概述
再生障礙性貧血據中國21省(市)自治區的流行病學調查,年發病率為0.74/10萬人口,明顯低於白血病的發病率;慢性再障發病率為0.60/10萬人口,急性再障為0.14/10萬人口;各年齡組均可發病,但以青壯年多見;男性發病率略高於女性。原發性稍多於繼發性。
臨床表現
1.急性型再障
起病急,進展迅速,常以出血和感染髮熱為首起及主要表現。病初貧血常不明顯,但隨著病程發展,呈進行性進展。幾乎均有出血傾向,60%以上有內臟出血,主要表現為消化道出血、血尿、眼底出血(常伴有視力障礙)和顱內出血。皮膚、黏膜出血廣泛而嚴重,且不易控制。病程中幾乎均有發熱,系感染所致,常在口咽部和肛門周圍發生壞死性潰瘍,從而導致敗血症。肺炎也很常見。感染和出血互為因果,使病情日益惡化。
2.慢性型再障
起病緩慢,以貧血為首起和主要表現;出血多限於皮膚黏膜,且不嚴重;可並發感染,但常以呼吸道為主,容易控制。若治療得當,堅持不懈,不少患者可獲得長期緩解以至痊癒,但也有部分患者遷延多年不愈,甚至病程長達數十年,少數到後期進展為重型或極重型再障。
病因
再生障礙性貧血藥物性再障有兩種類型:
(1)和劑量有關,系藥物毒性作用,達到一定劑量就會引起骨髓抑制,一般是可逆的,如各種抗腫瘤藥。細胞周期特異性藥物如阿糖胞苷和甲氨蝶呤等主要作用於容易分裂的較成熟的多能幹細胞,因此發生全血細胞減少時,骨髓仍保留一定量的多能幹細胞,停藥後再障可以恢復;白消安和亞硝脲類不僅作用於進入增殖周期的幹細胞,並且也作用於非增殖周期的幹細胞,因此常導致長期骨髓抑制難以恢復。此外,苯妥英鈉、吩噻嗪、硫尿嘧啶及氯黴素等也可以引起與劑量有關的骨髓抑制。
(2)和劑量關係不大,僅個別患者發生造血障礙,多系藥物的過敏反應,常導致持續性再障。這類藥物種類繁多,常見的有氯(合)黴素、有機砷、阿的平、三甲雙酮、保泰松、金製劑、氨基比林、吡羅昔康(炎痛喜康)、磺胺、甲碸黴素、卡比馬唑(甲亢平)、甲巰咪唑(他巴唑)、氯磺丙脲等。藥物性再障最常見是由氯黴素引起的。
2、化學毒物:
苯及其衍化物和再障關係已為許多實驗研究所肯定,苯進入人體易固定於富含脂肪的組織,慢性苯中毒時苯主要固定於骨髓,苯的骨髓毒性作用是其代謝產物所致,後者可作用於造血祖細胞,抑制其DNA和RNA的合成,並能損害染色體。改革開放以來,鄉鎮企業興起,由於不注意勞動保護,苯中毒致再障發病率有所上升。苯中毒再障可呈慢性型,也可呈急性嚴重型,以後者居多。
3、電離輻射:
X線、γ線或中子可穿過或進入細胞直接損害造血幹細胞和骨髓微環境。長期超允許量放射線照射(如放射源事故)可致再障。
4、病毒感染:
病毒性肝炎和再障的關係已較肯定,稱為病毒性肝炎相關性再障,是病毒性肝炎最嚴重的併發症之一,發生率不到1.0%,占再障患者的3.2%。引起再障的肝炎類型至今尚未肯定,約80%由非甲非B型肝炎引起,可能為C型肝炎,其餘由B型肝炎引起。肝炎相關性再障臨床上有兩種類型:急性型居多數,起病急,肝炎和再障發病間期平均10周左右,肝炎已處於恢復期,但再障病情重,生存期短,發病年齡輕,大多系在非甲非B型肝炎基礎上發病;慢性型屬少數,大多在慢性B型肝炎基礎上發病,病情輕,肝炎和再障發病間期長,生存期也長。其發病機理仍不清楚。肝炎病毒對造血幹細胞有直接抑制作用,還可致染色體畸變,並可通過病毒介導的自身免疫異常。病毒感染尚可破壞骨髓微循環。
5、免疫因素:
再障可繼發於胸腺瘤、系統性紅斑狼瘡和類風濕性關節炎等,患者血清中可找到抑制造血幹細胞的抗體。部分原因不明的再障可能也存在免疫因素。
6、遺傳因素:
再生障礙性貧血7、陣發性睡眠性血紅蛋白尿(PNH):
PNH和再障關係相當密切,20%~30%FNH可伴有再障,15%再障可發生顯性PNH,兩者都是造血幹細胞的疾病。明確地從再障轉為PNH,而再障表現已不明顯;或明確地從PNH轉為再障,而PNH表現已不明顯;或PNH伴再障及再障伴PNH紅細胞,都可稱謂再障-PNH綜合徵。
