簡介
膀胱移行細胞癌流行病學
膀胱癌在中國其發病率和死亡率均占泌尿系腫瘤的首位。1985年以全世界腫瘤發病數統計,在泌尿系腫瘤中膀胱癌居第2位,僅次於前列腺癌;膀胱癌在男性中占男性全部癌4.7%,居第8位女性列12位。1990年膀胱移行細胞癌的發病率,男性2.88/10萬,女性0.8/10萬,分別占全身惡性腫瘤的10%和4%,列第4位及第8位。
膀胱上皮性腫瘤占95%以上,其中有乳頭狀瘤(2%),移行細胞癌(94%),原位癌(1%),鱗狀細胞癌(2%),腺癌(1%)。
病因
膀胱癌 1.遺傳易感性 世界各國膀胱癌的發病率相差可達10倍之多,西歐和北美最高,東歐和一些亞洲國家比較低,英國、澳大利亞、紐西蘭人的遺傳學相似,膀胱移行細胞癌發病率也相似。埃及血吸蟲引起膀胱移行細胞癌在埃及占全部癌的18%。台灣地區移行細胞癌可能與周圍血管“黑腳病”有關。膀胱移行細胞癌和性別年齡關係密切發病率男性比女性高2~10倍;60歲以後發病率高,可能因為環境的致癌因素要等待比較長的時間。膀胱移行細胞癌很少在40歲以前發病,而年輕人膀胱癌常為分化良好的乳頭狀移行細胞癌,治療後也很少復發。
2.危險因素 膀胱癌與環境、職業、吸菸、感染、慢性炎症、結石、異物、盆腔照射、細胞毒化療藥物等有關現認為25%~27%膀胱癌與職業有關,有1/2男性,1/3女性與吸菸有關。
染料紡織工業的產業工人膀胱移行細胞癌發病率較高,現已公認2-萘胺、1-萘胺、聯苯胺4-硝基雙聯苯為化學工業致癌物。這些物質經肝臟代謝,還原為α-氨基萘酸,作用於尿路上皮而引起職業性膀胱癌,由於尿液在膀胱中滯留最長,因而泌尿系腫瘤中膀胱癌發病率最高。
吸菸發生膀胱癌相對危險性為2~10,且與吸菸量有關。膀胱癌中約1/3有長期吸菸史。吸菸致癌可能因香煙內許多化學致癌質有關吸菸者尿中色氨酸代謝產物增加50%,吸菸停止後,色氨酸代謝水平可回復正常,已證實色氨酸代謝產物有潛在致癌性。
膀胱感染所致膀胱移行細胞癌是鱗癌多於移行細胞癌。埃及血吸蟲病結石、膀胱憩室所致慢性膀胱炎常導致鱗癌,80%截癱病人膀胱有鱗狀上皮化生,5%發生鱗癌。尿瀦留也可能是膀胱癌的病因。
藥物可引起尿路上皮性腫瘤(止痛藥非那西汀),由於與苯胺有相同的化學結構,用量過大可引起腎盂,膀胱移行細胞癌;另外環磷醯胺也可增加膀胱癌發病的危險性,對腫瘤病人和非腫瘤病人如系統性紅斑狼瘡,類風濕關節炎等可使膀胱癌發生機會增加9倍。
子宮頸癌大劑量骨盆部位放射治療使膀胱癌發生機會增加到4倍,與放射量和照射時間有關。
基因過度表達3.生物學特點 對膀胱癌生物學行為的研究表明膀胱癌的發生是一個多階段過程,包含了多種基因突變,這些突變又可被分為早期和晚期。早期突變導致了尿路上皮細胞的初始轉化。而晚期突變則使惡化的細胞具有浸潤性和轉移性。膀胱癌基因突變的認定已經有了很大的進展,但沒有一種(幾種)染色體或基因的改變是所有膀胱移行細胞癌都具有的,而且各種不同的遺傳因素,突變似乎可以導致同樣的腫瘤形態的表現,這說明了致癌因素及其作用的DNA靶目標的多樣性。