簡介
腎病綜合徵(簡稱腎病)是由於腎小球基底膜通透性增高,導致血漿大量蛋白從尿中丟失而引起的一種臨床綜合徵。主要特徵是;大量蛋白尿、低蛋白血症、嚴重水腫和高膽固醇血症。
泌尿系統解剖圖腎病綜合徵是以大量蛋白尿、高脂血症、低蛋白血症以及全身不同程度的水腫為特點的臨床綜合徵。克里斯琴於1932年首先套用腎病綜合徵(nephroticsyn—drome)這一名詞,來概括因多種腎臟病理損害所致的嚴重蛋白尿及其相應的一組臨床表現,因表現與腎病很相似,故名腎病綜合徵。臨床特點:三高一低,即大量蛋白尿(≥3.5g/d)、水腫、高脂血症,血漿蛋白低(≤30g/L)。病情嚴重者會有漿膜腔積液、無尿表現。
腎病綜合徵發生於任何年齡,但在兒童中更流行,1歲半至4歲最常見。年輕男性好發,但在年齡較大病人中,性別分布較平均。
雖然腎病綜合徵作為一組臨床症候群具有共同的病理變化、臨床表現及代謝改變,甚至治療方面亦有共同的規律,但是,由於這是由多種病因、病理和臨床疾病所引起的一組綜合徵,所以在發病機理及治療等方面又各有其特點。腎病綜合徵和發燒、頭痛等名詞一樣,不應被用作疾病的最後診斷。
病因分類
引起腎病綜合徵的原因很多,概括起來可分為原發性和繼發性兩大類,其中以原發性腎小球疾病為主。在繼發性腎病綜合徵中,系統性紅斑狼瘡、糖尿病腎病、腎澱粉樣變、過敏性紫癜為多見。
原發性腎病綜合症
為原發性腎小球疾病所致,成人約2/3和大部分兒童的腎病綜合徵為原發性,
1、微小病變性腎病:多見於兒童及青少年。起病隱匿,肉眼血尿。
2、膜性腎病:一般發病於35歲以後,起病隱匿,病變發展緩慢,易發生腎靜脈血栓,肉眼血尿罕見。
3、膜增生性腎病:多發病於30歲以前,起病急,幾乎所有的患者都有鏡下血尿,腎功能呈進行性減退,約1/3患者伴有高血壓。
4、系膜增生性腎病:好發於青少年,隱匿起病,也可急性發作,多伴有血尿,以鏡下血尿為主,及輕、中度高血壓。
5、局灶性節段性腎小球硬化:多見於青少年,多數患者幾乎都是隱匿發病,表現最多的是腎病綜合徵,其次是鏡下血尿,腎功能進行性減退。
繼發性腎病綜合症
膜性腎病繼發性腎病綜合徵的原因很多,一般於小兒應著重除外遺傳性、感染性疾病及過敏性紫癜等引起的繼發性腎病綜合徵,中青年則應著重除外結締組織病、感染、藥物引起的繼發性腎病綜合徵;老年則應著重考慮代謝性疾病及新生物有關的腎病綜合徵。
病因有如下幾類:
1、系統性疾病:如系統性紅斑狼瘡、混合性結締組織疾病、乾燥綜合徵、類風濕性關節炎、多動脈炎。
2、代謝性疾病:糖尿病、腎澱粉樣變、多發性骨髓瘤、粘液水腫。
3、過敏性疾病:過敏性紫癜、藥物過敏、毒蛇咬傷、花粉和其它過敏原致敏。
5、腎毒性物質:如汞、鉍、金、三甲雙酮。
7、遺傳性疾病:家族遺傳性腎炎、先天性腎病綜合徵。
8、其它:妊娠毒血症、腎移植的慢性排斥、原發性惡性腎硬化、腎動脈狹窄等。
病理特徵
腎病綜合徵有4個主要特徵,即大量蛋白尿、低蛋白血症、高脂血症和全身顯著水腫。
大量蛋白尿
腎小體大量蛋白尿是腎病綜合徵的標誌。“大量”蛋白尿是一個人為的界線,歷史上各國、各醫院有不同的界線,中國的定義為≥3.5g/d。國外大部分定為≥3.0g(或3.5g)/d。
尿蛋白的主要成分是白蛋白,也含有其他血漿蛋白成分。腎小球基底膜通透性變化是蛋白尿產生的基本原因,電荷屏障和機械屏障(腎小球毛細血管孔徑屏障)的變化,腎小管上皮細胞的重吸收和分解代謝能力對蛋白尿的形成也有影響。腎小球濾過率、血漿蛋白濃度和蛋白攝入量等直接影響蛋白尿的程度。腎小球濾過率降低時,蛋白尿會減少;嚴重低蛋白血症時,尿蛋白排出量可增加,高蛋白飲食會使尿蛋白排出增加。因此,僅以每天蛋白定量的方法,不能準確判斷尿蛋白的程度,可進一步做白蛋白清除率、尿蛋白/肌酐。尿蛋白電泳檢出尿中IgG成分增多提示尿蛋白選擇性低。尿蛋白選擇性無肯定的臨床價值,現已少用。
