瀉、丹皮、雲苓、熟地各10g,赤芍15g,澤蘭12g。
對於放、化療時所產生的毒副作用,中藥的防治可參見第七章第四節。
(二)專方驗方
1.仙鶴草、鴨跖草各30g,爵床草60g,金絲草45g,車前草、白毛藤各20g。水煎代茶。服用後如出現胃脹不適,加四君子湯同煎。適用於膀胱出血或合併感染者。1療程3周,有效可重複。
2.金錢草30-120g,煎湯代茶飲。適用於膀胱癌尿滴不暢者。
3.白花蛇舌草、金錢草、土茯苓各30g,尿痛加瞿麥、扁蓄各10g甘草梢、木通各5g;小便不利加車前草、澤瀉各10g;血尿加大薊炭、生地各15g。水煎服,每日1劑。適用於膀胱癌疼痛、血尿或小便不利者。
4.三棱、莪術、青皮、藿香、香附、甘草各5g,生薑3片,大棗2枚,水煎服。1日1劑,頻頻服用。適用於各型膀胱癌者。如小便不利,加扁蓄10g,薏苡仁15g,金錢草、車前草各30g;小便刺痛加茯苓10g,海金沙5g;尿瀦留加大薊根、薏苡仁、玉米須各30。
5.太子參、茯芩、白朮各15g,炙甘草、白花蛇舌草各10g,淡竹葉5g,薏苡仁30g,黃柏5g,六味地黃丸(包煎)30g,水煎服,每日1劑。適用於膀胱移行上皮乳頭狀癌,手術切除後復發者。
6.龍葵、白英、土茯苓、白花蛇舌草各30,蛇莓15,海金沙、燈心草、威靈仙各10。水煎服,每日1劑。適用於膀胱乳頭狀癌、移行細胞癌、鱗狀細胞癌。
7.黨參15g,黃芪、茯苓、女貞子、桑寄生、白花蛇舌草各30g,每日1劑,水煎服。適用於膀胱乳頭狀癌,體質較差,正氣不足者。
8.斑蝥、大黃、人參、豬苓各適量。在斑蝥酒浸液入大黃、人參、豬苓茯苓末,用蛋清調勻,製成綠豆大藥丸。每次5粒,每天3次。適用於膀胱乳頭狀癌、腺癌、浸潤型癌及非上皮性腫瘤。並結合不同病期,結合辨證和辨病的原則,適用白花蛇舌草、山豆根、夏枯草、土茯苓、半枝蓮、黃芪、丹參、黃柏、五加皮、當歸等,水煎服,每日1劑,分2次服用。
9.威靈仙、豬茯苓、王不留行、小薊、茜草、敗醬草各30g,甜菜60g,赤芍、元胡、炮山甲各15g,水煎服。每日1劑,分2次服用。適用於膀胱癌壓迫致尿少不通暢,尿痛者。
(三)針炙治療
1.針刺主穴取關元俞、膀胱俞、腎俞、承扶、三陰交、陰陵泉等穴,配穴取內關、翳風。耳穴取腎、腎上腺、內分泌、心、肝等,補瀉交替,每日一次,每次留針20~30min。適用於各期膀胱癌者。
2.針刺和穴位注射止痛取穴關元、三陰交、腎交、腎俞穴,以0.5%~1%的普魯卡因注射注液2ml,分別注入兩側腎俞穴各0.5~1ml。每2天注射一次,連續10~15次。注射前須作普魯卡因皮試。適用於膀胱癌腰腹疼痛者。
3.電針刺激用電針治療儀,將電極板接於疼痛處,將負極放於疼痛對側處,以中低頻率刺激。適用於膀胱腫瘤疼痛者。
(四)推拿治療
取穴腎俞、關元、三陰交、大椎、曲池、合谷等穴位,採用擦、拿、抹、搖、拍擊等手法,以扶正祛邪,補腎健脾。適用於膀胱癌腰痛、尿瀦留、全身脹痛者。
(五)外敷藥物
1.鮮金錢草不拘量,清水洗淨,加食鹽少量,搗爛,敷於腫痛相應部位,稍厚如分幣,每天換一次。外敷處起皰灼痛以及破潰者可適用消毒,並服用抗生素預防感染。此法可減輕癌症疼痛,方法簡便,適於基層或家庭腫瘤患者。
2.癌痛散山柰、乳香、沒藥、薑黃、桅子、白芷、黃苓各20g,小茴香、公丁香、赤芍、木香、黃柏各15g,蓖麻仁20粒。上藥共碾為細末,用雞蛋清調外敷腫瘤疼痛處。6小時更換一次。適用於膀胱癌腰痛者。
(六)膀胱癌介入治療
適應症:1、凡準備手術切除的病例術前均可介人治療。2、手術不能切除的膀胱癌。3、手術後復發的膀胱癌。4、膀胱癌並發不可控制的出血。
介入治療膀胱癌的方法步驟①局麻後股動脈穿刺插管,導管頭端置於第4腰椎平面腹主動脈下端造影診斷;②根據造影所見將導管選擇性插入骼內動脈或進一步超選擇插入膀胱動脈;③由於膀胱接受雙側動脈支供血,故在完成病變側的灌注化療與栓塞後尚需進行另一側的治療,但應以患側為主;④常用的化療藥有順鉑(30mg),5-氟尿嘧啶(1g)、絲裂黴素(1Omg),栓塞劑有自體血塊、明膠海綿和螺圈。
介入治療膀胱癌的併發症及其處理:
1、一般無嚴重併發症,即使出現與一般血管造影相同。2、骼內動脈栓塞,可出現臀部麻脹感,一般在5-6天后消失。