迄今尚未發現對膀胱癌發生具有決定性影響的突變,但是,不能因此而否認各種突變在腫瘤發生髮展中所起的重要作用,有人假說:膀胱癌的發生有兩種途徑,其一為不死的幹細胞的轉化,再一種為病毒感染後基底層細胞轉變為不死。這兩種途徑都包括由淺表性到浸潤性最後出現轉移的發展過程,在不同的發展階段有不同的基因突變在起作用。在第1種途徑中9q染色體的缺失使幹細胞轉化為淺表性癌,P53和Rb抑癌基因失活及H-ras的激活使病變進一步發展第2種途徑中最初的變化為病毒性致癌因素使P53和Rb抑癌基因失活,隨後其他基因突變導致腫瘤的發生和發展。在癌基因及抑癌基因的研究同時腫瘤專家們開始關注癌細胞表面向細胞核內信息傳遞過程,試圖揭示腫瘤的發生髮展。
發病機制

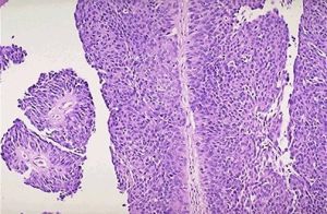
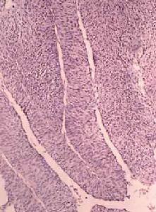
正常膀胱尿路上皮為移行上皮,約3~7層厚。正常上皮細胞表面有大的傘狀細胞覆蓋其下層的一些小細胞,表面的傘狀細胞常為雙核或多核。細胞的大小和形狀隨膀胱的擴張程度而發生變化。在深部黏膜,細胞為圓形、橢圓形、長形或柱狀,包埋在纖維基底膜上,這種結構使細胞之間可以滑動當尿路移行上皮對炎症、慢性刺激或致癌物發生反應時,可發生增生性變化(增生和化生)。90%以上的膀胱癌為移行細胞癌,其生長表現為多樣性,包括乳頭狀,無蒂浸潤,結節狀以及上皮內生長。它具有較大的間變潛能;因此,移行細胞癌可含有梭狀細胞、鱗狀上皮細胞和腺上皮細胞成分。1/3膀胱癌可出現上述成分。移行細胞癌好發於膀胱三角區基底部和側壁但膀胱任何部位均可發生移行細胞癌大約70%膀胱癌為乳頭狀,10%為結節狀,20%為混合型。根據腫瘤細胞分化程度腫瘤分為Ⅰ級Ⅱ級和Ⅲ級Ⅰ級癌指瘤細胞分化良好,移行上皮層次多於7層,細胞呈輕度間變和多形性核胞質比例增大從基底到表層細胞的成熟輕度紊亂,有絲分裂像偶見。Ⅱ級癌的瘤細胞從基底層到表層的成熟高度紊亂,極向喪失,核胞質比例明顯增大伴核多形性,核仁粗大,有絲分裂像較常見。Ⅲ級癌為低分化型核多形性顯著,有絲分裂像多見,瘤細胞與正常移行上皮幾乎無相似之處(圖1)。
1.腫瘤的擴散 膀胱癌的擴散途徑包括腫瘤在原發部位直接浸潤蔓延或經淋巴、血行及種植轉移到其他部位。
(1)直接擴散:膀胱癌浸潤性生長可穿透整個膀胱壁,延伸到膀胱周圍脂肪與盆壁粘連形成固定腫塊,或蔓延到頂部腹膜也可直接擴散至鄰近器官。
(2)淋巴結轉移及血行轉移:膀胱癌淋巴結轉移較為常見多為盆腔淋巴結轉移(78%),其中閉孔淋巴結最常見占74%,其次為髂外淋巴結占65%,髂總淋巴結20%,膀胱旁淋巴結少見占16%。遠處轉移多見於晚期膀胱癌,常見轉移部位是肝(38%)、肺(36%)、骨(27%)、腎上腺(21%)、結直腸(13%)等。
2.種植性轉移 可發生在開放手術術後的腹壁切口,經尿道切除術後損傷的膀胱頸、前列腺以及尿道,但極為罕見。
3.TNM分期
膀胱移行細胞癌TNM分期:
Tx:原發腫瘤無法評估。
To:未發現原發腫瘤。
Tls:原發癌。
Ta:乳頭狀瘤,非浸潤性乳頭狀癌。