低蛋白血症
是腎病綜合徵必備的第二特徵。血清白蛋白低於30g/L。
腎病綜合徵時肝臟對白蛋白的合成增加,當飲食中給予足夠的蛋白質及熱量時,患者的肝臟每天合成白蛋白約22.6g,比正常人每天15.6g顯著增多。當肝臟合成白蛋白的代償作用不足以彌補尿蛋白的丟失量時,才會出現低蛋白血症。低蛋白血症和尿蛋白排出量之間是不全一致的。腎病綜合徵患者通常呈負氮平衡,在高蛋白負荷時,可轉為正氮平衡,高蛋白負荷可能因腎小球濾過蛋白增加而使尿蛋白排出增多,故血漿蛋白升高不明顯,但同時服用血緊張素轉換酶抑制藥,可阻抑尿蛋白的排泄,血白蛋白濃度可明顯上升。
值得注意的是,低蛋白血症時,藥物與白蛋白的結合會有所減少,血中游離藥物濃度升高,可能會增加藥物的毒性反應。
腎病綜合徵時多種血漿蛋白成分可發生變化,α2及β球蛋白增加,α1球蛋白多正常。IgG水平明顯下降,而IgA、IgM、IgE水平多正常或升高,纖維蛋白原、凝血因子Ⅴ、Ⅶ、Ⅷ、Ⅹ可升高,可能與肝臟合成升高有關,伴血小板數目增加,抗凝血酶Ⅲ(肝素有關因子)降低,C蛋白和S蛋白濃度多正常或增高,但活性下降。這均會有助於發生高凝狀態。尿中纖維蛋白降解產物(FDP)的增加,反映了腎小球通透性的變化。總之,血中凝聚及凝集的各種前因子均增加,而抗凝聚及纖溶作用的機制受損。由於高膽固醇血症和高纖維蛋白原血症的聯合影響,血漿黏滯度增加,當血管內皮受損時,易產生自發性血栓形成。
另外,轉運蛋白也減少,如攜帶重要金屬離子(銅、鐵、鋅)的蛋白下降,與重要激素(甲狀腺素、皮質素、前列腺素)及有活性的25-(OH)D3結合的蛋白也下降,後者可導致繼發性甲狀旁腺功能亢進,鈣磷代謝紊亂,引發腎性骨病。持續的轉鐵蛋白減少,使糖皮質激素在受治病人體內游離和結合的激素比率改變,導致該藥代謝和療效發生改變。
高脂血症
本病總膽固醇、三醯甘油明顯增加,低密度脂蛋白(LDH)、極低密度脂蛋白(VLDH)水平升高。高脂血症與低白蛋白血症有關,LDL/HLDL僅於血清白蛋白低於10~20g/L時才升高。高密度脂蛋白(HDL)正常或下降。LDL/HDL比率升高,使發生動脈硬化性合併症的危險增大,高脂血症與血栓形成及進行性腎小球硬化有關。
患者可呈脂質尿,尿中出現雙摺光的脂肪體,可能為內含膽固醇的上皮細胞或脂肪體管型。
水腫
患者最引人注意的症狀是逐漸加重的全身水腫,初始晨起眼瞼、面部、踝部可見水腫;隨著病情發展水腫波及全身,並出現胸腔積液、腹水、心包積液、縱隔積液、陰囊或陰唇水腫,也可出現肺水腫。嚴重者雙眼不能睜開,頭頸部變粗,皮膚可呈蠟樣蒼白,加之胸、腹水的存在,故出現明顯呼吸困難,不能平臥只能端坐位。若有皮膚損傷,則組織內液溢出且不易停止。水腫與體位關係明顯,如出現與體位無關的水腫,應疑及靜脈血栓形成。水腫的嚴重程度一般與低白蛋白血症的程度呈正相關。
一般認為水腫主要是由大量蛋白尿引起血漿蛋白(尤其白蛋白)下降,血漿膠體滲透壓減低,血管內水分向組織間隙移動所致。另有認為本徵的水腫與原發性腎性鈉水瀦留有關,可能的因素是:
1、腎小球濾過率下降;
2、腎小管重吸收增加;
3、遠端小管對血漿心房肽(ANP)反應能力下降。
腎病綜合徵的中醫辨證
