病因
膀胱結石大體部位其實,要得到膀胱結石也不是簡單的事。一般來講,膀胱結石的病因主要有:
(一)營養
流行病學調查表明小兒膀胱結石具有明顯的地區性分布,如美國東南部、英國的Norfolk、斯堪地那維亞半島、中歐、埃及、澳大利亞西北部、巴基斯坦、泰國、寮國、印度、越南、印度尼西來及中國東南部。雖然該地區的地理環境、氣候條件和土壤沒有多大改變,但隨著生活水平不斷提高,居民營養狀況明顯改善,現除印度、寮國、泰國、巴基斯坦和伊朗外,其他地區該病已少見。此外,小兒膀胱結石與嬰幼兒餵養方式有關,如泰國的烏汶府和中國廣西融水山區,新生兒在出生後數日,即以黏稠的糯米糊餵養嬰兒,這種餵養法可使尿量減少濃縮,尿中草酸及尿酸含量增高,而枸櫞酸及磷酸鹽含量卻減少,而且這種餵養法還可造成長期缺少嬰兒生長所需蛋白質而出現營養不良性酸中毒,尿呈強酸性易於尿酸鹽沉澱形成結石。流行病學資料已證實,只要改善孕婦、產婦的營養,使新生兒有足夠的母乳(應特彆強調母乳餵養)或用牛乳餵養,小兒膀胱結石是可以防止的。
(二)下尿路梗阻
不少小的腎和輸尿管結石以及在過飽和狀態下形成的尿鹽沉澱排入膀胱後,在膀胱排尿無梗阻的情況下,均可隨尿排出。但當有下尿路梗阻時,如尿道狹窄、先天畸形、前列腺增生、膀胱頸部梗阻、膀胱膨出、憩室、腫瘤等,均可使小結石和尿鹽結晶沉積於膀胱而形成結石。這也是現今膀胱結石在男性小兒及老年人常見的原因。
(三)膀胱異物
膀胱異物如導管、縫線、子彈頭、蠟塊、發卡、電線等均可作為核心使尿鹽沉積於其周圍形成結石。
膀胱結石小兒結石除少數地區外,現已少見,但做腸道膀胱擴大術後則大增,達36%-50%。主要是因為腸道黏液所致。專家指出,鈣對黏蛋白具有較高的親和力,其結合位點在黏蛋白分子三級結構周圍部的唾液酸殘基,該位點常為陰電荷。這種陰電荷結構相互排斥,從而維持黏蛋白的正常結構。當鈣結合於這些位點後黏蛋白包裹成團,並從其內部喪失水分,因而變的更加緊密而不可溶。
(五)膀胱外翻-尿道上裂
膀胱外翻-尿道上裂者中,其中絕大多數發生於膀胱。膀胱尿道重建前因有解剖、組織學及功能方面的異常,易形成結石。但在重建術後又加上手術引流管、尿感染、尿滯留,以及膀胱擴大術後更加重其結石形成的危險因素。在美國膀胱外翻較正常人群結石發生率高160倍。
(六)感染
繼發於下尿路梗阻或膀胱異物的感染,尤其是尿素分解細菌的感染,可使尿pH值升高,促使尿磷酸鈣、銨和鎂鹽的沉澱而形成膀胱結石。文獻報導的膀胱結石均與感染有關。其蛋白成分以丙氨酸、天門冬氨酸、谷氨酸、亮氨酸、甘氨酸及纈氨酸含量較多。
(七)代謝性疾病
代謝性膀胱結石有胱氨酸、尿酸和黃嘌呤結石。
(八)婦科手術後合併膀胱結石
少於2%的膀胱結石發生於女性。婦科手術如子宮切除術後縫線殘留、膀胱懸吊物、Lippes Loop由子宮內穿至膀胱等,均可成為結石核心而形成膀胱結石。Nieder等報導子宮全切後陰道脫垂合併多發膀胱結石。
(九)寄生蟲
在埃及血吸蟲流行區可發生血吸蟲病伴發的膀胱結石,其核心為蟲卵。
(十)其他
陰莖假體的貯流器腐融而進入膀胱成為核心形成一大的有曲線的膀胱結石。
診斷