8、其他因素:
罕有病例報告,再障在妊娠期發病,分娩或人工流產後緩解,第二次妊娠時再發,但多數學者認為可能是巧合。此外,再障尚可繼發於慢性腎功能衰竭、嚴重的甲狀腺或前(腺)腦垂體功能減退症等。
發病機制是錯綜合複雜的,有些患者由於幹細胞缺陷,有些患者由於造血微環境的損傷,有些患者則由於血中有抑制因子或細胞的抑制作用。再障是一組多種病變,它們的性質不同,治療的方法、產生的療效也有差異。
病徵
這一症狀也是患者在患病後,其主要且長期的症狀表現。患者在患有該病後,常常會出現臉色蒼白、全身乏力以及頭昏目眩、心悸氣短等各種周身不適症狀。這一常見再生障礙性貧血的症狀在經過輸血治療後,這些症狀會有所緩解和改善,但並不持久。
感染
患者在患病後,會經常的出現反覆的感染,並會伴有發燒等症狀。在常見再生障礙性貧血的症狀中,感染相對來說比較容易控制,一般在一周左右就會消失。其中以上呼吸道的感染最為常見,其次為扁桃體炎、支氣管炎等各類炎症。
出血
這也是患者前來就醫的主要表現症狀,主要是以皮膚及黏膜出血為主要症狀,若是病情沒有得到有效地控制,病情進一步發展,患者有可能會出現內臟出血或者顱內出血,給患者的健康構成威脅。
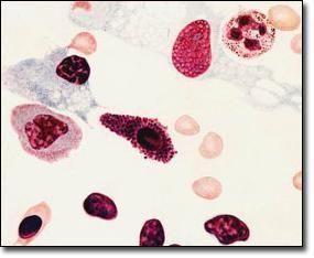
檢查
1.血象
呈全血細胞減少,少數病例早期可僅1系或2系細胞減少。貧血屬正常細胞型,亦可呈輕度大紅細胞。紅細胞輕度大小不一,但無明顯畸形及多染現象,一般無幼紅細胞出現。網織紅細胞絕對值和比例顯著減少,中性粒細胞減少低於0.5×109/L,血小板低於20×109/L。2.骨髓象
再障骨髓塗片肉眼觀察油滴增多,骨髓小粒鏡檢空虛,非造血細胞和脂肪細胞增多,一般在50%以上。
再障呈多部位骨髓增生減低或重度減低,三系造血細胞明顯減少,尤其是巨核細胞和幼紅細胞;非造血細胞增多,尤其淋巴細胞增多。慢性型不同部位穿刺所得骨髓象很不一致,可從增生不良到增生象,但至少要有一個部位增生不良;如增生良好,晚幼紅細胞(炭核)比例常增多,其核不規則分葉狀,呈現脫核障礙,但巨核細胞明顯減少。
3.骨髓活組織檢查和放射性核素骨髓掃描
所有再障患者均應進行骨髓活組織檢查以評價骨髓造血面積。再障骨髓組織呈黃白色,增生減低,主要為脂肪組織、淋巴細胞和其他非造血組織。硫化99m鎝或氯化111銦全身骨髓γ照相可反映全身功能性骨髓的分布,再障時在正常骨髓部位的放射性攝取低下甚至消失,因此可以間接反映造血組織減少的程度和部位。
4.其他檢查
造血祖細胞培養不僅有助於診斷,而且有助於檢出有無抑制性淋巴細胞或血清中有無抑制因子。成熟中性粒細胞鹼性磷酸酶活力增高,血清溶菌酶活力減低。急性再障抗鹼血紅蛋白量正常或輕度減低,慢性再障明顯增多。染色體檢查除Fanconi貧血染色體畸變較多外,一般再障屬正常,如有核型異常須除外骨髓增生異常綜合徵。
診斷
現時的診斷方法只有骨髓切片檢查。為了尋求診斷的線索,在進行此檢查前,病人一般會接受其他血液測試,包括全面血球統計、腎功能測定、電解質功能測定、肝功能測定、甲狀腺功能測定、維生素B12及葉酸水平等。
治療
再生不良性貧血的治療,可以透過服用藥物或在病症較嚴重時進行骨髓移植。骨髓移植是最能達到痊癒效果的方法,但進行期間卻有很大的風險。從合適捐贈者移植來的骨髓會取代失效的骨髓,骨髓內多能化的乾細胞會重新組成所有血液細胞,建立病患者一套新的免疫系統、紅血球及血小板。但是除了移植失敗外,新造的白血球亦有攻擊身體內其他細胞的可能性,稱為“移植物對抗宿主疾病”。
再生不良性貧血一般治療上開始會採用抗胸腺淋巴細胞球蛋白(ATG或抗淋巴球球蛋白),配契約幾個月環孢菌素的療程,首先壓抑免疫系統,使造血細胞恢復功能,來調節免疫系統。在壓抑免疫系統期間,由於白血球低下,病人會被保護於儘量減少微生物的房間,以減少感染的風險。溫和的化學療法使用環磷醯胺及長春新鹼對治療有效。抗體療法,如使用ATG或目標T細胞卻會攻擊骨髓。使用類固醇一般都沒有效用。