腎病綜合徵的中醫辨證可分為六型,表現為虛象的,常見有氣虛型、陽虛型、陰虛型,表現為實象的,常見有:風水型、濕熱型、瘀阻型。各種類型在治療過程中可以互相轉化或兼見,現分述如下:(1)氣虛型:病位主要在腎,表現為腰酸乏力,無明顯水腫,或僅有輕度水腫,形體睏倦,甚則疲於行立,不耐久坐,尿中有蛋白或有不同程度之紅細胞,舌淡紅、苔薄,脈沉弱。
(2)陽虛型:病位主要在脾腎,表現為面色皖白,形寒肢冷,遍體悉腫,按之沒指,甚則可伴胸腹水,乃至胸悶氣急,小溲短少,大便溏薄,尿檢有蛋白,舌淡且胖,苔薄或膩,脈沉細。
(3)陰虛型:病位主要在肝腎,可見浮腫不甚,但口乾,咽喉乾痛,頭昏目眩,性情急躁,尿赤,尿中有不同程度之蛋白及紅細胞,腰酸、盜汗、煩熱,舌紅,脈細弦數。在套用大劑量激素治療或過度利尿後常見此證型。
(4)風水型:夾有風邪外襲所致,尤以風熱多於風寒,亦有始為風寒,而後化熱者。此型往往先見眼瞼及顏面浮腫,然後迅速波及全身,肢節酸重,小便不利,若查尿可見蛋白或伴有不同程度的紅細胞等。並具發熱、惡風、頭痛、咽痛、咳嗽、鼻塞等兼證。
(5)濕熱型:因濕熱之邪侵襲所致,起病多急,遍身浮腫,皮色潤澤光亮,胸腹痞悶,煩熱口渴,大便乾結,小便短赤,或皮膚有瘡瘍癤腫,尿檢有大量蛋白及紅細胞等,舌紅苔黃或膩,脈滑數。此型多見於套用皮質激素後腎病未愈而繼發感染及柯興氏症時。
(6)瘀阻型:多由水腫日久,由氣及血而致。臨床可見面浮肢腫,皮膚甲錯,或現瘀點瘀斑,或腰痛尿赤,尿檢有蛋白及多形性紅細胞,舌淡或紅,舌邊有瘀點,舌下筋系瘀紫,苔薄黃或膩,脈澀或結代。亦有僅表現為水腫遷延,久治不愈,缺乏其他明顯的瘀血外征者。
臨床表現
腎病綜合徵 水腫1、水腫:不同程度的水腫,常為腎病綜合徵的首發症狀,常隱襲發生,嚴重者常有漿膜腔積液。
2、尿少:常常小於400ml/天,甚至無尿。
3、起病前常有上呼吸道感染,皮膚感染等感染史。
4、常有疲倦、厭食、蒼白、精神萎靡等症狀。
5、血壓多數正常,非腎病綜合症的重要臨床表現。但有水、鈉瀦溜、血容量增多,可出現一時性高血壓,而Ⅱ型原發性腎病綜合徵可伴有高血壓。
併發症
1、感染:上呼吸道感染、皮膚感染、腹膜炎等。
2、電解質紊亂:低鈉、低鉀、低鈣血症。
3、血栓形成:動、靜脈血栓以腎靜脈血栓常見,臨床有腰腹部劇痛、血尿等。
4、急性腎功能衰竭。
5、蛋白質及脂肪代謝紊亂。
檢查
實驗室檢查
腎小球1、尿常規
單純性腎病,尿蛋白定性多為陽性;24h定量超過0.1g/kg,偶有短暫性少量紅細胞。腎炎性腎病除出現不同程度的蛋白尿外,還可見鏡下或肉眼血尿。
2、血生化測定
表現為低蛋白血症(血清白蛋白<30g/L,嬰兒<25g/L),白蛋白與球蛋白比例倒置,血清蛋白電泳顯示球蛋白增高;血膽固醇顯著增高(兒童>5.7mmol/L,嬰兒>5.1mmol/L)。
3、腎功能測定
少尿期可有暫時性輕度氮質血症,單純性腎病腎功能多正常。如果存在不同程度的腎功能不全,出現血肌酐和尿素氮的升高,則提示腎炎性腎病。
4、血清補體測定
有助於區別單純性腎病與腎炎性腎病,前者血清補體正常,後者則常有不同程度的低補體血症、C3持續降低。
5、血清及尿蛋白電泳
通過檢測尿中IgG成分反映尿蛋白的選擇性,同時可鑑別假性大量蛋白尿和輕鏈蛋白尿,如果尿中γ球蛋白與白蛋白的比值小於0.1,則為選擇性蛋白尿(提示為單純型腎病),大於0.5為非選擇性蛋白尿,提示為腎炎型腎病。
6、血清免疫學檢查
檢測抗核抗體、抗雙鏈DNA抗體、抗Sm抗體、抗rnp抗體、抗組蛋白抗體,B肝病毒標誌物以及類風濕因子、循環免疫複合物等,以區別原發性與繼發性腎病綜合徵。