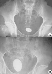
主要依據病史、體檢、B超、X線,有時亦可通過CT診斷,有時可通過膀胱鏡幫助診斷。B超下結石表現為強回聲後伴聲影,可隨體位移動。X線需做泌尿系平片,陰性結石可通過CT平掃診斷。
鑑別診斷
注意有時需與膀胱異物、前列腺增生症、尿道狹窄、尿道結石、小兒後尿道瓣膜鑑別。B超、泌尿系平片、CT平掃可幫助鑑別。
症狀
膀胱結石在膀胱結石多發地區往往於查問病史前,看到小兒排尿時器鬧,牽拉陰莖,即可考慮到膀胱結石的可能,診斷時必須嚴格檢查患兒尿道瓣膜、尿道口狹窄包皮口狹窄、以及排出此類現象引起的排尿困難。直腸指診觸到結石即能確診,成人可用探子經尿道口插入,如有觸到結石即可診斷。
膀胱鏡於成人檢查確診較重要,小兒由於不合作,檢查操作較困難,甚恐引起膀胱尿道損傷及穿孔。最常用的診斷是腹部X光單片,因大多數結石在X線下顯影。膀胱結石主要在膀胱中形,成但也有自上泌尿道降入膀胱內而逐漸增大。一旦確診膀胱結石應積極治療。
一般膀胱結石患者的臨床表現包括血尿、頻尿、夜尿、排尿痛、尿路感染、急性尿瀦留等。一般而言,膀胱結石的高危險群,在臨床上較常見的是發生在前列腺肥大的病人。但很多部分的前列腺肥大患者,身上有膀胱結石而不自知。另外,長期臥床如中風或脊髓損傷的病人,也極易有膀胱結石的情形。就全部的尿路結石而言,男與女的比例約為2∶1,但就膀胱結石而言,則絕大部分是發生在男性,男女比約9∶1,因為男性的尿道較長,又有前列腺的問題,容易造成膀胱出口堵塞而致尿流不順。在診斷上,一般醫院都必須配合X光檢查,並以膀胱鏡檢查來確定診斷。值得注意的是,並非x光片上的白點就一定是結石,其實這些白點,特別是在骨盆腔附近的白點,常常只是淋巴結或血管的鈣化,並無大礙。因此,要確定膀胱結石仍需經由膀胱鏡或至少超音波才可。
症狀
1、尿頻、尿急、尿痛:
結石刺激膀胱黏膜時,膀胱結石的症狀可有尿頻、尿急、尿痛,排尿終末時疼痛加劇,且可伴有終末血尿。患者常改變體位如臥位以求疼痛緩解。
2、疼痛:
膀胱結石的症狀中的疼痛可為下腹部和會陰區鈍痛,也可為明顯疼痛,常因活動而誘發或加劇。
3、血尿、膿尿:
此外,由於排尿時要用力,而使得腹壓增加,這樣可並發脫肛。常有終末血尿。並發感染時,膀胱的刺激症狀會加重,並會出現膿尿。若結石位於膀胱憩室內,僅表現為尿路感染。
4、排尿疼痛、排尿障礙和血尿:
白天活動時膀胱結石的症狀更為明顯,夜間睡眠時上述膀胱結石的症狀可減輕或消失。
5、排尿突然中斷:
疼痛放射至遠端尿道及陰莖頭部,並且伴有排尿困難和膀胱刺激症狀。
診斷
根據典型病史和症狀,較大或較多的結石常在排尿後,行雙合診可在直腸或陰道中觸及,用金屬探條經尿道在膀胱內可產生金屬磨擦及碰擊感,膀胱區攝X線平片多能顯示結石陰影,B超檢查可探及膀胱內結石聲影,膀胱鏡檢查可以確定有無結石、結石大小、形狀、數目,而且還能發現X線透光的陰性結石以及其它病變,如膀胱炎,前列腺增生、膀胱憩室等。診斷:
1、疼痛 疼痛向會陰部陰莖頭放射。患兒哭鬧,牽拉陰莖,按壓會陰部,轉動體位,以期緩解疼痛。
2、排尿中斷 由於結石在體內隨體位變動,排尿過程中移動位置,突然阻塞膀胱頸及後尿道,引起排尿中斷,加劇疼痛。