T1:腫瘤侵犯黏膜下層(固有層)。
T2:腫瘤侵犯淺肌層。
T3a:腫瘤侵犯深肌層。
T3b:腫瘤侵犯膀胱周圍脂肪。
T4:腫瘤侵犯鄰近器官,如前列腺/子宮/陰道/盆腔或腹壁。
Nx:對淋巴結轉移無法作出估計。
N0:未發現淋巴結轉移。
N1:單個淋巴結轉移直徑<2cm。
N2:單個或多個淋巴結轉移,直徑2~5cm。
N3:單個或多個淋巴結轉移,直徑>5cm。
Mx:遠處轉移無法作出估計
M0:未發現遠處轉移。
M1:遠處轉移。
臨床表現
尿失禁 肉眼血尿的特點為無痛性,多為全程血尿,也可表現為排尿初期或終末血尿,呈現間歇性發生,也可持續存在,間隔時間由數天至數月不等,一般早期間隔時間較長,隨病情發展逐漸縮短間隔期。血尿的程度依出血量多少,表現為洗肉水樣伴有不規則或片狀血塊,甚至大量血塊充滿膀胱。一般腫瘤的大小與血尿程度呈正比出血嚴重者可發生失血性貧血,也有腫瘤不大,反覆出血而引起貧血者。
膀胱刺激症狀,即尿頻、尿急尿痛,為膀胱癌的另一主要症狀,約占膀胱癌起始症狀的10%左右。癌腫損害膀胱防禦感染的功能,而且癌腫類似膀胱內異物,妨礙感染消除故40%的膀胱癌伴有尿路感染廣泛原位癌或浸潤癌可首先出現明顯的膀胱刺激症狀,甚至發生急迫性尿失禁,恥骨上區、陰莖及會陰部疼痛。癌腫位於膀胱頸部或浸潤頸部,癌組織大塊壞死脫落或巨大癌腫使膀胱容量縮小或伴有結石等均可引起膀胱刺激症狀。凡有膀胱刺激症狀或排出過“腐肉”的膀胱癌,多屬晚期或浸潤性,預後不良。
膀胱頸部或累及頸部及前列腺的癌腫、頸部附近帶蒂癌腫及大塊壞死脫落的癌組織均可阻塞頸口而出現排尿困難晚期發生下肢水腫、盆腔腫塊,咳嗽、胸痛等轉移症狀及消瘦、貧血等惡病質症。
併發症
癌腫累及輸尿管口,則可出現腎區脹痛、腎輸尿管積水、感染、腎功能損害。
診斷
臨床多以間歇性、無痛性、肉眼全程血尿就診,實驗室檢查、影像學及膀胱鏡檢查加活檢是確診的最主要方法。
鑑別診斷
1.膀胱結石 通過膀胱區X線平片有無不透光陰影,可以做出初步鑑別。陰性結石造影時亦可表現為充盈缺損,而膀胱癌合併結石並不少見膀胱鏡檢查是主要手段。在膀胱鏡下除看到結石外,還可以看到乳頭狀或絨毛狀新生物。通過活組織檢查進一步明確診斷。
2.輸尿管囊腫 血尿較少見,合併感染時亦可以有血尿,但不如膀胱移行細胞癌時那么嚴重。膀胱造影在膀胱三角區有負影,負影呈蛇頭樣,位於三角區表面光滑。B超檢查為囊性腫物,隨尿液的排出,具有舒縮的變化。膀胱鏡檢查,見輸尿管口有水泡樣隆起,由膀胱黏膜覆蓋血管清晰,有和排尿相一致的蠕動。
膀胱結核3.膀胱結核 膀胱結核一般有腎或肺結核病史,有低熱、盜汗、食慾減退等全身症狀。有米湯樣膿尿。尿液檢查有大量膿細胞。尿結核菌培養60%陽性。尿液脫落細胞檢查無腫瘤細胞。膀胱造影和B超檢查時,膀胱內無占位性病變。膀胱鏡檢查,膀胱內有炎症改變和結核、結節、潰瘍,無新生物。炎症、潰瘍創面需注意與絨毛狀膀胱癌相鑑別。膀胱鏡取活組織檢查對鑑別診斷有重要價值。