7、凝血、纖溶有關蛋白的檢測
如血纖維蛋白原及第Ⅴ、Ⅶ、Ⅷ及Ⅹ因子,抗凝血酶Ⅲ,尿纖維蛋白降解產物(FDP)等的檢測可反映機體的凝血狀態,為是否採取抗凝治療提供依據。
8、尿酶測定
測定尿溶菌酶、N-乙醯-β-氨基葡萄糖苷酶(NAG)等有助於判斷是否同時存在腎小管-間質損害。
其他檢查
1、B超等影像學檢查,排除腎臟的先天性畸形。
2、經皮腎穿刺活體組織檢查對診斷為腎炎型腎病或糖皮質激素治療效果不好的患者應及時行腎穿刺活檢,進一步明確病理類型,以指導治療方案的制訂。
發病原因
1.免疫反應:循環免疫複合物沉積;原位免疫複合物形成。
2.炎症反應:單核巨噬細胞中性粒細胞,嗜酸性粒細胞,血小板,炎症介質等侵犯腎臟。最終導致腎小球濾過膜分子屏障和電荷屏障受損,腎小球濾過膜對血漿蛋白(以白蛋白為主)的通透性增加,致尿中蛋白含量增多,當超過遠曲小管回吸收量時,形成大量蛋白尿。
診斷
診斷可由臨床表現和實驗室發現提示,腎活檢證實。嚴重蛋白尿對於診斷必需。腎病範圍和非腎病範圍蛋白尿的區分是人為的。然而,疾病主要影響球外血管系統或小管間質時常常不產生很嚴重蛋白尿。
腎衰在腎病綜合徵中是少見的表現,但在長期疾病後可發生。然而,因繼發原因導致腎病綜合徵的病人在起病時或不久以後經常出現腎功能不全。腎炎病人表現重度蛋白尿常常提示疾病進展,因此為預後不良徵象。
病人應篩除常見潛在的系統性疾病(如糖尿病,澱粉樣變性,多發性骨髓瘤,SLE)。在體重下降和老人中,應考慮惡性疾病和藥物相關性的原因。
鑑別診斷
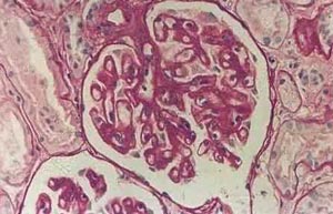
膜性腎病病理 1、過敏性紫癜腎炎:好發於青少年,有典型的皮膚紫癜,可伴有關節痛、腹痛及黑便,多在皮疹出現後1-4周左右出現血尿和(或)蛋白尿,典型皮疹有助於鑑別。
2、系統性紅斑狼瘡:好發於青少年和中年女性,以多系統受損的臨床表現和免疫學檢查可見出多種抗體,一般不難鑑別。
3、B型肝炎病毒相關性腎炎:好發於兒童及青少年,以蛋白尿或NS為主要臨床表現,國內依據以下三點進行診斷:①血清HBV抗原陽性;②患腎小球腎炎,並可除外紅斑狼瘡等繼發性腎小球腎炎;③腎活檢切片中找到HBV抗原。
4、糖尿病腎病:好發於中老年,常見於病程5年以上的糖尿病患者,早期可發現尿微量白蛋白排除增加,以後逐漸發展成大量蛋白尿、腎病綜合徵。糖尿病病史及特徵性眼底改變有助於鑑別診斷。
5、腎澱粉樣變性:好發於中老年,腎澱粉樣變性是全身多器官受累的一部分。原發性澱粉樣變性主要累及心、腎、消化道(包括舌)、皮膚和神經;繼發性澱粉樣變性常繼發於慢性化膿性感染、結核、惡性腫瘤等疾病,主要累及腎、肝和脾等器官。腎受累時體積增大,常呈NS。腎澱粉樣變性常需腎活檢確診。
6、骨髓瘤性腎病:好發於中老年,男性多見,患者可有多發性骨髓瘤的特徵性臨床表現,如骨痛、血清單株免疫球蛋白增高、蛋白電泳有M蛋白及尿本周蛋白陽性,骨髓象顯示漿細胞異常增生。累及腎小球時可出現NS。
治療
治療針對原有的致病過程,並取決於腎活檢。
1、支持治療
包括每日約1g/kg的高質量生物蛋白質,飽和脂肪和膽固醇低但纖維含量高的飲食。蛋白補充僅在病人營養不良時才必需,而蛋白僅在血清肌酐升高和過量蛋白攝入加重蛋白尿時才需限制。
2、控制高脂血症及高膽固醇血症
他汀類降脂藥物(如普伐他汀,洛伐他汀,辛伐他汀,阿托伐他汀)可能需要以控制高膽固醇血症。這些病人橫紋肌溶解發生率較高,應監測肌酐磷酸激酶。ACE抑制劑通常可降低蛋白尿和高脂血症,但在中度至重度腎功能不全的病人中可能加重高鉀血症。應行分階段運動。