3、血尿 由於結石對膀胱黏膜的刺激和損傷引起血尿。常為數滴終末血尿。
4、膀胱刺激症狀 由於結石刺激故有尿頻、尿急。如繼發感染則症狀加重。
6、雙合診檢查 排空膀胱後,行直腸或陰道和恥骨上雙合診檢查可觸及結石。
7、金屬尿道探桿檢查 探桿可碰到結石並有碰撞聲音。
8、X線檢查 膀胱區平片能看到不透光的結石陰影。
9、膀胱鏡檢查 在膀胱鏡下能直接看到,結石大小和數目。還可以看到有無憩室、前列腺增生和其他病變。
10、超聲檢查可 以探到結石。改變體位時結石亦移動。並能明確結石的大小、數目和形狀。
臨床表現
膀胱結石的症狀主要是尿痛、排尿障礙和血尿,但也有少數病例,尤其是下尿路梗阻且有殘餘尿者,結石有時雖然較大但卻無症狀。
鑑別診斷
膀胱結石2.前列腺增生 前列腺增生有排尿困難,排尿疼痛,不同的是發生於老年人排尿困難的病史長逐漸加重開始尿線細而無力漸成滴瀝以致發生尿瀦留,不似膀胱結石那樣突然尿中段,排尿時劇痛。膀胱區平片沒有不透光的陰影,膀胱造影見膀胱頸部有負影向膀胱內突入,膀胱頸抬高,直腸指診可觸及增生的前列腺向直腸內突入,中間溝消失。
3.後尿道瓣膜常見於小兒,可有排尿困難,膀胱區平片無不透光陰影,但排尿期尿道造影,見瓣膜以上尿道擴張,增長。瓣膜以下尿道正常,尿道鏡檢查,可在後尿道看到瓣膜。呈活瓣樣隔膜,多位於前壁,膀胱鏡檢查,膀胱內無結石。
4.尿道結石尿道結石主要來源於上尿路,下行嵌頓於尿道,有排尿困難,排尿疼痛,排尿中斷和梗阻。
尿道結石常嵌頓於後尿道和舟狀窩,後者可以觸到用金屬探桿可以碰到結石,並有碰撞感。尿道前後位及斜位片,可以看到不透光陰影,呈圓形或卵圓形。一般如花生米大小。
易發人群
一、老人老年人患上此病通常是由前列腺增生症的併發症導致的。老年人作為膀胱結石的易發人群,在臨床上較常見的是發生前列腺肥大的病人。但有很多前列腺肥大患者,患上膀胱結石卻不自知。
另外,長期臥床如中風或脊髓損傷的病人,也極易有膀胱結石的情形。
二、兒童作為兒童類的泌尿系統常見疾病的膀胱結石,大多是在患者的膀胱內形成的,只有很少一部分是從上尿路移行而來的。
兒童是膀胱結石的易發人群,患兒的分布很有地區性,可能與患者的營養有密切的關係。不過隨著我國的經濟水平的不斷進步,發病率已經有減少的趨勢。
三、男性。就全部的尿路結石而言,男與女的比例約為2∶1、但就膀胱結石而言,則絕大部分是發生在男性,男女比約9∶1。
由於男性的尿道較長,又有前列腺的問題,輕易造成膀胱出口堵塞而致尿流不順。
檢查
1、膀胱區攝X線平片多能顯示結石陰影。
2、B超檢查可探及膀胱內結石聲影,膀胱鏡檢查可以確定有無結石、結石大小、形狀、數目,而且還能發現X線透光的陰性結石以及其它病變,如膀胱炎,前列腺增生、膀胱憩室等。
治療原則
膀胱結石的病因主要有兩方面,一是腎、輸尿管的結石進入膀胱,尤其是輸尿管下段的結石。在治療這類膀胱結石的同時也要治療腎、輸尿管的結石。二是原發於膀胱的結石,這類結石往往伴隨著下尿路梗阻的存在,在治療的同時要糾正這些梗阻病變。膀胱結石治療原則:
⑴取出結石;
⑵糾正形成結石的原因.