4.前列腺增生症 前列腺增生可以有肉眼血尿,突入膀胱的中葉增生與膀胱移行細胞癌尤需鑑別。腫瘤生長於膀胱頸部或膀胱尿道交界處可以有排尿困難。前列腺增生,以排尿困難為特點,病史比較長几年至十幾年。排尿困難有逐漸加重的發展過程直腸指診觸及前列腺增大,中間溝消失。膀胱造影在膀胱頸部顯示壓跡有向膀胱內凸入的負影,表面光滑,呈弧形膀胱鏡檢查,除見前列腺增大外,膀胱內無新生物,對可疑的病例行活組織檢查,有助於診斷。
5.膀胱息肉 本病少見,多發生於慢性炎症、寄生蟲及異物刺激。繼發感染時有膀胱刺激症狀,一般無排尿困難。膀胱造影顯示膀胱內充盈缺損。本病主要與膀胱惡性腫瘤鑑別。膀胱息肉的血尿不如惡性腫瘤嚴重。尿液中找不到瘤細胞。膀胱鏡檢查見息肉表面光滑,沒有蒂。膀胱惡性腫瘤則表面呈菜花狀或絨毛狀易出血。活組織檢查有助於明確診斷。
6.腎、輸尿管腫瘤 其血尿特點為間歇性無痛性全程肉眼血尿與膀胱癌類似,可單獨發生或與膀胱癌同時存在,必須予以區別。膀胱癌的血尿可伴有膀胱刺激症狀或在開始或終末加重,血尿顏色多為鮮紅色,血塊多為團塊狀腎、輸尿管腫瘤無膀胱刺激症狀,血尿多為暗紅色,有時可伴有條索狀血塊。腎實質腫瘤常伴有腰背部疼痛及腫塊一般經B超IVU、CT及MRI等檢查不難鑑別。
7.腺性膀胱炎 為膀胱癌前病變臨床表現有時與膀胱癌類似,需行膀胱鏡檢查及活組織檢查以鑑別。
檢查
DNA 1.脫落細胞學檢查 方便易行可多次重複。但早期腫瘤陽性率較低。①流式細胞檢查:該方法能測定腫瘤DNA含量非整倍體細胞數,對原位癌及高期高級腫瘤的診斷準確率較高,可達90%。②吖啶橙試驗:腫瘤細胞以吖啶橙螢光素浸染,螢光顯微鏡觀察,能顯示出細胞內核糖核酸(RNA)和脫氧核糖核酸(DNA)量變圖像,亦能顯示細胞的形態結構有助於判斷腫瘤細胞及其活力狀態。
2.腫瘤標記物 不但有助於腫瘤診斷而且對於腫瘤生物學行為的判斷有預測意義①膀胱移行細胞癌抗原(BTA):膀胱移行細胞癌分泌蛋白水解酶,將膀胱基底膜降解為Ⅳ型膠原、纖維蛋白連線素和層黏蛋白等基本成分。這些降解產物被排到鄰近尿液中,形成基底膜複合物,即所謂膀胱移行細胞癌抗原(BTA)。其成分為相對分子質量為16000~165000的特異多肽。BTA試劑是檢測膀胱移行細胞癌膜抗原的方法,對移行細胞上皮癌具有較高的敏感度和特異性。有兩種BTA試劑:BTA stat和BTA test。兩種BTA試劑在診斷中的地位是並列的,在敏感度和特異度的研究中發現:BTA stat與BTA test的敏感度及特異度分別為65.90%、63.63%和82.89%、81.57%,沒有顯著性差異。如果兩種試劑聯合套用,則在不降低敏感度的情況下,顯著提高了診斷的特異度,這說明聯合套用可降低假陽性率避免了因假陽性結果導致的進一步檢查或治療。BTA是一種試劑盒,醫務人員不受時間、地點、設備的限制,也無需特殊培訓便可掌握,5 min即可出結果。檢查無創傷,只需留取20 ml尿液,48 h內檢查不會影響結果。BTA檢測存在一定的假陽性和假陰性,不能獨立用於確診膀胱癌。另外,BTA試劑價格昂貴,難以全面推廣使用。②Lewis X抗原檢測:Lewis X是一種ABO血型相關抗原,在正常尿路上皮中不存在該抗原,而5%~89%的移行細胞癌可檢出Lewis X,且與腫瘤的分級無關。