3、調節電解質
鉀攝入應每日約1mmol/kg。如果低鈉血症存在,液體攝入需限制。如大量利尿出現和水腫消退,鈉攝入限制可放鬆。如果腹水存在,反覆少量進餐可能有幫助。為了控制症狀性水腫,推薦限鈉(<100mmol/L)。噻嗪類或袢利尿劑可以使用但可能損及腎功能,並易導致血栓形成。如果低血容量很嚴重且危及生命,輸入血漿和白蛋白是恰當的。
4、高血壓對應治療,常用ACE抑制劑和利尿劑或偶爾用其他藥物。常出現血栓形成,應仔細查找(特別是深靜脈血栓形成和肺栓子)。如血清白蛋白<2.5g/dl或血栓-栓塞存在,預防性使用抗凝劑可能有用。
5、感染(特別是菌尿,心內膜炎和腹膜炎)危及生命,應仔細查找並迅速治療。去除感染性抗原(如葡萄球菌和鏈球菌性心內膜炎,人工血管腎炎,瘧疾,梅毒,血吸蟲)可能治癒腎病綜合徵。使用脫敏療法可逆轉過敏性腎病導致的腎病綜合徵(如橡樹或常春藤毒素,昆蟲抗原)。去除腎毒性物質(如金黴素、青黴胺,非類固醇抗炎藥)可引發緩解。
一般措施
1.適當休息,避免劇烈運動。但病情穩定時,適當的鍛鍊是必要的。
2.增加抗病能力,避免受涼,減少感染的機會,一旦出現各種感染,應及時套用強有力的抗生素以及早控制感染。對反覆肉眼血尿發作者,可以消除慢性感染灶如做扁桃體切除;採取家庭調查形式,建立家族史檔案;注意個人衛生。
飲食調護
飲食以清淡為主,宜多吃水果、蔬菜及優質高蛋白食物,禁辛辣、肥甘厚味,以及霉製品、醃製食品,忌酒。可使用下列食療方選擇食之。
1.白茅根湯取新鮮白茅根100g,鮮路邊荊50g,鮮瘦肉50g,水1000ml,文火堡湯4-6小時,飯後食之,每日分2次服。本食療方清熱解毒,涼血止血,適用於單純鏡下血尿或肉眼血尿反覆發作者。
2.蟲草烏雞湯冬蟲夏草10g,烏雞1隻,鵪鶉蛋10個,燉食之,每周1-2次。本方益氣補腎、扶正固本,久服可強身健體,增強抗病能力,減少感染的機會,減少IgA腎病症狀和血尿發作的次數。
預後
預後取決於病因。如腎病綜合徵是由於可以治療的疾病,那么完全緩解可發生,其發生在約50%兒童期病例但在成人中少見。對皮質類固醇激素有效的疾病中預後一般較好。一些導致腎病綜合徵的疾病甚至能在5年後自發緩解。
所有病例,預後可因感染、高血壓、明顯氮質血症,血尿或腦、肺、外周或腎靜脈血栓形成而變壞。在FSGS,SLE,IgA腎病行腎移植的病人中復發率較高,特別在Ⅱ型MPGN,但很少在Ⅰ型NPGN。復發亦發生在MGN和系膜增生性腎小球腎炎的一些移植病人中。
護理
1、提供舒適的環境,讓病人安靜休息,每日通風2次,每次15~30分,室內每周紫外線消毒一次。
2、防止感染,防感冒,注意口腔、飲食衛生。
3、穿寬鬆全棉內衣,舒適鬆口軟布鞋,做好皮膚清潔護理。
4、避免損傷。
5、按醫囑正確使用擴容劑、抗凝劑、利尿劑、白蛋白等,觀察療效及副作用。
6、靜脈補液時應控制輸液速度和劑量。儘量避免肌肉或皮下注射。
7、定期監測血電解質、血清蛋白的情況,準確記錄24小時出入量,監測體重。
8、給予高熱量、高蛋白、高維生素飲食,限制水、鈉(小於3g/日)、鉀的攝入量(尿少時應限制鉀的攝入量)。
9、嚴重水腫、體腔積液應臥床休息,水腫消失、一般情況好轉可起床活動。
10、密切觀察體溫、脈博、血壓變化,有噁心、頭暈、腰痛、肢體麻木、疼痛、少尿或無尿等病情變化,及時通知醫生處理。
預防
1、保持居室空氣新鮮,不到人群密集的場所;
2、保持皮膚清潔,預防皮膚損傷;