西醫治療
膀胱結石膀胱結石的成份主要有:草酸鈣,碳酸磷灰石,尿酸鹽,磷酸鎂銨,磷酸鈣,碳酸鈣,胱氨酸等。
膀胱結石的治療方法較多,但大體上兩類,一類為手術取石,一類為非手術碎石。其中手術取石即傳統的恥骨上膀胱切開取石術,另一類的非手術碎石則又可分為膀胱鏡機械碎石(大力鉗碎石)、液電效應碎石、超聲碎石、彈道氣壓碎石等。主要有以下四種方法
ESWL膀胱碎石方法 患者排空膀胱後,內注入生理鹽水100ml,膀胱內尿不能排淨者可保留部分尿液,取俯臥位,碎石後去除固定裝置。讓患者左右活動,觀察粉碎情況,碎石顆粒<0.5cm即可。術後3天,肌注速尿20mg,2次/天,增加飲水量,口服抗生素1周。
膀胱鏡大力碎石方法:骶麻成功後截石位,尿道注入石蠟油5ml,在24F大力膀胱碎石鉗直視下將結石夾碎,反覆操作,直至可以用沖洗器將碎石塊完全衝出為止。
膀胱鏡液電效應碎石方法 方法同大力鉗碎石,只是操作時保證電極距離膀胱鏡2cm以上,並保證電極距結石低於0.5cm,樣既可有效碎石,又可避免損壞膀胱鏡。
恥骨上膀胱切開取石術 於硬膜外麻醉成功後,逐層切開直至膀胱取淨結石後,合併嚴重感染,患者恥骨上膀胱造瘺。
中醫治療
膀胱結石病可因結石存在的部位不同,而有腎結石、輸尿管結石、膀胱結石和尿道結石之分,中國醫學中稱之為“石淋”或“砂淋”。對於泌尿繫結石病的形成和預防,飲食的調理和宜忌有著十分重要的積極意義。
常用中成藥:膀胱結石病屬中醫砂淋、血淋、石淋、腰痛、小便不利等範疇,可分以下3型辨證施治。下焦濕熱型:症見腰部或下腹部持續疼痛,伴有發熱、噁心嘔吐、尿頻、尿急、尿痛、大便不爽,或有血尿、膿尿、苔黃膩,脈滑數。治宜:清熱利濕,通淋排石。可服:排石沖劑、金錢草沖劑、分清五淋丸、滋腎丸等。
氣滯血瘀型:症見患者腰部或下腹部陣發絞痛,或有血尿,或僅見腰或少腹脹痛,尿澀滴瀝不盡,症狀時重時輕,舌質暗紅或有瘀點,苔薄白,脈弦澀。治宜:行氣活血,通淋排石。可服:尿塞通、少腹逐瘀丸、清淋沖劑等。
脾腎兩虛型:症見結石日久,腰痛,腿膝酸軟無力,精神倦怠,飲食欠佳,大便溏薄,排尿不暢,舌淡苔白,脈沉細無力。治宜:培補脾腎,通淋化石。可服:金匱腎氣丸、六君子丸、排石沖劑等。治宜健脾溫腎、壯陽化石、清利濕熱、化瘀排石。醫學多採用切開取石術,民間則多採用藥物化石法,不動手術化解.
並發疾病
影像圖膀胱炎有特異性和非特異性細菌感染。前者指膀胱結核而言。非特異性膀胱炎系大腸桿菌、副大腸桿菌、變形桿菌、綠膿桿菌、糞鏈球菌和金黃色葡萄球菌所致。其臨床表現有急性與慢性兩種。前者發病突然,排尿時有燒灼感,並在尿道區有疼痛。有時有尿急和嚴重的尿頻。很重要的一點是上述症狀既發生於晚間,又發生在白天,女性常見。終末血尿常見。時有肉眼血尿和血塊排出。患者感到體弱無力,有低熱,也可有高熱,以及恥骨上不適和腰背痛。
體格檢查有時恥骨上有不適,但無腰部壓痛。男性並發附睪炎或尿道炎。女性並發盆腔炎並易反覆發作。慢性膀胱炎的症狀與急性膀胱炎相似,但無高熱,症狀可持續數周或間歇性發作,使病者乏力、消瘦,出現腰腹部及膀胱會陰區不舒適或隱痛,有時會出現頭昏、眩暈等神經衰弱症狀。慢性膀胱炎在膀胱鏡觀察,可以看到膀胱頸及膀胱三角區有水腫性炎症,整個膀胱呈現片狀紅腫黏膜,易出血,嚴重者出現黏膜潰瘍,有時被滲出物所覆蓋。炎症細胞侵及黏膜及肌層,伴有纖維性變,使膀胱彈性和容量減少。
特點