③核基質蛋白22(nuclear matrix protein22,NMP22):NMP22是核有絲分裂器蛋白,膀胱移行細胞癌細胞內NMP22是正常細胞的25倍以上診斷膀胱癌的敏感性為48%~90%,特異性為70%~92%NMP22對高級、高期膀胱癌敏感性較高,在無結石、炎症等情況下,可用於隨訪監測④纖維蛋白/纖維蛋白降解產物(fibrin degradation productsFDP):用快速免疫檢測法測定尿中FDP診斷膀胱癌的敏感性為68%對T2~T4期膀胱癌的敏感性更是高達100%。⑤玻璃酸酶檢測hyaluronidase,HAase:玻璃酸酶是一種細胞外降解基質透明質酸的內源性糖苷酶,在腫瘤進展中起重要作用。套用凝膠技術檢測G2、G3級膀胱癌尿液中玻璃酸酶活性,敏感性達92%~100%⑥端粒酶活性(telomerase):端粒是位於染色體末端的保護性結構,隨細胞分裂逐步縮短,直至細胞死亡端粒酶的作用就是延長端粒,現已發現多種腫瘤細胞中端粒酶活性增強。該法診斷包括低級、低期腫瘤在內的膀胱癌敏感性可達91%。
其它輔助檢查:
1.影像學檢查
脈衝(1)B超:①經腹途徑最常用,可以獲得腫瘤的大小、數目、位置和基底部寬窄的基本圖像,對A期和C期的鑑別提供依據。具有操作簡便無痛苦、可重複進行的優點。由於骨盆限制了聲波脈衝的傳導,且受腹壁厚薄、瘢痕腸道氣體和癌腫出血等因素的影響,確診率相對較低。②經直腸途徑橫斷面檢查可準確顯示膀胱前壁、兩側壁和基底部腫瘤,但對頂部、頸部顯示不滿意縱斷面檢查對膀胱底部、三角區和頸部腫瘤顯示清楚,能準確測量大小,並在一定程度上了解腫瘤的浸潤深度。③經尿道途徑可清楚地顯示膀胱移行細胞癌的位置、大小,準確判定腫瘤浸潤的深度,還可顯示雙側輸尿管下段膀胱壁內段、雙側精囊及前列腺的圖像。該檢查對膀胱癌術前臨床分期與術後病理學檢查結果的符合率高達90%~94%。缺點是對腫瘤浸潤較深及膀胱周圍盆腔臟器的情況顯示不足。
(2)IVU:同時可明確上尿路情況,腫瘤較大者在膀胱區可發現充盈缺損。
(3)CT、MRI:CT是對於膀胱癌的診斷和臨床分期最準確的無創性檢查,除了可以確定腫瘤的大小及在膀胱壁浸潤的深度外,還可提供關於盆腔及腹膜後淋巴結有無轉移、肝或腎上腺有無轉移的信息。對膀胱憩室內癌與膀胱壁內癌的診斷有特殊意義。增強CT及螺鏇CT掃描可增加分期的準確性。MRI可提供多種斷面的影像,因而可以提供更好的局部解剖結構關係。但在臨床分期方面並不比CT有更強的優越性。
2.膀胱鏡檢查 是確診膀胱移行細胞癌最重要的方法。可以明確有否腫瘤及數目、大小形態蒂的部位等情況,並可進行活檢。
相關檢查:
> T4
> 出血時間
腎上腺素> 去甲基腎上腺素
> 抗核仁核糖核酸抗體
> 端粒酶
> 粘蛋白
> 紅細胞果糖1,6二磷酸
> 纖維及纖維蛋白原降解產物
> 脫氧核糖核酸染色
> 血漿HCO3濃度
治療
膀胱移行細胞癌生物學特性差異很大,治療的方法也很多,但基本治療方法仍為手術,放療、化療和免疫治療等居輔助地位。原則上表淺膀胱移行細胞癌。