3、預防感染,有感染及時診治;
4、進易消化、清淡飲食;
5、注意身心勞逸結合,增強機體免疫力,注意鍛鍊身體;
認識腎病綜合徵
腎病綜合症在中醫學中多屬“水腫”、“虛癆”、“腰痛”等範疇。認為水腫、蛋白尿等症為水精輸布失調之故,而肺、脾、腎是水精輸布過程中的主要臟器,其標在肺,其制在脾,其本在腎。肺主氣,為水之上源,故有通調水道,散布精微的功能,如外邪侵襲,風水相搏,肺氣壅滯,失去宣肅功能,則可導致水腫;脾為生化之源,主運化水谷,轉輸精微,上歸於肺,利水生合,若脾不健運,水谷不歸正化,水濕內停,泛濫肌膚;腎為水髒,司開合主二便,如腎氣不足,則開合不利,水液代謝障礙,便可出現小便異常和水腫。若脾氣下陷,腎氣不周,升運封藏失職,則水谷精微隨尿外泄。水腫消退後,尚可見脾腎陽虛,陰陽兩虛,陰虛陽亢等證。若水病及血,久病入絡,則又可見瘀血阻滯之證。
腎病綜合徵的中成藥治療
1.杞菊地黃口服液:具有滋腎養肝的功效。適用於腎陰不足,陰虛陽亢者。6歲以下每次5ml,6歲以上每次10ml,1日2次。
2.補腎丸:具有鎖陽固精,滋陰補腎的功效。適用於腎陰不足,陰虛陽亢者。6歲以下每次1/2丸,6歲以上每次1丸,1日2次,空腹鹽水送服。
3.左歸丸:具有滋腎補陰的功效。適用於本病屬真陰不足者。3~6歲每服3g,6~9歲每服6g,9~12歲每服9g,1日2次。
4.右歸丸:具有溫補腎陽的功效。適用於本病屬腎陽不足者。3~6歲每服1/2丸,6~9歲每服1丸,9~12歲每服1~2丸。1日2次。
5.龜鹿二膠丸:具有溫補腎陽的功效,適用於腎病綜合徵屬腎陽不足者。3~6歲每服3g,6~9歲每服6g,9~12歲每服9g,1日2次。
6.雷公藤總甙片:具有解毒化瘀的功效。適用於腎病綜合徵各型。每日1~1.6mg/kg,分2~3次口服。
腎病綜合徵時脂質代謝異常的發生機理:
①肝臟合成Ch、TG及脂蛋白增加。②脂質調節酶活性改變及LDL受體活性或數目改變導致脂質的清除障礙。
腎病綜合徵時脂代謝異常的特點為血漿中幾乎各種脂蛋白成分均增加,血漿總膽固醇(Ch)和低密度脂蛋白膽固醇(LDL-Ch)明顯升高,甘油三酯(TG)和極低密度脂蛋白膽固醇(VLDL-Ch)升高。高密度脂蛋白膽固醇(HDL-Ch)濃度可以升高,正常或降低;HDL亞型的分布異常,即HDL3增加而HDL2減少,表明HDL3的成熟障礙。在疾病過程中各脂質成分的增加出現在不同的時間,一般以Ch升高出現最早,其次才為磷脂及TG。除數量改變外,脂質的質量也發生改變,各種脂蛋白中膽固醇/磷脂及膽固醇/甘油三酯的比例均升高。載脂蛋白也常有異常,如ApoB明顯升高,ApoC和ApoE輕度升高。脂質異常的持續時間及嚴重程度與病程及復發頻率明顯相關,長期的高脂血症可在腎病綜合徵進入恢復期後持續存在。
腎病綜合徵時脂質代謝異常的發生機理:①肝臟合成Ch、TG及脂蛋白增加。②脂質調節酶活性改變及LDL受體活性或數目改變導致脂質的清除障礙。③尿中丟失HDL增加。在腎病綜合徵時,HDL的ApoA-Ⅰ可以有50%~100%從尿中丟失,而且患者血漿HDL3增加而HDL2減少,說明HDL3在轉變為較大的HDL2顆粒之前即在尿中丟失。
腎病綜合徵患者的高脂血症對心血管疾病發生率的影響,主要取決於高脂血症出現時間的長短、LDL/HDL的比例、高血壓史及吸菸等因素的影響。長期的高脂血症,尤其是LDL上升而HDL下降,可加速冠狀動脈粥樣硬化的發生,增加患者發生急性心肌梗塞的危險性。近年來,高脂血症對腎臟的影響已引起了不少學者的重視。脂質引起腎小球硬化的作用已在內源性高脂血症等的研究中得到證實。脂代謝紊亂所致腎小球損傷的發生機理及影響因素較為複雜,可能與下述因素有關:腎小球內脂蛋白沉積、腎小管間質脂蛋白沉積、LDL氧化、單核細胞浸潤、脂蛋白導致的細胞毒性致內皮細胞損傷、脂類介質的作用和脂質增加基質合成。