併發症
再生障礙性貧血併發症除出現感染、內臟出血外,慢性型病例,由於長期貧血,晚期可發生貧血性心臟病。如輸血過多,達10000毫升以上者,可發生血色病。
約10-33%的再生不良性貧血的病人會發展出一種罕有的病症,稱為“陣發性夜間血尿症”(簡稱PNH,即貧血以外加上血小板減少症及/或血栓症),一般解釋是指骨髓為對抗免疫系統的攻擊而產生的逃避機制。流式細胞術是一種測試再生不良性貧血的病人是否患上PNH的認可的方法。
護理
1、注意患者的出血傾向,如皮膚黏膜出血、鼻衄、牙齦出血、眼底出血等,給予對症和止血處理;發生胃腸道大出血或存在顱內出血的危險時,應立即報告醫生,同時準備好各種搶救藥物及用物,協助搶救。
2、保持再生障礙性貧血患者的病室清潔,每天空氣消毒,白細胞下降者應行保護性隔離以減少感染。
3、注意口腔清潔及肛門衛生。堅持飯後、睡前漱口,防止口咽部潰瘍。
飲食
1、供給高蛋白飲食:
對於再生障礙性貧血飲食這一問題也要注意各種紅細胞的增殖分化和再生,都需要依賴蛋白質作為基礎,所以再生障礙性貧血病人在飲食方面更需要供給營養價值高
的動物性蛋白質,如含蛋白質豐富的瘦肉、蛋類、魚類、乳類、雞肉、豆製品及動物腎臟等。另外多吃鱉、龜及動物骨或骨髓熬湯等。
2、補充造血物質:
雖然再生障礙性貧血不是由於造血物質缺乏所致,但由於反覆出血,常可導致慢性失血性貧血,從而加重再生障礙性貧血的貧血程度,因此食物中常應補充含鐵質、
葉酸、維生素B12、維生素B6、維生素K、維生素C豐富的食品,對再生障礙性貧血飲食原則這一問題,一定要特別的重視。
預防
1、出血和感染是再障患者最為常見的兩個死亡的原因。不管在哪個季節,這都是首當其衝的問題,因此預防出血和感染的發生是護理中最值得注意的問題。護理中應注意及時停止接觸可疑致病因素,並避免使用損傷骨髓的藥物,高熱時可採用冰袋、酒精擦浴等物理降溫的辦法,避免使用退燒藥等。
2、天氣轉變,氣溫忽高忽低,是容易出現感冒等疾病的時期;再障患者的情緒、心理、精神及飲食變化較大等因素,有時候會大量減少衣物,不注意早晚的溫差變化,導致季節性流感。所以在感冒好發的季節一定要加強預防措施,增強機體對細菌、病毒的免疫力。尤其是孩子,由於體質比較弱,各方面發育還不健全,家長們需要引起注意。
3、再障患者可以適當運動。適當運動。增強體質提高自身免疫力對再障患者的康復沒有壞處,春晨很適合做些戶外運動,再障患者可以在溫暖的早晨呼吸下新鮮空氣,
注意事項
再生障礙性貧血應保持合理飲食再障的飲食無特殊要求,按個人口味調整。但一般要求為清潔食物,有營養、容易消化的食物。食物避免過於刺激、過於堅硬,從而導致口腔或食道受傷、進而發生潰瘍或感染。如果對某些食物過敏,應儘量避免。
再生障礙性貧血應堅持治療和定期複查
IST治療有效的再障,多數在1個月以後才表現出血液學反應,有些反應更慢,可長達半年或更長時間,應幫助患者樹立信心,出現治療不順利時,也應有一定耐心,與醫生及時溝通。治療有效時,需進行環孢黴素的維持治療,如果過早停藥或減量過快,可導致疾病的復發。
再障患者可以在病程中出現各種病情變化;同時,各種治療再障的藥物都具有一定的副作用,環孢素濃度也需要定期檢測,以保證確切的療效和可以接受的副作用;部分患者可能出現晚期併發症,如陣發性睡眠性血紅蛋白尿症、骨髓增生異常綜合徵、急性白血病等,因此,應定期複查。再生障礙性貧血應注意運動量
急性再障患者往往病情危重,血小板和白細胞很低,過度活動會導致出血和感染的風險增加,所以,應注意休息,避免過多活動。慢性再障或急性再障恢復期患者,如果血相尚可,可以適當活動,以身體可以接受為宜,不要勉強。等血相完全恢復後,再增加鍛鍊強度。