行保留膀胱的手術,浸潤性癌行全膀胱切除加尿流改道或原位新膀胱手術。
1.表淺性膀胱移行細胞癌的治療 主要是指Ta期~T1期的膀胱癌。經尿道將肉眼所能看到的腫瘤切乾淨,然後再輔以膀胱內灌注治療。淺表性膀胱癌很少需行膀胱全切術除非有瀰漫的、無法切除的乳頭狀腫瘤或對腔內治療無效的原位癌。
(1)經尿道膀胱移行細胞癌電切術(TURBT):大多數淺表性膀胱癌患者可通過TURBT得到有效的治療首先切除腫瘤的表淺部分並將標本取出送病理檢查。接著切除深層部分的組織,並將切除的組織送病檢。這樣可完整地切除腫瘤並為確定腫瘤的分級、分期提供有價值的資料。侵犯輸尿管管口的腫瘤應同時行管口切除,但腫瘤切除後不要電灼創面,防止管口狹窄膀胱憩室內的腫瘤不宜行經尿道膀胱移行細胞癌電切術。
(2)經尿道膀胱移行細胞癌雷射切除:雷射具有方向性強、光度高單色性好和相干性好的基本特性,對膀胱癌的治療有良好效果雷射器的種類很多有固體雷射器、氣體雷射器等,其中以摻釹-釔鋁石榴石雷射Nd∶YAG雷射器套用最廣,效果最好通過光導纖維,經膀胱鏡將雷射引入膀胱內,在直視下對癌腫進行治療這種治療為非接觸性,治療深度一致並能控制創傷輕、併發症少。特殊的優點是:①雷射照射的同時阻塞淋巴管,可避免癌腫擴散;②為非接觸性,避免或減少活的癌細胞釋放;③操作簡便、安全、出血少、復發率低。
(3)光動力學治療(PDT):光動力學治療又名光敏治療其原理是光敏劑光和氧對細胞有毒性作用。將與癌組織親和力很強的光敏劑注入機體內,待其聚集結合,藉助於光將其激活,產生細胞內毒性,使癌細胞失活。常用的光敏劑為血卟啉及其衍生物HPD。HPD的一般劑量為2.5~5mg/kg體重,靜脈注射後48~72h雷射照射。一般用氬離子雷射為光源,由石英導光纖維導入。主要適宜於原位癌和淺表性膀胱癌及癌前黏膜病變的治療。對原位癌和淺表性膀胱癌的治療效果分別在90%以上及達到95%。此法具有對癌組織選擇性高、對正常組織無損傷全身反應輕等優點,可以多次重複治療。光動力學治療的副作用為HPD及其衍生物少量皮膚吸收產生皮膚光敏反應,受光線照射後出現輕度水腫色素沉著等。預防的主要措施為避光至少1周。部分病人可有尿頻、尿急和膀胱容量縮小。利用5-氨基果糖酸(ALA)作為一種新的光敏物質,克服了HPD的缺點,具有螢光強沒有過敏反應、無需避光的優點。
(4)膀胱部分切除:膀胱部分切除術是一個相對比較簡單的手術。在不具備腔內泌尿外科手術器械的醫院,膀胱部分切除術是治療膀胱移行細胞癌的主要方法只要在手術中能徹底切除病變的組織,並儘量減少腫瘤組織脫落並污染傷口的可能性,療效是比較確切的。
順鉑(5)膀胱灌注化療:膀胱灌注化療即將一定劑量的某一種或幾種化療藥物注入膀胱內並保留一段時間以達到治療或預防腫瘤復發的方法。此法具有以下優點:①抗癌藥物可以在膀胱內較長時間高濃度直接作用於腫瘤;②可以殺滅膀胱內術後殘餘的腫瘤細胞防止腫瘤細胞種植,降低復發的可能;③可以減少全身用藥的毒副作用;④可以保留膀胱,不僅生活方便,且可保留性功能。理想的膀胱灌注化療藥物應有直接抗惡性移行細胞作用,無特殊藥物作用時相對全身毒性小。可供選擇的藥物有羥喜樹鹼6~12mg、絲裂黴素(絲裂黴素C) 40mg、多柔比星40mg、米托蒽醌12mg、順鉑40mg、吡柔比星40mg溶於40~60ml生理鹽水每周灌注1次,2個月後改為每月1次,持續1~2年。