原發性腎病綜合徵的病理類型:
微小病變(MCD)
好發於少年兒童,尤其2-6歲幼兒,但老年又有一發病高峰。患者男多於女。本病起病快,迅速出現大量蛋白尿,而後近乎100%病例呈現腎病綜合徵。鏡下血尿發生率低(15%-20%),無肉眼血尿,也無持續性高血壓及腎功能損害(嚴重水腫時可有一過性高血壓及氮質血症,利尿後即消退)。
系膜增生性腎炎(MsPGN)
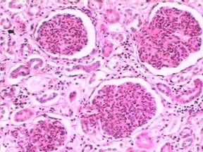
好發於青少年,男多於女。有前驅感染者(占50%)發病較急,可呈急性腎炎綜合徵(約占20%-30%),否則常隱襲起病。腎病綜合徵發生率非IgA腎病高於IgA腎病(前者約30%,後者約15%),而血尿發生率IgA腎病高於非IgA腎病(前者近乎100%,後者約70%;肉眼血尿發生率前者約60%,後者約30%)。腎功能不全及高血壓則隨腎臟病變由輕而重逐漸增多。此型腎炎在我國發病極高,約占原發性腎小球疾病的一半,其中IgA腎病及非IgA腎病又各約1/2,我國原發性腎病綜合徵中約1/3病例系由該型腎炎引起。
系膜毛細血管性腎炎(MCGN)
又稱膜增生性腎炎。好發於青壯年,男多於女。有前驅感染者(約占60%-70%)發病較急,可呈急性腎炎綜合徵(約占20%-30%),否則亦隱襲起病。常呈腎病綜合徵(約占60%),伴有明顯血尿(幾乎100%有血尿,肉眼血尿20%),疾病常持續進展,腎功能不全、高血壓及貧血出現早。約50%-70%血清補體C3持續下降,對本病診斷有提示意義。
注意事項
一、起居有時慎照陽光夏季天氣炎熱,陽光照射時間長。腎病綜合症患者,必須順應天氣的變化規律,養成良好的起居習慣。中午1點左右最好安排半個小時左右的午休時間,這樣可以保證體力,以利康復。陽光中有一些有害的射線如r射線,極易侵害人體造成皮膚炎症,腎病綜合症患者本身免疫功能低下,故應慎照日光,以免因皮膚炎症加重病情。
二、飲食有節不可貪涼夏季瓜果蔬菜品種多,色香味逗人食慾,但腎病綜合症患者仍應嚴格執行飲食規則,切不可多食,以免增加腎臟負擔。如西瓜雖然可利尿消腫、清熱消暑,但多食則尿過頻亦增加腎臟負擔,再者西瓜糖分在體內的累計也是疾病潛在的危機。一些患腎病綜合症的兒童,喜以冰淇淋或冰鎮飲食解渴。若偶爾為之,多次少量也並非禁忌,若一味地貪涼則對病情無益。因涼冷可以損傷胃腸功能,以致脾胃失於健運,對病情無益。若因貪涼發生急性腸炎則每使病情反覆或加重。故腎病綜合症患者夏季慎用涼冷飲品。
三、適當運動講究衛生適當的體育運動對疾病的恢復有益。如散步、打太極拳、練氣功等。但應注意鍛鍊的時間,以早晨及傍晚為宜,切不可在中午或陽光強烈時鍛鍊。游泳雖是夏季運動的好項目,但由於游泳需要消耗大量的體力,以及游泳場地的衛生得不到保證,建議腎病綜合症患者不要游泳。對於腎病綜合症患者夏季的衛生應包括兩方面內容:一是飲食衛生,不可吃酸腐、酶爛或過夜不潔的食物,以免發生胃腸疾病,影響康復。再者是個人衛生,衣物要勤洗勤換,以寬鬆、棉軟為宜,要常洗澡,清潔皮膚以免痱、癤感染使疾病復發或加重。要注意滅蚊、蠅及其他夏季昆蟲,防其叮咬使皮膚感染。