飲食調養
1、鮮馬齒莧120g,兔肉250g(切塊),加水煮熟,鹽調味,飲湯食肉,常服,抗癌防癌。2、絲瓜100(洗淨颳去皮、切塊),鴨血塊lOOg、加調料煮熟食之,能清熱利濕解毒,防治膀胱癌。
3、鮮葡萄榨汁l00g,鮮蓮藕榨汁l00g,鮮生地榨汁60g,混合放瓦罐中煮沸,調入適量蜜糖溫服,可用於膀胱癌血尿及尿痛。
4、苡仁30g,赤小豆30g,煮成稀粥食用,常服,抗癌防癌。相關閱讀:《膀胱癌要注意哪些飲食》
5、銀耳20g,水燉服,每日1次,抗癌防癌。
6、鮮蘿蔔l00g切片,用白蜜醃一會,放鐵板上炙乾,再蘸蜜反覆炙,至50g白蜜炙盡。冷後,細嚼慢咽,再喝兩口淡鹽水,治膀胱癌尿痛。
疾病預防
癌症預防:一級預防、二級預防、三級預防一級預防:(PrimaryPrevention)--第一級預防或病因預防。其目標是防止癌症的發生。其任務包括研究各種癌症病因和危險因素,針對化學、物理、生物等具體致癌、促癌因素和體內外致病條件,採取預防措施,並針對健康機體,採取加強環境保護、適宜飲食、適宜體育,以增進身心健康。對個人,這是0期,是重要搗闌加諼慈?quot;時期。
避免吸菸吸菸已經較明確的為人們所熟知的致癌因素,與30%的癌症有關。煙焦油中含有多種致癌物質和促癌物質,如3-4苯丙芘,多環芳香烴、酚類、亞硝胺等,當菸草燃燒的煙霧被吸入時,焦油顆料便附著在支氣管黏膜上,經長期慢性刺激,可誘發癌變。吸菸主要引起肺、咽、喉及食管部癌腫,在許多其他部位也可使其發生腫瘤的危險性增高。2、飲食結構
美國飲食、營養及癌委員會(DNC)的調查表明:結腸癌、乳腺癌、食管癌、胃癌及肺癌是最有可能通過改變飲食習慣而加以預防的。事實上,合理的膳食可能對大部分癌都有預防作用,特別是植物類型的食品中存在各種各樣的防癌成分,這些成分幾乎對所有癌的預防均有效果。1997年中國營養學會公布的8條膳食指南為:
1)食物多樣,穀物為主。多種食品應包括穀物與薯類、動物性食品、豆類及其製品、蔬菜與水果及純熱量食品等5大類。2)多吃蔬菜、水果與薯類,維護心血管健康,增加抗病能力,預防癌症,預防眼疾。3)每天吃奶類、豆類及其製品。我國膳食中鈣普遍缺乏,僅為推薦供應量的一半。而奶類食品含鈣量高,並與豆類食品一樣,是優良的蛋白質來源。4)經常吃適量的魚、禽、蛋、瘦肉,少吃肥肉與葷油。動物性蛋白的胺基酸組成全面,賴氨酸含量高;而魚類的不飽和脂肪酸有降血脂、防血栓形成的作用。5)膳食與體力活動平衡,保持適當體重。早、中、晚餐的供熱量分別為30%、40%及30%為宜。6)吃清淡少鹽的膳食。我國居民的平均食鹽攝入量約每天15克,是世界衛生組織建議值的兩倍以上,故應減少食鹽量的攝入。7)飲酒應節制。8)吃清潔衛生、不變質的食品。包括選購符合衛生標準的食品,尤其是綠色食品。3、其它如職業、環境、感染、藥物等
因職業和環境的原因而按觸一些化學物質可導致不同部位的腫瘤。例如肺癌(石棉)、膀胱部(苯胺染料)、白血病(苯)。有些感染性疾病與某些癌症也有很密切的聯繫:如B肝病毒與肝癌,人乳頭瘤病毒與宮頸癌。在一些國家,血吸蟲寄生感染顯著增加膀胱癌的危險性。暴露於一些離子射線和大量的紫外線,尤其是來自太陽的紫外線,也可以導致某些腫瘤,特別是皮膚癌。常用的有致癌性的藥物包括性激素--雌激素和雄激素、抗雌激素藥三苯氧胺。絕經後婦女廣泛套用的雌激素與宮內膜癌及乳腺癌有關。
有效預防膀胱癌
1、養成良好的生活習慣, 戒菸限酒。煙和酒是極酸的酸性物質,長期吸菸喝酒的人,極易導致酸性體質。[4]2、不要過多地吃鹹而辣的食物,不吃過熱、過冷、過期及變質的食物。年老體弱或有某種疾病遺傳基因者酌情吃一些防癌食品和含鹼量高的鹼性食品,保持良好的精神狀態,才能有效預防膀胱癌。
3、有良好的心態應對壓力,勞逸結合,不要過度疲勞。可見壓力是膀胱癌的重要誘因。
4、加強體育鍛鍊,增強體質,多在陽光下運動,多出汗可將體內酸性物質隨汗液排出體外,避免形成酸性體質。
5、生活要規律,生活習慣不規律的人,都會加重體質酸化,容易患膀胱癌。應當養成良好的生活習慣,從而保持弱鹼性體質,使膀胱癌疾病遠離自己。