(6)經膀胱免疫治療:①凍乾卡介苗(卡介苗)(Bacillus Calmette-Guerin,BCG):凍乾卡介苗是牛型結核分枝桿菌的減毒菌株經膀胱灌注凍乾卡介苗是預防腫瘤復發效果最好的手段。此外,凍乾卡介苗還可用於治療原位癌。其方法是凍乾卡介苗 120~150mg,稀釋於50ml生理鹽水中,每周1次,6次後改為每月1次,持續1~2年②干擾素(IFN):IFN有抗增殖和免疫刺激特性,被廣泛用作抗腫瘤藥。IFN可對1/3的原位癌有效,一項前瞻性研究表明套用重組IFN 100×107u每周1次,共12次;接著每月1次共1年完全緩解率為43%。③阿地白介素(白細胞介素-2)(IL-2):IL-2的作用是促進T淋巴細胞增殖,從而導致殺傷T淋巴細胞的增殖和分化,活化天然殺傷細胞NK細胞誘導淋巴因子激活殺傷細胞LAK細胞及腫瘤浸潤淋巴細胞TIL細胞產生,並促進外周血淋巴細胞產生多種淋巴因子,在免疫調節中起重要作用。膀胱內灌注常用劑量為3500U,每周1次,共6次;以後每月1次共1年。
(7)膀胱鏡複查及尿路造影檢查:表淺膀胱癌患者術後隨診檢查包括:最初2年內,每3個月行1次膀胱鏡檢查;隨後2年內,每6個月1次;接著每年1次。每1年或2年行1次排泄性尿路造影檢查。
2.浸潤性膀胱癌的治療 對浸潤性膀胱癌的治療有了很大的進步由單一的手術治療發展為外科手術、化療放療、生物治療等綜合治療,治療效果也有較大提高,但是外科手術仍為最重要的治療手段。如為局限病灶,可行膀胱部分切除術,否則應考慮膀胱全切除術同時加尿流改道或原位新膀胱術,必要時尚需配合放療和化療。
(1)膀胱部分切除術:適應證有單個局限性癌距膀胱頸部3cm以上、TUR不易切除部位的腫瘤、憩室內癌。術前應行膀胱鏡下黏膜活檢以確定在膀胱的其他部位以及前列腺部尿道沒有腫瘤及原位癌存在切除範圍應包括腫瘤周圍2cm的膀胱黏膜。如腫瘤靠近輸尿管口,應行輸尿管再植術。
(2)膀胱全切除術:①適應證:多發膀胱癌、位於膀胱頸部及三角區的較大浸潤性癌、腫瘤無明顯邊界者反覆復發的膀胱癌、腫瘤體積大行部分切除後膀胱容量過小者。②膀胱全切除術配合術前放射治療:放療可殺死腫瘤細胞,避免術中全身和局部擴散,從而提高手術生存率。③膀胱全切除術配合術前動脈化療:術前髂內動脈化療及栓塞,但會造成粘連增加膀胱切除時的難度。
(3)根治性膀胱全切除術:男性包括膀胱、前列腺、精囊、周圍脂肪組織及覆蓋的腹膜;女性包括膀胱、尿道及周圍脂肪組織,常同時切除子宮、輸卵管卵巢和部分陰道前壁。
(4)保留勃起神經的根治性膀胱全切除術:保留勃起神經的改良膀胱前列腺切除術,可使大部分患者術後保留勃起功能。其手術要點為在處理前列腺側韌帶時緊貼精囊和輸精管橫斷膀胱動脈和膀胱蒂以避免損傷血管神經束的頭端部分。
(5)放射治療:在膀胱癌手術根治困難或病人拒絕手術時可採用,可使病人保留排尿功能和性功能。