四、注意居室環境重視睡眠衛生夏季,腎病綜合症患者的居室宜布置得寬敞、明亮、通風、通氣,要保持一定的溫度。空調不宜調得太低,以低於室外氣溫5c~6°c左右為宜,否則極易因冷熱的急驟變化而發生感冒。臥具要清潔、乾燥,臥室要光線柔和,通風透氣。由於入睡後基礎代謝減弱,人的自衛功能較差,極易受涼感冒,故腎病綜合症患者夏季睡眠時千萬要注意蓋住腹部,以衛護胃陽,預防感冒。
五、調暢情志節慾保精情志不舒往往是病情反覆、血壓波動的重要原因。腎病綜合症病程長,患者一定要有戰勝疾病的信心,巧妙地調節情志,如花鳥自娛,書法、閱讀、弈棋等均可愉悅心情,促進健康。
六、注意藥物的使用:嚴重水腫者應儘量避免肌內注射藥物因嚴重水腫常致藥物滯留、吸收不良或注射後針孔藥液外滲,導致局部潮濕、糜爛或感染。必須肌內注射時,注意嚴格消毒,注射後按壓時間稍長些,以防藥液外滲。
七、預防感染:腎病患兒與感染性疾病患兒分室收治。避免受涼,不去人群擁擠場所。
八、觀察浮腫變化:記24小時出入量,每天記錄腹圍、體重,每周送檢尿常規2~3次。
專家觀點
1.有高尿蛋白的患者,應注意進優質蛋白飲食,如瘦肉,魚,雞瘦肉,牛肉等以補充蛋白的丟失;
2.浮腫較重的患者以嚴格限制水分的攝入,量出為入。
3.確診是腎病綜合徵的患者,應儘快腎活檢,明確病理診斷。
4.患病期間注意防止感冒和疲勞,以免病情復發;
5.白蛋白輸入應有明確指針,因白蛋白可以是一種異體抗原,多輸反而會延誤腎病的恢復,延長病程。
6.治療應該以抑制免疫與炎症反應藥物為主,能用糖皮質激素的患者應優先選擇激素治療,一般治療、對症治療、中藥治療不能完全替代激素的治療。深圳遠東婦兒科醫院專家指出,臨床常因單獨以中藥治療為主,而放棄免疫抑制治療,常導致病情加重或反覆遷延不愈。儘管個別中藥也有免疫抑制作用,但療效尚不確切,特別對病情較重的患者尤為不適合。
7.對不能用激素或不願激素治療的患者,可套用副作用小,或沒有激素副作用的免疫抑制劑,如環孢黴素,他克莫司,嗎替麥考酚酯片等藥物,但須針對不同的個體,由經驗的腎科醫師負責進行。
8.已服用激素者,應根據具體情況在醫師指導下遞減激素用量與次數。切不可隨意停藥。9.腎病自然病程通常需一年或更長,應堅持服藥和檢查。
鑑別
詮釋繼發性腎病綜合症的鑑別方法:
1、糖尿病腎病:多發生於病史較長(約10~15種)的糖尿病患者,患者有糖尿病視網膜病變,並往往和腎臟損害相平行,糖尿病腎病綜合徵,幾乎都會有眼底損害,即微血管瘤或增殖性病變。糖尿病如出現腎病綜合徵且排除心力衰竭等其它能造成蛋白尿及水腫的因素,即可診斷為糖尿病腎病。
2、紫癜性腎炎:本病較多發病年齡是7~10歲青少年,發病與呼吸道感染有關,冬季較多見。臨床表現為過敏性紫癜的特症性皮疹,發生於四肢遠端,臀部及下腹部,壓之不退色,為出血性斑點,稍高於皮膚表面,可有癢感,1~2周后逐漸消退,但有時表現極輕。血尿是過敏性紫癜腎臟受累最常見的臨床表現,多發生於上述症狀4周以後,但約有10-20%病案在紫癜出現後半年到一年才出現腎病,但也有的患者首先出現血尿,以後表現皮瘡等症狀。
3、系統性紅斑狼瘡性腎病:本病常見於年輕女性,往往表現為多器官損害,如關節痛、發熱、面部蝶形紅斑、肝臟及心血管系統病變等,血中可找到紅斑狼瘡細胞,血漿球蛋白明顯升高(以IgG為主),血抗核抗體陽性,C3值下降。
4、腎臟澱粉樣變:主要發生於中年以上患者。往往有慢性炎症或慢性化膿性疾病病灶、如慢性骨髓炎、肺膿瘍,結核支氣管擴張等。體內其它器管往往也有澱粉樣變,可表現為肝脾腫大、心臟擴大、心功能損害等,目前腎活檢為診斷腎澱粉樣變的主要手段。剛果紅試驗有助於診斷。

