緻密斑
解剖或組織學
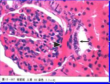
箭頭所指為緻密斑遠曲小管在靠近血管極一側,上皮由原來單層立方上皮變為單層柱狀,且排列緊密,形成的橢圓形斑。胞質色淡,胞核橢圓形且深染,多位於細胞頂部。一般認為緻密斑是化學感受器,可感受遠曲小管濾液內Na+濃度的變化。
補充:其部位所在也可以說是在進球小動脈和出球小動脈間,也有說法為在遠直小管末端。其實,緻密斑位置在遠直小管末端,即遠曲小管起始部分,不論說其位置在遠直小管末端還是在遠曲小管都應該是正確的。
生理作用
緻密斑是一種化學感受器,其主要感受遠曲小管Na離子濃度,其可以影響和調節機體內腎素的分泌(腎素是一種內分泌激素,屬於腎素—血管緊張素—醛固酮系統)。當動脈血壓下降,循環血量減少時,進球小動脈壓力下降,血流量減少,腎濾過率減少,濾過的Na離子也因此減少,以至於到達緻密斑的Na離子也減少,於是激活緻密斑感受器,使腎素釋放。