(6)化療:對已有轉移的膀胱癌以化療為主現階段認為比較有效的藥物為順鉑、多柔比星、甲氨蝶呤、長春鹼、氟尿嘧啶等。
預後及預防
預後:
預後決定於腫瘤細胞類型病理分期、分級及患者本身的免疫力。Ta、T1期移行上皮癌細胞分化Ⅰ級者,5年生存率80%以上;T1期細胞分化ⅡⅢ級者5年生存率40%,但保留膀胱者半數有復發膀胱部分切除術:T2期5年生存率45%,T3期23%。膀胱全切除術:T2及T3期5年生存率16%~48%根治性全膀胱切除術T2、T3期5年生存率明顯提高可達30%~70%,T4期不做治療均在1年內死亡,放射治療後有5年生存率達6%~10%的報告隨著化療和手術技術的改進膀胱癌的復發率明顯降低長期存活率也不斷提高。術後膀胱灌注的藥物很多,手術後近期應選用強抗癌藥物灌注(如吡柔比星)來殺死殘存的腫瘤細胞;長期灌注可用阿黴素等大分子抗癌藥物或免疫刺激劑(凍乾卡介苗)來提高局部組織的免疫力以預防復發。但有些學者甚至建議無須長期膀胱灌注。現今又提出了腫瘤休眠療法(tumor dormancy therapy)即通過阻斷腫瘤血管生成以阻斷癌細胞營養補充的途徑,抑制腫瘤細胞的增殖,導致腫瘤的最終消退。由於血管內皮生長因子(VEGF)是血管生成的關鍵因子,現可通過注射VEGF單克隆抗體來有效抑制腫瘤生長,使其轉變為靜止期。另外蘇拉明可以與VEGF結合,從而抑制VEGF誘導的血管內皮細胞增殖與遷移。術後膀胱鏡及尿脫落細胞檢查十分重要。應注意避免誘發膀胱癌的危險因素,如聯苯胺、染料、吸菸,並積極治療腺性膀胱炎、膀胱結石、尿瀦留等。
預防:
維生素B61.一級預防 建立良好的生活習慣,戒菸,保持健康心理狀態。大力加強環境、勞動衛生立法、監督和管理,加強可能接觸染料橡膠塑膠等工業的人應定期檢查並採取一定的監護措施,服用維生素B6期望能阻斷色氨酸異常代謝。對慢性膀胱炎、黏膜白斑結石、埃及血吸蟲病應積極治療。
2.二級預防 普查可以較早期發現膀胱癌,一般做簡便的尿常規和尿脫落細胞學檢查血尿是膀胱癌第1個和最常見的臨床表現往往呈無痛性間歇性,應進一步行尿細胞學膀胱鏡檢查和X線拍片。一經確診應儘快行手術治療,根據腫瘤位置、大小、數目、浸潤深度可採用經尿道腫瘤電切、膀胱部分切除、全膀胱切除等。膀胱內熱鹽水加壓灌注治療淺表膀胱移行細胞癌有一定療效,腫瘤受缺血和熱的雙重作用從而壞死脫落。放療可以和手術治療同時使用或單獨用於手術禁忌者。化療一般用膀胱內灌注化療藥主要目的是預防腫瘤術後復發,膀胱內灌注凍乾卡介苗(卡介苗)治療膀胱原位癌有效並可用於術後預防復發表淺膀胱移行細胞癌採用雷射治療或雷射血卟啉衍生物光敏治療有一定療效。手術治療後為預防復發,應定期複查膀胱鏡每3個月1次維持2年半年1次再維持2年,然後1年1次維持終生,為排除上尿路之尿路上皮腫瘤必要時行靜脈腎盂造影。
3.三級預防 晚期膀胱癌已不能耐受全膀胱切除術則採用單純性輸尿管乙狀結腸移植術,病人情況差腎功能不全難以耐受腸道的尿流改道或重建手術時可進行輸尿管皮膚造瘺術晚期病人出現疼痛,惡病質時可給予對症,支持治療。