膀胱結石典型的膀胱結石症狀是病人在排尿時尿流突然中斷和陰莖頭部劇痛。這是由於結石突然嵌頓在尿道內口引起膀胱括約肌的痙攣所致。這時,病人不能排尿,異常痛苦,尤其是兒童,用手拽拉陰莖,雙腳直跳,哭叫不止,大汗淋漓,有時可伴有直腸脫出。
當病人變換體位而使結石移動時,又可排尿而劇痛得以緩解。病人為避免排尿時發生劇烈疼痛,常呈特殊排尿體位,即站立排尿時雙膝前屈,軀幹部後仰約30度,排尿時小心翼翼,如有尿線變細或中斷,再適當變動體位使結石移動後再行排尿。
如果有膀胱結石的問題遲不做處理,長期下來,可能會影響膀胱及腎臟的功能。在治療上,醫師均會探尋發病的原因,給予適當的治療,而不是只治標的處理掉結石的問題;除非是長期臥床的患者,否則只要多喝開水(每日3公升、尿量維持在2到2.5升)、搭配適當的運動,即可減少結晶的沉澱,避免復發。
危害
1、引發膀胱黏膜:膀胱結石不僅會給患者帶來身體上的痛苦感,結石還會刺激膀胱黏膜引發炎症,膀胱黏膜會充血,尤其是發生感染時,充血症狀更加嚴重,且可出現大皰狀水腫、出血和潰瘍。
2、影響腎功能:膀胱結石容易造成膀胱增厚和肌層纖維組織增生,長期梗阻後可因反壓力作用,使上尿路發生梗阻性病變,導致腎功能受損。
3、誘發癌變:膀胱長期受到感染可導致膀胱周圍炎,使膀胱與盆腔組織發生黏連,甚至發生穿孔。結石長期慢性刺激,可使膀胱壁發生癌變。
4、出現腎積水:假如結石長期梗阻就可能使輸尿管和腎臟出現積水。
5、形成尿瘺:但是也有少數病人潰瘍嚴重,會穿破膀胱壁進人陰道、直腸或前腹壁,形成尿瘺。
6、下尿路梗阻:會有誘發膀胱壁出現小梁和憩室。
飲食注意
取石手術1.大量飲水對所有成分尿石都有防治作用。如能使每日飲水量在2000-4000毫升,這樣可維持每日尿量在2000毫升以上。磁化水對防治草酸鈣結石更有效,可將全日飲水量分別於晨起、餐間、睡前給予。清晨飲水量可達500-1000毫升。為了保持夜間尿量,睡前飲水500毫升,睡眠中起床排尿後再飲水300-500毫升,餘下水分別於餐間飲服。大量飲水可促使小的結石排出,稀釋尿液可防止尿石結晶形成,並能延緩結石增長速度。1985年國外學人Vehlensieck認為,多飲水和飲食療法可使2/3復髮結石病患不再生新結石。
2.應禁食高脂肪食物,在發病期間應忌食高膽固醇的食物如(豬、牛、雞之內臟)腦、肝、腎、魚卵、蛋黃等。同時應戒抽菸飲酒,少食吃肉食,避免吃過鹹及肥膩食物。
預防
一、必須消除下尿路梗塞和感染。如手術治療前列腺增主症和尿道狹窄,根治尿路感染,尤其是那些分解尿素的細菌,避免膀胱異物,減少結石發生。二、預防兒童膀胱結石的主要措施為:
1、提高產婦圍生期的營養,尤其是蛋白質的充足攝入,使產後有高質量的乳汁餵養嬰兒。
2、提倡母乳餵養,防止以糖類食品代替母乳。
3、嬰兒輔食應包括足夠的乳類食品,包括牛奶等。
三、怎樣有效預防
1、每年常規體檢1-2次,以便及時發現問題並作出正確處理。
2、防止膀胱結石的發生要多補充纖維素,加食米糠,可以防止結石發生。
3、多活動不愛活動的人容易使鈣質淤積在血液中,運動可以幫助鈣質流向它所屬的骨頭。防止膀胱結石的發生要注意不要整天坐等結石的形成,應該到戶外走走或做運動。
4、多喝水不論你的結石屬於哪一類,最重要的如何防止膀胱結石的發生的方法是提高水分的攝取量。水能稀釋尿液,並防止高濃度的鹽類及礦物質聚積成結石。合適的飲水量是達到一天排2升的尿液,就算足夠。

