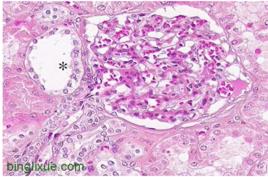
星號標記的是腎臟緻密斑。濃度降低時,促使進球動脈擴張同時近球細胞分泌腎素增加。腎素使血管緊張素Ⅰ生成增多,進而形成血管緊張素Ⅱ,不但使出球動脈收縮,還可以促使腎上腺皮質球狀帶分泌醛固酮,從而增加血容量和動脈血壓。這種反饋有助於腎小球濾過率的調控。
The asterisk marks the macula densa in the kidney. The macula densa is a specialized region of epithelial cells lining a portion of a distal convoluted tubule that lies between the afferent and efferent arterioles at the vascular pole of a glomerulus. The macula densa cells are in close approximation to the juxtaglomerular cells (modified smooth muscle cells) in the media of the afferent arteriole. The macula densa cells monitor sodium concentration, and when that concentration falls, they signal the afferent arteriole to dilate and the juxtaglomerular cells to secrete renin. Renin increases formation of angiotensin I, which is converted to angiotensin II, which constricts the efferent arterioles. Angiotensin II also stimulates aldosterone secretion by the adrenal cortex, which increases blood volume and arterial pressure. This feedback loop helps to control the glomerular filtration rate.

