淋巴白血病概述
淋巴白血病是一種進行性惡性疾病,其特徵為大量的類似於淋巴母細胞的未成熟白細胞。這些細胞可在血液、骨髓、淋巴結、脾臟和其它器官中發現。
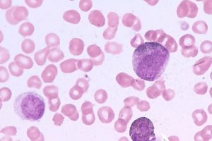
淋巴白血病(ALL)分型
根據細胞形態學和臨床預後的不同,將ALL分為L1,L2,L3三個亞型。
L1型:以小淋巴細胞為主,胞漿極少,高核,漿比例,核形規則,染色質均勻緻密,核仁不清晰。
L2型:大多數細胞體積是小淋拖赴?倍,部分細胞大小有明顯異質性,胞漿中等,嗜鹼,染色質呈瀰漫細緻或密塊狀,核仁清晰,一個或多個。
L3型:由均勻一致的大細胞組成,胞漿豐富,深嗜鹼,含多數明顯室泡,核圓形,染色質細而緻密,核二清晰,一個或多個。*
概述,病因以及危險因素
淋巴白血病(ALL)占兒童白血病的80%,發病率高峰在3歲至7歲之間。ALL也可發生於成年人,占所有成年人白血病的20%。
在白血病中,惡性細胞失去成熟和定向(分化)產生其功能的能力。這些細胞迅速分裂並取代正常細胞。當惡性細胞取代正常的骨髓成分時即發生骨髓衰竭。因為正常細胞的樹木減少,此患者就會變得容易出血和感染。
大多數病例看上去無明顯誘因。但是,輻射、某些毒素,如苯和一些化學試劑,被認為是白血病的誘發因素。染色體異常也在白血病的發生過程中發揮一定的作用。
白血病的危險因素包括21三體綜合徵,多與白血病並發,以及接觸輻射、化學試劑和藥物。發病率為十萬分之六。
淋巴白血病的症狀及跡象
出血時間延長或過量出血,皮膚青紫
牙齦出血
鼻出血
皮下出血
月經周期,異常
皮疹或皮膚病變
針尖樣紅斑(瘀點)
皮膚青紫(瘀斑)
蒼白
疲勞
感染
胸骨壓痛
骨痛和壓痛
胸骨(胸骨)
關節痛
髖關節疼痛
膝關節疼痛
踝關節疼痛
足痛,多為足部小關節疼痛
肩關節疼痛
肘關節疼痛
腕關節疼痛
手痛,多為手部小關節疼痛
淋巴結病(淋巴結肥大)
無意識的體重減輕
發熱
牙齦,腫脹
呼吸短促(運動後加重)
可感覺到不規則的心臟跳動(心悸)
淋巴白血病的預防
因為大多數病例的誘因尚不清楚,大多數情況下是無法預防的。儘量減少與毒素、輻射、化學試劑等因素的接觸可能降低發病的危險性。
淋巴白血病的診斷及檢測
體格檢查可見增大的肝臟和脾臟,皮膚青紫(瘀斑)及出血現象(瘀點、紫癜等)。
白細胞(WBC)計數異常。
全血細胞計數(CBC)提示貧血及血小板計數偏低
骨髓穿刺結果示細胞數增加(細胞過多)以及淋巴母細胞增加。
淋巴白血病也可能改變以下檢驗項目的結果:
T(胸腺內生成的)淋巴細胞計數
細胞表面抗原研究(B細胞、白血病/淋巴瘤平台)
白細胞分化
淋巴白血病的分類依賴於許多特殊的複雜的檢驗,如免疫表型、核型和末端脫氧核苷酸轉移酶(TdT)的活性。綜合這些檢驗項目的結果可獲得精確的分子學診斷,從而有助於指導制定治療方案並較準確地預測可能的預後。
例如,一些白血病細胞中存在染色體異常。那些含有費城染色體或t(4;11)易位的患者趨向於不良預後,但是強力療法和早期骨髓移植可能優先推薦。其它基因(如TEL/AML1重排)預示著很好的預後。
淋巴細胞性白血病的治療
治療的目的是癌症的緩解。當外周血計數和骨髓計數正常時即已緩解。
淋巴細胞性白血病以抗癌藥物行聯合治療(化療)。初始(誘導)化療需住院3至6周,然而後續的化療可以門診病人的形式給予治療,如果淋巴細胞計數極低則需行隔離治療以避免接觸感染病原體。
化療由3至8種有代表性的藥物的聯合治療構成,這些藥物包括:強的松、長春新鹼、甲氨喋呤、,6-巰基嘌呤和環磷醯胺。有時有必要給予血液製品(如濃縮紅細胞、血小板)支持治療以糾正貧血和低血小板計數。發生任何繼發感染的患者需接受抗生素治療。
病情緩解之後,針對脊柱給予化療或放療以處理可能侵襲入脊髓液的任何白血病細胞。
後續治療的目的是為了防止復發,給予持續時間為一年的化療。對復發病例或其它治療無效的病例,其治療選擇是在高劑量化療後行骨髓移植。
淋巴白血病的預後
兒童患者的可能結果優於成年人,治癒率為80%。80%的成年人獲得完全緩解,治癒率則為30%至50%。如不給予治療,壽命預期大約是3個月。
淋巴白血病的併發症
DIC(彌散性血管內凝血)
淋巴白血病復發
嚴重的感染
診斷標準
(一)、病史及症狀;
⑴病史提問:起病緩慢,病人多無明顯症狀,問診應注意是否有低熱、盜汗,易感染表現。
⑵臨床症狀:乏力、消瘦、納差、盜汗、體力減退、發熱,偶有皮膚瘙癢。
(二)、體檢發現;
全身淋巴結腫大,質中等硬、可移動,晚期相互粘連融合;肝脾輕度腫大,晚期脾臟明顯腫大。骨痛不明顯。晚期皮膚可見出血點。
(三)、輔助檢查;
1.血象:正細胞正色素貧血。白細胞計數>10×109/L,分類:淋巴細胞>50%,絕對值>5.0×109/L;以成熟淋巴細胞為主,可見幼稚淋巴細胞及異型淋巴細胞。血小板正常或減少。
2.骨髓象:增生活躍至極度活躍,以成熟淋巴細胞增生明顯,占40%以上,原、幼稚淋巴細胞<10%。紅系、粒系相對減少,巨核細胞正常或減少。
3.血免疫球蛋白減少;或為單株免疫球蛋白增高,多為IgM型。κ輕鏈或λ輕鏈檢測陽性。
(四)、CLL臨床分期及鑑別診斷;
1.分期:Ⅰ期:淋巴細胞增多,可伴有淋巴結腫大。
Ⅱ期:Ⅰ期+肝大或脾大。
Ⅲ期:Ⅰ期或Ⅱ期+貧血(血紅蛋白<100g/L)或/和血小板減少(<100×109/L)。
2.鑑別診斷應與結核性淋巴結炎、淋巴瘤、傳染性單核細胞增多症、毛細胞白血病、幼淋巴細胞白血病等鑑別。

